扫码关注公众号           扫码咨询技术支持           扫码咨询技术服务
  
客服热线:400-901-9800  客服QQ:4009019800  技术答疑  技术支持  质量反馈  关于我们  联系我们
产品中心-北京博奥森生物技术有限公司
首页 > 产品中心 > 一抗 > 产品信息
GPX3 Rabbit pAb (bs-22009R)  
订购热线:400-901-9800
订购邮箱:sales@bioss.com.cn
订购QQ:  400-901-9800
技术支持:techsupport@bioss.com.cn
50ul/1180.00元
100ul/1980.00元
200ul/2800.00元
大包装/询价

产品编号 bs-22009R
英文名称 GPX3 Rabbit pAb
中文名称 谷胱甘肽过氧化酶3
别    名 Extracellular glutathione peroxidase; Glutathione peroxidase 3(plasma); Glutathione peroxidase 3; GPX 3; GPx P; GPx-3; GPx-P; GPX3; GPX3_HUMAN; GPXP; GSHPx 3; GSHPx P; GSHPx-3; GSHPx-P; Plasma glutathione peroxidase 3; Plasma glutathione peroxidase.  
Specific References  (2)     |     bs-22009R has been referenced in 2 publications.
[IF=5.719] Giovanna Chianese. et al. ROS-Generating Hyaluronic Acid-Modified Zirconium Dioxide-Acetylacetonate Nanoparticles as a Theranostic Platform for the Treatment of Osteosarcoma. NANOMATERIALS-BASEL. 2023 Jan;13(1):54  IF ;  Human.  
[IF=2.141] Ting Yao. et al. Differences of the anti-oxidative capability, GPX3, and Cu/ZnSOD expression in Hu sheep testis with different size at six-month-old. ANIM BIOTECHNOL. 2023 Feb 15  IHC ;  Sheep.  
研究领域 细胞生物  信号转导  新陈代谢  线粒体  
抗体来源 Rabbit
克隆类型 Polyclonal
克 隆 号
交叉反应 Rat (predicted: Human,Mouse,Pig,Cow)
产品应用 IHC-P=1:100-500,IHC-F=1:100-500,IF=1:100-500
not yet tested in other applications.
optimal dilutions/concentrations should be determined by the end user.
理论分子量 23 kDa
检测分子量
细胞定位 分泌型蛋白 线粒体
性    状 Liquid
浓    度 1mg/ml
免 疫 原 KLH conjugated synthetic peptide derived from human GPX3: 1-100/226 
亚    型 IgG
纯化方法 affinity purified by Protein A
缓 冲 液 0.01M TBS (pH7.4) with 1% BSA, 0.02% Proclin300 and 50% Glycerol.
保存条件 Shipped at 4℃. Store at -20℃ for one year. Avoid repeated freeze/thaw cycles.
注意事项 This product as supplied is intended for research use only, not for use in human, therapeutic or diagnostic applications.
PubMed PubMed
产品介绍 Glutathione peroxidases(Gpxs) are ubiquitously expressed proteins which catalyze the reduction of hydrogen peroxides and organichydroperoxides by glutathione. There are several isoforms which differ in their primary structure and localization. The classical cytosolic/mitochondrial GPx1 (cGPx) is a selenium-dependent enzyme, first of the GPxfamily to be discovered. GPx2, also known as gastrointestinal GPx(GI-GPx), is an intracellular enzyme expressed only at the epithelium of the gastrointestinal tract.Extracellular plasma GPx(pGPxor GPx3) is mainly expressed by the kidney from where it is released into the blood. Phospholipid hydroperoxide GPx4 (PH-GPx) expressed in most tissues, can reduce many hydroperoxides including hydroperoxides integrated in membranes, hydroperoxylipids in low density lipoprotein orthymine. All mammalian GPx family members, except for the recently described Cys containing GPx3 and epididymis-specific secretory GPx(eGPxor GPx5)isoforms, possess selenocysteine at the active site.

Function:
Protects cells and enzymes from oxidative damage, by catalyzing the reduction of hydrogen peroxide, lipid peroxides and organic hydroperoxide, by glutathione.

Subunit:
Homotetramer.

Subcellular Location:
Secreted.

Tissue Specificity:
Secreted in plasma.

Post-translational modifications:
The N-terminus is blocked.

Similarity:
Belongs to the glutathione peroxidase family.

SWISS:
P22352

Gene ID:
2878

Database links:
UniProtKB/Swiss-Prot: P22352.2

谷胱甘肽过氧化物酶(GSH-Px)是机体内广泛存在的一种重要的过氧化物分解酶。硒是GSH-Px酶系的组成成分,它能催化GSH变为GSSG,使有毒的过氧化物还原成无毒的羟基化合物,同时促进H2O2的分解,从而保护细胞膜的结构及功能不受过氧化物的干扰及损害。GSH-Px的活性中心是硒半胱氨酸,其活力大小可以反映机体硒水平。GSH-Px酶系主要包括4种不同的GSH-Px,分别为胞浆GSH-Px、血浆GSH-Px、磷脂氢过氧化物GSH-Px及胃肠道专属性GSH-Px。胞浆GSH-Px由4个相同的分子量大小为22kDa的亚基构成四聚体,每个亚基含有1个分子硒半胱氨酸,广泛存在于机体内各个组织,以肝脏红细胞为最多。它的生理功能主要是催化GSH参与过氧化反应,清除在细胞呼吸代谢过程中产生的过氧化物和羟自由基,从而减轻细胞膜多不饱和脂肪酸的过氧化作用
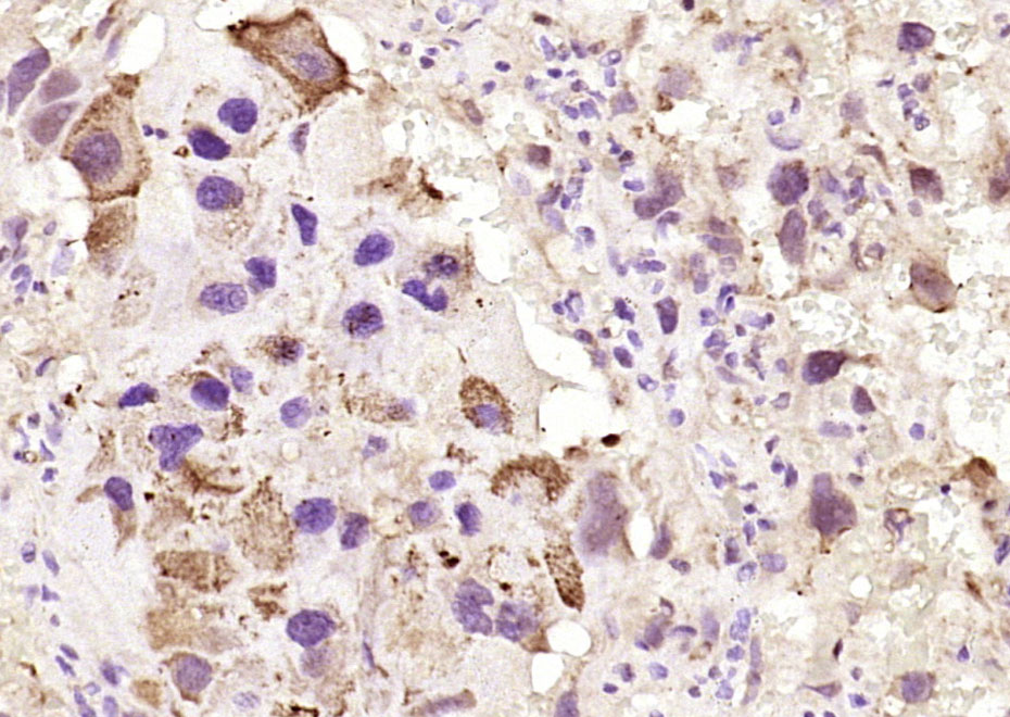
产品图片
Paraformaldehyde-fixed, paraffin embedded (rat placenta); Antigen retrieval by boiling in sodium citrate buffer (pH6.0) for 15min; Block endogenous peroxidase by 3% hydrogen peroxide for 20 minutes; Blocking buffer (normal goat serum) at 37°C for 30min; Antibody incubation with (GPX3) Polyclonal Antibody, Unconjugated (bs-22009R) at 1:400 overnight at 4°C, followed by operating according to SP Kit(Rabbit) (sp-0023) instructionsand DAB staining.
版权所有 2004-2026 www.bioss.com.cn 北京博奥森生物技术有限公司
通过国际质量管理体系ISO 9001:2015 GB/T 19001-2016    证书编号: 00124Q34771R2M/1100
通过国际医疗器械-质量管理体系ISO 13485:2016 GB/T 42061-2022     证书编号: CQC24QY20047R0M/1100
京ICP备05066980号-1         京公网安备110107000727号