扫码关注公众号           扫码咨询技术支持           扫码咨询技术服务
  
客服热线:400-901-9800  客服QQ:4009019800  技术答疑  技术支持  质量反馈  关于我们  联系我们
产品中心-北京博奥森生物技术有限公司
首页 > 产品中心 > 一抗 > 产品信息
PSMA1 Recombinant Rabbit mAb (bsm-54170R)  
订购热线:400-901-9800
订购邮箱:sales@bioss.com.cn
订购QQ:  400-901-9800
技术支持:techsupport@bioss.com.cn
50ul/1400.00元
100ul/2500.00元
大包装/询价

产品编号 bsm-54170R
英文名称 PSMA1 Recombinant Rabbit mAb
中文名称 蛋白酶体PSMα1重组兔单抗
别    名 20S Proteasome α1; 30 kDa prosomal protein; HC 2; HC2; Macropain subunit C2; Macropain subunit nu; Multicatalytic endopeptidase complex subunit C2; NU antibody PROS 30; PROS-30; PROS30; Proteasome(prosome macropain) subunit alpha type 1; Proteasome alpha 1 subunit; Proteasome component C2; Proteasome nu chain; Proteasome subunit alpha type 1; Proteasome subunit alpha type I; Proteasome subunit alpha type-1; Proteasome subunit nu; Protein P30 33K; PSA1_HUMAN; PSC 2; PSC2; Proteasome 20S C2; psmA1.  
研究领域 细胞生物  免疫学  
抗体来源 Rabbit
克隆类型 Recombinant
克 隆 号 10A2
交叉反应 Human,Mouse,Rat
产品应用 WB=1:500-2000,IHC-P=1:50-200,IHC-F=1:50-200,IF=1:50-200,Flow-Cyt=1:50-200,ICC/IF=1:50-200
not yet tested in other applications.
optimal dilutions/concentrations should be determined by the end user.
理论分子量 30 kDa
检测分子量
细胞定位 细胞核 细胞浆 
性    状 Liquid
浓    度 1mg/ml
免 疫 原 Recombinant human PSMA1 
亚    型 IgG
纯化方法 affinity purified by Protein A
缓 冲 液 0.01M TBS (pH7.4) with 1% BSA, 0.02% Proclin300 and 50% Glycerol.
保存条件 Shipped at 4℃. Store at -20℃ for one year. Avoid repeated freeze/thaw cycles.
注意事项 This product as supplied is intended for research use only, not for use in human, therapeutic or diagnostic applications.
PubMed PubMed
产品介绍 Ubiquitin-dependent proteolysis mediates selective destruction of various cell cycle regulators, transcription factors and tumor suppressors. In eukaryotic cells, selective breakdown of cellular proteins is ensured by their ubiquitination and subsequent degradation by the 26S proteasome. At specific stages of development, embryo- and tissue-specific components of the 26S proteasome form, facilitating proteolysis. 20S Proteasome ?, also designated macropain subunit C2 or PROS-30, is a prosomal protein involved in a non-lysosomal ATP/ubiquitin-dependent proteolytic pathway. The entire proteasome is composed of at least 15 non-identical subunits which form a highly-ordered ring-shaped structure.

Function:
The proteasome is a multicatalytic proteinase complex which is characterized by its ability to cleave peptides with Arg, Phe, Tyr, Leu, and Glu adjacent to the leaving group at neutral or slightly basic pH. The proteasome has an ATP-dependent proteolytic activity. Mediates the lipopolysaccharide-induced signal transduction in the macrophage proteasome (By similarity). Might be involved in the anti-inflammatory response of macrophages during the interaction with C.albicans heat-inactivated cells.

Subunit:
The 26S proteasome consists of a 20S proteasome core and two 19S regulatory subunits. The 20S proteasome core is composed of 28 subunits that are arranged in four stacked rings, resulting in a barrel-shaped structure. The two end rings are each formed by seven alpha subunits, and the two central rings are each formed by seven beta subunits. The catalytic chamber with the active sites is on the inside of the barrel. Interacts with bacterial.

Subcellular Location:
Cytoplasm. Nucleus.

Similarity:
Belongs to the peptidase T1A family.

SWISS:
P25786

Gene ID:
5682

Database links:

Entrez Gene: 5682 Human

Entrez Gene: 26440 Mouse

Entrez Gene: 29668 Rat

Omim: 602854 Human

SwissProt: O42265 Chicken

SwissProt: P25786 Human

SwissProt: Q9R1P4 Mouse

SwissProt: P18420 Rat

Unigene: 102798 Human

Unigene: 121265 Mouse

Unigene: 2668 Rat



产品图片
Sample: Lane 1: Mouse Spleen tissue lysates Lane 2: Mouse Testis tissue lysates Lane 3: Mouse Cerebellum tissue lysates Lane 4: Mouse Liver tissue lysates Lane 5: Rat Spleen tissue lysates Lane 6: Rat Testis tissue lysates Lane 7: Rat Cerebellum tissue lysates Lane 8: Rat Pancreas tissue lysates Lane 9: Rat Liver tissue lysates Lane 10: Human Hela cell lysates Lane 11: Human Jurkat cell lysates Lane 12: Human MCF-7 cell lysates Lane 13: Human HepG2 cell lysates Primary: Anti-PSMA1 (bsm-54170R) at 1/1000 dilution Secondary: IRDye800CW Goat Anti-Rabbit IgG at 1/20000 dilution Predicted band size: 30 kD Observed band size: 32 kD
Paraformaldehyde-fixed, paraffin embedded (rat testis); Antigen retrieval by boiling in sodium citrate buffer (pH6.0) for 15min; Block endogenous peroxidase by 3% hydrogen peroxide for 20 minutes; Blocking buffer (normal goat serum) at 37°C for 30min; Antibody incubation with (PSMA1) Monoclonal Antibody, Unconjugated (bsm-54170R) at 1:200 overnight at 4°C, followed by operating according to SP Kit(Rabbit) (sp-0023) instructionsand DAB staining.
Paraformaldehyde-fixed, paraffin embedded (mouse testis); Antigen retrieval by boiling in sodium citrate buffer (pH6.0) for 15min; Block endogenous peroxidase by 3% hydrogen peroxide for 20 minutes; Blocking buffer (normal goat serum) at 37°C for 30min; Antibody incubation with (PSMA1) Monoclonal Antibody, Unconjugated (bsm-54170R) at 1:200 overnight at 4°C, followed by operating according to SP Kit(Rabbit) (sp-0023) instructionsand DAB staining.
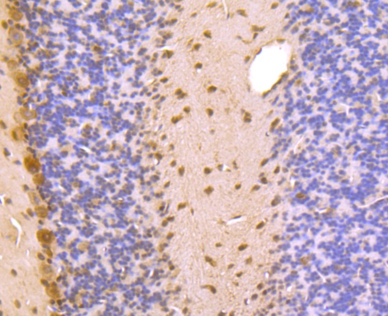
Paraformaldehyde-fixed, paraffin embedded (mouse cerebellum); Antigen retrieval by boiling in sodium citrate buffer (pH6.0) for 15min; Block endogenous peroxidase by 3% hydrogen peroxide for 20 minutes; Blocking buffer (normal goat serum) at 37°C for 30min; Antibody incubation with (PSMA1) Monoclonal Antibody, Unconjugated (bsm-54170R) at 1:200 overnight at 4°C, followed by operating according to SP Kit(Rabbit) (sp-0023) instructionsand DAB staining.
Paraformaldehyde-fixed, paraffin embedded (rat cerebellum); Antigen retrieval by boiling in sodium citrate buffer (pH6.0) for 15min; Block endogenous peroxidase by 3% hydrogen peroxide for 20 minutes; Blocking buffer (normal goat serum) at 37°C for 30min; Antibody incubation with (PSMA1) Monoclonal Antibody, Unconjugated (bsm-54170R) at 1:200 overnight at 4°C, followed by operating according to SP Kit(Rabbit) (sp-0023) instructionsand DAB staining.
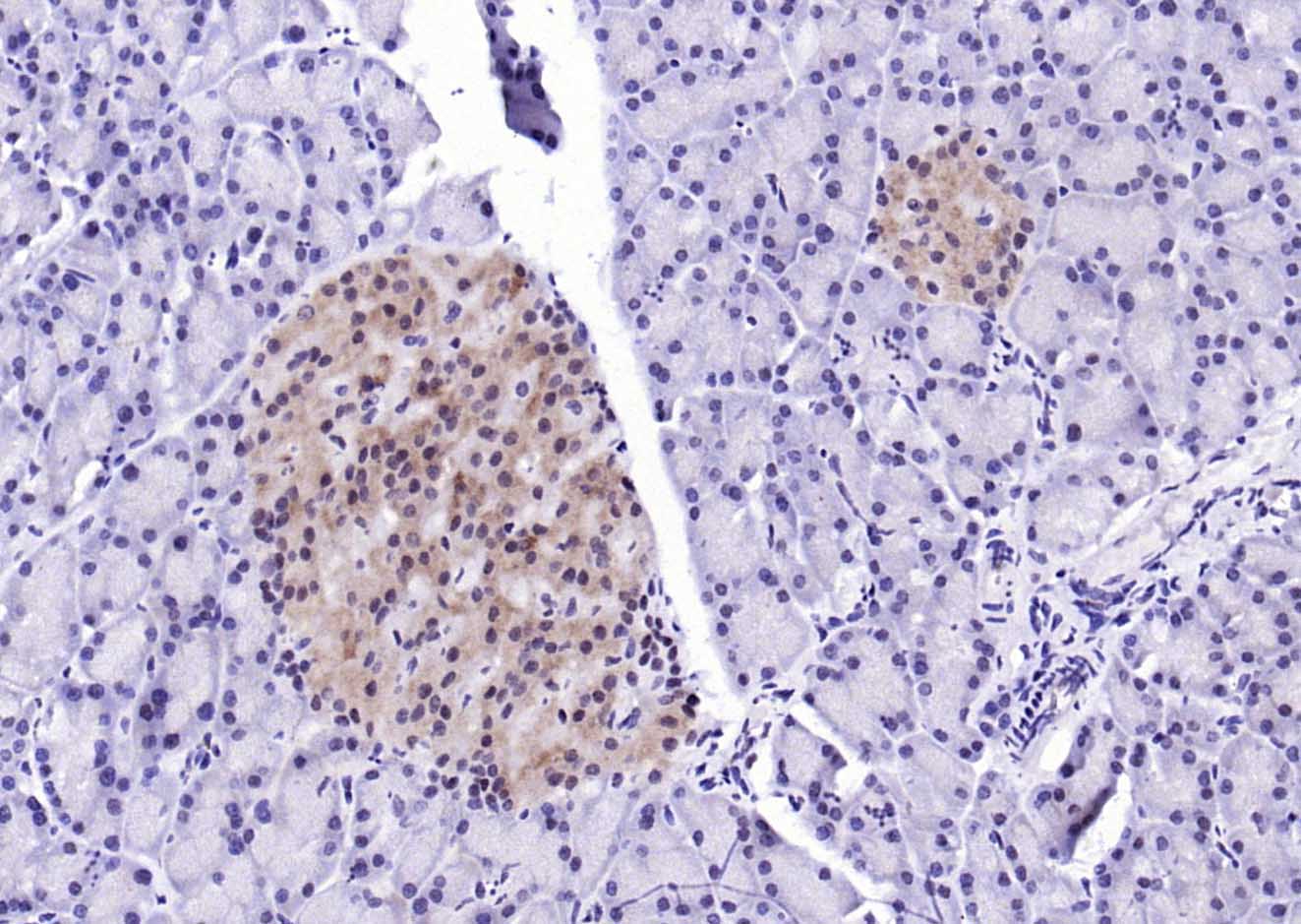
Paraformaldehyde-fixed, paraffin embedded (rat pancreas); Antigen retrieval by boiling in sodium citrate buffer (pH6.0) for 15min; Block endogenous peroxidase by 3% hydrogen peroxide for 20 minutes; Blocking buffer (normal goat serum) at 37°C for 30min; Antibody incubation with (PSMA1) Monoclonal Antibody, Unconjugated (bsm-54170R) at 1:200 overnight at 4°C, followed by operating according to SP Kit(Rabbit) (sp-0023) instructionsand DAB staining.
Paraformaldehyde-fixed, paraffin embedded (rat spleen); Antigen retrieval by boiling in sodium citrate buffer (pH6.0) for 15min; Block endogenous peroxidase by 3% hydrogen peroxide for 20 minutes; Blocking buffer (normal goat serum) at 37°C for 30min; Antibody incubation with (PSMA1) Monoclonal Antibody, Unconjugated (bsm-54170R) at 1:200 overnight at 4°C, followed by operating according to SP Kit(Rabbit) (sp-0023) instructionsand DAB staining.
Paraformaldehyde-fixed, paraffin embedded (mouse pancreas); Antigen retrieval by boiling in sodium citrate buffer (pH6.0) for 15min; Block endogenous peroxidase by 3% hydrogen peroxide for 20 minutes; Blocking buffer (normal goat serum) at 37°C for 30min; Antibody incubation with (PSMA1) Monoclonal Antibody, Unconjugated (bsm-54170R) at 1:200 overnight at 4°C, followed by operating according to SP Kit(Rabbit) (sp-0023) instructionsand DAB staining.
Paraformaldehyde-fixed, paraffin embedded (human colon carcinoma); Antigen retrieval by boiling in sodium citrate buffer (pH6.0) for 15min; Block endogenous peroxidase by 3% hydrogen peroxide for 20 minutes; Blocking buffer (normal goat serum) at 37°C for 30min; Antibody incubation with (PSMA1) Monoclonal Antibody, Unconjugated (bsm-54170R) at 1:200 overnight at 4°C, followed by operating according to SP Kit(Rabbit) (sp-0023) instructionsand DAB staining.
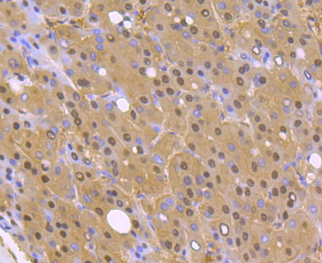
Paraformaldehyde-fixed, paraffin embedded (human liver carcinoma); Antigen retrieval by boiling in sodium citrate buffer (pH6.0) for 15min; Block endogenous peroxidase by 3% hydrogen peroxide for 20 minutes; Blocking buffer (normal goat serum) at 37°C for 30min; Antibody incubation with (PSMA1) Monoclonal Antibody, Unconjugated (bsm-54170R) at 1:200 overnight at 4°C, followed by operating according to SP Kit(Rabbit) (sp-0023) instructionsand DAB staining.
Paraformaldehyde-fixed, paraffin embedded (human breast carcinoma); Antigen retrieval by boiling in sodium citrate buffer (pH6.0) for 15min; Block endogenous peroxidase by 3% hydrogen peroxide for 20 minutes; Blocking buffer (normal goat serum) at 37°C for 30min; Antibody incubation with (PSMA1) Monoclonal Antibody, Unconjugated (bsm-54170R) at 1:200 overnight at 4°C, followed by operating according to SP Kit(Rabbit) (sp-0023) instructionsand DAB staining.
Paraformaldehyde-fixed, paraffin embedded (mouse spleen); Antigen retrieval by boiling in sodium citrate buffer (pH6.0) for 15min; Block endogenous peroxidase by 3% hydrogen peroxide for 20 minutes; Blocking buffer (normal goat serum) at 37°C for 30min; Antibody incubation with (PSMA1) Monoclonal Antibody, Unconjugated (bsm-54170R) at 1:200 overnight at 4°C, followed by operating according to SP Kit(Rabbit) (sp-0023) instructionsand DAB staining.
Paraformaldehyde-fixed, paraffin embedded (human brain); Antigen retrieval by boiling in sodium citrate buffer (pH6.0) for 15min; Block endogenous peroxidase by 3% hydrogen peroxide for 20 minutes; Blocking buffer (normal goat serum) at 37°C for 30min; Antibody incubation with (PSMA1) Monoclonal Antibody, Unconjugated (bsm-54170R) at 1:200 overnight at 4°C, followed by operating according to SP Kit(Rabbit) (sp-0023) instructionsand DAB staining.
版权所有 2004-2026 www.bioss.com.cn 北京博奥森生物技术有限公司
通过国际质量管理体系ISO 9001:2015 GB/T 19001-2016    证书编号: 00124Q34771R2M/1100
通过国际医疗器械-质量管理体系ISO 13485:2016 GB/T 42061-2022     证书编号: CQC24QY20047R0M/1100
京ICP备05066980号-1         京公网安备110107000727号