扫码关注公众号           扫码咨询技术支持           扫码咨询技术服务
  
客服热线:400-901-9800  客服QQ:4009019800  技术答疑  技术支持  质量反馈  关于我们  联系我们
产品中心-北京博奥森生物技术有限公司
首页 > 产品中心 > 一抗 > 产品信息
IRF5 Recombinant Rabbit mAb (bsm-52117R)  
订购热线:400-901-9800
订购邮箱:sales@bioss.com.cn
订购QQ:  400-901-9800
技术支持:techsupport@bioss.com.cn
50ul/1400.00元
100ul/2500.00元
大包装/询价

产品编号 bsm-52117R
英文名称 IRF5 Recombinant Rabbit mAb
中文名称 干扰素调节因子5重组兔单抗
别    名 Interferon regulatory factor 5; Interferon regulatory factor 5 bone marrow variant; IRF 5; IRF-5; IRF5_HUMAN; SLEB10.  
研究领域 细胞生物  转录调节因子  表观遗传学  
抗体来源 Rabbit
克隆类型 Recombinant
克 隆 号 3F11
交叉反应 Human,Mouse,Rat
产品应用 WB=1:500-2000,IHC-P=1:50-200,IHC-F=1:50-200,IF=1:50-200,Flow-Cyt=1:50-100,ICC/IF=1:50-200
not yet tested in other applications.
optimal dilutions/concentrations should be determined by the end user.
理论分子量 56 kDa
检测分子量
细胞定位 细胞核 
性    状 Liquid
浓    度 1mg/ml
免 疫 原 Recombinant human IRF5 protein (1-200aa) 
亚    型 IgG
纯化方法 affinity purified by Protein A
缓 冲 液 0.01M TBS (pH7.4) with 1% BSA, 0.02% Proclin300 and 50% Glycerol.
保存条件 Shipped at 4℃. Store at -20℃ for one year. Avoid repeated freeze/thaw cycles.
注意事项 This product as supplied is intended for research use only, not for use in human, therapeutic or diagnostic applications.
PubMed PubMed
产品介绍 This gene encodes a member of the interferon regulatory factor (IRF) family, a group of transcription factors with diverse roles, including virus-mediated activation of interferon, and modulation of cell growth, differentiation, apoptosis, and immune system activity. Members of the IRF family are characterized by a conserved N-terminal DNA-binding domain containing tryptophan (W) repeats. Multiple transcript variants encoding different isoforms have been found for this gene, and a 30-nt indel polymorphism (SNP rs60344245) can result in loss of a 10-aa segment. [provided by RefSeq, Mar 2010]

Function:
Genetic variations in IRF5 are associated with susceptibility to inflammatory bowel disease type 14 (IBD14) [MIM:612245]. IBD14 is a chronic, relapsing inflammation of the gastrointestinal tract with a complex etiology. It is subdivided into Crohn disease and ulcerative colitis phenotypes. Crohn disease may affect any part of the gastrointestinal tract from the mouth to the anus, but most frequently it involves the terminal ileum and colon. Bowel inflammation is transmural and discontinuous; it may contain granulomas or be associated with intestinal or perianal fistulas. In contrast, in ulcerative colitis, the inflammation is continuous and limited to rectal and colonic mucosal layers; fistulas and granulomas are not observed. Both diseases include extraintestinal inflammation of the skin, eyes, or joints. Genetic variations in IRF5 are associated with susceptibility to systemic lupus erythematosus type 10 (SLEB10) [MIM:612251]. Systemic lupus erythematosus (SLE) is a chronic, inflammatory and often febrile multisystemic disorder of connective tissue. It affects principally the skin, joints, kidneys and serosal membranes. It is thought to represent a failure of the regulatory mechanisms of the autoimmune system.
Genetic variations in IRF5 are a cause of susceptibility to rheumatoid arthritis (RA) [MIM:180300]. It is a systemic inflammatory disease with autoimmune features and a complex genetic component. It primarily affects the joints and is characterized by inflammatory changes in the synovial membranes and articular structures, widespread fibrinoid degeneration of the collagen fibers in mesenchymal tissues, and by atrophy and rarefaction of bony structures.

Subcellular Location:
Nucleus.

DISEASE:
Genetic variations in IRF5 are associated with susceptibility to inflammatory bowel disease type 14 (IBD14) [MIM:612245]. IBD14 is a chronic, relapsing inflammation of the gastrointestinal tract with a complex etiology. It is subdivided into Crohn disease and ulcerative colitis phenotypes. Crohn disease may affect any part of the gastrointestinal tract from the mouth to the anus, but most frequently it involves the terminal ileum and colon. Bowel inflammation is transmural and discontinuous; it may contain granulomas or be associated with intestinal or perianal fistulas. In contrast, in ulcerative colitis, the inflammation is continuous and limited to rectal and colonic mucosal layers; fistulas and granulomas are not observed. Both diseases include extraintestinal inflammation of the skin, eyes, or joints.

Similarity:
Belongs to the IRF family.
Contains 1 IRF tryptophan pentad repeat DNA-binding domain.

SWISS:
Q13568

Gene ID:
3663

Database links:

Entrez Gene: 3663 Human

Entrez Gene: 27056 Mouse

Entrez Gene: 296953 Rat

Omim: 607218 Human

SwissProt: Q13568 Human

SwissProt: P56477 Mouse

Unigene: 521181 Human

Unigene: 6479 Mouse

Unigene: 203787 Rat



产品图片
25 ug total protein per lane of various lysates (see on figure) probed with IRF5 monoclonal antibody, unconjugated (bsm-52117R) at 1:1000 dilution and 4°C overnight incubation. Followed by conjugated secondary antibody incubation at r.t. for 60 min.
Paraformaldehyde-fixed, paraffin embedded Human Ovarian Cancer; Antigen retrieval by boiling in sodium citrate buffer (pH6.0) for 15 min; The section was incubated with IRF5 Monoclonal Antibody, Unconjugated (bsm-52117R) at 1:200 overnight at 4°C, followed by conjugation to the bs-0295G-HRP and DAB (C-0010) staining.
Paraformaldehyde-fixed, paraffin embedded Human lung squamous cell carcinoma; Antigen retrieval by boiling in sodium citrate buffer (pH6.0) for 15 min; The section was incubated with IRF5 Monoclonal Antibody, Unconjugated (bsm-52117R) at 1:200 overnight at 4°C, followed by conjugation to the bs-0295G-HRP and DAB (C-0010) staining.
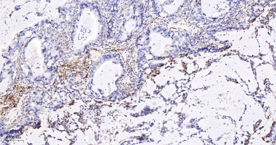
Paraformaldehyde-fixed, paraffin embedded Human Lung Cancer; Antigen retrieval by boiling in sodium citrate buffer (pH6.0) for 15 min; The section was incubated with IRF5 Monoclonal Antibody, Unconjugated (bsm-52117R) at 1:200 overnight at 4°C, followed by conjugation to the bs-0295G-HRP and DAB (C-0010) staining.
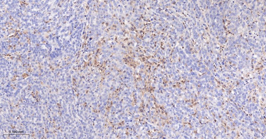
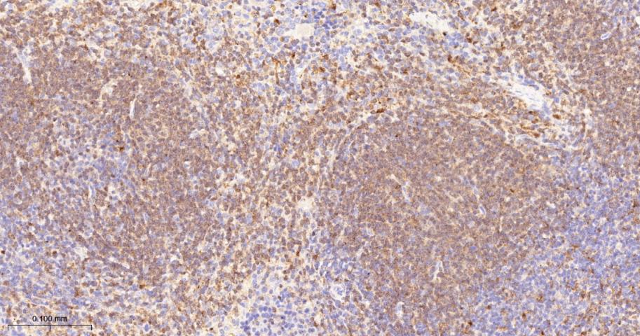
Paraformaldehyde-fixed, paraffin embedded Rat Thymus; Antigen retrieval by boiling in sodium citrate buffer (pH6.0) for 15 min; The section was incubated with IRF5 Monoclonal Antibody, Unconjugated (bsm-52117R) at 1:200 overnight at 4°C, followed by conjugation to the bs-0295G-HRP and DAB (C-0010) staining.
Paraformaldehyde-fixed, paraffin embedded Rat Spleen; Antigen retrieval by boiling in sodium citrate buffer (pH6.0) for 15 min; The section was incubated with IRF5 Monoclonal Antibody, Unconjugated (bsm-52117R) at 1:200 overnight at 4°C, followed by conjugation to the bs-0295G-HRP and DAB (C-0010) staining.
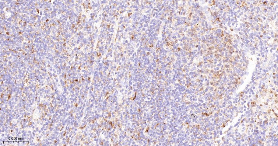
Paraformaldehyde-fixed, paraffin embedded Mouse Thymus; Antigen retrieval by boiling in sodium citrate buffer (pH6.0) for 15 min; The section was incubated with IRF5 Monoclonal Antibody, Unconjugated (bsm-52117R) at 1:200 overnight at 4°C, followed by conjugation to the bs-0295G-HRP and DAB (C-0010) staining.
Paraformaldehyde-fixed, paraffin embedded Mouse Spleen; Antigen retrieval by boiling in sodium citrate buffer (pH6.0) for 15 min; The section was incubated with IRF5 Monoclonal Antibody, Unconjugated (bsm-52117R) at 1:200 overnight at 4°C, followed by conjugation to the bs-0295G-HRP and DAB (C-0010) staining.
4% Paraformaldehyde-fixed MCF-7 (H) cell; Triton X-100 at r.t. for 20 min; Antibody incubation with (IRF5) monoclonal Antibody, unconjugated (bsm-52117R) 1:100, 90 min at 37°C; followed by conjugated Goat Anti-Rabbit IgG antibody (green, bs-60295G-BF488) at 37°C for 90 min, DAPI (blue, C02-04002) was used to stain the cell nuclei. PBS instead of the primary antibody was used as the blank control.
The THP-1 (H) cells were fixed with 4% PFA (10 min at r.t.) and then permeabilized with 90% ice-cold methanol for 20 min at -20℃,the cells then were incubated in 5%BSA to block non-specific protein-protein interactions (30 min at r.t.).Primary Antibody (green):Rabbit Anti-IRF5 antibody (bsm-52117R,1:100); Secondary Antibody (white blue): Goat anti-Rabbit IgG-BF488 (bs-60295G-BF488): 1 μg/test. Isotype Control (orange): Rabbit IgG (bs-0295P). Blank control (black): PBS. Acquisition of 20,000 events was performed.
版权所有 2004-2026 www.bioss.com.cn 北京博奥森生物技术有限公司
通过国际质量管理体系ISO 9001:2015 GB/T 19001-2016    证书编号: 00124Q34771R2M/1100
通过国际医疗器械-质量管理体系ISO 13485:2016 GB/T 42061-2022     证书编号: CQC24QY20047R0M/1100
京ICP备05066980号-1         京公网安备110107000727号