扫码关注公众号           扫码咨询技术支持           扫码咨询技术服务
  
客服热线:400-901-9800  客服QQ:4009019800  技术答疑  技术支持  质量反馈  人才招聘  关于我们  联系我们
产品中心-北京博奥森生物技术有限公司
首页 > 产品中心 > 一抗 > 产品信息
ENPP1 Rabbit pAb (bs-22274R )  
订购热线:400-901-9800
订购邮箱:sales@bioss.com.cn
订购QQ:  400-901-9800
技术支持:techsupport@bioss.com.cn
50ul/1180.00元
100ul/1980.00元
200ul/2800.00元
大包装/询价

产品编号 bs-22274R
英文名称 ENPP1 Rabbit pAb
中文名称 核苷酸内焦磷酸酶/磷酸二酯酶1抗体
别    名 ARHR2; COLED; M6S1; NPP1; NPPS; PC-1; PCA1; PDNP1; 4833416E15Rik; CD203c; E-NPP 1; E-NPP1; Ly-41; Pca; Pca-1; ttw; twy; Pc1; ENPP1_HUMAN; ENPP1; Alkaline phosphodiesterase I; Membrane component chromosome 6 surface marker 1; Nucleotide diphosphatase; Nucl  
研究领域 肿瘤  免疫学  信号转导  激酶和磷酸酶  
抗体来源 Rabbit
克隆类型 Polyclonal
克 隆 号
交叉反应 Human (predicted: Mouse,Rat)
产品应用 IHC-P=1:100-500,IHC-F=1:100-500,IF=1:100-500
not yet tested in other applications.
optimal dilutions/concentrations should be determined by the end user.
理论分子量 100 kDa
细胞定位 细胞浆 
性    状 Liquid
浓    度 1mg/ml
免 疫 原 KLH conjugated synthetic peptide derived from mouse ENPP1 : 851-900/925 <Extracellular>
亚    型 IgG
缓 冲 液 0.01M TBS (pH7.4) with 1% BSA, 0.02% Proclin300 and 50% Glycerol.
保存条件 Shipped at 4℃. Store at -20℃ for one year. Avoid repeated freeze/thaw cycles.
注意事项 This product as supplied is intended for research use only, not for use in human, therapeutic or diagnostic applications.
PubMed PubMed
产品介绍 ENPP1 has a broad specificity and cleaves a variety of substrates, including phosphodiester bonds of nucleotides and nucleotide sugars and pyrophosphate bonds of nucleotides and nucleotide sugars. It can hydrolyze nucleoside 5' triphosphates such as ATP, GTP, CTP, TTP and UTP to their corresponding monophosphates with release of pyrophosphate. It can also hydrolyze diadenosine polyphosphates and 3',5'-cAMP to AMP. It may play a role in the regulation of pyrophosphate production, the regulation of the availability of nucleotide sugars in the endoplasmic reticulum and Golgi, and the regulation of purinergic signaling.
The subtilisin-like Prohormone Convertase (PC) family is a group of cellular enzymes that cleave most prohormones and neuropeptide precursors. Numerous other cellular proteins, some viral proteins, and bacterial toxins that are transported by the constitutive secretory pathway are also targeted for maturation by PCs. PC family members share structural similarities, which include a heterogeneous ~10 kDa amino-terminal proregion, a highly conserved ~55 kDa subtilisin-like catalytic domain, and carboxyl-terminal domain that is heterogeneous in length and sequence. These enzymes become catalytically active following proregion cleavage within the appropriate cellular compartment. The subcellular localization of PC family members varies. Immunolocalization studies show that PC1 is found in the perinuclear region as well as the trans-Golgi network, whereas PC2 can be found in the trans-Golgi network as well as diffusely distributed in the peripheral cytoplasm.

Function:
Involved in the processing of hormone and other protein precursors at sites comprised of pairs of basic amino acid residues. Substrates include POMC, renin, enkephalin, dynorphin, somatostatin and insulin.

Subunit:
Homodimer; disulfide-linked.

Subcellular Location:
Cytoplasmic

Tissue Specificity:
Expressed in plasma cells and also in a number of non-lymphoid tissues, including the distal convoluted tubule of the kidney, chondrocytes and epididymis.

DISEASE:
Defects in PCSK1 are the cause of proprotein convertase 1 deficiency (PC1 deficiency) [MIM:600955]. PC1 deficiency is characterized by obesity, hypogonadism, hypoadrenalism, reactive hypoglycemia as well as marked small-intestinal absorptive dysfunction It is due to impaired processing of prohormones.

Similarity:
Belongs to the peptidase S8 family. Furin subfamily.

SWISS:
P06802

Gene ID:
18605

Database links:

Entrez Gene: 5167 Human

Entrez Gene: 18605 Mouse

Entrez Gene: 85496 Rat

Omim: 173335 Human

SwissProt: P22413 Human

SwissProt: P06802 Mouse

SwissProt: Q924C3 Rat

Unigene: 527295 Human

Unigene: 27254 Mouse

Unigene: 1199 Rat



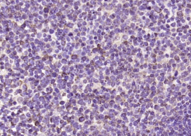
产品图片
Paraformaldehyde-fixed, paraffin embedded (human tonsil); Antigen retrieval by boiling in sodium citrate buffer (pH6.0) for 15min; Block endogenous peroxidase by 3% hydrogen peroxide for 20 minutes; Blocking buffer (normal goat serum) at 37°C for 30min; Antibody incubation with (ENPP1) Polyclonal Antibody, Unconjugated (bs-22274R) at 1:200 overnight at 4°C, followed by operating according to SP Kit(Rabbit) (sp-0023) instructionsand DAB staining.
版权所有 2004-2026 www.bioss.com.cn 北京博奥森生物技术有限公司
通过国际质量管理体系ISO 9001:2015 GB/T 19001-2016    证书编号: 00124Q34771R2M/1100
通过国际医疗器械-质量管理体系ISO 13485:2016 GB/T 42061-2022     证书编号: CQC24QY20047R0M/1100
京ICP备05066980号-1         京公网安备110107000727号