扫码关注公众号           扫码咨询技术支持           扫码咨询技术服务
  
客服热线:400-901-9800  客服QQ:4009019800  技术答疑  技术支持  质量反馈  人才招聘  关于我们  联系我们
产品中心-北京博奥森生物技术有限公司
首页 > 产品中心 > 一抗 > 产品信息
phospho-HSF1 (Ser326) Recombinant Rabbit mAb (bsm-52166R)  
订购热线:400-901-9800
订购邮箱:sales@bioss.com.cn
订购QQ:  400-901-9800
技术支持:techsupport@bioss.com.cn
25ul/800.00元
50ul/1400.00元
100ul/2500.00元
200ul/4000.00元
200ug(PBS only)/5600.00元
大包装/询价

产品编号 bsm-52166R
英文名称 phospho-HSF1 (Ser326) Recombinant Rabbit mAb
中文名称 磷酸化热休克因子1重组兔单抗
别    名 HSF1 (phospho-S326); p-HSF1; phospho-HSF1; HSF1 (phospho-Ser326); HSTF1; HSTF; HSTF 1; Hsf1alpha; Hsf1beta; HSF1_HUMAN; HSF1; HSF 1; Heat shock transcription factor 1 (HSTF 1); HSF1_MOUSE;   
产品类型 磷酸化抗体 重组兔单抗 
研究领域 肿瘤  信号转导  细胞凋亡  转录调节因子  
抗体来源 Rabbit
克隆类型 Recombinant
克 隆 号 37E4
交叉反应 Human,Mouse (predicted: Rat)
产品应用 WB=1:500-2000,IHC-P=1:100-500,IHC-F=1:100-500,IF=1:100-500,Flow-Cyt=2ug/Test
not yet tested in other applications.
optimal dilutions/concentrations should be determined by the end user.
理论分子量 57 kDa
检测分子量 80
细胞定位 细胞核 细胞浆 
性    状 Liquid
浓    度 1mg/ml
免 疫 原 KLH conjugated Synthesised phosphopeptide derived from human HSF1 around the phosphorylation site of Ser326: L(p-S)PT 
亚    型 IgG
纯化方法 affinity purified by Protein A
缓 冲 液 0.01M TBS (pH7.4) with 1% BSA, 0.02% Proclin300 and 50% Glycerol.
保存条件 Shipped at 4℃. Store at -20℃ for one year. Avoid repeated freeze/thaw cycles.
注意事项 This product as supplied is intended for research use only, not for use in human, therapeutic or diagnostic applications.
PubMed PubMed
产品介绍 The product of this gene is a heat-shock transcription factor. Transcription of heat-shock genes is rapidly induced after temperature stress. Hsp90, by itself and/or associated with multichaperone complexes, is a major repressor of this gene. [provided by RefSeq, Jul 2008]

Function:
DNA-binding protein that specifically binds heat shockpromoter elements (HSE) and activates transcription. In highereukaryotes, HSF is unable to bind to the HSE unless the cells areheat shocked.

Subunit:
Monomer. Under normal conditions, interacts with HSP90AA1in the HSP90 multichaperone complex; the interaction preventstrimerization and activation of HSF1. On activation by heat-stressor by other factors such as metal ions, HSF1 is released from thecomplex, homotrimerizes, is hyperphosphorylated and translocated tothe nucleus where, subsequently, it can activate transcription.Binds the complex through the regulatory domain. Interacts withSYMPK and CSTF2 in heat-stressed cells. Interacts with FKBP4 in theHSP90 multichaperone complex; the interaction is independent of thephosphorylation state of HSF1. Interacts with MAPKAPK2.

Subcellular Location:
Cytoplasm. Nucleus. Note=Cytoplasmic duringnormal growth. On activation, translocates to nuclear stressgranules. Colocalizes with SUMO1 in nuclear stress granules.

Post-translational modifications:
Phosphorylated on multiple serine residues, a subset of whichare involved in stress-related regulation of transcriptionactivation. Constitutive phosphorylation represses transcriptionalactivity at normal temperatures. Levels increase on specificresidues heat-shock and enhance HSF1 transactivation activity.Phosphorylation on Ser-307 derepresses activation on heat-stressand in combination with Ser-303 phosphorylation appears to beinvolved in recovery after heat-stress. Phosphorylated on Ser-230by CAMK2, in vitro. Cadmium also enhances phosphorylation at thissite. Phosphorylation on Ser-303 is a prerequisite for HSF1sumoylation. Phosphorylation on Ser-121 inhibits transactivationand promotes HSP90 binding. Phosphorylation on Thr-142 alsomediates transcriptional activity induced by heat.
Sumoylated with SUMO1 and SUMO2 on heat-shock. Heat-induciblesumoylation occurs after 15 min of heat-shock, after which levelsdecrease and at 4 hours, levels return to control levels.Sumoylation has no effect on HSE binding nor on transcriptionalactivity. Phosphorylation on Ser-303 is a prerequisite forsumoylation.

Similarity:
Belongs to the HSF family.

SWISS:
Q00613

Gene ID:
3297

Database links:

Entrez Gene: 3297 Human

Omim: 140580 Human

SwissProt: Q00613 Human

Unigene: 530227 Human



产品图片
Sample: Lane 1: Normal human HeLa cell lysates Lane 2: Hela cells heated at 42 ℃ for 30 minutes Primary: Anti-phospho-HSF1 (Ser326) (bsm-52166R) at 1/1000 dilution Secondary: IRDye800CW Goat Anti-Rabbit IgG at 1/20000 dilution Predicted band size: 57 kDa Observed band size: 80 kDa
Paraformaldehyde-fixed, paraffin embedded (human endometrial carcinoma); Antigen retrieval by boiling in sodium citrate buffer (pH6.0) for 15min; Block endogenous peroxidase by 3% hydrogen peroxide for 20 minutes; Blocking buffer (normal goat serum) at 37°C for 30min; Antibody incubation with (phospho-HSF1 (Ser326)) Polyclonal Antibody, Unconjugated (bsm-52166R) at 1:200 overnight at 4°C, followed by operating according to SP Kit(Rabbit) (sp-0023) instructionsand DAB staining.
Paraformaldehyde-fixed, paraffin embedded (human colon carcinoma); Antigen retrieval by boiling in sodium citrate buffer (pH6.0) for 15min; Block endogenous peroxidase by 3% hydrogen peroxide for 20 minutes; Blocking buffer (normal goat serum) at 37°C for 30min; Antibody incubation with (phospho-HSF1 (Ser326) ) Monoclonal Antibody, Unconjugated (bsm-52166R) at 1:200 overnight at 4°C, followed by operating according to SP Kit(Rabbit) (sp-0023) instructionsand DAB staining.
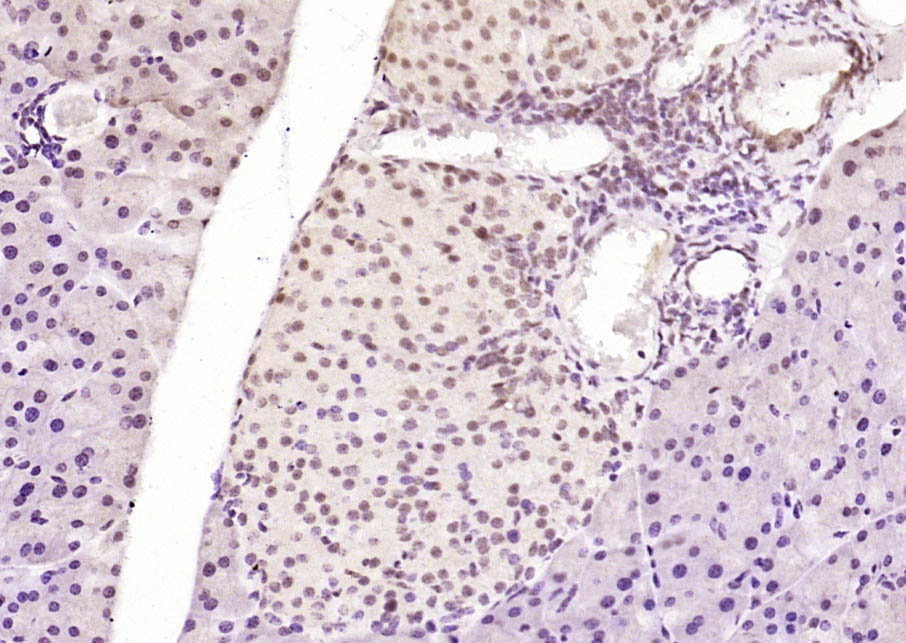
Paraformaldehyde-fixed, paraffin embedded (mouse pancreas); Antigen retrieval by boiling in sodium citrate buffer (pH6.0) for 15min; Block endogenous peroxidase by 3% hydrogen peroxide for 20 minutes; Blocking buffer (normal goat serum) at 37°C for 30min; Antibody incubation with (phospho-HSF1 (Ser326)) Polyclonal Antibody, Unconjugated (bsm-52166R) at 1:200 overnight at 4°C, followed by operating according to SP Kit(Rabbit) (sp-0023) instructionsand DAB staining.
Paraformaldehyde-fixed, paraffin embedded (mouse lung); Antigen retrieval by boiling in sodium citrate buffer (pH6.0) for 15min; Block endogenous peroxidase by 3% hydrogen peroxide for 20 minutes; Blocking buffer (normal goat serum) at 37°C for 30min; Antibody incubation with (phospho-HSF1 (Ser326)) Polyclonal Antibody, Unconjugated (bsm-52166R) at 1:200 overnight at 4°C, followed by operating according to SP Kit(Rabbit) (sp-0023) instructionsand DAB staining.
Paraformaldehyde-fixed, paraffin embedded (mouse heart); Antigen retrieval by boiling in sodium citrate buffer (pH6.0) for 15min; Block endogenous peroxidase by 3% hydrogen peroxide for 20 minutes; Blocking buffer (normal goat serum) at 37°C for 30min; Antibody incubation with (phospho-HSF1 (Ser326)) Polyclonal Antibody, Unconjugated (bsm-52166R) at 1:200 overnight at 4°C, followed by operating according to SP Kit(Rabbit) (sp-0023) instructionsand DAB staining.
Paraformaldehyde-fixed, paraffin embedded (mouse brain); Antigen retrieval by boiling in sodium citrate buffer (pH6.0) for 15min; Block endogenous peroxidase by 3% hydrogen peroxide for 20 minutes; Blocking buffer (normal goat serum) at 37°C for 30min; Antibody incubation with (phospho-HSF1 (Ser326)) Polyclonal Antibody, Unconjugated (bsm-52166R) at 1:200 overnight at 4°C, followed by operating according to SP Kit(Rabbit) (sp-0023) instructionsand DAB staining.
Paraformaldehyde-fixed, paraffin embedded (mouse spleen); Antigen retrieval by boiling in sodium citrate buffer (pH6.0) for 15min; Block endogenous peroxidase by 3% hydrogen peroxide for 20 minutes; Blocking buffer (normal goat serum) at 37°C for 30min; Antibody incubation with (phospho-HSF1 (Ser326)) Polyclonal Antibody, Unconjugated (bsm-52166R) at 1:200 overnight at 4°C, followed by operating according to SP Kit(Rabbit) (sp-0023) instructionsand DAB staining.
Blank control:MCF7. Primary Antibody (green line): Rabbit Anti-phospho-HSF1 (Ser326) antibody (bsm-52166R) Dilution: 2μg /10^6 cells; Isotype Control Antibody (orange line): Rabbit IgG . Secondary Antibody : Goat anti-rabbit IgG-AF488 Dilution: 1μg /test. Protocol The cells were fixed with 4% PFA (10min at room temperature)and then permeabilized with 90% ice-cold methanol for 20 min at-20℃. The cells were then incubated in 5%BSA to block non-specific protein-protein interactions for 30 min at room temperature .Cells stained with Primary Antibody for 30 min at room temperature. The secondary antibody used for 40 min at room temperature. Acquisition of 20,000 events was performed.
版权所有 2004-2026 www.bioss.com.cn 北京博奥森生物技术有限公司
通过国际质量管理体系ISO 9001:2015 GB/T 19001-2016    证书编号: 00124Q34771R2M/1100
通过国际医疗器械-质量管理体系ISO 13485:2016 GB/T 42061-2022     证书编号: CQC24QY20047R0M/1100
京ICP备05066980号-1         京公网安备110107000727号