扫码关注公众号           扫码咨询技术支持           扫码咨询技术服务
  
客服热线:400-901-9800  客服QQ:4009019800  技术答疑  技术支持  质量反馈  关于我们  联系我们
产品中心-北京博奥森生物技术有限公司
首页 > 产品中心 > 一抗 > 产品信息
PD-L1 Rabbit pAb (bs-21778R)  
订购热线:400-901-9800
订购邮箱:sales@bioss.com.cn
订购QQ:  400-901-9800
技术支持:techsupport@bioss.com.cn
50ul/1180.00元
100ul/1980.00元
200ul/2800.00元
大包装/询价

产品编号 bs-21778R
英文名称 PD-L1 Rabbit pAb
中文名称 程序性死亡配体1(CD274)抗体
别    名 Programmed cell death 1 ligand 1; CD274; B7 H; B7 H1; B7 homolog 1; B7-H1; B7H; B7H1; CD 274; CD274 antigen; CD274 molecule; MGC142294; MGC142296; OTTHUMP00000021029; PD L1; PD1L1_HUMAN; PDCD1 ligand 1; PDCD1L1; PDCD1LG1; PDL 1; PDL1; Programmed death ligand 1; RGD1566211.  
Specific References  (1)     |     bs-21778R has been referenced in 1 publications.
[IF=2.303] Suihui Li. et al. Hsa_circ_0048674 facilitates hepatocellular carcinoma progression and natural killer cell exhaustion depending on the regulation of miR-223-3p/PDL1. Histol Histopathol. 2022 Feb 21;18440  WB ;  Human,Mouse.  
研究领域 肿瘤  免疫学  细胞类型标志物  
抗体来源 Rabbit
克隆类型 Polyclonal
克 隆 号
交叉反应 Human,Mouse,Rat (predicted: Pig,Sheep,Cow,Horse)
产品应用 WB=1:500-2000
not yet tested in other applications.
optimal dilutions/concentrations should be determined by the end user.
理论分子量 32 kDa
检测分子量
细胞定位 细胞膜 
性    状 Liquid
浓    度 1mg/ml
免 疫 原 KLH conjugated synthetic peptide derived from human B7-H1/PDL1/CD274: 64-160/290 <Extracellular>
亚    型 IgG
纯化方法 affinity purified by Protein A
缓 冲 液 0.01M TBS (pH7.4) with 1% BSA, 0.02% Proclin300 and 50% Glycerol.
保存条件 Shipped at 4℃. Store at -20℃ for one year. Avoid repeated freeze/thaw cycles.
注意事项 This product as supplied is intended for research use only, not for use in human, therapeutic or diagnostic applications.
PubMed PubMed
产品介绍 This gene encodes an immune inhibitory receptor ligand that is expressed by hematopoietic and non-hematopoietic cells, such as T cells and B cells and various types of tumor cells. The encoded protein is a type I transmembrane protein that has immunoglobulin V-like and C-like domains. Interaction of this ligand with its receptor inhibits T-cell activation and cytokine production. During infection or inflammation of normal tissue, this interaction is important for preventing autoimmunity by maintaining homeostasis of the immune response. In tumor microenvironments, this interaction provides an immune escape for tumor cells through cytotoxic T-cell inactivation. Expression of this gene in tumor cells is considered to be prognostic in many types of human malignancies, including colon cancer and renal cell carcinoma. Alternative splicing results in multiple transcript variants. [provided by RefSeq, Sep 2015]

Function:
Involved in the costimulatory signal, essential for T-cell proliferation and production of IL10 and IFNG, in an IL2-dependent and a PDCD1-independent manner. Interaction with PDCD1 inhibits T-cell proliferation and cytokine production.

Subunit:
Interacts with PDCD1.

Subcellular Location:
Isoform 1: Cell membrane; Single-pass type I membrane protein. Isoform 2: Endomembrane system; Single-pass type I membrane protein.

Tissue Specificity:
Highly expressed in the heart, skeletal muscle, placenta and lung. Weakly expressed in the thymus, spleen, kidney and liver. Expressed on activated T- and B-cells, dendritic cells, keratinocytes and monocytes.

Similarity:
Belongs to the immunoglobulin superfamily. BTN/MOG family.
Contains 1 Ig-like C2-type (immunoglobulin-like) domain.
Contains 1 Ig-like V-type (immunoglobulin-like) domain.

SWISS:
Q9NZQ7

Gene ID:
29126

Database links:

Entrez Gene: 29126 Human

Entrez Gene: 60533 Mouse

Omim: 605402 Human

SwissProt: Q9NZQ7 Human

SwissProt: Q9EP73 Mouse

Unigene: 521989 Human

Unigene: 245363 Mouse



产品图片
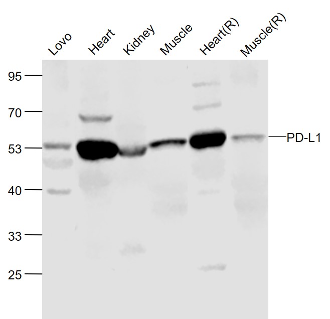
Sample: Lovo(Human) Cell Lysate at 30 ug Heart(Mouse) Lysate at 40 ug Kidney(Mouse) Lysate at 40 ug Muscle(Mouse) Lysate at 40 ug Heart(Rat) Lysate at 40 ug Muscle(Rat) Lysate at 40 ug Primary: Anti-PD-L1 (bs-21778R) at 1/500 dilution Secondary: IRDye800CW Goat Anti-Rabbit IgG at 1/20000 dilution Predicted band size: 50 kD Observed band size: 53 kD
版权所有 2004-2026 www.bioss.com.cn 北京博奥森生物技术有限公司
通过国际质量管理体系ISO 9001:2015 GB/T 19001-2016    证书编号: 00124Q34771R2M/1100
通过国际医疗器械-质量管理体系ISO 13485:2016 GB/T 42061-2022     证书编号: CQC24QY20047R0M/1100
京ICP备05066980号-1         京公网安备110107000727号