扫码关注公众号           扫码咨询技术支持           扫码咨询技术服务
  
客服热线:400-901-9800  客服QQ:4009019800  技术答疑  技术支持  质量反馈  人才招聘  关于我们  联系我们
产品中心-北京博奥森生物技术有限公司
首页 > 产品中心 > 一抗 > 产品信息
Factor I light chain Rabbit pAb (bs-24314R)  
订购热线:400-901-9800
订购邮箱:sales@bioss.com.cn
订购QQ:  400-901-9800
技术支持:techsupport@bioss.com.cn
50ul/1180.00元
100ul/1980.00元
200ul/2800.00元
大包装/询价

产品编号 bs-24314R
英文名称 Factor I light chain Rabbit pAb
中文名称 补体因子I轻链抗体
别    名 AHUS3; ARMD13; C3BINA; C3b-INA; FI; IF; KAF; CFAI_HUMAN; CFI; C3B/C4B inactivator; 3.4.21.45;   
研究领域 心血管  免疫学  
抗体来源 Rabbit
克隆类型 Polyclonal
克 隆 号
交叉反应 Rat (predicted: Mouse,Cow)
产品应用 IHC-P=1:100-500,IHC-F=1:100-500,IF=1:100-500
not yet tested in other applications.
optimal dilutions/concentrations should be determined by the end user.
理论分子量 22 kDa
细胞定位 细胞外基质 分泌型蛋白 
性    状 Liquid
浓    度 1mg/ml
免 疫 原 KLH conjugated synthetic peptide derived from mouse Factor I light chain : 451-550/582 
亚    型 IgG
纯化方法 affinity purified by Protein A
缓 冲 液 0.01M TBS (pH7.4) with 1% BSA, 0.02% Proclin300 and 50% Glycerol.
保存条件 Shipped at 4℃. Store at -20℃ for one year. Avoid repeated freeze/thaw cycles.
注意事项 This product as supplied is intended for research use only, not for use in human, therapeutic or diagnostic applications.
PubMed PubMed
产品介绍 The complement pathway is an important host defense system that contributes to both innate and acquired immunity. There are three pathways of complement activation: the classical pathway, lectin pathway and alternative pathway. Complement protein Factor I is a key serine protease that modulates the complement cascade by regulating the levels of C3 convertases. It circulates in plasma as a heavily N-glycosylated heterodimer made up of two disulfide linked chains, each carrying three N-linked oligosaccharide chains that may have both structural and functional roles in the interactions with the natural substrate and the cofactor during catalysis. Factor I is a serine protease with a high degree of specificity for C3b and C4b. It requires protein cofactors for cleavage of these complement proteins; Factor H, CR1 or MCP are required for C3b cleavage, and C4bp or CR1 are required for C4b cleavage.

Function:
Responsible for cleaving the alpha-chains of C4b and C3b in the presence of the cofactors C4-binding protein and factor H respectively. Subcellular Location : Secreted; extracellular space.

Subcellular Location:
Secreted; extracellular space.

Tissue Specificity:
Plasma.

DISEASE:
Defects in CFI are a cause of susceptibility to hemolytic uremic syndrome atypical type 3 (AHUS3) [MIM:612923]. An atypical form of hemolytic uremic syndrome. It is a complex genetic disease characterized by microangiopathic hemolytic anemia, thrombocytopenia, renal failure and absence of episodes of enterocolitis and diarrhea. In contrast to typical hemolytic uremic syndrome, atypical forms have a poorer prognosis, with higher death rates and frequent progression to end-stage renal disease. Note=Susceptibility to the development of atypical hemolytic uremic syndrome can be conferred by mutations in various components of or regulatory factors in the complement cascade system. Other genes may play a role in modifying the phenotype. Defects in CFI are the cause of complement factor I deficiency (CFI deficiency) [MIM:610984]. CFI deficiency is an autosomal recessive condition associated with a propensity to pyogenic infections.

Similarity:
Belongs to the peptidase S1 family.
Contains 1 Kazal-like domain.
Contains 2 LDL-receptor class A domains.
Contains 1 peptidase S1 domain.
Contains 1 SRCR domain.

Database links:

Entrez Gene: 3426 Human

Omim: 217030 Human

SwissProt: P05156 Human

Unigene: 312485 Human



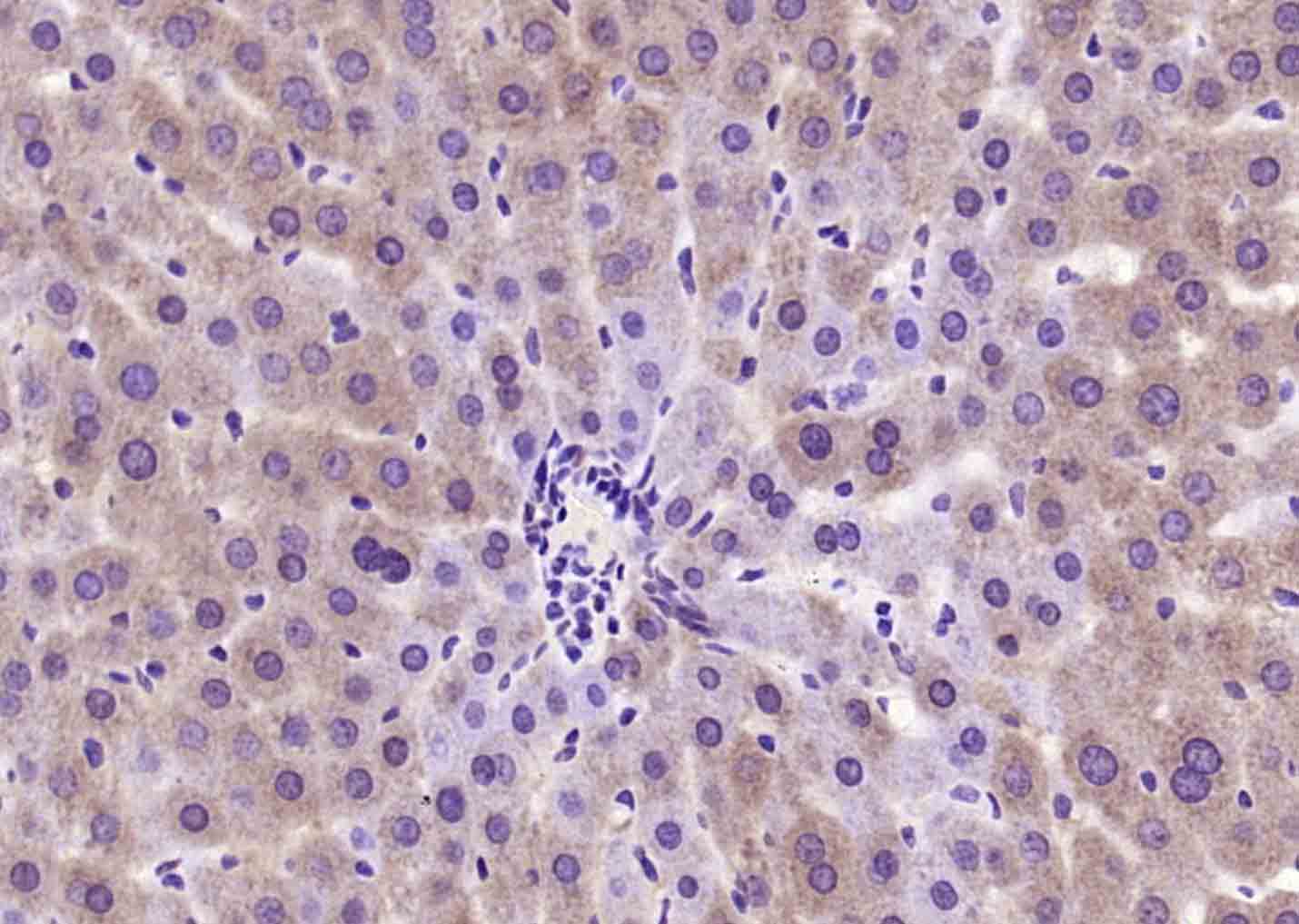
产品图片
Paraformaldehyde-fixed, paraffin embedded (rat liver); Antigen retrieval by boiling in sodium citrate buffer (pH6.0) for 15min; Block endogenous peroxidase by 3% hydrogen peroxide for 20 minutes; Blocking buffer (normal goat serum) at 37°C for 30min; Antibody incubation with (Factor I light chain) Polyclonal Antibody, Unconjugated (bs-24314R) at 1:400 overnight at 4°C, followed by operating according to SP Kit(Rabbit) (sp-0023) instructionsand DAB staining.
版权所有 2004-2026 www.bioss.com.cn 北京博奥森生物技术有限公司
通过国际质量管理体系ISO 9001:2015 GB/T 19001-2016    证书编号: 00124Q34771R2M/1100
通过国际医疗器械-质量管理体系ISO 13485:2016 GB/T 42061-2022     证书编号: CQC24QY20047R0M/1100
京ICP备05066980号-1         京公网安备110107000727号