扫码关注公众号           扫码咨询技术支持           扫码咨询技术服务
  
客服热线:400-901-9800  客服QQ:4009019800  技术答疑  技术支持  质量反馈  关于我们  联系我们
产品中心-北京博奥森生物技术有限公司
首页 > 产品中心 > 一抗 > 产品信息
Oct4 Recombinant Rabbit mAb (bsm-52002R)  
订购热线:400-901-9800
订购邮箱:sales@bioss.com.cn
订购QQ:  400-901-9800
技术支持:techsupport@bioss.com.cn
50ul/1400.00元
100ul/2500.00元
大包装/询价

产品编号 bsm-52002R
英文名称 Oct4 Recombinant Rabbit mAb
中文名称 胚胎干细胞关键蛋白重组兔单抗
别    名 MGC22487; Oct 3; Oct 4; Oct-3; Oct-4; OCT3; Oct4; Octamer binding protein 3; Octamer-binding protein 3; Octamer binding protein 4; Octamer binding transcription factor 3; Octamer-binding transcription factor 3; Octamer-4; POU domain transcription factor OCT4; OTF3; OTF4; OTF 3; OTF 4; OTF-3; POU class 5 homeobox 1; POU domain, class 5, transcription factor 1; POU domain class 5 transcription factor 1; PO5F1_HUMAN; POU type homeodomain containing DNA binding protein; POU5F1.  
Specific References  (1)     |     bsm-52002R has been referenced in 1 publications.
[IF=2.13] Jijiong Zhang. et al. CircRNA hsa_circ_0075048 promotes the malignant progression of non-small cell lung cancer by up-regulating HMGB2 expression via targeting miR-1225-5p.. HISTOL HISTOPATHOL. 2022 Nov;:18551-18551  WB ;  Human.  
研究领域 细胞生物  发育生物学  信号转导  干细胞  细胞周期蛋白  转录调节因子  细胞类型标志物  表观遗传学  
抗体来源 Rabbit
克隆类型 Recombinant
克 隆 号 2D5
交叉反应 Human,Mouse (predicted: Rat)
产品应用 WB=1:500-2000,IHC-P=1:500-4000,IHC-F=1:500-4000,IF=1:500-4000,ICC/IF=1:50-200
not yet tested in other applications.
optimal dilutions/concentrations should be determined by the end user.
理论分子量 39 kDa
检测分子量
细胞定位 细胞核 
性    状 Liquid
浓    度 1mg/ml
免 疫 原 Recombinant human Oct 4 protein, around 1-100aa 
亚    型 IgG
纯化方法 affinity purified by Protein A
缓 冲 液 0.01M TBS (pH7.4) with 1% BSA, 0.02% Proclin300 and 50% Glycerol.
保存条件 Shipped at 4℃. Store at -20℃ for one year. Avoid repeated freeze/thaw cycles.
注意事项 This product as supplied is intended for research use only, not for use in human, therapeutic or diagnostic applications.
PubMed PubMed
产品介绍 Expression of the POU-domain transcription factor Octamer-4 (Oct-4) is widely regarded as a hallmark of pluripotent stem cells. The relationship of Oct-4 to pluripotent stem cells is indicated by its tightly restricted expression to undifferentiated pluripotent stem cells. Upon differentiation to somatic lineages, the expression of Oct-4 disappears rapidly. Unlike the majority of pluripotent stem cell markers, the biological role of Oct-4 has been well characterized. Studies performed in mice point to the critical role of Oct-4 in the establishment and/or maintenance of pluripotent stem cells in an uncommitted state.

Function:
Transcription factor that binds to the octamer motif (5'-ATTTGCAT-3'). Forms a trimeric complex with SOX2 on DNA and controls the expression of a number of genes involved in embryonic development such as YES1, FGF4, UTF1 and ZFP206.

Subunit:
Interacts with UBE2I and ZSCAN10. Interacts with PKM2. Interacts with WWP2.

Subcellular Location:
Nucleus.Note=Expressed in a diffuse and slightly punctuate pattern.

Tissue Specificity:
Expressed in developing brain. Highest levels found in specific cell layers of the cortex, the olfactory bulb, the hippocampus and the cerebellum. Low levels of expression in adult tissues.

Post-translational modifications:
Belongs to the POU transcription factor family. Class-5 subfamily.
Contains 1 homeobox DNA-binding domain.
Contains 1 POU-specific domain.

Similarity:
Belongs to the POU transcription factor family. Class-5 subfamily.
Contains 1 homeobox DNA-binding domain.
Contains 1 POU-specific domain.

SWISS:
Q01860

Gene ID:
5460

Database links:

Entrez Gene: 282316 Cow

Entrez Gene: 5460 Human

Entrez Gene: 18999 Mouse

Entrez Gene: 100127461 Pig

Entrez Gene: 294562 Rat

Omim: 164177 Human

SwissProt: O97552 Cow

SwissProt: Q01860 Human

SwissProt: P20263 Mouse

SwissProt: Q9TSV5 Pig

Unigene: 249184 Human

Unigene: 632482 Human

Unigene: 646545 Human

Unigene: 17031 Mouse

Unigene: 161748 Rat



产品图片
Western blot analysis of Oct4 on F9 cell lysates with Rabbit anti-Oct4 antibody (bsm-52002R) at 1/1,000 dilution. Lysates/proteins at 10 碌g/Lane. Predicted band size: 39 kDa Observed band size: 45 kDa Exposure time: 2 minutes; 12% SDS-PAGE gel. Proteins were transferred to a PVDF membrane and blocked with 5% NFDM/TBST for 1 hour at room temperature. The primary antibody (bsm-52002R) at 1/1,000 dilution was used in 5% NFDM/TBST at room temperature for 2 hours. Goat Anti-Rabbit IgG - HRP Secondary Antibody at 1:300,000 dilution was used for 1 hour at room temperature.
Western blot analysis of Oct4 on different lysates with Rabbit anti-Oct4 antibody (bsm-52002R) at 1/500 dilution. Lane 1: HES cell lysate Lane 2: NCCIT cell lysate Lysates/proteins at 10 碌g/Lane. Predicted band size: 39 kDa Observed band size: 45 kDa Exposure time: 1 minute; 10% SDS-PAGE gel. Proteins were transferred to a PVDF membrane and blocked with 5% NFDM/TBST for 1 hour at room temperature. The primary antibody (bsm-52002R) at 1/500 dilution was used in 5% NFDM/TBST at room temperature for 2 hours. Goat Anti-Rabbit IgG - HRP Secondary Antibody at 1:300,000 dilution was used for 1 hour at room temperature.
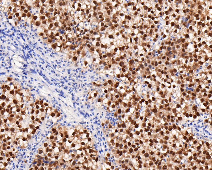
Immunohistochemical analysis of paraffin-embedded human seminoma tissue tissue with Rabbit anti-Oct4 antibody (ET1612-20) at 1/4,000 dilution. The section was pre-treated using heat mediated antigen retrieval with sodium citrate buffer (pH 6.0) for 2 minutes. The tissues were blocked in 1% BSA for 20 minutes at room temperature, washed with ddH2O and PBS, and then probed with the primary antibody (bsm-52002R) at 1/4,000 dilution for 1 hour at room temperature. The detection was performed using an HRP conjugated compact polymer system. DAB was used as the chromogen. Tissues were counterstained with hematoxylin and mounted with DPX.
Immunohistochemical analysis of paraffin-embedded mouse liver tissue using anti-Oct4 antibody. The section was pre-treated using heat mediated antigen retrieval with Tris-EDTA buffer (pH 8.0-8.4) for 20 minutes.The tissues were blocked in 5% BSA for 30 minutes at room temperature, washed with ddH2O and PBS, and then probed with the primary antibody (bsm-52002R, 1/50) for 30 minutes at room temperature. The detection was performed using an HRP conjugated compact polymer system. DAB was used as the chromogen. Tissues were counterstained with hematoxylin and mounted with DPX.
ICC staining of Oct4 in MCF-7 cells (green). Formalin fixed cells were permeabilized with 0.1% Triton X-100 in TBS for 10 minutes at room temperature and blocked with 1% Blocker BSA for 15 minutes at room temperature. Cells were probed with the primary antibody (bsm-52002R, 1/50) for 1 hour at room temperature, washed with PBS. Alexa Fluor®488 Goat anti-Rabbit IgG was used as the secondary antibody at 1/1,000 dilution. The nuclear counter stain is DAPI (blue).
ICC staining of Oct4 in N2A cells (green). Formalin fixed cells were permeabilized with 0.1% Triton X-100 in TBS for 10 minutes at room temperature and blocked with 1% Blocker BSA for 15 minutes at room temperature. Cells were probed with the primary antibody (bsm-52002R, 1/50) for 1 hour at room temperature, washed with PBS. Alexa Fluor®488 Goat anti-Rabbit IgG was used as the secondary antibody at 1/1,000 dilution. The nuclear counter stain is DAPI (blue).
版权所有 2004-2026 www.bioss.com.cn 北京博奥森生物技术有限公司
通过国际质量管理体系ISO 9001:2015 GB/T 19001-2016    证书编号: 00124Q34771R2M/1100
通过国际医疗器械-质量管理体系ISO 13485:2016 GB/T 42061-2022     证书编号: CQC24QY20047R0M/1100
京ICP备05066980号-1         京公网安备110107000727号