扫码关注公众号           扫码咨询技术支持           扫码咨询技术服务
  
客服热线:400-901-9800  客服QQ:4009019800  技术答疑  技术支持  质量反馈  人才招聘  关于我们  联系我们
产品中心-北京博奥森生物技术有限公司
首页 > 产品中心 > 一抗 > 产品信息
Huntingtin Recombinant Rabbit mAb (bsm-54305R)  
订购热线:400-901-9800
订购邮箱:sales@bioss.com.cn
订购QQ:  400-901-9800
技术支持:techsupport@bioss.com.cn
50ul/1400.00元
100ul/2500.00元
大包装/询价

产品编号 bsm-54305R
英文名称 Huntingtin Recombinant Rabbit mAb
中文名称 神经性舞蹈病蛋白重组兔单抗
别    名 HD; IT15; LOMARS; C430023I11Rik; Hdh; HD_HUMAN; HTT; Huntington disease protein (HD protein); HD_MOUSE; Huntington disease protein homolog (HD protein homolog); HD_RAT;   
研究领域 细胞生物  神经生物学  Alzheimer's  
抗体来源 Rabbit
克隆类型 Recombinant
克 隆 号 1F10
交叉反应 Human,Mouse,Rat
产品应用 WB=1:1000-2000,IHC-P=1:100-500,IHC-F=1:100-500,IF=1:100-500,Flow-Cyt=1μg/Test
not yet tested in other applications.
optimal dilutions/concentrations should be determined by the end user.
理论分子量 347 kDa
检测分子量 350
细胞定位 细胞核 细胞浆 
性    状 Liquid
浓    度 1mg/ml
免 疫 原 A synthesized peptide derived from human Huntingtin: 1-47 
亚    型 IgG
纯化方法 affinity purified by Protein A
缓 冲 液 0.01M TBS (pH7.4) with 1% BSA, 0.02% Proclin300 and 50% Glycerol.
保存条件 Shipped at 4℃. Store at -20℃ for one year. Avoid repeated freeze/thaw cycles.
注意事项 This product as supplied is intended for research use only, not for use in human, therapeutic or diagnostic applications.
PubMed PubMed
产品介绍 Huntingtin is a protein that contains a polyglutamine region. When the number of glutamine repeats exceeds 35, the gene encodes a version of Huntingtin that leads to Huntington’s disease (HD). When the polyglutamine stretch is mutated, Huntingtin acts within the nucleus to induce neurodegeneration by a cell-specific apoptotic mechanism. Loss of Huntingtin activity is unlikely to be the cause of HD, and it has been proposed that the expanded glutamine repeat region may induce an abnormal interaction between the mutant protein and other cellular proteins. Huntingtin interacts with a variety of proteins including HAP1, glyceraldehyde phosphate dehydrogenase (GAPDH) and HIP1.

Function:
May play a role in microtubule-mediated transport or vesicle function.

Subunit:
Binds SH3GLB1 (By similarity). Interacts through its N-terminus with PRPF40A. Interacts with PQBP1, SETD2 and SYVN. Interacts with PFN1.

Subcellular Location:
Cytoplasm. Nucleus. The mutant Huntingtin protein colocalizes with AKAP8L in the nuclear matrix of Huntington's disease neurons.

Tissue Specificity:
Expressed in the brain cortex (at protein level). Widely expressed with the highest level of expression in the brain (nerve fibers, varicosities, and nerve endings). In the brain, the regions where it can be mainly found are the cerebellar cortex, the neocortex, the striatum, and the hippocampal formation.

Post-translational modifications:
Cleaved by apopain downstream of the polyglutamine stretch. The resulting N-terminal fragment is cytotoxic and provokes apoptosis.
Forms with expanded polyglutamine expansion are specifically ubiquitinated by SYVN1, which promotes their proteasomal degradation.

DISEASE:
Defects in HTT are the cause of Huntington disease (HD) [MIM:143100]. HD is an autosomal dominant neurodegenerative disorder characterized by involuntary movements (chorea), general motor impairment, psychiatric disorders and dementia. Onset of the disease occurs usually in the third or fourth decade of life and symptoms progressively worsen leading to death in 10 to 20 years. Onset and clinical course depend on the degree of poly-Gln repeat expansion, longer expansions resulting in earlier onset and more severe clinical manifestations. HD affects 1 in 10,000 individuals of European origin. Neuropathology of Huntington disease displays a distinctive pattern with loss of neurons, especially in the caudate and putamen (striatum).

Similarity:
Belongs to the huntingtin family.
Contains 10 HEAT repeats.

SWISS:
P42858

Gene ID:
3064

Database links:

Entrez Gene: 3064 Human

Entrez Gene: 15194 Mouse

Entrez Gene: 29424 Rat

Omim: 143100 Human

Omim: 613004 Human

SwissProt: P42858 Human

SwissProt: P42859 Mouse

SwissProt: P51111 Rat

Unigene: 518450 Human

Unigene: 209071 Mouse

Unigene: 482929 Mouse

Unigene: 11193 Rat



产品图片
25 ug total protein per lane of various lysates (see on figure) probed with Huntingtin monoclonal antibody, unconjugated (bsm-54305R) at 1:1000 dilution and 4°C overnight incubation. Followed by conjugated secondary antibody incubation at r.t. for 60 min.
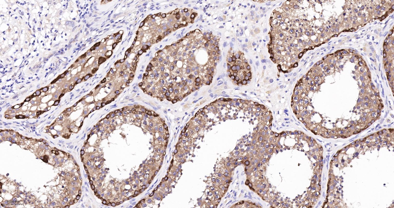
Paraformaldehyde-fixed, paraffin embedded Mouse Testicles; Antigen retrieval by boiling in sodium citrate buffer (pH6.0) for 15 min; The section was incubated with Huntingtin Monoclonal Antibody, Unconjugated (bsm-54305R) at 1:200 overnight at 4°C, followed by conjugation to the bs-0295G-HRP and DAB (C-0010) staining.
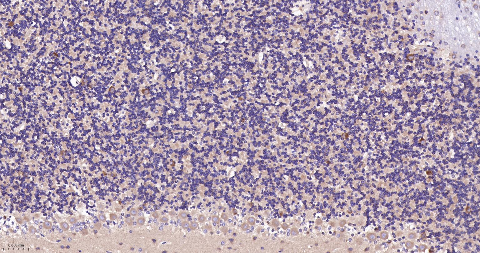
Paraformaldehyde-fixed, paraffin embedded Human Cerebellum; Antigen retrieval by boiling in sodium citrate buffer (pH6.0) for 15 min; Antibody incubation with Huntingtin Monoclonal Antibody, Unconjugated(bsm-54305R) at 1:200 overnight at 4°C, followed by conjugation to the bs-0295G-HRP and DAB (C-0010) staining.
Paraformaldehyde-fixed, paraffin embedded Rat Cerebellum; Antigen retrieval by boiling in sodium citrate buffer (pH6.0) for 15 min; Antibody incubation with Huntingtin Monoclonal Antibody, Unconjugated(bsm-54305R) at 1:200 overnight at 4°C, followed by conjugation to the bs-0295G-HRP and DAB (C-0010) staining.
Paraformaldehyde-fixed, paraffin embedded Human Testicles; Antigen retrieval by boiling in sodium citrate buffer (pH6.0) for 15 min; Antibody incubation with Huntingtin Monoclonal Antibody, Unconjugated(bsm-54305R) at 1:200 overnight at 4°C, followed by conjugation to the bs-0295G-HRP and DAB (C-0010) staining.
Paraformaldehyde-fixed, paraffin embedded Rat Testicles; Antigen retrieval by boiling in sodium citrate buffer (pH6.0) for 15 min; Antibody incubation with Huntingtin Monoclonal Antibody, Unconjugated(bsm-54305R) at 1:200 overnight at 4°C, followed by conjugation to the bs-0295G-HRP and DAB (C-0010) staining.
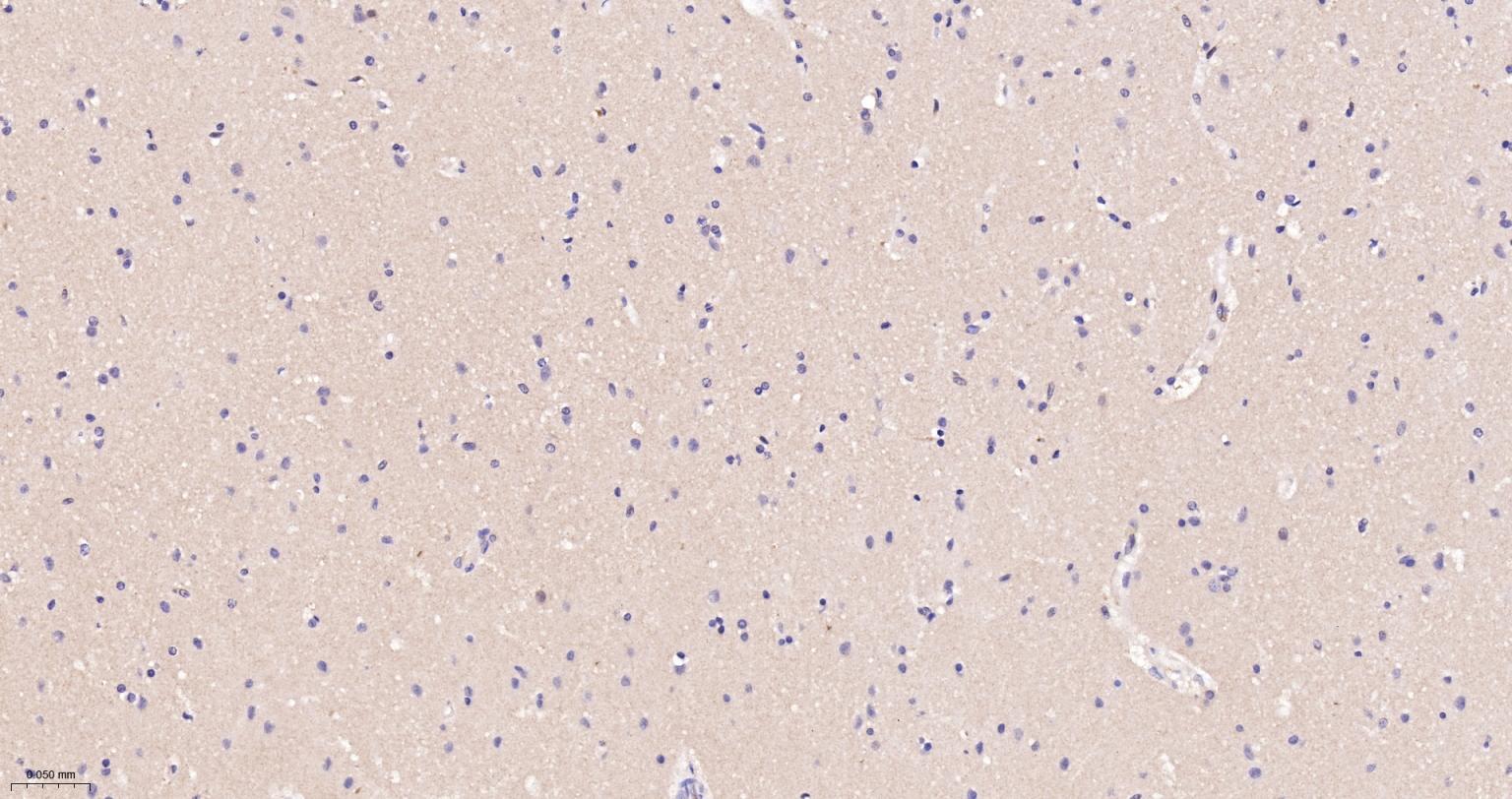
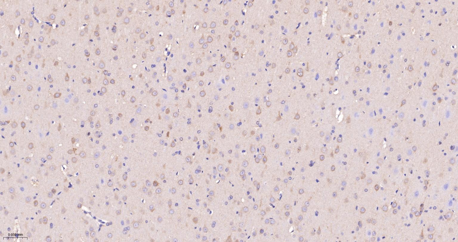
Paraformaldehyde-fixed, paraffin embedded Human Cerebrum; Antigen retrieval by boiling in sodium citrate buffer (pH6.0) for 15 min; Antibody incubation with Huntingtin Monoclonal Antibody, Unconjugated(bsm-54305R) at 1:200 overnight at 4°C, followed by conjugation to the bs-0295G-HRP and DAB (C-0010) staining.
Paraformaldehyde-fixed, paraffin embedded Rat Cerebrum; Antigen retrieval by boiling in sodium citrate buffer (pH6.0) for 15 min; Antibody incubation with Huntingtin Monoclonal Antibody, Unconjugated(bsm-54305R) at 1:200 overnight at 4°C, followed by conjugation to the bs-0295G-HRP and DAB (C-0010) staining.
Paraformaldehyde-fixed, paraffin embedded Mouse Cerebrum; Antigen retrieval by boiling in sodium citrate buffer (pH6.0) for 15 min; Antibody incubation with Huntingtin Monoclonal Antibody, Unconjugated(bsm-54305R) at 1:200 overnight at 4°C, followed by conjugation to the bs-0295G-HRP and DAB (C-0010) staining.
Paraformaldehyde-fixed, paraffin embedded Mouse Testicles; Antigen retrieval by boiling in sodium citrate buffer (pH6.0) for 15 min; The section was incubated with Huntingtin Monoclonal Antibody, Unconjugated (bsm-54305R) at 1:200 overnight at 4°C. Followed by conjugated Goat Anti-Rabbit IgG antibody (Green, bs-0295G-BF488), DAPI (blue, C02-04002) was used to stain the cell nuclei.
Paraformaldehyde-fixed, paraffin embedded Rat Testicles; Antigen retrieval by boiling in sodium citrate buffer (pH6.0) for 15 min; The section was incubated with Huntingtin Monoclonal Antibody, Unconjugated (bsm-54305R) at 1:200 overnight at 4°C. Followed by conjugated Goat Anti-Rabbit IgG antibody (Green, bs-0295G-BF488), DAPI (blue, C02-04002) was used to stain the cell nuclei.
The Hela (H) cells were fixed with 4% PFA (10 min at r.t.) and then permeabilized with 90% ice-cold methanol for 20 min at -20℃,the cells then were incubated in 5%BSA to block non-specific protein-protein interactions (30 min at r.t.), followed by secondary antibody incubation for 40 min at room temperature. Primary Antibody (green):Rabbit Anti-Huntingtin antibody (bsm-54305R): 1 μg/10^6 cells; Isotype Control (orange): Rabbit IgG (bs-0295P). Blank control (black): PBS. Acquisition of 20,000 events was performed.
版权所有 2004-2026 www.bioss.com.cn 北京博奥森生物技术有限公司
通过国际质量管理体系ISO 9001:2015 GB/T 19001-2016    证书编号: 00124Q34771R2M/1100
通过国际医疗器械-质量管理体系ISO 13485:2016 GB/T 42061-2022     证书编号: CQC24QY20047R0M/1100
京ICP备05066980号-1         京公网安备110107000727号