扫码关注公众号           扫码咨询技术支持           扫码咨询技术服务
  
客服热线:400-901-9800  客服QQ:4009019800  技术答疑  技术支持  质量反馈  人才招聘  关于我们  联系我们
产品中心-北京博奥森生物技术有限公司
首页 > 产品中心 > 一抗 > 产品信息
CALB2 Recombinant Rabbit mAb (bsm-54076R)  
订购热线:400-901-9800
订购邮箱:sales@bioss.com.cn
订购QQ:  400-901-9800
技术支持:techsupport@bioss.com.cn
50ul/1400.00元
100ul/2500.00元
大包装/询价

产品编号 bsm-54076R
英文名称 CALB2 Recombinant Rabbit mAb
中文名称 钙结合蛋白重组兔单抗
别    名 CAB29; CAL2; CR; calb2; wu:fq17g09; zgc:73099; CALB2_CHICK; CALB2_HUMAN; 29 kDa calbindin; CALB2_MOUSE; CALB2_RAT; calbindin 2; calbindin 2, 29kDa (calretinin); calretinin  
研究领域 肿瘤  神经生物学  结合蛋白  
抗体来源 Rabbit
克隆类型 Recombinant
克 隆 号 4A3
交叉反应 Human,Mouse,Rat
产品应用 WB=1:1000-5000,IHC-P=1:200-800,IHC-F=1:200-800,IF=1:200-800
not yet tested in other applications.
optimal dilutions/concentrations should be determined by the end user.
理论分子量 29kDa
检测分子量 29
细胞定位 细胞浆 细胞膜 
性    状 Liquid
浓    度 1mg/ml
免 疫 原 A synthesized peptide derived from human Calretinin: 50-100 
亚    型 IgG
纯化方法 affinity purified by Protein A
缓 冲 液 0.01M TBS (pH7.4) with 1% BSA, 0.02% Proclin300 and 50% Glycerol.
保存条件 Shipped at 4℃. Store at -20℃ for one year. Avoid repeated freeze/thaw cycles.
注意事项 This product as supplied is intended for research use only, not for use in human, therapeutic or diagnostic applications.
PubMed PubMed
产品介绍 Calretinin is a calcium-binding protein which is abundant in auditory neurons. It belongs to the calbindin family. Calbindin 2 (calretinin), closely related to calbindin 1, is an intracellular calcium-binding protein belonging to the troponin C superfamily. Calbindin 1 is known to be involved in the vitamin-D-dependent calcium absorption through intestinal and renal epithelia, while the function of neuronal calbindin 1 and calbindin2 is poorly understood. The sequence of the calbindin 2 cDNA reveals an open reading frame of 271 codons coding for a protein of 31,520 Da, and shares 58% identical residues with human calbindin1.

Function:
Calretinin is a calcium-binding protein which is abundant in auditory neurons.

Tissue Specificity:
Brain.

Similarity:
Belongs to the calbindin family.
Contains 6 EF-hand domains.

SWISS:
P22676

Gene ID:
794

Database links:

Entrez Gene: 396255 Chicken

Entrez Gene: 794 Human

Entrez Gene: 12308 Mouse

Entrez Gene: 117059 Rat

Entrez Gene: 393684 Zebrafish

Omim: 114051 Human

SwissProt: P07090 Chicken

SwissProt: P22676 Human

SwissProt: Q08331 Mouse

SwissProt: P47728 Rat

Unigene: 106857 Human

Unigene: 2755 Mouse

Unigene: 10321 Rat



钙结合蛋白(Calretinin,CR)主要存在于神经组织中,近10%的腺癌可以表达此蛋白的局部染色阳性,而绝大多数的间皮瘤为阳性表达,因此它是诊断间皮瘤的一个有用的标记物 。
钙结合蛋白是平滑肌和非肌性调控蛋白。它可以与肌动蛋白、肌球蛋白、原肌球蛋白和钙调素相互作用。
产品图片
25 ug total protein per lane of various lysates (see on figure) probed with CALB2 monoclonal antibody, unconjugated (bsm-54076R) at 1:1000 dilution and 4°C overnight incubation. Followed by conjugated secondary antibody incubation at r.t. for 60 min.
Paraformaldehyde-fixed, paraffin embedded (human brain ); Antigen retrieval by boiling in sodium citrate buffer (pH6.0) for 15min; Block endogenous peroxidase by 3% hydrogen peroxide for 20 minutes; Blocking buffer (normal goat serum) at 37°C for 30min; Antibody incubation with (Calretinin) Monoclonal Antibody, Unconjugated (bsm-54076R) at 1:200 overnight at 4°C, followed by operating according to SP Kit(Rabbit) (sp-0023) instructionsand DAB staining.
Paraformaldehyde-fixed, paraffin embedded Mouse Cerebellum; Antigen retrieval by boiling in sodium citrate buffer (pH6.0) for 15 min; The section was incubated with Ku80 Monoclonal Antibody, Unconjugated (bsm-52512R) at 1:200 overnight at 4°C, followed by conjugation to the bs-0295G-HRP and DAB (C-0010) staining.
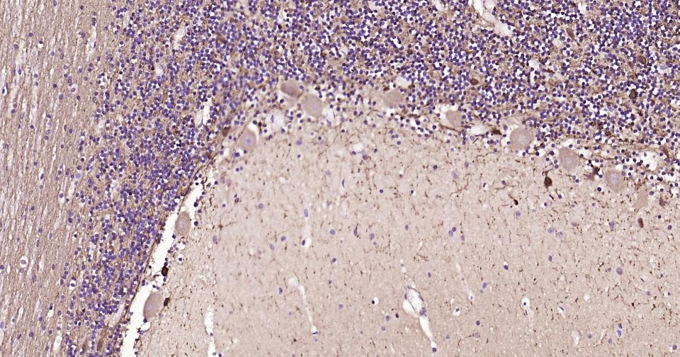
Paraformaldehyde-fixed, paraffin embedded Human Cerebellum; Antigen retrieval by boiling in sodium citrate buffer (pH6.0) for 15 min; Antibody incubation with Calretinin Monoclonal Antibody, Unconjugated(bsm-54076R) at 1:200 overnight at 4°C, followed by conjugation to the bs-0295G-HRP and DAB (C-0010) staining.
Paraformaldehyde-fixed, paraffin embedded Human Colon Cancer; Antigen retrieval by boiling in sodium citrate buffer (pH6.0) for 15 min; Antibody incubation with Calretinin Monoclonal Antibody, Unconjugated(bsm-54076R) at 1:200 overnight at 4°C, followed by conjugation to the bs-0295G-HRP and DAB (C-0010) staining.
Paraformaldehyde-fixed, paraffin embedded Human Mesothelioma; Antigen retrieval by boiling in sodium citrate buffer (pH6.0) for 15 min; Antibody incubation with Calretinin Monoclonal Antibody, Unconjugated(bsm-54076R) at 1:200 overnight at 4°C, followed by conjugation to the bs-0295G-HRP and DAB (C-0010) staining.
Paraformaldehyde-fixed, paraffin embedded Rat Cerebellum; Antigen retrieval by boiling in sodium citrate buffer (pH6.0) for 15 min; Antibody incubation with Calretinin Monoclonal Antibody, Unconjugated(bsm-54076R) at 1:200 overnight at 4°C, followed by conjugation to the bs-0295G-HRP and DAB (C-0010) staining.
Paraformaldehyde-fixed, paraffin embedded (rat brain); Antigen retrieval by boiling in sodium citrate buffer (pH6.0) for 15min; Block endogenous peroxidase by 3% hydrogen peroxide for 20 minutes; Blocking buffer (normal goat serum) at 37°C for 30min; Antibody incubation with (Calretinin) Monoclonal Antibody, Unconjugated (bsm-54076R) at 1:200 overnight at 4°C, followed by operating according to SP Kit(Rabbit) (sp-0023) instructionsand DAB staining.
Paraformaldehyde-fixed, paraffin embedded (mouse brain ); Antigen retrieval by boiling in sodium citrate buffer (pH6.0) for 15min; Block endogenous peroxidase by 3% hydrogen peroxide for 20 minutes; Blocking buffer (normal goat serum) at 37°C for 30min; Antibody incubation with (Calretinin) Monoclonal Antibody, Unconjugated (bsm-54076R) at 1:200 overnight at 4°C, followed by operating according to SP Kit(Rabbit) (sp-0023) instructionsand DAB staining.
Paraformaldehyde-fixed, paraffin embedded Human Cerebellum; Antigen retrieval by boiling in sodium citrate buffer (pH6.0) for 15 min; The section was incubated with CALB2 Monoclonal Antibody, Unconjugated (bsm-54076R) at 1:200 overnight at 4°C. Followed by conjugated Goat Anti-Rabbit IgG antibody (green, bs-0295G-BF488), DAPI (blue, C02-04002) was used to stain the cell nuclei.
Paraformaldehyde-fixed, paraffin embedded Mouse Cerebellum; Antigen retrieval by boiling in sodium citrate buffer (pH6.0) for 15 min; The section was incubated with CALB2 Monoclonal Antibody, Unconjugated (bsm-54076R) at 1:200 overnight at 4°C. Followed by conjugated Goat Anti-Rabbit IgG antibody (green, bs-0295G-BF488), DAPI (blue, C02-04002) was used to stain the cell nuclei.
Paraformaldehyde-fixed, paraffin embedded Rat Cerebellum; Antigen retrieval by boiling in sodium citrate buffer (pH6.0) for 15 min; The section was incubated with CALB2 Monoclonal Antibody, Unconjugated (bsm-54076R) at 1:200 overnight at 4°C. Followed by conjugated Goat Anti-Rabbit IgG antibody (green, bs-0295G-BF488), DAPI (blue, C02-04002) was used to stain the cell nuclei.
版权所有 2004-2026 www.bioss.com.cn 北京博奥森生物技术有限公司
通过国际质量管理体系ISO 9001:2015 GB/T 19001-2016    证书编号: 00124Q34771R2M/1100
通过国际医疗器械-质量管理体系ISO 13485:2016 GB/T 42061-2022     证书编号: CQC24QY20047R0M/1100
京ICP备05066980号-1         京公网安备110107000727号