扫码关注公众号           扫码咨询技术支持           扫码咨询技术服务
  
客服热线:400-901-9800  客服QQ:4009019800  技术答疑  技术支持  质量反馈  人才招聘  关于我们  联系我们
产品中心-北京博奥森生物技术有限公司
首页 > 产品中心 > 一抗 > 产品信息
HDAC7 Recombinant Rabbit mAb (bsm-52087R)  
订购热线:400-901-9800
订购邮箱:sales@bioss.com.cn
订购QQ:  400-901-9800
技术支持:techsupport@bioss.com.cn
50ul/1400.00元
100ul/2500.00元
大包装/询价

产品编号 bsm-52087R
英文名称 HDAC7 Recombinant Rabbit mAb
中文名称 组蛋白去乙酰化酶7重组兔单抗
别    名 HD7; HD7A; HDAC7A; 5830434K02Rik; mFLJ00062; HDAC7_HUMAN; HDAC7; Histone deacetylase 7A (HD7a); Protein deacetylase HDAC7; 3.5.1.98; HDAC7_MOUSE; HDAC7_RAT; histone deacetylase 7; histone deacetylase 7A  
研究领域 肿瘤  发育生物学  信号转导  细胞凋亡  转录调节因子  表观遗传学  
抗体来源 Rabbit
克隆类型 Recombinant
克 隆 号 3H7
交叉反应 Human,Mouse,Rat
产品应用 WB=1:500-2000,IHC-P=1:100-500,IHC-F=1:100-500,IF=1:100-500,Flow-Cyt=1:50-100,ICC/IF=1:50-200
not yet tested in other applications.
optimal dilutions/concentrations should be determined by the end user.
理论分子量 105kDa
检测分子量 100-120
细胞定位 细胞核 细胞浆 
性    状 Liquid
浓    度 1mg/ml
免 疫 原 A synthesized peptide derived from human HDAC7: 35-200 
亚    型 IgG
纯化方法 affinity purified by Protein A
缓 冲 液 0.01M TBS (pH7.4) with 1% BSA, 0.02% Proclin300 and 50% Glycerol.
保存条件 Shipped at 4℃. Store at -20℃ for one year. Avoid repeated freeze/thaw cycles.
注意事项 This product as supplied is intended for research use only, not for use in human, therapeutic or diagnostic applications.
PubMed PubMed
产品介绍 Histones play a critical role in transcriptional regulation, cell cycle progression, and developmental events. Histone acetylation/deacetylation alters chromosome structure and affects transcription factor access to DNA. The protein encoded by this gene has sequence homology to members of the histone deacetylase family. This gene is orthologous to mouse HDAC7 gene whose protein promotes repression mediated via the transcriptional corepressor SMRT. Alternatively spliced transcript variants encoding different isoforms have been found for this gene. [provided by RefSeq, Jul 2008]

Function:
Responsible for the deacetylation of lysine residues on the N-terminal part of the core histones (H2A, H2B, H3 and H4). Histone deacetylation gives a tag for epigenetic repression and plays an important role in transcriptional regulation, cell cycle progression and developmental events. Histone deacetylases act via the formation of large multiprotein complexes. Involved in muscle maturation by repressing transcription of myocyte enhancer factors such as MEF2A, MEF2B and MEF2C. During muscle differentiation, it shuttles into the cytoplasm, allowing the expression of myocyte enhancer factors (By similarity). May be involved in Epstein-Barr virus (EBV) latency, possibly by repressing the viral BZLF1 gene.

Subunit:
Interacts with HDAC1, HDAC2, HDAC3, HDAC4, HDAC5, NCOR1, NCOR2, SIN3A, SIN3B, RBBP4, RBBP7, MTA1L1, SAP30 and MBD3. Interacts with the 14-3-3 protein YWHAE, MEF2A, MEF2B and MEF2C. Interacts with KAT5 and EDNRA. Interacts with KDM5B. Interacts with ZMYND15. Interacts with PML (isoform PML-4).

Subcellular Location:
Nucleus. Cytoplasm. Note=In the nucleus, it associates with distinct subnuclear dot-like structures. Shuttles between the nucleus and the cytoplasm. Treatment with EDN1 results in shuttling from the nucleus to the perinuclear region. The export to cytoplasm depends on the interaction with the 14-3-3 protein YWHAE and is due to its phosphorylation.

Post-translational modifications:
May be phosphorylated by CaMK1. Phosphorylated by the PKC kinases PKN1 and PKN2, impairing nuclear import. Phosphorylation at Ser-155 by MARK2, MARK3 and PRKD1 promotes interaction with 14-3-3 proteins and export from the nucleus. Phosphorylation at Ser-155 is a prerequisite for phosphorylation at Ser-181.

Similarity:
Belongs to the histone deacetylase family. HD type 2 subfamily.

SWISS:
Q8WUI4

Gene ID:
51564

Database links:

Entrez Gene: 51564 Human

Entrez Gene: 56233 Mouse

Entrez Gene: 84582 Rat

SwissProt: Q8WUI4 Human

SwissProt: Q8C2B3 Mouse

SwissProt: Q99P96 Rat



产品图片
25 ug total protein per lane of various lysates (see on figure) probed with HDAC7 monoclonal antibody, unconjugated (bsm-52087R) at 1:1000 dilution and 4°C overnight incubation. Followed by conjugated secondary antibody incubation at r.t. for 60 min.
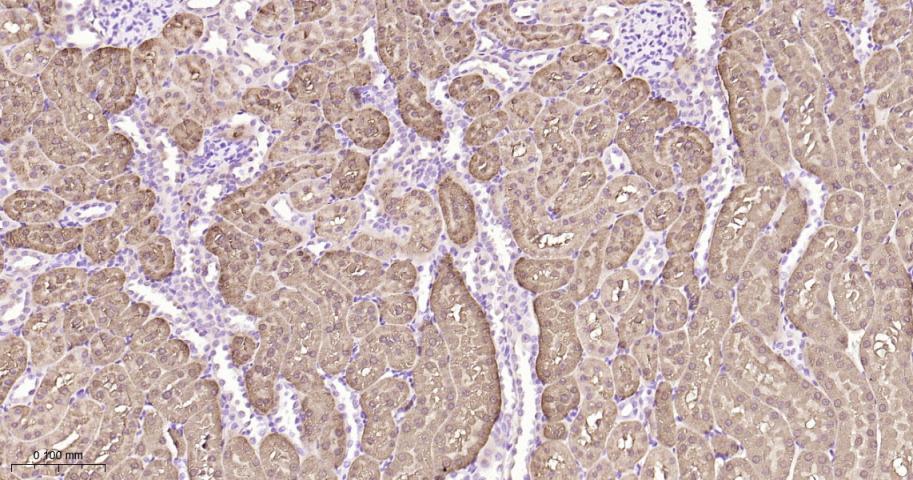
Paraformaldehyde-fixed, paraffin embedded Human Kidney Cancer; Antigen retrieval by boiling in sodium citrate buffer (pH6.0) for 15 min; The section was incubated with HDAC7 Monoclonal Antibody, Unconjugated (bsm-52087R) at 1:200 overnight at 4°C, followed by conjugation to the bs-0295G-HRP and DAB (C-0010) staining.
Paraformaldehyde-fixed, paraffin embedded Human Breast Cancer; Antigen retrieval by boiling in sodium citrate buffer (pH6.0) for 15 min; The section was incubated with HDAC7 Monoclonal Antibody, Unconjugated (bsm-52087R) at 1:200 overnight at 4°C, followed by conjugation to the bs-0295G-HRP and DAB (C-0010) staining.
Paraformaldehyde-fixed, paraffin embedded Human Ovarian Cancer; Antigen retrieval by boiling in sodium citrate buffer (pH6.0) for 15 min; The section was incubated with HDAC7 Monoclonal Antibody, Unconjugated (bsm-52087R) at 1:200 overnight at 4°C, followed by conjugation to the bs-0295G-HRP and DAB (C-0010) staining.
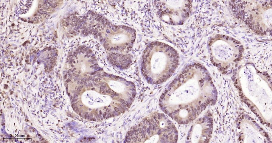
Paraformaldehyde-fixed, paraffin embedded Human Colon Cancer; Antigen retrieval by boiling in sodium citrate buffer (pH6.0) for 15 min; The section was incubated with HDAC7 Monoclonal Antibody, Unconjugated (bsm-52087R) at 1:200 overnight at 4°C, followed by conjugation to the bs-0295G-HRP and DAB (C-0010) staining.
Paraformaldehyde-fixed, paraffin embedded Human Glioma; Antigen retrieval by boiling in sodium citrate buffer (pH6.0) for 15 min; The section was incubated with HDAC7 Monoclonal Antibody, Unconjugated (bsm-52087R) at 1:200 overnight at 4°C, followed by conjugation to the bs-0295G-HRP and DAB (C-0010) staining.
Paraformaldehyde-fixed, paraffin embedded Human Lung Cancer; Antigen retrieval by boiling in sodium citrate buffer (pH6.0) for 15 min; The section was incubated with HDAC7 Monoclonal Antibody, Unconjugated (bsm-52087R) at 1:200 overnight at 4°C, followed by conjugation to the bs-0295G-HRP and DAB (C-0010) staining.
Paraformaldehyde-fixed, paraffin embedded Rat Heart; Antigen retrieval by boiling in sodium citrate buffer (pH6.0) for 15 min; The section was incubated with HDAC7 Monoclonal Antibody, Unconjugated (bsm-52087R) at 1:200 overnight at 4°C, followed by conjugation to the bs-0295G-HRP and DAB (C-0010) staining.
Paraformaldehyde-fixed, paraffin embedded Mouse Heart; Antigen retrieval by boiling in sodium citrate buffer (pH6.0) for 15 min; The section was incubated with HDAC7 Monoclonal Antibody, Unconjugated (bsm-52087R) at 1:200 overnight at 4°C, followed by conjugation to the bs-0295G-HRP and DAB (C-0010) staining.
Paraformaldehyde-fixed, paraffin embedded Rat Kidney; Antigen retrieval by boiling in sodium citrate buffer (pH6.0) for 15 min; The section was incubated with HDAC7 Monoclonal Antibody, Unconjugated (bsm-52087R) at 1:200 overnight at 4°C, followed by conjugation to the bs-0295G-HRP and DAB (C-0010) staining.
Paraformaldehyde-fixed, paraffin embedded Mouse Kidney; Antigen retrieval by boiling in sodium citrate buffer (pH6.0) for 15 min; The section was incubated with HDAC7 Monoclonal Antibody, Unconjugated (bsm-52087R) at 1:200 overnight at 4°C, followed by conjugation to the bs-0295G-HRP and DAB (C-0010) staining.
Paraformaldehyde-fixed, paraffin embedded Human Cerebrum; Antigen retrieval by boiling in sodium citrate buffer (pH6.0) for 15 min; The section was incubated with HDAC7 Monoclonal Antibody, Unconjugated (bsm-52087R) at 1:200 overnight at 4°C, followed by conjugation to the bs-0295G-HRP and DAB (C-0010) staining.
Paraformaldehyde-fixed, paraffin embedded Rat Cerebrum; Antigen retrieval by boiling in sodium citrate buffer (pH6.0) for 15 min; The section was incubated with HDAC7 Monoclonal Antibody, Unconjugated (bsm-52087R) at 1:200 overnight at 4°C, followed by conjugation to the bs-0295G-HRP and DAB (C-0010) staining.
Paraformaldehyde-fixed, paraffin embedded Mouse Cerebrum; Antigen retrieval by boiling in sodium citrate buffer (pH6.0) for 15 min; The section was incubated with HDAC7 Monoclonal Antibody, Unconjugated (bsm-52087R) at 1:200 overnight at 4°C, followed by conjugation to the bs-0295G-HRP and DAB (C-0010) staining.
版权所有 2004-2026 www.bioss.com.cn 北京博奥森生物技术有限公司
通过国际质量管理体系ISO 9001:2015 GB/T 19001-2016    证书编号: 00124Q34771R2M/1100
通过国际医疗器械-质量管理体系ISO 13485:2016 GB/T 42061-2022     证书编号: CQC24QY20047R0M/1100
京ICP备05066980号-1         京公网安备110107000727号