扫码关注公众号           扫码咨询技术支持           扫码咨询技术服务
  
客服热线:400-901-9800  客服QQ:4009019800  技术答疑  技术支持  质量反馈  关于我们  联系我们
产品中心-北京博奥森生物技术有限公司
首页 > 产品中心 > 一抗 > 产品信息
DRAK2 Rabbit pAb (bs-21954R)  
订购热线:400-901-9800
订购邮箱:sales@bioss.com.cn
订购QQ:  400-901-9800
技术支持:techsupport@bioss.com.cn
50ul/1180.00元
100ul/1980.00元
200ul/2800.00元
大包装/询价

产品编号 bs-21954R
英文名称 DRAK2 Rabbit pAb
中文名称 DAP凋亡诱导蛋白激酶2抗体
别    名 DAP kinase related apoptosis inducing protein; DAP kinase related apoptosis inducing protein kinase 2; Death associated protein kinase related 2; DRAK 2; Serine/threonine kinase 17b(apoptosis inducing); Serine/threonine kinase 17b; Serine/threonine protein kinase 17B; STK17B; ST17B_HUMAN.  
研究领域 肿瘤  免疫学  信号转导  细胞凋亡  转录调节因子  激酶和磷酸酶  
抗体来源 Rabbit
克隆类型 Polyclonal
克 隆 号
交叉反应 Human,Rat (predicted: Mouse,Rabbit,Sheep,Cow,Dog,Horse)
产品应用 WB=1:500-2000,IHC-P=1:100-500,IHC-F=1:100-500,IF=1:100-500
not yet tested in other applications.
optimal dilutions/concentrations should be determined by the end user.
理论分子量 42 kDa
检测分子量
细胞定位 细胞核 细胞浆 细胞膜 
性    状 Liquid
浓    度 1mg/ml
免 疫 原 KLH conjugated synthetic peptide derived from human DRAK2 : 181-280/372 
亚    型 IgG
纯化方法 affinity purified by Protein A
缓 冲 液 0.01M TBS (pH7.4) with 1% BSA, 0.02% Proclin300 and 50% Glycerol.
保存条件 Shipped at 4℃. Store at -20℃ for one year. Avoid repeated freeze/thaw cycles.
注意事项 This product as supplied is intended for research use only, not for use in human, therapeutic or diagnostic applications.
PubMed PubMed
产品介绍 Apoptosis is mediated by death domain containing adapter molecules and a caspase family of proteases. Certain serine/threonine protein kinases, such as ASK1 and RIP, are mediators of apoptosis. Two novel serine/threonine kinases that induce apoptosis were recently identified and designated DRAK1 and DRAK2 (for DAP kinase related apoptosis inducing protein kinases). DRAKs contain an N terminal kinase domain and a C terminal regulation domain. Overexpression of DRAK2 induces apoptosis. DRAKs have high sequence homology to DAP and ZIP kinases, and they represent a novel family of serine/threonine kinases, which mediates apoptosis through their catalytic activities. DRAK2 is located in nucleus and the messenger RNA was ubiquitously expressed in human tissues.

Function:
Acts as a positive regulator of apoptosis.

Subunit:
Interacts with CHP1; the interaction induces CHP1 to translocate from the Golgi to the nucleus.

Subcellular Location:
Nucleus. Cell membrane. Endoplasmic reticulum-Golgi intermediate compartment. Note=Colocalizes with STK17B at the plasma membrane.

Tissue Specificity:
Highly expressed in placenta, lung, pancreas. Lower levels in heart, brain, liver, skeletal muscle and kidney.

Post-translational modifications:
Autophosphorylated.

Similarity:
Belongs to the protein kinase superfamily. CAMK Ser/Thr protein kinase family.
DAP kinase subfamily. Contains 1 protein kinase domain.

SWISS:
O94768

Gene ID:
9262

Database links:

Entrez Gene: 9262 Human

Entrez Gene: 98267 Mouse

Omim: 604727 Human

SwissProt: O94768 Human

SwissProt: Q8BG48 Mouse

Unigene: 88297 Human

Unigene: 25559 Mouse



产品图片
Sample: Cerebrum (Rat) Lysate at 40 ug Primary: Anti- DRAK2 (bs-21954R) at 1/1000 dilution Secondary: IRDye800CW Goat Anti-Rabbit IgG at 1/20000 dilution Predicted band size: 42 kD Observed band size: 40 kD
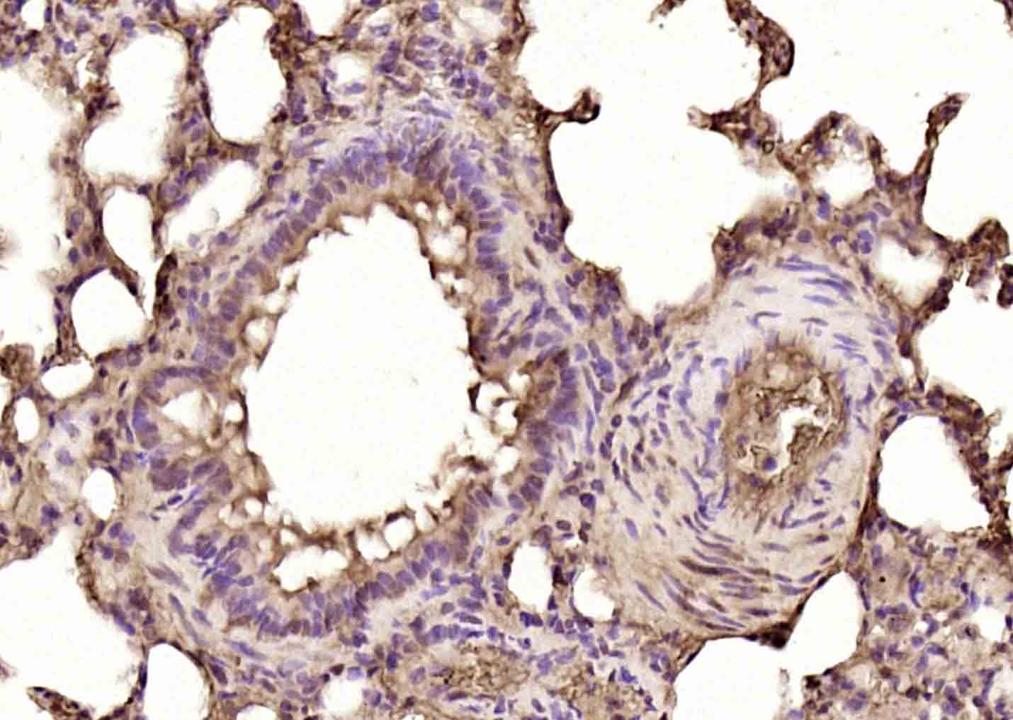
Paraformaldehyde-fixed, paraffin embedded (rat lung); Antigen retrieval by boiling in sodium citrate buffer (pH6.0) for 15min; Block endogenous peroxidase by 3% hydrogen peroxide for 20 minutes; Blocking buffer (normal goat serum) at 37°C for 30min; Antibody incubation with (TMP21) Polyclonal Antibody, Unconjugated (bs-21954R) at 1:200 overnight at 4°C, followed by operating according to SP Kit(Rabbit) (sp-0023) instructionsand DAB staining.
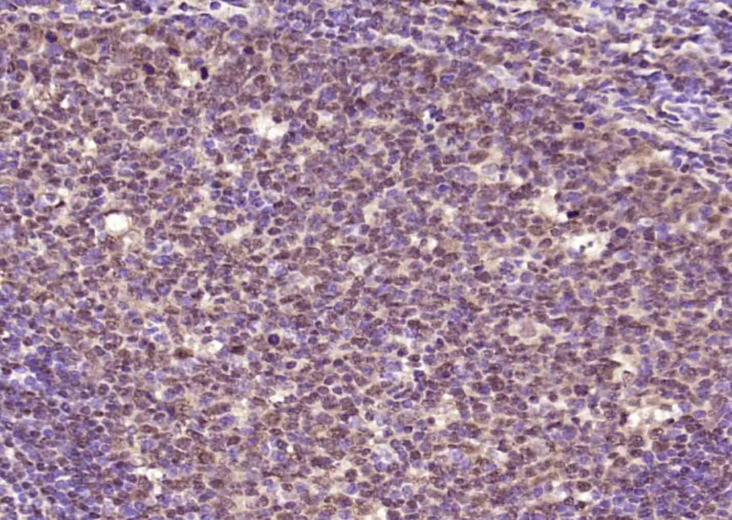
Paraformaldehyde-fixed, paraffin embedded (human tonsil); Antigen retrieval by boiling in sodium citrate buffer (pH6.0) for 15min; Block endogenous peroxidase by 3% hydrogen peroxide for 20 minutes; Blocking buffer (normal goat serum) at 37°C for 30min; Antibody incubation with (TMP21) Polyclonal Antibody, Unconjugated (bs-21954R) at 1:200 overnight at 4°C, followed by operating according to SP Kit(Rabbit) (sp-0023) instructionsand DAB staining.
版权所有 2004-2026 www.bioss.com.cn 北京博奥森生物技术有限公司
通过国际质量管理体系ISO 9001:2015 GB/T 19001-2016    证书编号: 00124Q34771R2M/1100
通过国际医疗器械-质量管理体系ISO 13485:2016 GB/T 42061-2022     证书编号: CQC24QY20047R0M/1100
京ICP备05066980号-1         京公网安备110107000727号