扫码关注公众号           扫码咨询技术支持           扫码咨询技术服务
  
客服热线:400-901-9800  客服QQ:4009019800  技术答疑  技术支持  质量反馈  人才招聘  关于我们  联系我们
产品中心-北京博奥森生物技术有限公司
首页 > 产品中心 > 一抗 > 产品信息
GLIPR1 Rabbit pAb (bs-22736R)  
订购热线:400-901-9800
订购邮箱:sales@bioss.com.cn
订购QQ:  400-901-9800
技术支持:techsupport@bioss.com.cn
50ul/1180.00元
100ul/1980.00元
200ul/2800.00元
大包装/询价

产品编号 bs-22736R
英文名称 GLIPR1 Rabbit pAb
中文名称 脑胶质瘤发病机制相关蛋白1抗体
别    名 CRISP7; GLIPR; RTVP1; GLIP1_HUMAN; GLIPR1; GliPR 1; Protein RTVP-1;   
研究领域 肿瘤  细胞生物  免疫学  发育生物学  
抗体来源 Rabbit
克隆类型 Polyclonal
克 隆 号
交叉反应 Mouse
产品应用 IHC-P=1:100-500,IHC-F=1:100-500,IF=1:100-500
not yet tested in other applications.
optimal dilutions/concentrations should be determined by the end user.
理论分子量 27 kDa
细胞定位 细胞膜 
性    状 Liquid
浓    度 1mg/ml
免 疫 原 KLH conjugated synthetic peptide derived from mouse GLIPR1: 11-110/255 
亚    型 IgG
纯化方法 affinity purified by Protein A
缓 冲 液 0.01M TBS (pH7.4) with 1% BSA, 0.02% Proclin300 and 50% Glycerol.
保存条件 Shipped at 4℃. Store at -20℃ for one year. Avoid repeated freeze/thaw cycles.
注意事项 This product as supplied is intended for research use only, not for use in human, therapeutic or diagnostic applications.
PubMed PubMed
产品介绍 This gene encodes a protein with similarity to both the pathogenesis-related protein (PR) superfamily and the cysteine-rich secretory protein (CRISP) family. Increased expression of this gene is associated with myelomocytic differentiation in macrophage and decreased expression of this gene through gene methylation is associated with prostate cancer. The protein has proapoptotic activities in prostate and bladder cancer cells. This gene is a member of a cluster on chromosome 12 containing two other similar genes. Alternatively spliced variants which encode different protein isoforms have been described; however, not all variants have been fully characterized. [provided by RefSeq, Jul 2008]

Subcellular Location:
Single-pass membrane protein.

Tissue Specificity:
According to PubMed:8973356, it is ubiquitously expressed with high levels in lung and kidney and low levels in heart and liver. Highly expressed in cell lines derived from nervous system tumors arising from glia, low or absent in non-glial-derived nervous system tumor cell lines. Also found in fetal kidney. According to PubMed:7607567 it is expressed only in brain tumor glioblastoma multiforme/astrocytoma and not in other nervous system tumors or normal fetal or adult tissues.

Similarity:
Belongs to the CRISP family.

Database links:

Entrez Gene: 11010 Human

Entrez Gene: 299783 Rat

Omim: 602692 Human

SwissProt: P48060 Human

Unigene: 205558 Human



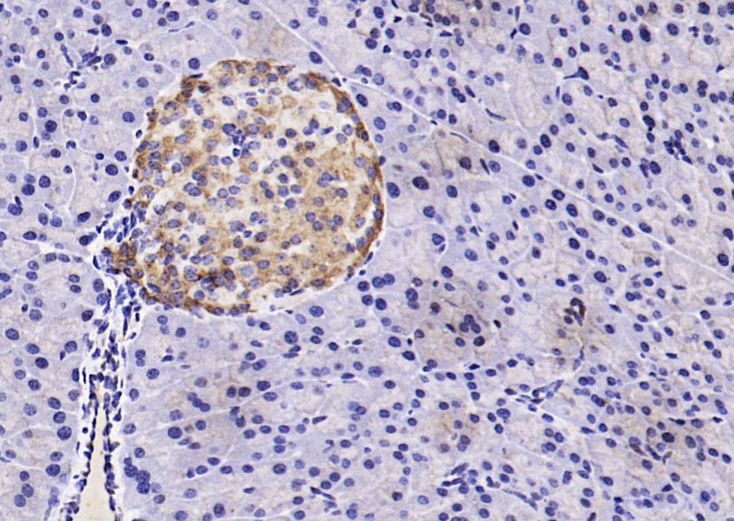
产品图片
Paraformaldehyde-fixed, paraffin embedded (mouse pancreas); Antigen retrieval by boiling in sodium citrate buffer (pH6.0) for 15min; Block endogenous peroxidase by 3% hydrogen peroxide for 20 minutes; Blocking buffer (normal goat serum) at 37°C for 30min; Antibody incubation with (GLIPR1) Polyclonal Antibody, Unconjugated (bs-22736R) at 1:200 overnight at 4°C, followed by operating according to SP Kit(Rabbit) (sp-0023) instructionsand DAB staining.
版权所有 2004-2026 www.bioss.com.cn 北京博奥森生物技术有限公司
通过国际质量管理体系ISO 9001:2015 GB/T 19001-2016    证书编号: 00124Q34771R2M/1100
通过国际医疗器械-质量管理体系ISO 13485:2016 GB/T 42061-2022     证书编号: CQC24QY20047R0M/1100
京ICP备05066980号-1         京公网安备110107000727号