扫码关注公众号           扫码咨询技术支持           扫码咨询技术服务
  
客服热线:400-901-9800  客服QQ:4009019800  技术答疑  技术支持  质量反馈  人才招聘  关于我们  联系我们
产品中心-北京博奥森生物技术有限公司
首页 > 产品中心 > 一抗 > 产品信息
phospho-MEK1/2 (Ser218 + Ser222) Recombinant Rabbit mAb (bsm-52176R)  
订购热线:400-901-9800
订购邮箱:sales@bioss.com.cn
订购QQ:  400-901-9800
技术支持:techsupport@bioss.com.cn
25ul/800.00元
50ul/1400.00元
100ul/2500.00元
大包装/询价

产品编号 bsm-52176R
英文名称 phospho-MEK1/2 (Ser218 + Ser222) Recombinant Rabbit mAb
中文名称 磷酸化丝裂原活化蛋白激酶激酶1/2重组兔单抗
别    名 MEK1 & MEK2 (phospho-S218/S222); p-MEK1 & MEK2; phospho-MEK1 & MEK2; MEK1 & MEK2 (phospho-Ser218/Ser222); CFC4; MAPKK2; MEK2; MKK2; PRKMK2; MK2; MP2K2_HUMAN; MAP2K2; MAP kinase kinase 2; MAPKK 2; ERK activator kinase 2; MAPK/ERK kinase 2 (MEK 2); 2.7.12.2  
Specific References  (2)     |     bsm-52176R has been referenced in 2 publications.
[IF=5.157] Yubing Yu. et al. Angiogenic factor AGGF1 Blocks Neointimal Formation after Vascular Injury via Interaction with Integrin α7 on Vascular Smooth Muscle Cells. J Biol Chem. 2022 Feb;:101759  WB ;  Mouse.  
[IF=0] Xing-Peng Di. et al. YAP/Smad3 promotes pathological extracellular matrix microenviroment-induced bladder smooth muscle proliferation in bladder fibrosis progression. MedComm. 2022 Sep;3(4):e169  WB ;  Human.  
产品类型 磷酸化抗体 重组兔单抗 
研究领域 肿瘤  免疫学  神经生物学  信号转导  细胞凋亡  转录调节因子  激酶和磷酸酶  
抗体来源 Rabbit
克隆类型 Recombinant
克 隆 号 8A1
交叉反应 Human,Mouse,Rat
产品应用 WB=1:500-2000,IHC-P=1:100-500,IHC-F=1:100-500,IF=1:100-500,ICC/IF=1:50-200
not yet tested in other applications.
optimal dilutions/concentrations should be determined by the end user.
理论分子量 43 kDa
检测分子量 45
细胞定位 细胞核 细胞浆 细胞膜 
性    状 Liquid
浓    度 1mg/ml
免 疫 原 KLH conjugated Synthesised phosphopeptide derived from human MEK1 around the phosphorylation site of Ser218/222: ID(p-S)MAN(p-S)FV 
亚    型 IgG
纯化方法 affinity purified by Protein A
缓 冲 液 0.01M TBS (pH7.4) with 1% BSA, 0.02% Proclin300 and 50% Glycerol.
保存条件 Shipped at 4℃. Store at -20℃ for one year. Avoid repeated freeze/thaw cycles.
注意事项 This product as supplied is intended for research use only, not for use in human, therapeutic or diagnostic applications.
PubMed PubMed
产品介绍 The protein encoded by this gene is a member of the dual specificity protein kinase family, which acts as a mitogen-activated protein (MAP) kinase kinase. MAP kinases, also known as extracellular signal-regulated kinases (ERKs), act as an integration point for multiple biochemical signals. This protein kinase lies upstream of MAP kinases and stimulates the enzymatic activity of MAP kinases upon wide variety of extra- and intracellular signals. As an essential component of MAP kinase signal transduction pathway, this kinase is involved in many cellular processes such as proliferation, differentiation, transcription regulation and development.

Function:
Dual specificity protein kinase which acts as an essential component of the MAP kinase signal transduction pathway. Binding of extracellular ligands such as growth factors, cytokines and hormones to their cell-surface receptors activates RAS and this initiates RAF1 activation. RAF1 then further activates the dual-specificity protein kinases MAP2K1/MEK1 and MAP2K2/MEK2. Both MAP2K1/MEK1 and MAP2K2/MEK2 function specifically in the MAPK/ERK cascade, and catalyze the concomitant phosphorylation of a threonine and a tyrosine residue in a Thr-Glu-Tyr sequence located in the extracellular signal-regulated kinases MAPK3/ERK1 and MAPK1/ERK2, leading to their activation and further transduction of the signal within the MAPK/ERK cascade. Depending on the cellular context, this pathway mediates diverse biological functions such as cell growth, adhesion, survival and differentiation, predominantly through the regulation of transcription, metabolism and cytoskeletal rearrangements. One target of the MAPK/ERK cascade is peroxisome proliferator-activated receptor gamma (PPARG), a nuclear receptor that promotes differentiation and apoptosis. MAP2K1/MEK1 has been shown to export PPARG from the nucleus. The MAPK/ERK cascade is also involved in the regulation of endosomal dynamics, including lysosome processing and endosome cycling through the perinuclear recycling compartment (PNRC), as well as in the fragmentation of the Golgi apparatus during mitosis.

Subunit:
Found in a complex with at least BRAF, HRAS1, MAP2K1, MAPK3/ERK1 and RGS14. Forms an heterodimer with MAP2K2/MEK2. Forms heterodimers with KSR2 which further dimerize to form tetramers. Interacts with ARBB2, LAMTOR3, MAPK1/ERK2, MORG1 and RAF1. Interacts with PPARG and with isoform 1 of VRK2. Interacts with Yersinia yopJ. Interacts with SGK1. Interacts with BIRC6/bruce.

Subcellular Location:
Cytoplasm, cytoskeleton, centrosome. Cytoplasm, cytoskeleton, spindle pole body. Cytoplasm. Nucleus. Note=Localizes at centrosomes during prometaphase, midzone during anaphase and midbody during telophase/cytokinesis.

Tissue Specificity:
Widely expressed, with extremely low levels in brain.

Post-translational modifications:
MAPK1/ERK2 and at Ser-298 by PAK. MAPK1/ERK2 phosphorylation of Thr-292 occurs in response to cellular adhesion and leads to inhibition of Ser-298 phosphorylation by PAK.

Similarity:
Belongs to the protein kinase superfamily. STE Ser/Thr protein kinase family. MAP kinase kinase subfamily.
Contains 1 protein kinase domain.

SWISS:
P36507

Gene ID:
5605

Database links:

Entrez Gene: 5604 Human

Entrez Gene: 5605 Human

Omim: 176872 Human

Omim: 601263 Human

SwissProt: P36507 Human

SwissProt: Q02750 Human



产品图片
Hela (H) cells were treated with or without hEGF (100ng/ml) for 5 min, 25 μg total protein per lane of cell lysates (see on figure) probed with phospho-MEK1/2 (Ser218 + Ser222) monoclonal antibody, unconjugated (bsm-52176R) at 1:1000 dilution and 4°C overnight incubation. Followed by conjugated secondary antibody incubation at r.t. for 60 min.
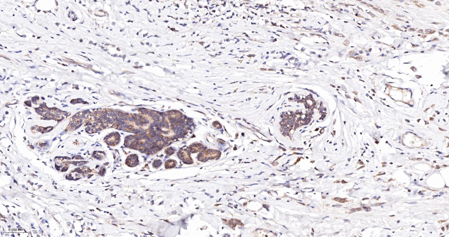
Paraformaldehyde-fixed, paraffin embedded Human Breast Cancer; Antigen retrieval by boiling in sodium citrate buffer (pH6.0) for 15 min; The section was incubated with phospho-MEK1/2 (Ser218 + Ser222) Monoclonal Antibody, Unconjugated (bsm-52176R) at 1:200 overnight at 4°C, followed by conjugation to the bs-0295G-HRP and DAB (C-0010) staining.
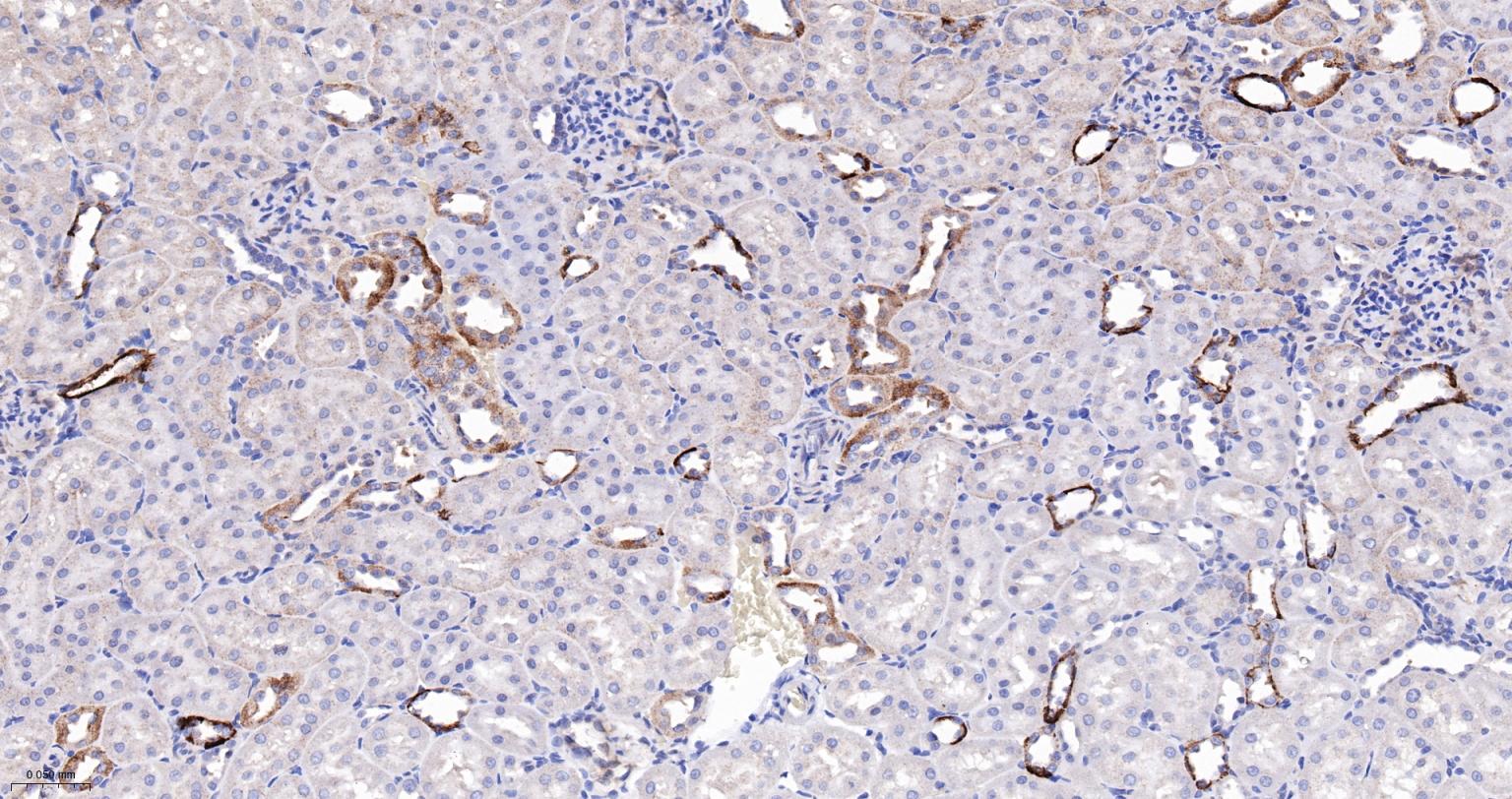
Paraformaldehyde-fixed, paraffin embedded Rat Kidney; Antigen retrieval by boiling in sodium citrate buffer (pH6.0) for 15 min; The section was incubated with phospho-MEK1/2 (Ser218 + Ser222) Monoclonal Antibody, Unconjugated (bsm-52176R) at 1:200 overnight at 4°C, followed by conjugation to the bs-0295G-HRP and DAB (C-0010) staining.
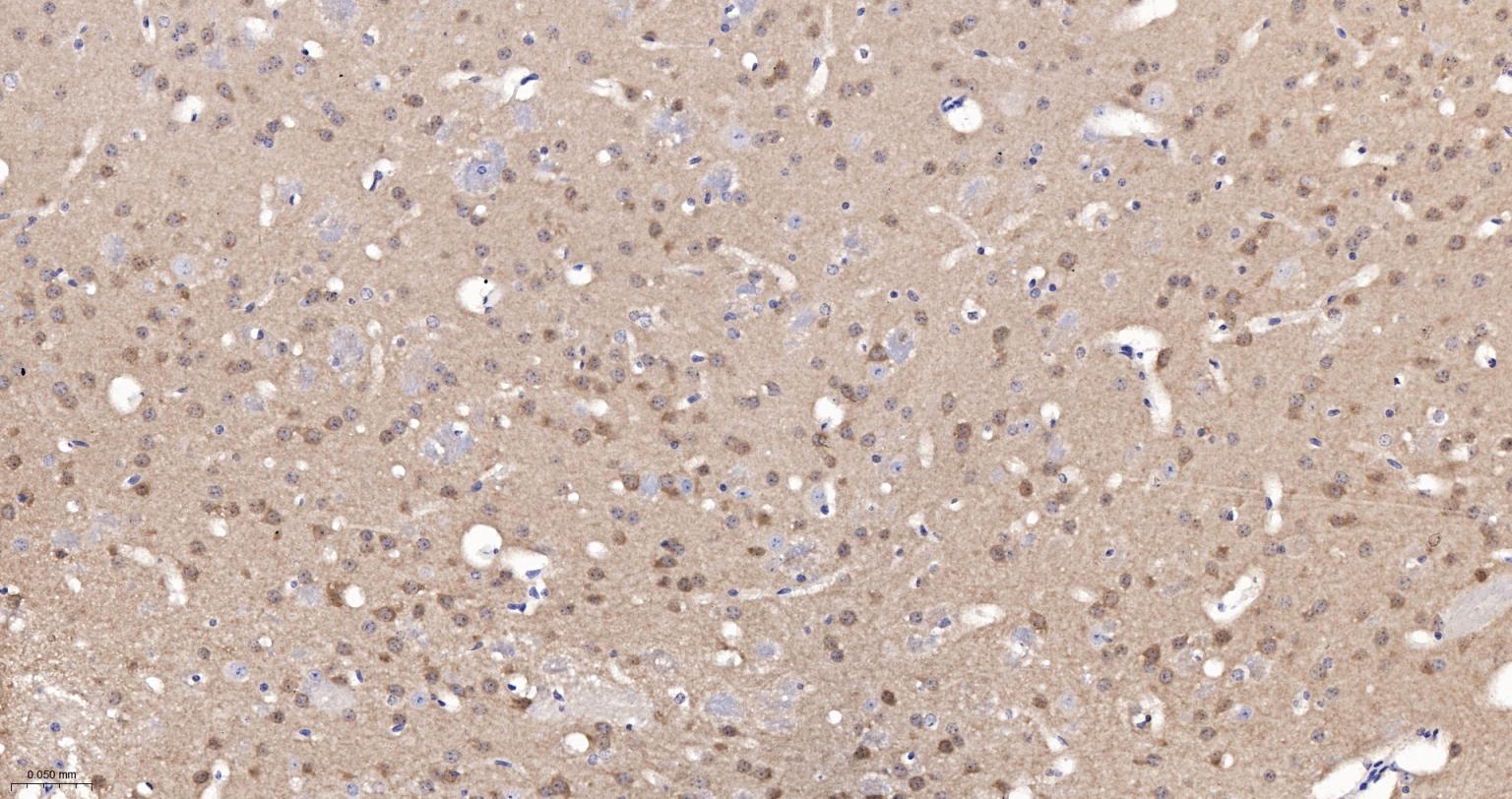
Paraformaldehyde-fixed, paraffin embedded Human Cerebrum; Antigen retrieval by boiling in sodium citrate buffer (pH6.0) for 15 min; The section was incubated with phospho-MEK1/2 (Ser218 + Ser222) Monoclonal Antibody, Unconjugated (bsm-52176R) at 1:200 overnight at 4°C, followed by conjugation to the bs-0295G-HRP and DAB (C-0010) staining.
Paraformaldehyde-fixed, paraffin embedded Rat Cerebrum; Antigen retrieval by boiling in sodium citrate buffer (pH6.0) for 15 min; The section was incubated with phospho-MEK1/2 (Ser218 + Ser222) Monoclonal Antibody, Unconjugated (bsm-52176R) at 1:200 overnight at 4°C, followed by conjugation to the bs-0295G-HRP and DAB (C-0010) staining.
Paraformaldehyde-fixed, paraffin embedded Mouse Cerebrum; Antigen retrieval by boiling in sodium citrate buffer (pH6.0) for 15 min; The section was incubated with phospho-MEK1/2 (Ser218 + Ser222) Monoclonal Antibody, Unconjugated (bsm-52176R) at 1:200 overnight at 4°C, followed by conjugation to the bs-0295G-HRP and DAB (C-0010) staining.
版权所有 2004-2026 www.bioss.com.cn 北京博奥森生物技术有限公司
通过国际质量管理体系ISO 9001:2015 GB/T 19001-2016    证书编号: 00124Q34771R2M/1100
通过国际医疗器械-质量管理体系ISO 13485:2016 GB/T 42061-2022     证书编号: CQC24QY20047R0M/1100
京ICP备05066980号-1         京公网安备110107000727号