扫码关注公众号           扫码咨询技术支持           扫码咨询技术服务
  
客服热线:400-901-9800  客服QQ:4009019800  技术答疑  技术支持  质量反馈  人才招聘  关于我们  联系我们
产品中心-北京博奥森生物技术有限公司
首页 > 产品中心 > 一抗 > 产品信息
Histone H4 Recombinant Rabbit mAb (bsm-52111R)  
订购热线:400-901-9800
订购邮箱:sales@bioss.com.cn
订购QQ:  400-901-9800
技术支持:techsupport@bioss.com.cn
50ul/1400.00元
100ul/2500.00元
大包装/询价

产品编号 bsm-52111R
英文名称 Histone H4 Recombinant Rabbit mAb
中文名称 组蛋白H4重组兔单抗
别    名 H4-16; H4/p; H4C1; H4C11; H4C12; H4C13; H4C14; H4C15; H4C2; H4C3; H4C4; H4C5; H4C6; H4C8; H4C9; HIST4H4; H4/o; H4C16; HIST2H4B; H4/m; H4FM; H4M; HIST1H4I; TEBIVANED4; TEVANED4; H4FA; HIST1H4A; H4/b; H4FB; HIST1H4D; dJ221C16.9; H4; H4/c; H4FC; HIST1H4F; H4  
研究领域 染色质和核信号  表观遗传学  
抗体来源 Rabbit
克隆类型 Recombinant
克 隆 号 2G2
交叉反应 Human,Mouse,Rat
产品应用 WB=1:500-2000,IHC-P=1:200-1000,IHC-F=1:200-1000,IF=1:200-1000,Flow-Cyt=1ug/Test
not yet tested in other applications.
optimal dilutions/concentrations should be determined by the end user.
理论分子量 11 kDa
检测分子量 11
细胞定位 细胞核 细胞浆 
性    状 Liquid
浓    度 1mg/ml
免 疫 原 A synthesized peptide derived from human Histone H4: 80-103/103 
亚    型 IgG
纯化方法 affinity purified by Protein A
缓 冲 液 0.01M TBS (pH7.4) with 1% BSA, 0.02% Proclin300 and 50% Glycerol.
保存条件 Shipped at 4℃. Store at -20℃ for one year. Avoid repeated freeze/thaw cycles.
注意事项 This product as supplied is intended for research use only, not for use in human, therapeutic or diagnostic applications.
PubMed PubMed
产品介绍 Histones are basic nuclear proteins that are responsible for the nucleosome structure of the chromosomal fiber in eukaryotes. Nucleosomes consist of approximately 146 bp of DNA wrapped around a histone octamer composed of pairs of each of the four core histones (H2A, H2B, H3, and H4). The chromatin fiber is further compacted through the interaction of a linker histone, H1, with the DNA between the nucleosomes to form higher order chromatin structures. This gene is intronless and encodes a member of the histone H4 family. Transcripts from this gene lack polyA tails; instead, they contain a palindromic termination element. [provided by RefSeq, Jul 2008].

Function:
Core component of nucleosome. Nucleosomes wrap and compact DNA into chromatin, limiting DNA accessibility to the cellular machineries which require DNA as a template. Histones thereby play a central role in transcription regulation, DNA repair, DNA replication and chromosomal stability. DNA accessibility is regulated via a complex set of post-translational modifications of histones, also called histone code, and nucleosome remodeling.

Subunit:
The nucleosome is a histone octamer containing two molecules each of H2A, H2B, H3 and H4 assembled in one H3-H4 heterotetramer and two H2A-H2B heterodimers. The octamer wraps approximately 147 bp of DNA.

Subcellular Location:
Nucleus. Chromosome.

Post-translational modifications:
Acetylation at Lys-6 (H4K5ac), Lys-9 (H4K8ac), Lys-13 (H4K12ac) and Lys-17 (H4K16ac) occurs in coding regions of the genome but not in heterochromatin.
Citrullination at Arg-4 (H4R3ci) by PADI4 impairs methylation.
Monomethylation and asymmetric dimethylation at Arg-4 (H4R3me1 and H4R3me2a, respectively) by PRMT1 favors acetylation at Lys-9 (H4K8ac) and Lys-13 (H4K12ac). Demethylation is performed by JMJD6. Symmetric dimethylation on Arg-4 (H4R3me2s) by the PRDM1/PRMT5 complex may play a crucial role in the germ-cell lineage.
Monomethylated, dimethylated or trimethylated at Lys-21 (H4K20me1, H4K20me2, H4K20me3). Monomethylation is performed by SET8. Trimethylation is performed by SUV420H1 and SUV420H2 and induces gene silencing.
Phosphorylated by PAK2 at Ser-48 (H4S47ph). This phosphorylation increases the association of H3.3-H4 with the histone chaperone HIRA, thus promoting nucleosome assembly of H3.3-H4 and inhibiting nucleosome assembly of H3.1-H4.
Ubiquitinated by the CUL4-DDB-RBX1 complex in response to ultraviolet irradiation. This may weaken the interaction between histones and DNA and facilitate DNA accessibility to repair proteins. Monoubiquitinated at Lys-92 of histone H4 (H4K91ub1) in response to DNA damage. The exact role of H4K91ub1 in DNA damage response is still unclear but it may function as a licensing signal for additional histone H4 post-translational modifications such as H4 Lys-21 methylation (H4K20me).
Sumoylated, which is associated with transcriptional repression.
Crotonylation (Kcr) is specifically present in male germ cells and marks testis-specific genes in post-meiotic cells, including X-linked genes that escape sex chromosome inactivation in haploid cells. Crotonylation marks active promoters and enhancers and confers resistance to transcriptional repressors. It is also associated with post-meiotically activated genes on autosomes.

Similarity:
Belongs to the histone H4 family.

SWISS:
P62805

Gene ID:
8370

Database links:

Entrez Gene: 121504 Human

Entrez Gene: 554313 Human

Entrez Gene: 8294 Human

Entrez Gene: 8359 Human

Entrez Gene: 8360 Human

Entrez Gene: 8361 Human

Entrez Gene: 8362 Human

Entrez Gene: 8363 Human

Entrez Gene: 8364 Human

Entrez Gene: 8365 Human

Entrez Gene: 8366 Human

Entrez Gene: 8367 Human

Entrez Gene: 8368 Human

Entrez Gene: 8370 Human

Entrez Gene: 100041230 Mouse

Entrez Gene: 100862646 Mouse

Entrez Gene: 319155 Mouse

Entrez Gene: 319156 Mouse

Entrez Gene: 319157 Mouse

Entrez Gene: 319158 Mouse

Entrez Gene: 319159 Mouse

Entrez Gene: 319160 Mouse

Entrez Gene: 319161 Mouse

Entrez Gene: 320332 Mouse

Entrez Gene: 326619 Mouse

Entrez Gene: 326620 Mouse

Entrez Gene: 69386 Mouse

Entrez Gene: 97122 Mouse

GenBank: NM_003548 Human

Omim: 142750 Human

SwissProt: P02304 Human

SwissProt: P62805 Human

SwissProt: P02304 Mouse

SwissProt: P62806 Mouse

SwissProt: P02304 Rat

Unigene: 143080 Human

Unigene: 247816 Human

Unigene: 248172 Human

Unigene: 248178 Human

Unigene: 248179 Human

Unigene: 278483 Human

Unigene: 352191 Human

Unigene: 46423 Human

Unigene: 528055 Human

Unigene: 533295 Human

Unigene: 55468 Human

Unigene: 591790 Human

Unigene: 655235 Human

Unigene: 662174 Human

Unigene: 706635 Human

Unigene: 742244 Human

Unigene: 14775 Mouse

Unigene: 158272 Mouse

Unigene: 227295 Mouse

Unigene: 228709 Mouse

Unigene: 246720 Mouse

Unigene: 255646 Mouse

Unigene: 260530 Mouse

Unigene: 261642 Mouse

Unigene: 261662 Mouse

Unigene: 261664 Mouse

Unigene: 377875 Mouse

Unigene: 442307 Mouse

Unigene: 486099 Mouse

Unigene: 489077 Mouse



产品图片
25 ug total protein per lane of various lysates (see on figure) probed with Histone H4 monoclonal antibody, unconjugated (bsm-52111R) at 1:1000 dilution and 4°C overnight incubation. Followed by conjugated secondary antibody incubation at r.t. for 60 min.
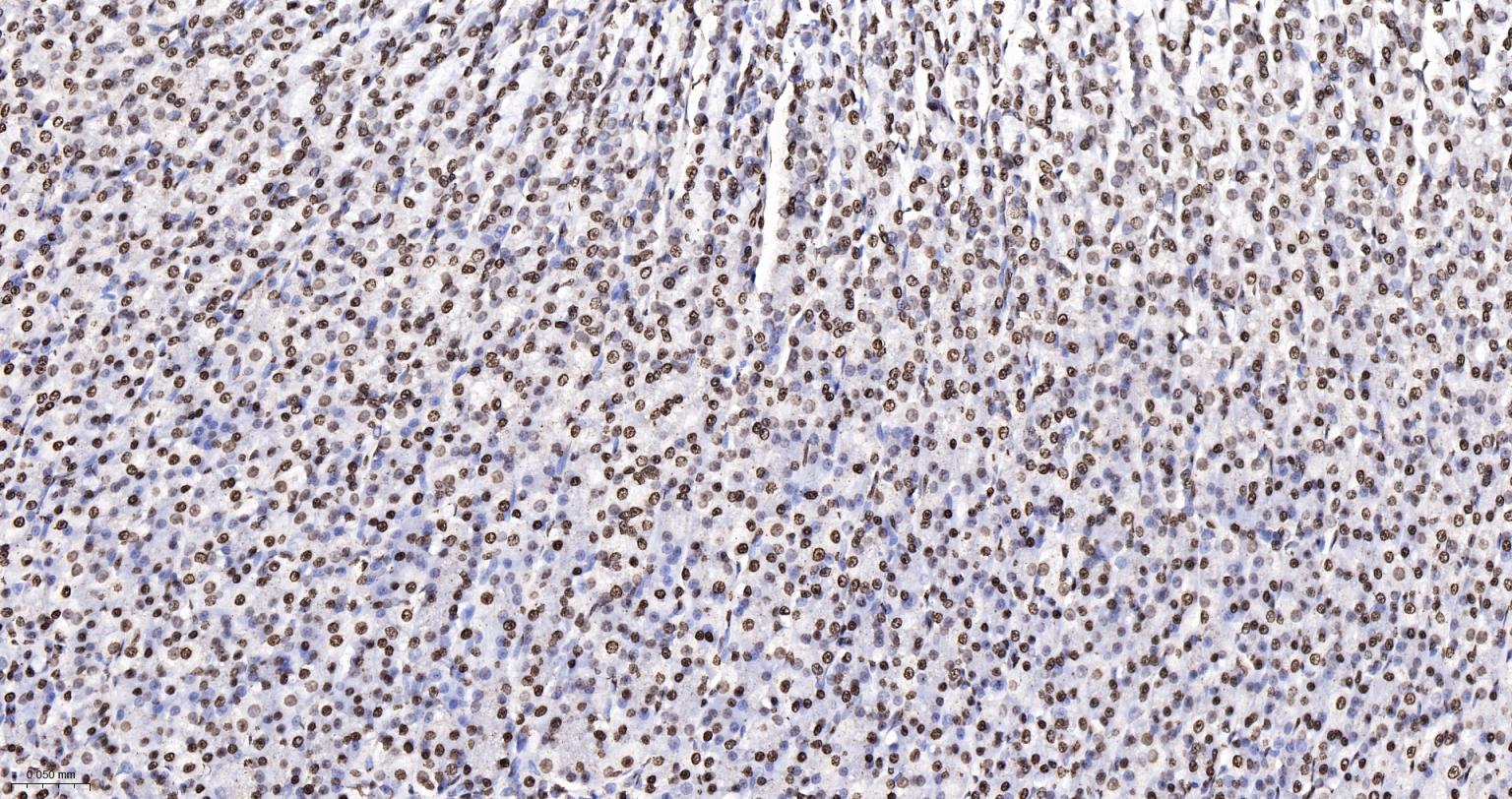
Paraformaldehyde-fixed, paraffin embedded Rat Liver; Antigen retrieval by boiling in sodium citrate buffer (pH6.0) for 15 min; The section was incubated with Histone H4 Monoclonal Antibody, Unconjugated (bsm-52111R) at 1:200 overnight at 4°C, followed by conjugation to the bs-0295G-HRP and DAB (C-0010) staining.
Paraformaldehyde-fixed, paraffin embedded Mouse Liver; Antigen retrieval by boiling in sodium citrate buffer (pH6.0) for 15 min; The section was incubated with Histone H4 Monoclonal Antibody, Unconjugated (bsm-52111R) at 1:200 overnight at 4°C, followed by conjugation to the bs-0295G-HRP and DAB (C-0010) staining.
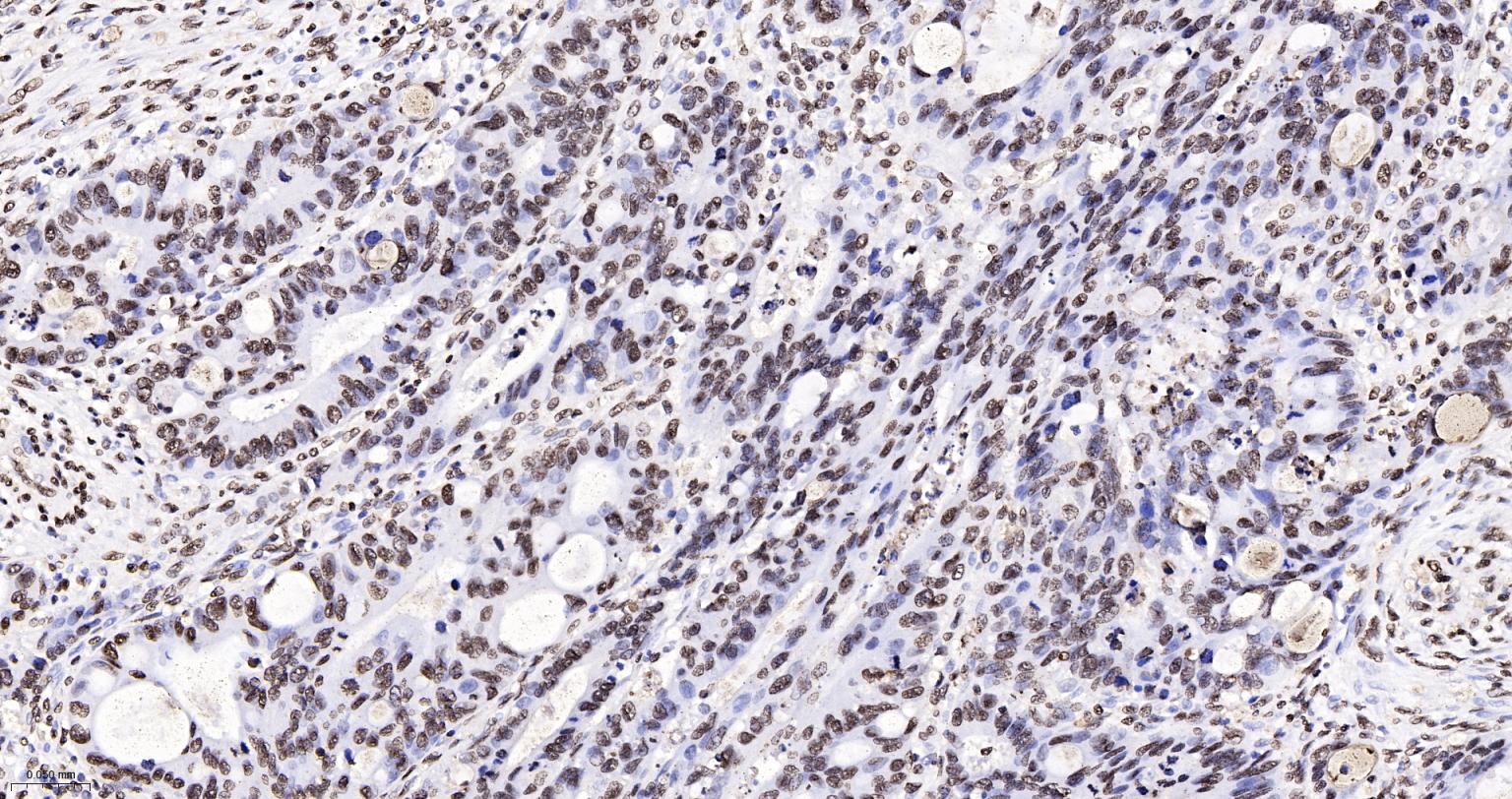
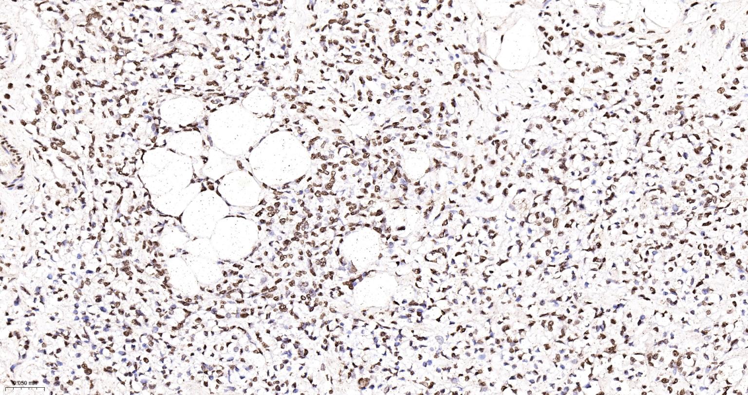
Paraformaldehyde-fixed, paraffin embedded Human Lung Cancer; Antigen retrieval by boiling in sodium citrate buffer (pH6.0) for 15 min; Antibody incubation with Histone H4 Monoclonal Antibody, Unconjugated(bsm-52111R) at 1:200 overnight at 4°C, followed by conjugation to the bs-0295G-HRP and DAB (C-0010) staining.
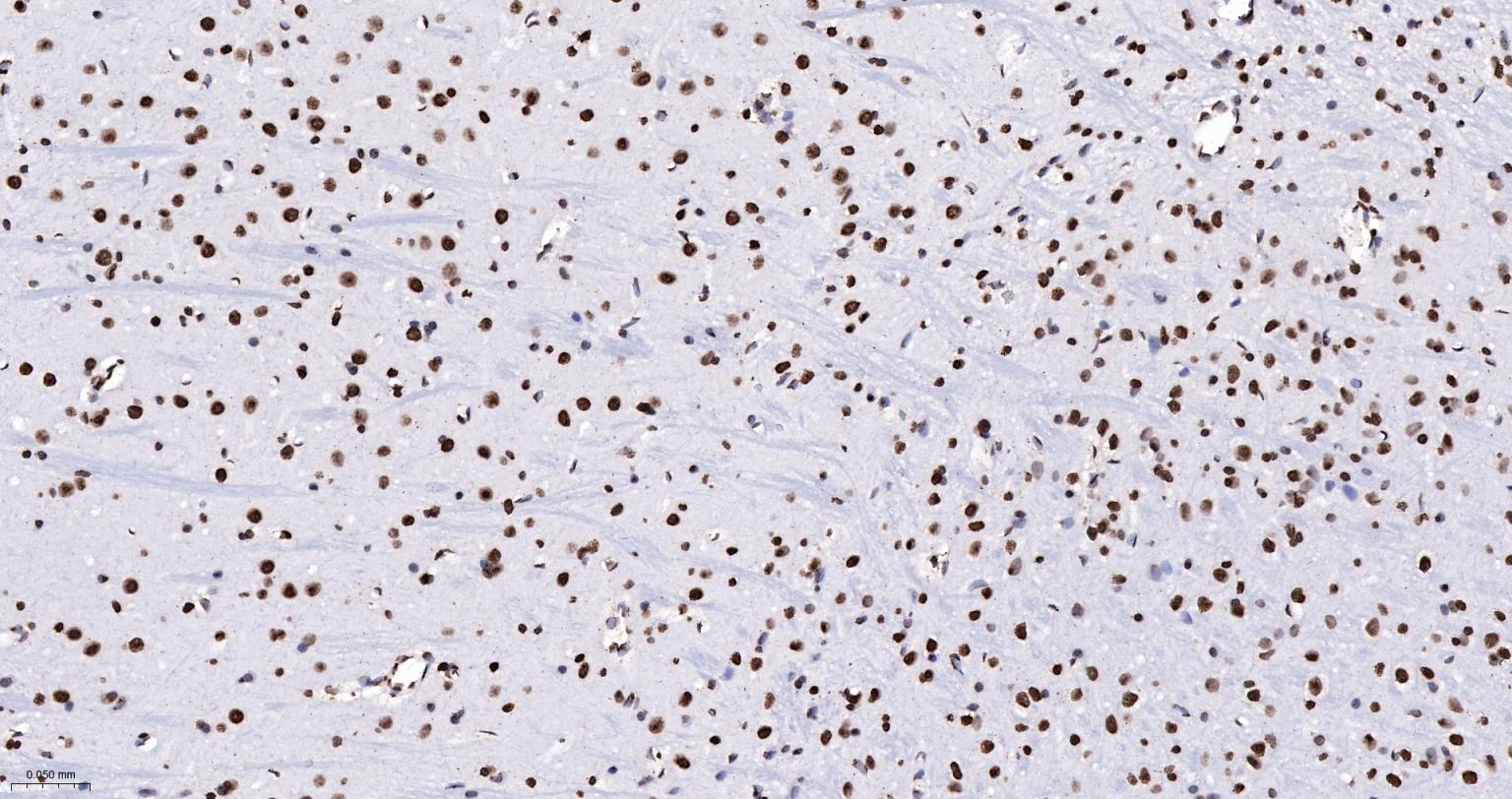
Paraformaldehyde-fixed, paraffin embedded Human Cerebrum; Antigen retrieval by boiling in sodium citrate buffer (pH6.0) for 15 min; Antibody incubation with Histone H4 Monoclonal Antibody, Unconjugated(bsm-52111R) at 1:200 overnight at 4°C, followed by conjugation to the bs-0295G-HRP and DAB (C-0010) staining.
Paraformaldehyde-fixed, paraffin embedded Rat Cerebrum; Antigen retrieval by boiling in sodium citrate buffer (pH6.0) for 15 min; Antibody incubation with Histone H4 Monoclonal Antibody, Unconjugated(bsm-52111R) at 1:200 overnight at 4°C, followed by conjugation to the bs-0295G-HRP and DAB (C-0010) staining.
Paraformaldehyde-fixed, paraffin embedded Mouse Cerebrum; Antigen retrieval by boiling in sodium citrate buffer (pH6.0) for 15 min; Antibody incubation with Histone H4 Monoclonal Antibody, Unconjugated(bsm-52111R) at 1:200 overnight at 4°C, followed by conjugation to the bs-0295G-HRP and DAB (C-0010) staining.
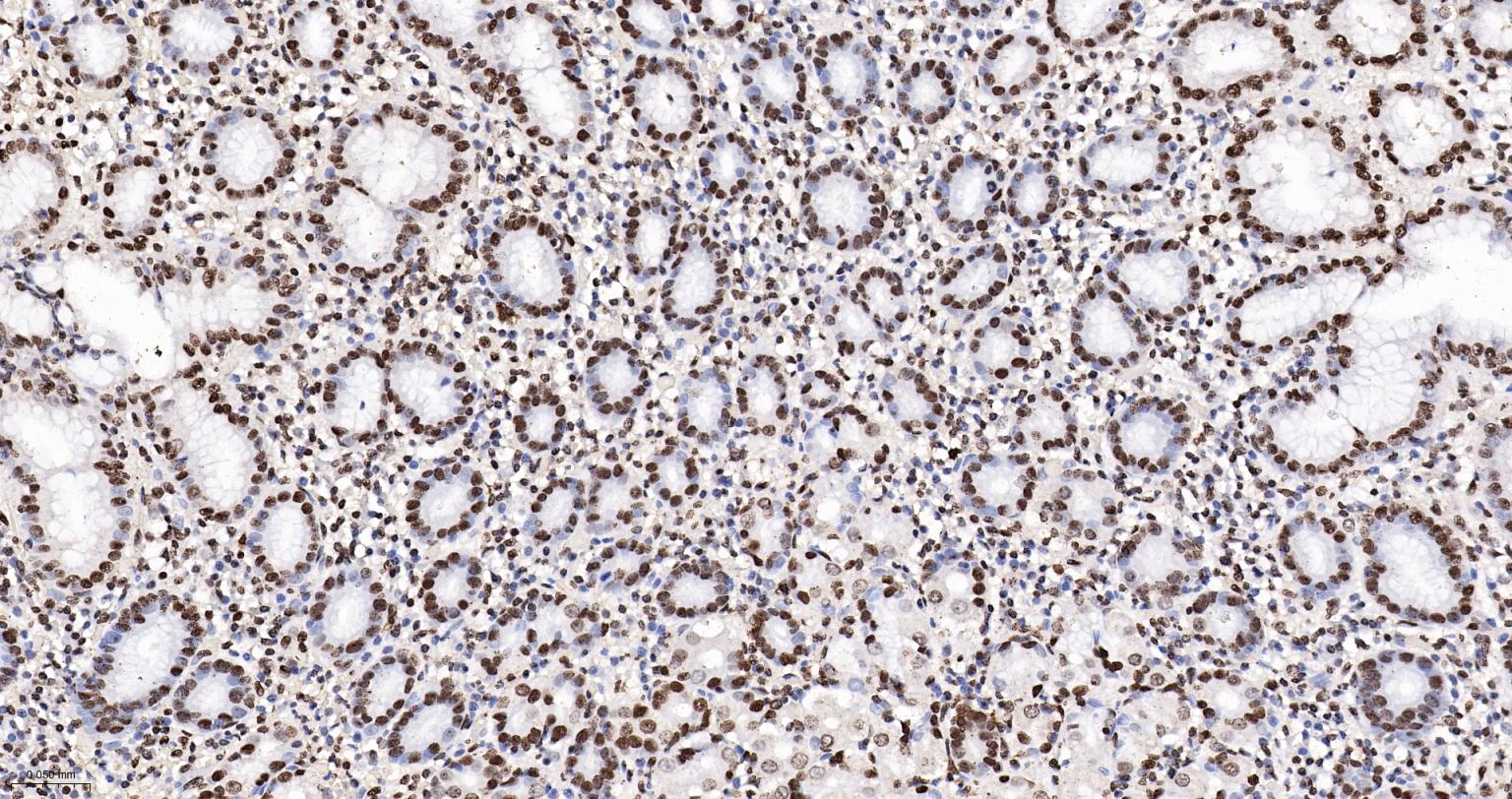
Paraformaldehyde-fixed, paraffin embedded Rat Colon; Antigen retrieval by boiling in sodium citrate buffer (pH6.0) for 15 min; Antibody incubation with Histone H4 Monoclonal Antibody, Unconjugated(bsm-52111R) at 1:200 overnight at 4°C, followed by conjugation to the bs-0295G-HRP and DAB (C-0010) staining.
Paraformaldehyde-fixed, paraffin embedded Mouse Colon; Antigen retrieval by boiling in sodium citrate buffer (pH6.0) for 15 min; Antibody incubation with Histone H4 Monoclonal Antibody, Unconjugated(bsm-52111R) at 1:200 overnight at 4°C, followed by conjugation to the bs-0295G-HRP and DAB (C-0010) staining.
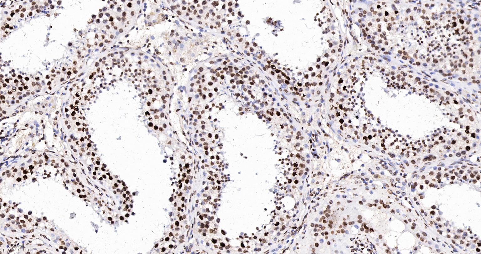
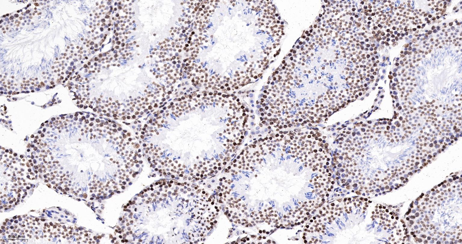
Paraformaldehyde-fixed, paraffin embedded Rat Testicles; Antigen retrieval by boiling in sodium citrate buffer (pH6.0) for 15 min; Antibody incubation with Histone H4 Monoclonal Antibody, Unconjugated(bsm-52111R) at 1:200 overnight at 4°C, followed by conjugation to the bs-0295G-HRP and DAB (C-0010) staining.
Paraformaldehyde-fixed, paraffin embedded Mouse Testicles; Antigen retrieval by boiling in sodium citrate buffer (pH6.0) for 15 min; Antibody incubation with Histone H4 Monoclonal Antibody, Unconjugated(bsm-52111R) at 1:200 overnight at 4°C, followed by conjugation to the bs-0295G-HRP and DAB (C-0010) staining.
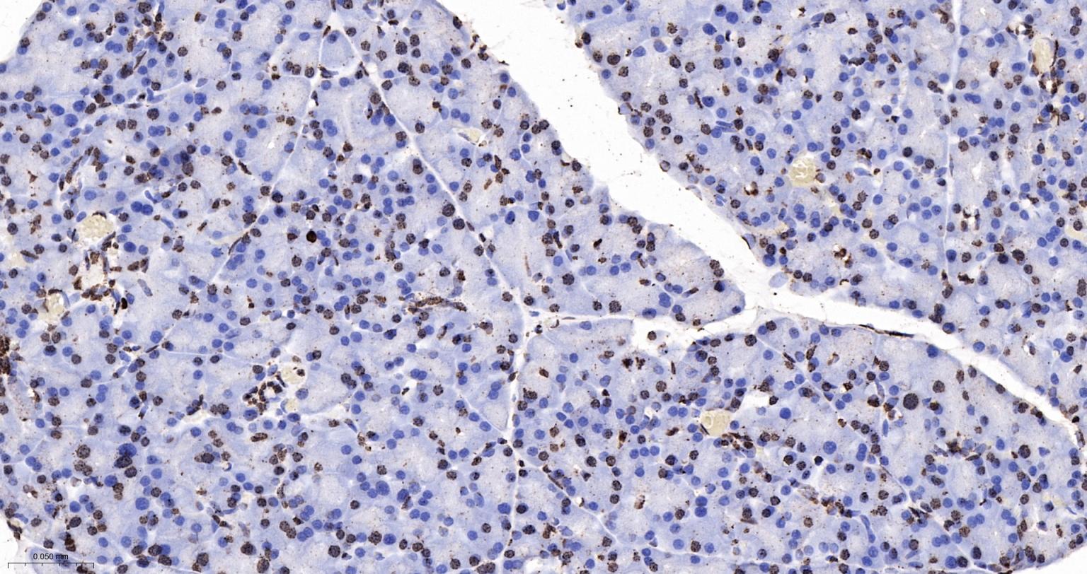
Paraformaldehyde-fixed, paraffin embedded Rat Pancreas; Antigen retrieval by boiling in sodium citrate buffer (pH6.0) for 15 min; Antibody incubation with Histone H4 Monoclonal Antibody, Unconjugated(bsm-52111R) at 1:200 overnight at 4°C, followed by conjugation to the bs-0295G-HRP and DAB (C-0010) staining.
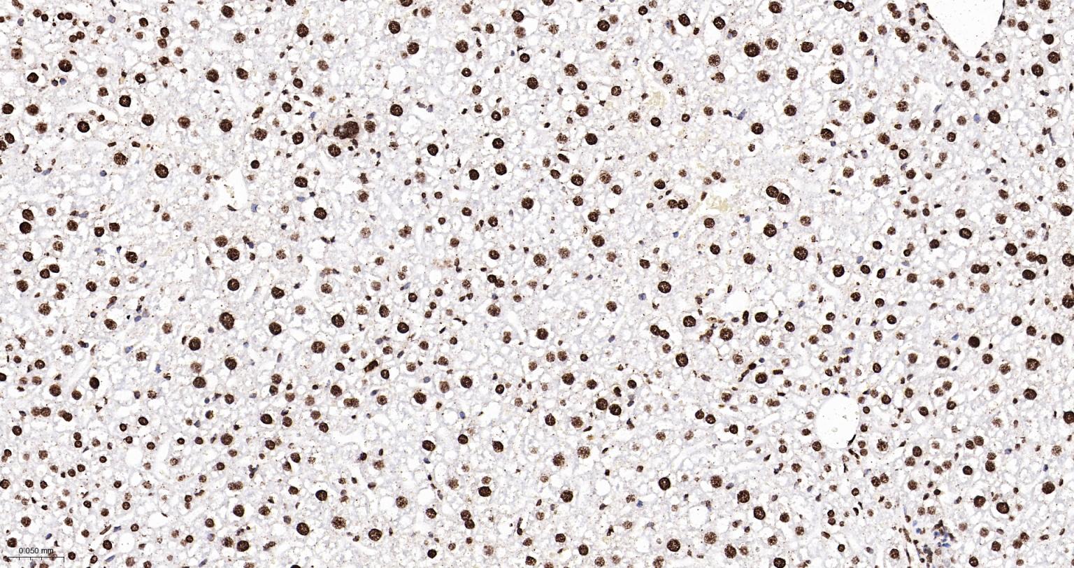
Paraformaldehyde-fixed, paraffin embedded Human Liver; Antigen retrieval by boiling in sodium citrate buffer (pH6.0) for 15 min; Antibody incubation with Histone H4 Monoclonal Antibody, Unconjugated(bsm-52111R) at 1:200 overnight at 4°C, followed by conjugation to the bs-0295G-HRP and DAB (C-0010) staining.
Paraformaldehyde-fixed, paraffin embedded Human Colon Cancer; Antigen retrieval by boiling in sodium citrate buffer (pH6.0) for 15 min; Antibody incubation with Histone H4 Monoclonal Antibody, Unconjugated(bsm-52111R) at 1:200 overnight at 4°C, followed by conjugation to the bs-0295G-HRP and DAB (C-0010) staining.
Paraformaldehyde-fixed, paraffin embedded Human Breast Cancer; Antigen retrieval by boiling in sodium citrate buffer (pH6.0) for 15 min; Antibody incubation with Histone H4 Monoclonal Antibody, Unconjugated(bsm-52111R) at 1:200 overnight at 4°C, followed by conjugation to the bs-0295G-HRP and DAB (C-0010) staining.
Paraformaldehyde-fixed, paraffin embedded Human Pancreas; Antigen retrieval by boiling in sodium citrate buffer (pH6.0) for 15 min; Antibody incubation with Histone H4 Monoclonal Antibody, Unconjugated(bsm-52111R) at 1:200 overnight at 4°C, followed by conjugation to the bs-0295G-HRP and DAB (C-0010) staining.
Paraformaldehyde-fixed, paraffin embedded Mouse Pancreas; Antigen retrieval by boiling in sodium citrate buffer (pH6.0) for 15 min; Antibody incubation with Histone H4 Monoclonal Antibody, Unconjugated(bsm-52111R) at 1:200 overnight at 4°C, followed by conjugation to the bs-0295G-HRP and DAB (C-0010) staining.
Paraformaldehyde-fixed, paraffin embedded Human Stomach; Antigen retrieval by boiling in sodium citrate buffer (pH6.0) for 15 min; Antibody incubation with Histone H4 Monoclonal Antibody, Unconjugated(bsm-52111R) at 1:200 overnight at 4°C, followed by conjugation to the bs-0295G-HRP and DAB (C-0010) staining.
Paraformaldehyde-fixed, paraffin embedded Rat Stomach; Antigen retrieval by boiling in sodium citrate buffer (pH6.0) for 15 min; Antibody incubation with Histone H4 Monoclonal Antibody, Unconjugated(bsm-52111R) at 1:200 overnight at 4°C, followed by conjugation to the bs-0295G-HRP and DAB (C-0010) staining.
Paraformaldehyde-fixed, paraffin embedded Mouse Stomach; Antigen retrieval by boiling in sodium citrate buffer (pH6.0) for 15 min; Antibody incubation with Histone H4 Monoclonal Antibody, Unconjugated(bsm-52111R) at 1:200 overnight at 4°C, followed by conjugation to the bs-0295G-HRP and DAB (C-0010) staining.
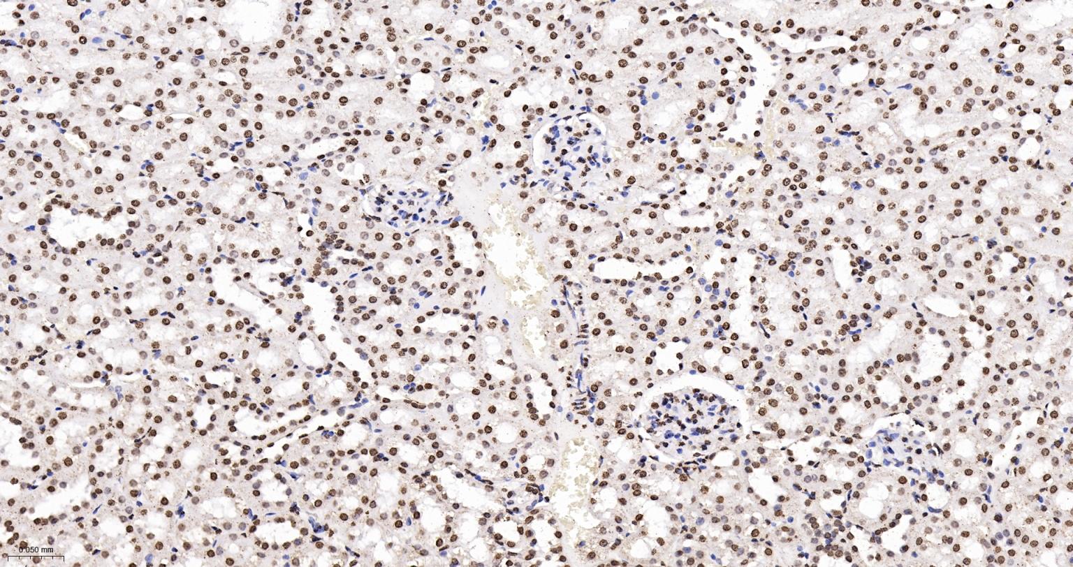
Paraformaldehyde-fixed, paraffin embedded Rat Kidney; Antigen retrieval by boiling in sodium citrate buffer (pH6.0) for 15 min; Antibody incubation with Histone H4 Monoclonal Antibody, Unconjugated(bsm-52111R) at 1:200 overnight at 4°C, followed by conjugation to the bs-0295G-HRP and DAB (C-0010) staining.
Paraformaldehyde-fixed, paraffin embedded Mouse Kidney; Antigen retrieval by boiling in sodium citrate buffer (pH6.0) for 15 min; Antibody incubation with Histone H4 Monoclonal Antibody, Unconjugated(bsm-52111R) at 1:200 overnight at 4°C, followed by conjugation to the bs-0295G-HRP and DAB (C-0010) staining.
Paraformaldehyde-fixed, paraffin embedded Human Colon; Antigen retrieval by boiling in sodium citrate buffer (pH6.0) for 15 min; Antibody incubation with Histone H4 Monoclonal Antibody, Unconjugated(bsm-52111R) at 1:200 overnight at 4°C, followed by conjugation to the bs-0295G-HRP and DAB (C-0010) staining.
Paraformaldehyde-fixed, paraffin embedded Human Testicles; Antigen retrieval by boiling in sodium citrate buffer (pH6.0) for 15 min; Antibody incubation with Histone H4 Monoclonal Antibody, Unconjugated(bsm-52111R) at 1:200 overnight at 4°C, followed by conjugation to the bs-0295G-HRP and DAB (C-0010) staining.
The Hela (H) cells were fixed with 4% PFA (10 min at r.t.) and then permeabilized with 90% ice-cold methanol for 20 min at -20℃,the cells then were incubated in 5%BSA to block non-specific protein-protein interactions (30 min at r.t.), followed by secondary antibody incubation for 40 min at room temperature. Primary Antibody (green):Rabbit Anti-Histone H4 antibody (bsm-52111R): 1 μg/10^6 cells; Isotype Control (orange): Rabbit IgG (bs-0295P). Blank control (black): PBS. Acquisition of 20,000 events was performed.
版权所有 2004-2026 www.bioss.com.cn 北京博奥森生物技术有限公司
通过国际质量管理体系ISO 9001:2015 GB/T 19001-2016    证书编号: 00124Q34771R2M/1100
通过国际医疗器械-质量管理体系ISO 13485:2016 GB/T 42061-2022     证书编号: CQC24QY20047R0M/1100
京ICP备05066980号-1         京公网安备110107000727号