扫码关注公众号           扫码咨询技术支持           扫码咨询技术服务
  
客服热线:400-901-9800  客服QQ:4009019800  技术答疑  技术支持  质量反馈  关于我们  联系我们
产品中心-北京博奥森生物技术有限公司
首页 > 产品中心 > 一抗 > 产品信息
phospho-C-Myc (Ser62) Recombinant Rabbit mAb (bsm-52143R)  
订购热线:400-901-9800
订购邮箱:sales@bioss.com.cn
订购QQ:  400-901-9800
技术支持:techsupport@bioss.com.cn
50ul/1400.00元
100ul/2500.00元
大包装/询价

产品编号 bsm-52143R
英文名称 phospho-C-Myc (Ser62) Recombinant Rabbit mAb
中文名称 磷酸化致癌基因C-Myc重组兔单抗
别    名 c-Myc(S62); Myc(phospho-Ser62); Myc(phospho-S62); p-Myc(S62); p-Myc(S62); AU016757; Avian myelocytomatosis viral oncogene homolog; bHLHe39; c Myc; Cellular myelocytomatosis oncogene; MGC105490; MRTL; Myc protein; Myc proto oncogene protein; Myc-related translation/localization regulatory factor; Myc2; myca; Myelocytomatosis oncogene a; Myelocytomatosis oncogene; Niard; Nird; Oncogene Myc; Protooncogene homologous to myelocytomatosis virus; RNCMYC; Transcription factor p64; Transcriptional regulator Myc-A; v myc avian myelocytomatosis viral oncogene homolog; v myc myelocytomatosis viral oncogene homolog(avian); V-Myc avian myelocytomatosis viral oncogene homolog; v-myc myelocytomatosis viral oncogene homolog(avian); zc-myc; MYC_HUMAN.  
Specific References  (1)     |     bsm-52143R has been referenced in 1 publications.
[IF=9.043] Yingjie Guo. et al. Epstein-Barr Virus Envelope Glycoprotein gp110 Inhibits IKKi-Mediated Activation of NF-κB and Promotes the Degradation of β-Catenin. MICROBIOL SPECTR. 2023 Apr 06  WB ;  Human.  
产品类型 磷酸化抗体 重组兔单抗 
研究领域 肿瘤  免疫学  信号转导  转录调节因子  激酶和磷酸酶  
抗体来源 Rabbit
克隆类型 Recombinant
克 隆 号 1A7
交叉反应 Human,Mouse,Rat
产品应用 WB=1:500-2000,IHC-P=1:50-200,IHC-F=1:50-200,IF=1:50-200,ICC/IF=1:50-200
not yet tested in other applications.
optimal dilutions/concentrations should be determined by the end user.
理论分子量 49 kDa
检测分子量
细胞定位 细胞核 
性    状 Liquid
浓    度 1mg/ml
免 疫 原 KLH conjugated Synthesised phosphopeptide derived from human C-Myc around the phosphorylation site of Ser62: PL(p-S)PS 
亚    型 IgG
纯化方法 affinity purified by Protein A
缓 冲 液 0.01M TBS (pH7.4) with 1% BSA, 0.02% Proclin300 and 50% Glycerol.
保存条件 Shipped at 4℃. Store at -20℃ for one year. Avoid repeated freeze/thaw cycles.
注意事项 This product as supplied is intended for research use only, not for use in human, therapeutic or diagnostic applications.
PubMed PubMed
产品介绍 The protein encoded by this gene is a multifunctional, nuclear phosphoprotein that plays a role in cell cycle progression, apoptosis and cellular transformation. It functions as a transcription factor that regulates transcription of specific target genes. Mutations, overexpression, rearrangement and translocation of this gene have been associated with a variety of hematopoietic tumors, leukemias and lymphomas, including Burkitt lymphoma. There is evidence to show that alternative translation initiations from an upstream, in-frame non-AUG (CUG) and a downstream AUG start site result in the production of two isoforms with distinct N-termini. The synthesis of non-AUG initiated protein is suppressed in Burkitt's lymphomas, suggesting its importance in the normal function of this gene. [provided by RefSeq, Jul 2008].

Function:
Participates in the regulation of gene transcription. Binds DNA in a non-specific manner, yet also specifically recognizes the core sequence 5'-CAC[GA]TG-3'. Seems to activate the transcription of growth-related genes.

Subunit:
Efficient DNA binding requires dimerization with another bHLH protein. Binds DNA as a heterodimer with MAX. Interacts with TAF1C and SPAG9. Interacts with PARP10. Interacts with KDM5A and KDM5B. Interacts (when phosphorylated at Thr-58 and Ser-62) with FBXW7. Interacts with PIM2. Interacts with NO66.

Subcellular Location:
Nucleus, nucleoplasm.

Post-translational modifications:
Phosphorylated by PRKDC. Phosphorylation at Thr-58 and Ser-62 by GSK3 is required for ubiquitination and degradation by the proteasome. Phosphorylation at Ser-329 by PIM2 leads to the stabilization of MYC (By similarity). Phosphorylation at Ser-62 by CDK2 prevents Ras-induced senescence.
Ubiquitinated by the SCF(FBXW7) complex when phosphorylated at Thr-58 and Ser-62, leading to its degradation by the proteasome. In the nucleoplasm, ubiquitination is counteracted by USP28, which interacts with isoform 1 of FBXW7 (FBW7alpha), leading to its deubiquitination and preventing degradation. In the nucleolus, however, ubiquitination is not counteracted by USP28, due to the lack of interaction between isoform 4 of FBXW7 (FBW7gamma) and USP28, explaining the selective MYC degradation in the nucleolus. Also polyubiquitinated by the DCX(TRUSS) complex.

DISEASE:
Note=Overexpression of MYC is implicated in the etiology of a variety of hematopoietic tumors.
Note=A chromosomal aberration involving MYC may be a cause of a form of B-cell chronic lymphocytic leukemia. Translocation t(8;12)(q24;q22) with BTG1.
Defects in MYC are a cause of Burkitt lymphoma (BL) [MIM:113970]. A form of undifferentiated malignant lymphoma commonly manifested as a large osteolytic lesion in the jaw or as an abdominal mass. Note=Chromosomal aberrations involving MYC are usually found in Burkitt lymphoma. Translocations t(8;14), t(8;22) or t(2;8) which juxtapose MYC to one of the heavy or light chain immunoglobulin gene loci.

Similarity:
Contains 1 basic helix-loop-helix (bHLH) domain.

SWISS:
P01106

Gene ID:
4609

Database links:

Entrez Gene: 4609 Human

Entrez Gene: 17869 Mouse

Entrez Gene: 24577 Rat

Omim: 190080 Human

SwissProt: P01106 Human

SwissProt: P01108 Mouse

SwissProt: P09416 Rat

Unigene: 202453 Human

Unigene: 2444 Mouse

Unigene: 12072 Rat



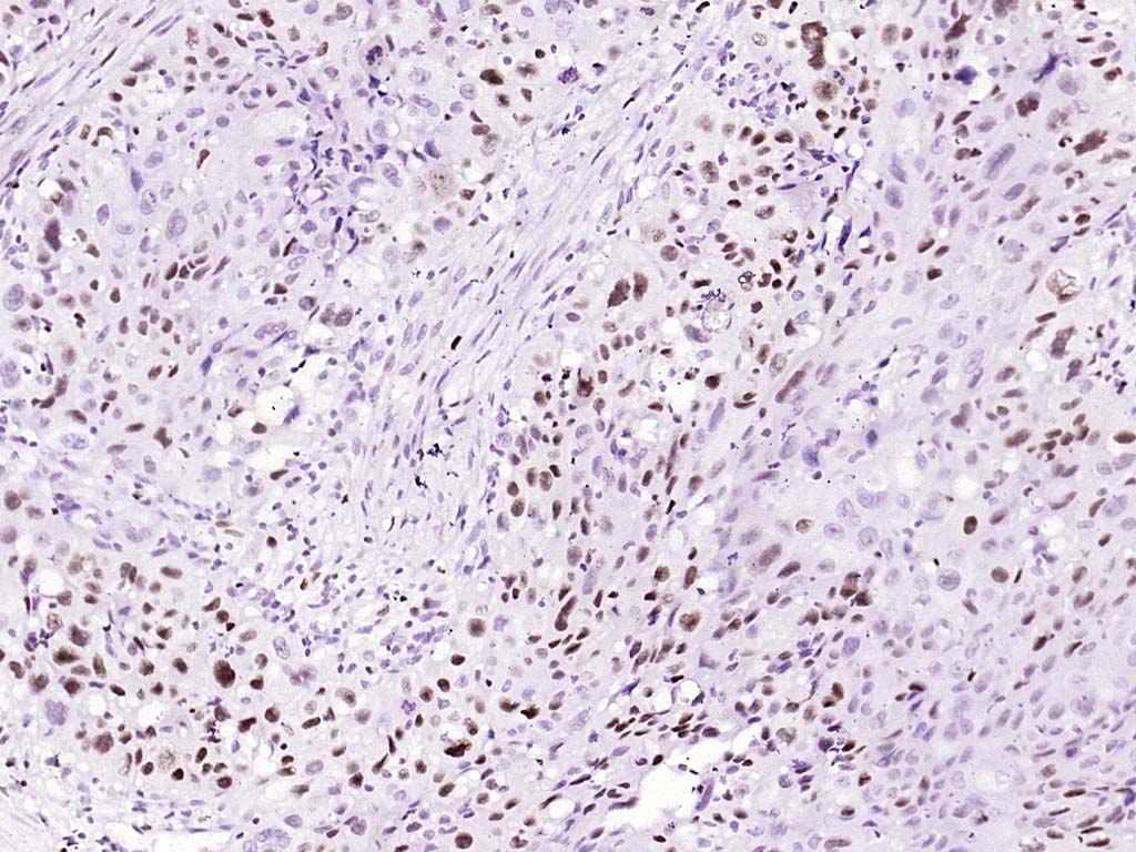
产品图片
Paraformaldehyde-fixed, paraffin embedded (human cervical carcinoma); Antigen retrieval by boiling in sodium citrate buffer (pH6.0) for 15min; Block endogenous peroxidase by 3% hydrogen peroxide for 20 minutes; Blocking buffer (normal goat serum) at 37°C for 30min; Antibody incubation with (phospho-C-Myc (Ser62)) Polyclonal Antibody, Unconjugated (bsm-52143R) at 1:200 overnight at 4°C, followed by operating according to SP Kit(Rabbit) (sp-0023) instructionsand DAB staining.
Paraformaldehyde-fixed, paraffin embedded (human colon carcinoma); Antigen retrieval by boiling in sodium citrate buffer (pH6.0) for 15min; Block endogenous peroxidase by 3% hydrogen peroxide for 20 minutes; Blocking buffer (normal goat serum) at 37°C for 30min; Antibody incubation with (phospho-C-Myc (Ser62)) Polyclonal Antibody, Unconjugated (bsm-52143R) at 1:200 overnight at 4°C, followed by operating according to SP Kit(Rabbit) (sp-0023) instructionsand DAB staining.
Paraformaldehyde-fixed, paraffin embedded (human laryngeal carcinoma); Antigen retrieval by boiling in sodium citrate buffer (pH6.0) for 15min; Block endogenous peroxidase by 3% hydrogen peroxide for 20 minutes; Blocking buffer (normal goat serum) at 37°C for 30min; Antibody incubation with (phospho-C-Myc (Ser62)) Polyclonal Antibody, Unconjugated (bsm-52143R) at 1:200 overnight at 4°C, followed by operating according to SP Kit(Rabbit) (sp-0023) instructionsand DAB staining.
Paraformaldehyde-fixed, paraffin embedded (rat testis); Antigen retrieval by boiling in sodium citrate buffer (pH6.0) for 15min; Block endogenous peroxidase by 3% hydrogen peroxide for 20 minutes; Blocking buffer (normal goat serum) at 37°C for 30min; Antibody incubation with (phospho-C-Myc (Ser62)) Polyclonal Antibody, Unconjugated (bsm-52143R) at 1:200 overnight at 4°C, followed by operating according to SP Kit(Rabbit) (sp-0023) instructionsand DAB staining.
版权所有 2004-2026 www.bioss.com.cn 北京博奥森生物技术有限公司
通过国际质量管理体系ISO 9001:2015 GB/T 19001-2016    证书编号: 00124Q34771R2M/1100
通过国际医疗器械-质量管理体系ISO 13485:2016 GB/T 42061-2022     证书编号: CQC24QY20047R0M/1100
京ICP备05066980号-1         京公网安备110107000727号