扫码关注公众号           扫码咨询技术支持           扫码咨询技术服务
  
客服热线:400-901-9800  客服QQ:4009019800  技术答疑  技术支持  质量反馈  人才招聘  关于我们  联系我们
产品中心-北京博奥森生物技术有限公司
首页 > 产品中心 > 一抗 > 产品信息
BDNF Recombinant Rabbit mAb (bsm-52368R)  
订购热线:400-901-9800
订购邮箱:sales@bioss.com.cn
订购QQ:  400-901-9800
技术支持:techsupport@bioss.com.cn
25ul/800.00元
50ul/1400.00元
100ul/2500.00元
200ug(PBS only)/5600.00元
大包装/询价

产品编号 bsm-52368R
英文名称 BDNF Recombinant Rabbit mAb
中文名称 脑源神经营养因子重组兔单抗
别    名 ANON2; BULN2; BDNF_HUMAN; BDNF; proBDNF; Abrineurin; Brain-derived neurotrophic factor; BDNF_MOUSE; BDNF_RAT; brain derived neurotrophic factor; neurotrophin  
Specific References  (2)     |     bsm-52368R has been referenced in 2 publications.
[IF=16.744] Xiaoyu Ma. et al. Multifunctional injectable hydrogel promotes functional recovery after stroke by modulating microglial polarization, angiogenesis and neuroplasticity. CHEM ENG J. 2023 May;464:142520  IF ;  Mouse.  
[IF=6.706] Pallavi Gurung. et al. Euonymus alatus Twig Extract Protects against Scopolamine-Induced Changes in Brain and Brain-Derived Cells via Cholinergic and BDNF Pathways. NUTRIENTS. 2023 Jan;15(1):128  WB ;  Mouse, Rat.  
研究领域 神经生物学  信号转导  生长因子和激素  转录调节因子  激酶和磷酸酶  
抗体来源 Rabbit
克隆类型 Recombinant
克 隆 号 2G4
交叉反应 Human,Mouse,Rat
产品应用 WB=1:1000-2000,IHC-P=1:100-500,IHC-F=1:100-500,IF=1:100-500,Flow-Cyt=1:100-200
not yet tested in other applications.
optimal dilutions/concentrations should be determined by the end user.
理论分子量 27kDa
检测分子量 35
细胞定位 细胞核 分泌型蛋白 
性    状 Liquid
浓    度 1mg/ml
免 疫 原 A synthesized peptide derived from human BDNF: 150-200 
亚    型 IgG
纯化方法 affinity purified by Protein A
缓 冲 液 0.01M TBS (pH7.4) with 1% BSA, 0.02% Proclin300 and 50% Glycerol.
保存条件 Shipped at 4℃. Store at -20℃ for one year. Avoid repeated freeze/thaw cycles.
注意事项 This product as supplied is intended for research use only, not for use in human, therapeutic or diagnostic applications.
PubMed PubMed
产品介绍 Neurotrophins function to regulate naturally occurring cell death of neurons during development. The prototype neurotrophin is nerve growth factor (NGF), originally discovered in the 1950s as a soluble peptide promoting the survival of, and neurite outgrowth from, sympathetic ganglia. More recently, three additional structurally homologous neurotrophic factors have been identified. These include brain-derived neurotrophic factor (BDNF), neurotrophin-3 (NT-3) and neurotrophin-4 (NT-4), also designated NT-5. These various neurotrophins stimulate the in vitro survival of distinct but partially overlapping populations of neurons. The Trk A receptor is the preferential receptor for NGF, but also binds NT-3 and NT-4. The Trk B receptor binds equally well to both BDNF and NT-4 and to a lesser extent NT-3, while the Trk C receptor only binds NT-3. BDNF promotes the survival of neuronal populations that are all located either in the central nervous system or directly connected to it. Belongs to the NGF-beta family.

Function:
During development, promotes the survival and differentiation of selected neuronal populations of the peripheral and central nervous systems. Participates in axonal growth, pathfinding and in the modulation of dendritic growth and morphology. Major regulator of synaptic transmission and plasticity at adult synapses in many regions of the CNS. The versatility of BDNF is emphasized by its contribution to a range of adaptive neuronal responses including long-term potentiation (LTP), long-term depression (LTD), certain forms of short-term synaptic plasticity, as well as homeostatic regulation of intrinsic neuronal excitability.

Subunit:
Monomers and homodimers. Binds to NTRK2/TRKB.

Subcellular Location:
Secreted.

Tissue Specificity:
Brain. Highly expressed in hippocampus, amygdala, cerebral cortex and cerebellum. Also expressed in heart, lung, skeletal muscle, testis, prostate and placenta.

Post-translational modifications:
The propeptide is N-glycosylated and glycosulfated.
Converted into mature BDNF by plasmin (PLG).

DISEASE:
Defects in BDNF are a cause of congenital central hypoventilation syndrome (CCHS) [MIM:209880]; also known as congenital failure of autonomic control or Ondine curse. CCHS is a rare disorder characterized by abnormal control of respiration in the absence of neuromuscular or lung disease, or an identifiable brain stem lesion. A deficiency in autonomic control of respiration results in inadequate or negligible ventilatory and arousal responses to hypercapnia and hypoxemia. CCHS is frequently complicated with neurocristopathies such as Hirschsprung disease that occurs in about 16% of CCHS cases.

Similarity:
Belongs to the NGF-beta family.

SWISS:
P23560

Gene ID:
627

Database links:

Entrez Gene: 627 Human

Entrez Gene: 12064 Mouse

Entrez Gene: 24225 Rat

Omim: 113505 Human

SwissProt: P23560 Human

SwissProt: P21237 Mouse

SwissProt: P23363 Rat

Unigene: 502182 Human

Unigene: 1442 Mouse

Unigene: 11266 Rat



产品图片
25 ug total protein per lane of various lysates (see on figure) probed with BDNF monoclonal antibody, unconjugated (bsm-52368R) at 1:1000 dilution and 4°C overnight incubation. Followed by conjugated secondary antibody incubation at r.t. for 60 min.
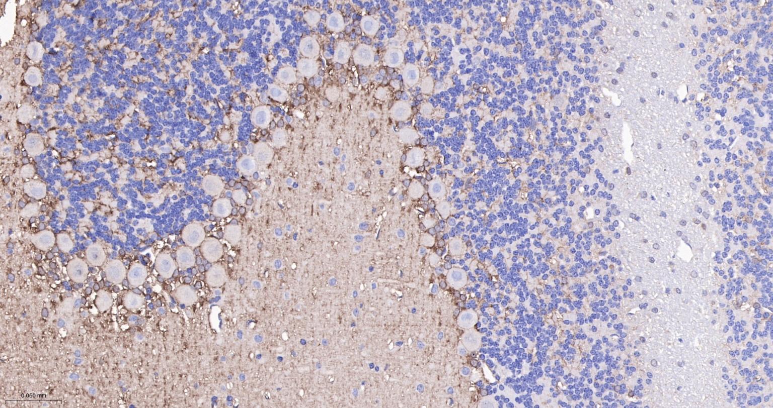
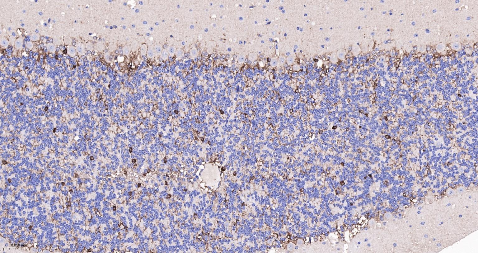
Paraformaldehyde-fixed, paraffin embedded Mouse Cerebellum; Antigen retrieval by boiling in sodium citrate buffer (pH6.0) for 15 min; The section was incubated with BDNF Monoclonal Antibody, Unconjugated (bsm-52368R) at 1:200 overnight at 4°C, followed by conjugation to the PV-1023 and DAB (C-0010) staining.
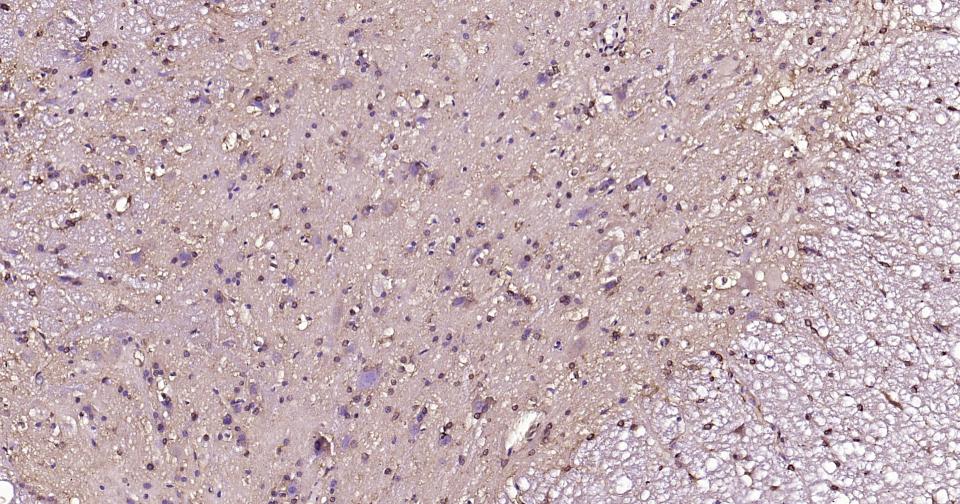
Paraformaldehyde-fixed, paraffin embedded Mouse Spinal Cord; Antigen retrieval by boiling in sodium citrate buffer (pH6.0) for 15 min; The section was incubated with BDNF Monoclonal Antibody, Unconjugated (bsm-52368R) at 1:200 overnight at 4°C, followed by conjugation to the PV-1023 and DAB (C-0010) staining.
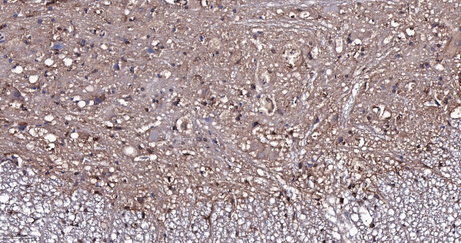
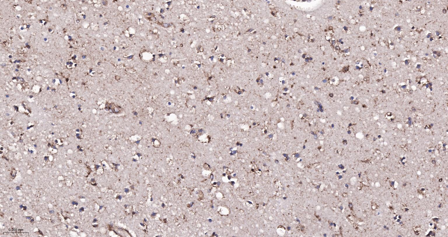
Paraformaldehyde-fixed, paraffin embedded Human Brain; Antigen retrieval by boiling in sodium citrate buffer (pH6.0) for 15 min; Antibody incubation with BDNF Monoclonal Antibody, Unconjugated(bsm-52368R) at 1:200 overnight at 4°C, followed by conjugation to the SP Kit (Rabbit, SP-0023) and DAB (C-0010) staining.
Paraformaldehyde-fixed, paraffin embedded Rat Spinal Cord; Antigen retrieval by boiling in sodium citrate buffer (pH6.0) for 15 min; Antibody incubation with BDNF Monoclonal Antibody, Unconjugated(bsm-52368R) at 1:200 overnight at 4°C, followed by conjugation to the SP Kit (Rabbit, SP-0023) and DAB (C-0010) staining.
Paraformaldehyde-fixed, paraffin embedded Rat Cerebellum; Antigen retrieval by boiling in sodium citrate buffer (pH6.0) for 15 min; Antibody incubation with BDNF Monoclonal Antibody, Unconjugated(bsm-52368R) at 1:200 overnight at 4°C, followed by conjugation to the SP Kit (Rabbit, SP-0023) and DAB (C-0010) staining.
Paraformaldehyde-fixed, paraffin embedded Rat Cerebrum; Antigen retrieval by boiling in sodium citrate buffer (pH6.0) for 15 min; Antibody incubation with BDNF Monoclonal Antibody, Unconjugated(bsm-52368R) at 1:200 overnight at 4°C, followed by conjugation to the SP Kit (Rabbit, SP-0023) and DAB (C-0010) staining.
Paraformaldehyde-fixed, paraffin embedded Mouse Cerebrum; Antigen retrieval by boiling in sodium citrate buffer (pH6.0) for 15 min; Antibody incubation with BDNF Monoclonal Antibody, Unconjugated(bsm-52368R) at 1:200 overnight at 4°C, followed by conjugation to the SP Kit (Rabbit, SP-0023) and DAB (C-0010) staining.
Paraformaldehyde-fixed, paraffin embedded Human left parietal lobe; Antigen retrieval by boiling in sodium citrate buffer (pH6.0) for 15 min; The section was incubated with BDNF Monoclonal Antibody, Unconjugated (bsm-52368R) at 1:200 overnight at 4°C. Followed by conjugated Goat Anti-Rabbit IgG antibody (Red, bs-0295G-BF594), DAPI (blue, C02-04002) was used to stain the cell nuclei.
Paraformaldehyde-fixed, paraffin embedded Rat Spinal Cord; Antigen retrieval by boiling in sodium citrate buffer (pH6.0) for 15 min; The section was incubated with BDNF Monoclonal Antibody, Unconjugated (bsm-52368R) at 1:200 overnight at 4°C. Followed by conjugated Goat Anti-Rabbit IgG antibody (Red, bs-0295G-BF594), DAPI (blue, C02-04002) was used to stain the cell nuclei.
Paraformaldehyde-fixed, paraffin embedded Mouse Spinal Cord; Antigen retrieval by boiling in sodium citrate buffer (pH6.0) for 15 min; The section was incubated with BDNF Monoclonal Antibody, Unconjugated (bsm-52368R) at 1:200 overnight at 4°C. Followed by conjugated Goat Anti-Rabbit IgG antibody (Red, bs-0295G-BF594), DAPI (blue, C02-04002) was used to stain the cell nuclei.
版权所有 2004-2026 www.bioss.com.cn 北京博奥森生物技术有限公司
通过国际质量管理体系ISO 9001:2015 GB/T 19001-2016    证书编号: 00124Q34771R2M/1100
通过国际医疗器械-质量管理体系ISO 13485:2016 GB/T 42061-2022     证书编号: CQC24QY20047R0M/1100
京ICP备05066980号-1         京公网安备110107000727号