扫码关注公众号           扫码咨询技术支持           扫码咨询技术服务
  
客服热线:400-901-9800  客服QQ:4009019800  技术答疑  技术支持  质量反馈  人才招聘  关于我们  联系我们
产品中心-北京博奥森生物技术有限公司
首页 > 产品中心 > 一抗 > 产品信息
Clathrin heavy chain Rabbit pAb (bs-21805R)  
订购热线:400-901-9800
订购邮箱:sales@bioss.com.cn
订购QQ:  400-901-9800
技术支持:techsupport@bioss.com.cn
50ul/1180.00元
100ul/1980.00元
200ul/2800.00元
大包装/询价

产品编号 bs-21805R
英文名称 Clathrin heavy chain Rabbit pAb
中文名称 网格蛋白重链抗体
别    名 CHC; CHC17; CLH-17; CLTCL2; Hc; MRD56; 3110065L21Rik; CLH1_HUMAN; CLTC; Clathrin heavy chain on chromosome 17 (CLH-17); CLH17; KIAA0034; CLH1_MOUSE; CLH1_RAT; clathrin heavy chain; clathrin, heavy polypeptide (Hc); clathrin, heavy chain; clathrin, heavy polypeptide-like 2; clathrin, heavy chain (Hc)  
研究领域 细胞生物  免疫学  信号转导  细胞类型标志物  
抗体来源 Rabbit
克隆类型 Polyclonal
交叉反应 Human,Mouse (predicted: Rat,Rabbit,Pig,Sheep,Chicken,Horse)
产品应用 IHC-P=1:100-500,IHC-F=1:100-500,IF=1:100-500
not yet tested in other applications.
optimal dilutions/concentrations should be determined by the end user.
理论分子量 192kDa
细胞定位 细胞浆 细胞膜 
性    状 Liquid
浓    度 1mg/ml
免 疫 原 KLH conjugated synthetic peptide derived from human Clathrin heavy chain: 91-190/1675 
亚    型 IgG
纯化方法 affinity purified by Protein A
缓 冲 液 0.01M TBS (pH7.4) with 1% BSA, 0.02% Proclin300 and 50% Glycerol.
保存条件 Shipped at 4℃. Store at -20℃ for one year. Avoid repeated freeze/thaw cycles.
注意事项 This product as supplied is intended for research use only, not for use in human, therapeutic or diagnostic applications.
PubMed PubMed
产品介绍 Clathrin is a major protein component of the cytoplasmic face of intracellular organelles, called coated vesicles and coated pits. These specialized organelles are involved in the intracellular trafficking of receptors and endocytosis of a variety of macromolecules. The basic subunit of the clathrin coat is composed of three heavy chains and three light chains. [provided by RefSeq, Jul 2008].

Function:
Clathrin is the major protein of the polyhedral coat of coated pits and vesicles. Two different adapter protein complexes link the clathrin lattice either to the plasma membrane or to the trans-Golgi network.

Subunit:
Clathrin triskelions, composed of 3 heavy chains and 3 light chains, are the basic subunits of the clathrin coat. In the presence of light chains, hub assembly is influenced by both the pH and the concentration of calcium. Interacts with HIP1. Interacts with DENND1A, DENND1B and DENND1C (By similarity). May interact with OCRL. Interacts with ERBB2 (By similarity).

Subcellular Location:
Cytoplasmic vesicle membrane. Membrane > coated pit. Melanosome. Cytoplasmic face of coated pits and vesicles. Identified by mass spectrometry in melanosome fractions from stage I to stage IV.

Similarity:
Belongs to the clathrin heavy chain family.
Contains 7 CHCR (clathrin heavy-chain) repeats.

SWISS:
Q00610

Gene ID:
1213

Database links:

Entrez Gene: 1213 Human

Entrez Gene: 67300 Mouse

Entrez Gene: 54241 Rat

Omim: 118955 Human

SwissProt: Q00610 Human

SwissProt: Q68FD5 Mouse

SwissProt: P11442 Rat

Unigene: 491351 Human

Unigene: 479526 Mouse

Unigene: 3589 Rat



产品图片
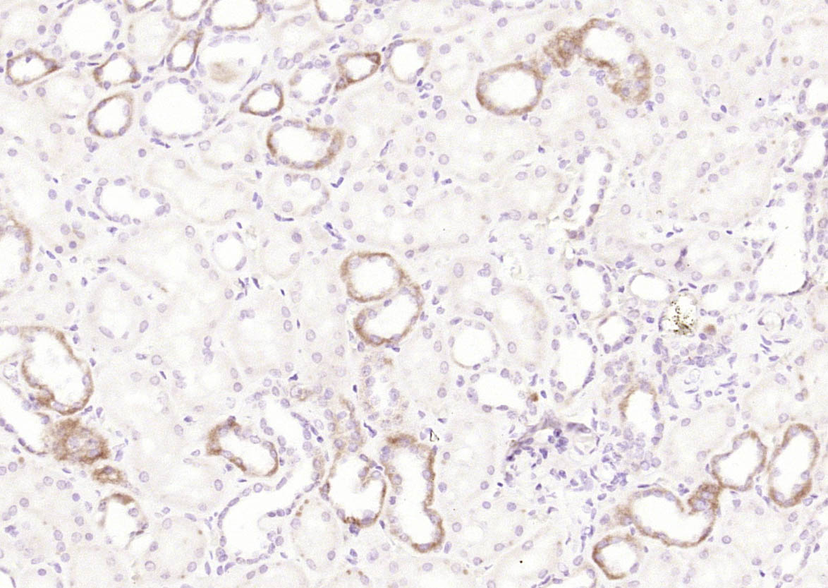
Paraformaldehyde-fixed, paraffin embedded (Human kidney); Antigen retrieval by boiling in sodium citrate buffer (pH6.0) for 15min; Block endogenous peroxidase by 3% hydrogen peroxide for 20 minutes; Blocking buffer (normal goat serum) at 37°C for 30min; Antibody incubation with (Clathrin heavy chain) Polyclonal Antibody, Unconjugated (bs-21805R) at 1:400 overnight at 4°C, followed by operating according to SP Kit(Rabbit) (sp-0023) instructionsand DAB staining.
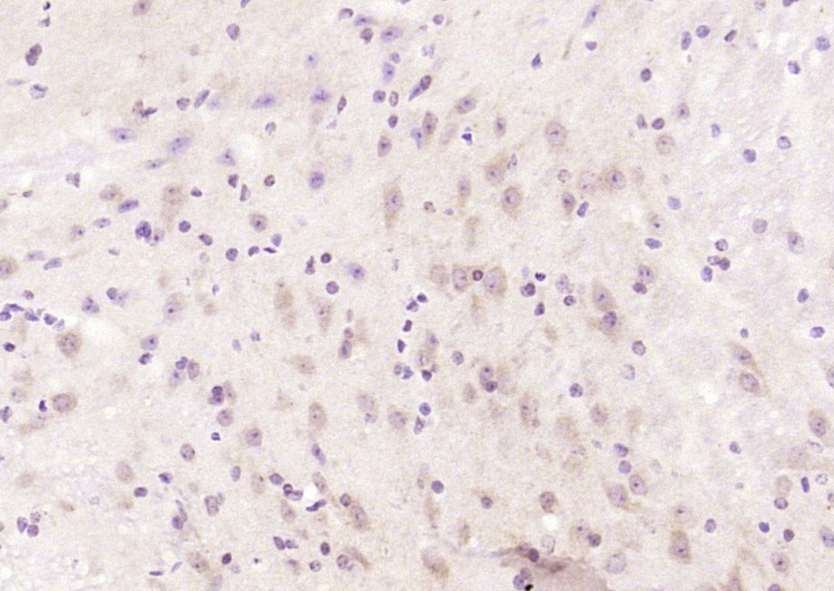
Paraformaldehyde-fixed, paraffin embedded (mouse brain); Antigen retrieval by boiling in sodium citrate buffer (pH6.0) for 15min; Block endogenous peroxidase by 3% hydrogen peroxide for 20 minutes; Blocking buffer (normal goat serum) at 37°C for 30min; Antibody incubation with (Clathrin heavy chain) Polyclonal Antibody, Unconjugated (bs-21805R) at 1:400 overnight at 4°C, followed by operating according to SP Kit(Rabbit) (sp-0023) instructionsand DAB staining.
版权所有 2004-2026 www.bioss.com.cn 北京博奥森生物技术有限公司
通过国际质量管理体系ISO 9001:2015 GB/T 19001-2016    证书编号: 00124Q34771R2M/1100
通过国际医疗器械-质量管理体系ISO 13485:2016 GB/T 42061-2022     证书编号: CQC24QY20047R0M/1100
京ICP备05066980号-1         京公网安备110107000727号