扫码关注公众号           扫码咨询技术支持           扫码咨询技术服务
  
客服热线:400-901-9800  客服QQ:4009019800  技术答疑  技术支持  质量反馈  人才招聘  关于我们  联系我们
产品中心-北京博奥森生物技术有限公司
首页 > 产品中心 > 一抗 > 产品信息
UBE2Q1 Rabbit pAb (bs-24324R)  
订购热线:400-901-9800
订购邮箱:sales@bioss.com.cn
订购QQ:  400-901-9800
技术支持:techsupport@bioss.com.cn
50ul/1180.00元
100ul/1980.00元
200ul/2800.00元
大包装/询价

产品编号 bs-24324R
英文名称 UBE2Q1 Rabbit pAb
中文名称 泛素蛋白连接酶Q1抗体
别    名 Galactosyl transferase associated protein; GTAP; NICE 5; NICE5; PRO3094; Protein NICE 5; Protein NICE-5; UB2Q1_HUMAN; UBE2Q; Ube2q1; Ubiquitin carrier protein Q1; Ubiquitin conjugating enzyme E2 Q1; Ubiquitin conjugating enzyme E2Q(putative) 1; Ubiquitin   
Specific References  (1)     |     bs-24324R has been referenced in 1 publications.
[IF=3.269] Fanqi Meng. et al. LncRNA LINC00525 activates HIF-1α through miR-338-3p / UBE2Q1 / β-catenin axis to regulate the Warburg effect in colorectal cancer. Bioengineered. 2022;13(2):2552-2565  IF,WB ;  Human.  
研究领域 细胞生物  免疫学  表观遗传学  
抗体来源 Rabbit
克隆类型 Polyclonal
克 隆 号
交叉反应 Mouse,Rat (predicted: Human,Rabbit,Pig,Sheep,Cow,Dog,Horse)
产品应用 IHC-P=1:400-800,IHC-F=1:400-800,IF=1:100-500
not yet tested in other applications.
optimal dilutions/concentrations should be determined by the end user.
理论分子量 46 kDa
细胞定位 细胞核 细胞浆 
性    状 Liquid
浓    度 1mg/ml
免 疫 原 KLH conjugated synthetic peptide derived from human UBE2Q1: 171-270/422 
亚    型 IgG
纯化方法 affinity purified by Protein A
缓 冲 液 0.01M TBS (pH7.4) with 1% BSA, 0.02% Proclin300 and 50% Glycerol.
保存条件 Shipped at 4℃. Store at -20℃ for one year. Avoid repeated freeze/thaw cycles.
注意事项 This product as supplied is intended for research use only, not for use in human, therapeutic or diagnostic applications.
PubMed PubMed
产品介绍 Ubiquitination involves at least three classes of enzymes: ubiquitin-activating enzymes (UBE1s), ubiquitin-conjugating enzymes (UBE2s), and ubiquitin-protein ligases (UBE3s). When ubiquitin is activated by a UBE1, it is transferred to the cysteine residue on a UBE2. UBE2 then binds a UBE3, which transfers the ubiquitin from the UBE2 cysteine to a lysine residue on the target protein. Ubiquitin-conjugating enzyme E2 Q1 (UBE2Q1), also known as ubiquitin-protein ligase Q1 or ubiquitin carrier protein Q1, is an 422 amino acid protein belonging to the ubiquitin-conjugating enzyme (UBE2) family. Two named isoforms of UBE2Q1 exist as a result of alternative splicing events.

Function:
Catalyzes the covalent attachment of ubiquitin to other proteins (By similarity).

Tissue Specificity:
Widely expressed.

Similarity:
Belongs to the ubiquitin-conjugating enzyme family.

Database links:
UniProtKB/Swiss-Prot: Q7Z7E8.1

产品图片
Paraformaldehyde-fixed, paraffin embedded (mouse stomach); Antigen retrieval by boiling in sodium citrate buffer (pH6.0) for 15min; Block endogenous peroxidase by 3% hydrogen peroxide for 20 minutes; Blocking buffer (normal goat serum) at 37°C for 30min; Antibody incubation with (UBE2Q1) Polyclonal Antibody, Unconjugated (bs-24324R) at 1:200 overnight at 4°C, followed by operating according to SP Kit(Rabbit) (sp-0023) instructionsand DAB staining.
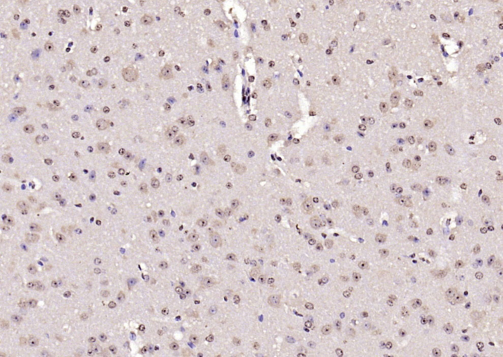
Paraformaldehyde-fixed, paraffin embedded (rat cerebellum); Antigen retrieval by boiling in sodium citrate buffer (pH6.0) for 15min; Block endogenous peroxidase by 3% hydrogen peroxide for 20 minutes; Blocking buffer (normal goat serum) at 37°C for 30min; Antibody incubation with (UBE2Q1) Polyclonal Antibody, Unconjugated (bs-24324R) at 1:200 overnight at 4°C, followed by operating according to SP Kit(Rabbit) (sp-0023) instructionsand DAB staining.
Paraformaldehyde-fixed, paraffin embedded (rat stomach); Antigen retrieval by boiling in sodium citrate buffer (pH6.0) for 15min; Block endogenous peroxidase by 3% hydrogen peroxide for 20 minutes; Blocking buffer (normal goat serum) at 37°C for 30min; Antibody incubation with (UBE2Q1) Polyclonal Antibody, Unconjugated (bs-24324R) at 1:200 overnight at 4°C, followed by operating according to SP Kit(Rabbit) (sp-0023) instructionsand DAB staining.
Paraformaldehyde-fixed, paraffin embedded (mouse cerebellum); Antigen retrieval by boiling in sodium citrate buffer (pH6.0) for 15min; Block endogenous peroxidase by 3% hydrogen peroxide for 20 minutes; Blocking buffer (normal goat serum) at 37°C for 30min; Antibody incubation with (UBE2Q1) Polyclonal Antibody, Unconjugated (bs-24324R) at 1:200 overnight at 4°C, followed by operating according to SP Kit(Rabbit) (sp-0023) instructionsand DAB staining.
版权所有 2004-2026 www.bioss.com.cn 北京博奥森生物技术有限公司
通过国际质量管理体系ISO 9001:2015 GB/T 19001-2016    证书编号: 00124Q34771R2M/1100
通过国际医疗器械-质量管理体系ISO 13485:2016 GB/T 42061-2022     证书编号: CQC24QY20047R0M/1100
京ICP备05066980号-1         京公网安备110107000727号