扫码关注公众号           扫码咨询技术支持           扫码咨询技术服务
  
客服热线:400-901-9800  客服QQ:4009019800  技术答疑  技术支持  质量反馈  关于我们  联系我们
产品中心-北京博奥森生物技术有限公司
首页 > 产品中心 > 一抗 > 产品信息
Sodium Potassium ATPase Recombinant Rabbit mAb (bsm-52485R)  
订购热线:400-901-9800
订购邮箱:sales@bioss.com.cn
订购QQ:  400-901-9800
技术支持:techsupport@bioss.com.cn
25ul/800.00元
50ul/1400.00元
100ul/2500.00元
大包装/询价

产品编号 bsm-52485R
英文名称 Sodium Potassium ATPase Recombinant Rabbit mAb
中文名称 钠钾ATP酶蛋白a1重组兔单抗
别    名 ATP1A1; alpha 1 Sodium Potassium ATPase; A1A1; AT1A1; AT1A1_HUMAN; Atpa-1; ATPase Na+/K+transporting alpha 1 polypeptide; ATPase Na+/K+transporting subunit alpha 1; BC010319; EC 3.6.3.9; MGC3285; MGC38419; MGC51750; Na K ATPase alpha A catalytic polypeptide; Na K ATPase catalytic subunit alpha A protein; Na(+)/K(+) ATPase 1; Na(+)/K(+) ATPase alpha-1 subunit; Na+, K+ATPase alpha subunit; Na+/K+ATPase alpha 1 subunit; Na+/K+ATPase 1; Na, K ATPase alpha 1 subunit; Nkaa1b; Sodium potassium ATPase alpha 1 polypeptide; Sodium pump 1; Sodium pump subunit alpha-1; sodium-potassium ATPase catalytic subunit alpha-1; Sodium/potassium-transporting ATPase subunit alpha-1.  
研究领域 肿瘤  神经生物学  信号转导  通道蛋白  
抗体来源 Rabbit
克隆类型 Recombinant
克 隆 号 13H5
交叉反应 Human,Mouse,Rat
产品应用 WB=1:2000-20000,IHC-P=1:100-500,IHC-F=1:100-500,IF=1:100-500,Flow-Cyt=1ug/Test,ICC/IF=1:50-200
not yet tested in other applications.
optimal dilutions/concentrations should be determined by the end user.
理论分子量 113 kDa
检测分子量
细胞定位 细胞膜 
性    状 Liquid
浓    度 1mg/ml
免 疫 原 Recombinant human Sodium Potassium ATPase aa 1-100 
亚    型 IgG
纯化方法 affinity purified by Protein A
缓 冲 液 0.01M TBS (pH7.4) with 1% BSA, 0.02% Proclin300 and 50% Glycerol.
保存条件 Shipped at 4℃. Store at -20℃ for one year. Avoid repeated freeze/thaw cycles.
注意事项 This product as supplied is intended for research use only, not for use in human, therapeutic or diagnostic applications.
PubMed PubMed
产品介绍 The protein encoded by this gene belongs to the family of P-type cation transport ATPases, and to the subfamily of Na+/K+-ATPases. Na+/K+ -ATPase is an integral membrane protein responsible for establishing and maintaining the electrochemical gradients of Na and K ions across the plasma membrane. These gradients are essential for osmoregulation, for sodium-coupled transport of a variety of organic and inorganic molecules, and for electrical excitability of nerve and muscle. This enzyme is composed of two subunits, a large catalytic subunit (alpha) and a smaller glycoprotein subunit (beta). The catalytic subunit of Na+/K+ -ATPase is encoded by multiple genes. This gene encodes an alpha 1 subunit. Multiple transcript variants encoding different isoforms have been found for this gene. [provided by RefSeq, May2009].

Function:
This is the non-catalytic component of the active enzyme, which catalyzes the hydrolysis of ATP coupled with the exchange of Na(+) and K(+) ions across the plasma membrane. The beta subunit regulates, through assembly of alpha/beta heterodimers, the number of sodium pumps transported to the plasma membrane.

Subunit:
Interacts with SIK1. Composed of three subunits: alpha (catalytic), beta and gamma. Binds the HLA class II histocompatibility antigen, DR1.

Subcellular Location:
Cell membrane; Multi-pass membrane protein. Melanosome.

Tissue Specificity:
Found in most tissues.

Post-translational modifications:
Phosphorylation on Tyr-10 modulates pumping activity. Dephosphorylation by protein phosphatase 2A (PP2A) following increases in intracellular sodium, leading to increase catalytic activity.

Similarity:
Belongs to the cation transport ATPase (P-type) (TC 3.A.3) family. Type IIC subfamily.

SWISS:
P05023

Gene ID:
476

Database links:

Entrez Gene: 476 Human

Entrez Gene: 11928 Mouse

Entrez Gene: 24211 Rat

Omim: 182310 Human

SwissProt: P05023 Human

SwissProt: Q8VDN2 Mouse

SwissProt: P06685 Rat

Unigene: 371889 Human

Unigene: 280103 Mouse

Unigene: 217534 Rat

Unigene: 2992 Rat



产品图片
25 ug total protein per lane of various lysates (see on figure) probed with Sodium Potassium ATPase monoclonal antibody, unconjugated (bsm-52485R) at 1:20000 dilution and 4°C overnight incubation. Followed by conjugated secondary antibody incubation at r.t. for 60 min.
25 ug total protein per lane of various lysates (see on figure) probed with Sodium Potassium ATPase monoclonal antibody, unconjugated (bsm-52485R) at 1:2000 dilution and 4°C overnight incubation. Followed by conjugated secondary antibody incubation at r.t. for 60 min.
Paraformaldehyde-fixed, paraffin embedded Human Fundus; Antigen retrieval by boiling in sodium citrate buffer (pH6.0) for 15 min; Antibody incubation with Sodium Potassium ATPase Monoclonal Antibody, Unconjugated(bsm-52485R) at 1:100overnight at 4°C, followed by conjugation to the SP Kit (Rabbit, SP-0023) and DAB (C-0010) staining.
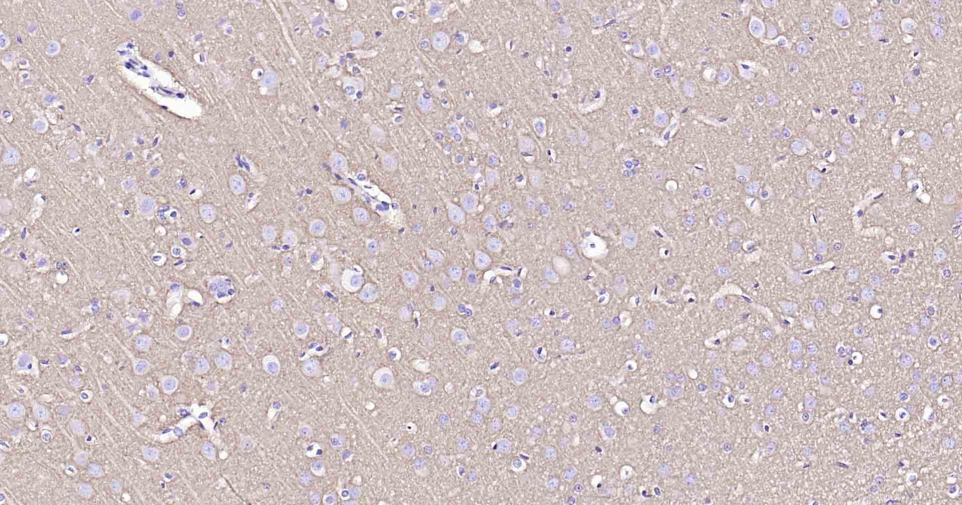
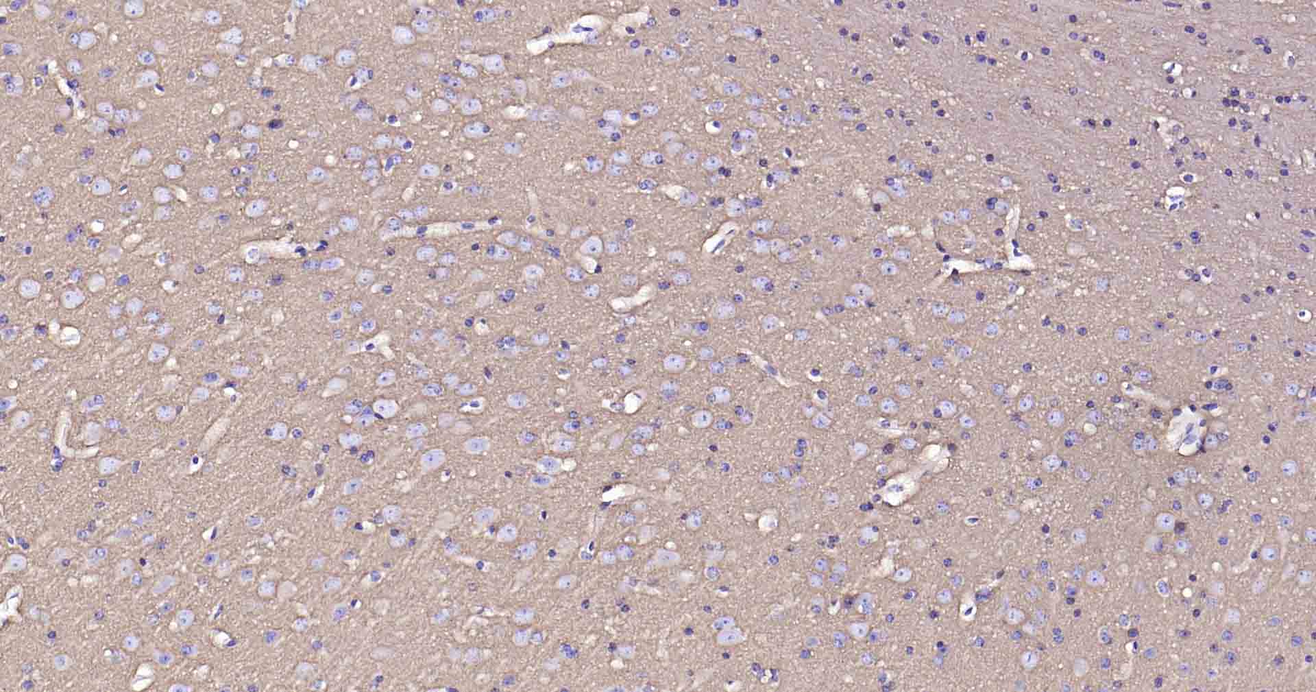
Paraformaldehyde-fixed, paraffin embedded Human Cerebrum; Antigen retrieval by boiling in sodium citrate buffer (pH6.0) for 15 min; Antibody incubation with Sodium Potassium ATPase Monoclonal Antibody, Unconjugated(bsm-52485R) at 1:100overnight at 4°C, followed by conjugation to the SP Kit (Rabbit, SP-0023) and DAB (C-0010) staining.
Paraformaldehyde-fixed, paraffin embedded Human Liver; Antigen retrieval by boiling in sodium citrate buffer (pH6.0) for 15 min; Antibody incubation with Sodium Potassium ATPase Monoclonal Antibody, Unconjugated(bsm-52485R) at 1:100overnight at 4°C, followed by conjugation to the SP Kit (Rabbit, SP-0023) and DAB (C-0010) staining.
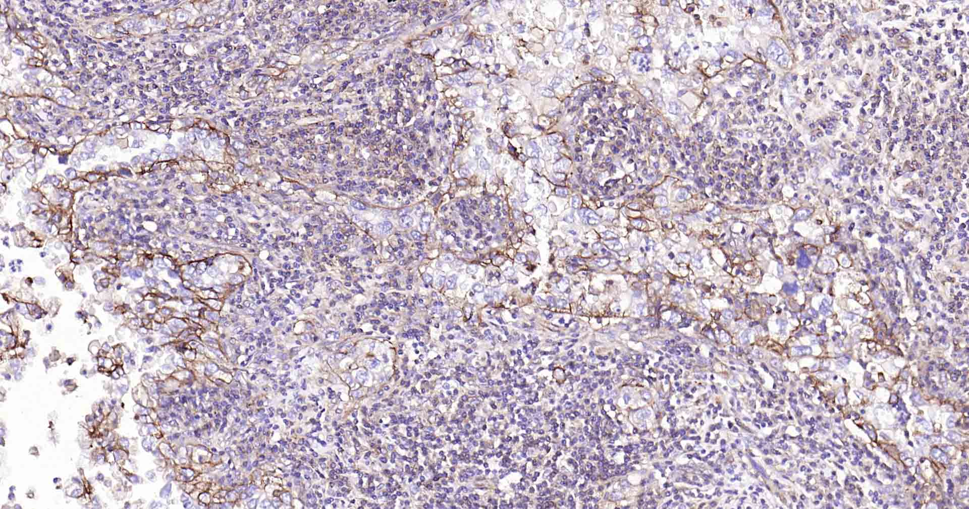
Paraformaldehyde-fixed, paraffin embedded Human Cervical Cancer; Antigen retrieval by boiling in sodium citrate buffer (pH6.0) for 15 min; Antibody incubation with Sodium Potassium ATPase Monoclonal Antibody, Unconjugated(bsm-52485R) at 1:100overnight at 4°C, followed by conjugation to the SP Kit (Rabbit, SP-0023) and DAB (C-0010) staining.
Paraformaldehyde-fixed, paraffin embedded Rat Small Intestine; Antigen retrieval by boiling in sodium citrate buffer (pH6.0) for 15 min; Antibody incubation with Sodium Potassium ATPase Monoclonal Antibody, Unconjugated(bsm-52485R) at 1:100overnight at 4°C, followed by conjugation to the SP Kit (Rabbit, SP-0023) and DAB (C-0010) staining.
Paraformaldehyde-fixed, paraffin embedded Rat Stomach; Antigen retrieval by boiling in sodium citrate buffer (pH6.0) for 15 min; Antibody incubation with Sodium Potassium ATPase Monoclonal Antibody, Unconjugated(bsm-52485R) at 1:100overnight at 4°C, followed by conjugation to the SP Kit (Rabbit, SP-0023) and DAB (C-0010) staining.
Paraformaldehyde-fixed, paraffin embedded Rat Kidney; Antigen retrieval by boiling in sodium citrate buffer (pH6.0) for 15 min; Antibody incubation with Sodium Potassium ATPase Monoclonal Antibody, Unconjugated(bsm-52485R) at 1:100overnight at 4°C, followed by conjugation to the SP Kit (Rabbit, SP-0023) and DAB (C-0010) staining.
Paraformaldehyde-fixed, paraffin embedded Rat Colon; Antigen retrieval by boiling in sodium citrate buffer (pH6.0) for 15 min; Antibody incubation with Sodium Potassium ATPase Monoclonal Antibody, Unconjugated(bsm-52485R) at 1:100overnight at 4°C, followed by conjugation to the SP Kit (Rabbit, SP-0023) and DAB (C-0010) staining.
Paraformaldehyde-fixed, paraffin embedded Rat Liver; Antigen retrieval by boiling in sodium citrate buffer (pH6.0) for 15 min; Antibody incubation with Sodium Potassium ATPase Monoclonal Antibody, Unconjugated(bsm-52485R) at 1:100overnight at 4°C, followed by conjugation to the SP Kit (Rabbit, SP-0023) and DAB (C-0010) staining.
Paraformaldehyde-fixed, paraffin embedded Mouse Small Intestine; Antigen retrieval by boiling in sodium citrate buffer (pH6.0) for 15 min; Antibody incubation with Sodium Potassium ATPase Monoclonal Antibody, Unconjugated(bsm-52485R) at 1:100overnight at 4°C, followed by conjugation to the SP Kit (Rabbit, SP-0023) and DAB (C-0010) staining.
Paraformaldehyde-fixed, paraffin embedded Mouse Stomach; Antigen retrieval by boiling in sodium citrate buffer (pH6.0) for 15 min; Antibody incubation with Sodium Potassium ATPase Monoclonal Antibody, Unconjugated(bsm-52485R) at 1:100overnight at 4°C, followed by conjugation to the SP Kit (Rabbit, SP-0023) and DAB (C-0010) staining.
Paraformaldehyde-fixed, paraffin embedded Mouse Kidney; Antigen retrieval by boiling in sodium citrate buffer (pH6.0) for 15 min; Antibody incubation with Sodium Potassium ATPase Monoclonal Antibody, Unconjugated(bsm-52485R) at 1:100overnight at 4°C, followed by conjugation to the SP Kit (Rabbit, SP-0023) and DAB (C-0010) staining.
Paraformaldehyde-fixed, paraffin embedded Mouse Colon; Antigen retrieval by boiling in sodium citrate buffer (pH6.0) for 15 min; Antibody incubation with Sodium Potassium ATPase Monoclonal Antibody, Unconjugated(bsm-52485R) at 1:100overnight at 4°C, followed by conjugation to the SP Kit (Rabbit, SP-0023) and DAB (C-0010) staining.
Paraformaldehyde-fixed, paraffin embedded Mouse Liver; Antigen retrieval by boiling in sodium citrate buffer (pH6.0) for 15 min; Antibody incubation with Sodium Potassium ATPase Monoclonal Antibody, Unconjugated(bsm-52485R) at 1:100overnight at 4°C, followed by conjugation to the SP Kit (Rabbit, SP-0023) and DAB (C-0010) staining.
Paraformaldehyde-fixed, paraffin embedded Human Heart; Antigen retrieval by boiling in sodium citrate buffer (pH6.0) for 15 min; Antibody incubation with Sodium Potassium ATPase Monoclonal Antibody, Unconjugated(bsm-52485R) at 1:100overnight at 4°C, followed by conjugation to the SP Kit (Rabbit, SP-0023) and DAB (C-0010) staining.
Paraformaldehyde-fixed, paraffin embedded Human Colon; Antigen retrieval by boiling in sodium citrate buffer (pH6.0) for 15 min; Antibody incubation with Sodium Potassium ATPase Monoclonal Antibody, Unconjugated(bsm-52485R) at 1:100overnight at 4°C, followed by conjugation to the SP Kit (Rabbit, SP-0023) and DAB (C-0010) staining.
Paraformaldehyde-fixed, paraffin embedded Rat Cerebrum; Antigen retrieval by boiling in sodium citrate buffer (pH6.0) for 15 min; Antibody incubation with Sodium Potassium ATPase Monoclonal Antibody, Unconjugated(bsm-52485R) at 1:100overnight at 4°C, followed by conjugation to the SP Kit (Rabbit, SP-0023) and DAB (C-0010) staining.
Paraformaldehyde-fixed, paraffin embedded Mouse Cerebrum; Antigen retrieval by boiling in sodium citrate buffer (pH6.0) for 15 min; Antibody incubation with Sodium Potassium ATPase Monoclonal Antibody, Unconjugated(bsm-52485R) at 1:100overnight at 4°C, followed by conjugation to the SP Kit (Rabbit, SP-0023) and DAB (C-0010) staining.
4% Paraformaldehyde-fixed Hela (H) cell; Triton X-100 at r.t. for 20 min; Antibody incubation with (Sodium Potassium ATPase) monoclonal Antibody, unconjugated (bsm-52485R) 1:100, 90 min at 37°C; followed by conjugated Goat Anti-Rabbit IgG antibody (green, bs-60295G-BF488) at 37°C for 90 min, DAPI (blue, C02-04002) was used to stain the cell nuclei. PBS instead of the primary antibody was used as the blank control.
The Hela (H) cells were fixed with 4% PFA (10 min at r.t.) and then permeabilized with 90% ice-cold methanol for 20 min at -20℃,the cells then were incubated in 5%BSA to block non-specific protein-protein interactions (30 min at r.t.).Primary Antibody (green):Rabbit Anti-Sodium Potassium ATPase antibody (bsm-52485R): 1 μg/10^6 cells; Secondary Antibody (white blue): Goat anti-Rabbit IgG-BF488 (bs-60295G-BF488): 1 μg/test. Blank control (black): PBS. Acquisition of 20,000 events was performed.
版权所有 2004-2026 www.bioss.com.cn 北京博奥森生物技术有限公司
通过国际质量管理体系ISO 9001:2015 GB/T 19001-2016    证书编号: 00124Q34771R2M/1100
通过国际医疗器械-质量管理体系ISO 13485:2016 GB/T 42061-2022     证书编号: CQC24QY20047R0M/1100
京ICP备05066980号-1         京公网安备110107000727号