扫码关注公众号           扫码咨询技术支持           扫码咨询技术服务
  
客服热线:400-901-9800  客服QQ:4009019800  技术答疑  技术支持  质量反馈  关于我们  联系我们
产品中心-北京博奥森生物技术有限公司
首页 > 产品中心 > 一抗 > 产品信息
alpha smooth muscle Actin Recombinant Rabbit mAb (bsm-52396R)  
订购热线:400-901-9800
订购邮箱:sales@bioss.com.cn
订购QQ:  400-901-9800
技术支持:techsupport@bioss.com.cn
25ul/800.00元
50ul/1400.00元
100ul/2500.00元
大包装/询价

产品编号 bsm-52396R
英文名称 alpha smooth muscle Actin Recombinant Rabbit mAb
中文名称 α-SMA重组兔单抗
别    名 alpha sarcomeric Actin; alpha smooth muscle Actin; Actin alpha; ASMA; ASM-A; alpha-SMA; alpha SMA; AAT6; ACTA2; Actin alpha 2 smooth muscle aorta; Actin aortic smooth muscle; ACTSA; ACTVS; alpha 2 actin; alpha cardiac actin; alpha-actin 2; Cell growth inhibiting gene 46 protein; Growth inhibiting gene 46; ACTA_HUMAN; Actin alpha 2 smooth muscle aorta; Actin aortic smooth muscle; Actin, aortic smooth muscle; alpha 2 actin; alpha actin 2; alpha cardiac actin; alpha-actin 2; alpha-actin-2; Cell growth inhibiting gene 46 protein; Cell growth-inhibiting gene 46 protein; Growth inhibiting gene 46; MYMY5  肌动蛋白α/α-SMA/α Actin抗体
Specific References  (5)     |     bsm-52396R has been referenced in 5 publications.
[IF=11.205] Yingchun Luo. et al. Akkermansia muciniphila prevents cold-related atrial fibrillation in rats by modulation of TMAO induced cardiac pyroptosis. EBIOMEDICINE. 2022 Aug;82:104087  WB ;  Rat.  
[IF=7.675] Ya-Ling Yin. et al. Citronellal Attenuates Oxidative Stress–Induced Mitochondrial Damage through TRPM2/NHE1 Pathway and Effectively Inhibits Endothelial Dysfunction in Type 2 Diabetes Mellitus. ANTIOXIDANTS-BASEL. 2022 Nov;11(11):2241  IF ;  Rat.  
[IF=5.923] Chih-Hsin Hsu. et al. miR-29a-3p/THBS2 Axis Regulates PAH-Induced Cardiac Fibrosis. Int J Mol Sci. 2021 Jan;22(19):10574  WB,IHC ;  Human.  
[IF=2.894] Shen, Zhou. et al. Bone marrow mesenchymal stem cells therapy on bilateral pelvic nerve crush-induced voiding dysfunction in rats. INT UROGYNECOL J. 2022 Apr;:1-8  WB ;  Rat.  
[IF=2.37] Zhang, Mingming. et al. Both high glucose and phosphate overload promote senescence-associated calcification of vascular muscle cells. INT UROL NEPHROL. Int Urol Nephrol. 2022 Apr;:1-13  IF ;  Mouse.  
研究领域 肿瘤  细胞生物  免疫学  细胞骨架  
抗体来源 Rabbit
克隆类型 Recombinant
克 隆 号 2B10
交叉反应 Human,Mouse,Rat (predicted: Zebrafish)
产品应用 WB=1:1000-5000,IHC-P=1:100-500,IHC-F=1:100-500,IF=1:100-500,ICC/IF=1:100-500
not yet tested in other applications.
optimal dilutions/concentrations should be determined by the end user.
理论分子量 42 kDa
检测分子量
细胞定位 细胞浆 
性    状 Liquid
浓    度 1mg/ml
免 疫 原 KLH conjugated synthetic peptide derived from human Actin alpha 
亚    型 IgG
纯化方法 affinity purified by Protein A
缓 冲 液 0.01M TBS (pH7.4) with 1% BSA, 0.02% Proclin300 and 50% Glycerol.
保存条件 Shipped at 4℃. Store at -20℃ for one year. Avoid repeated freeze/thaw cycles.
注意事项 This product as supplied is intended for research use only, not for use in human, therapeutic or diagnostic applications.
PubMed PubMed
产品介绍 All eukaryotic cells express Actin, which often constitutes as much as 50% of total cellular protein. Actin filaments can form both stable and labile structures and are crucial components of microvilli and the contractile apparatus of muscle cells. While lower eukaryotes, such as yeast, have only one Actin gene, higher eukaryotes have several isoforms encoded by a family of genes. At least six types of Actin are present in mammalian tissues and fall into three classes. alpha-Actin expression is limited to various types of muscle, whereas beta- and gamma-Actin are the principle constituents of filaments in other tissues. Members of the small GTPase family regulate the organization of the Actin cytoskeleton. Rho controls the assembly of Actin stress fibers and focal adhesion. Rac regulates Actin filament accumulation at the plasma membrane. Cdc42 stimulates formation of filopodia.

Function:
Actins are highly conserved proteins that are involved in various types of cell motility and are ubiquitously expressed in all eukaryotic cells.

Subunit:
Polymerization of globular actin (G-actin) leads to a structural filament (F-actin) in the form of a two-stranded helix. Each actin can bind to 4 others.

Subcellular Location:
Cytoplasm, cytoskeleton.

Post-translational modifications:
Oxidation of Met-46 by MICALs (MICAL1, MICAL2 or MICAL3) to form methionine sulfoxide promotes actin filament depolymerization. Methionine sulfoxide is produced stereospecifically, but it is not known whether the (S)-S-oxide or the (R)-S-oxide is produced (By similarity).

DISEASE:
Defects in ACTA2 are the cause of aortic aneurysm familial thoracic type 6 (AAT6) [MIM:611788]. AATs are characterized by permanent dilation of the thoracic aorta usually due to degenerative changes in the aortic wall. They are primarily associated with a characteristic histologic appearance known as 'medial necrosis' or 'Erdheim cystic medial necrosis' in which there is degeneration and fragmentation of elastic fibers, loss of smooth muscle cells, and an accumulation of basophilic ground substance.

Similarity:
Belongs to the actin family.

SWISS:
P62736

Gene ID:
59

Database links:
Entrez Gene: 101021287 Baboon

Entrez Gene: 515610 Cow

Entrez Gene: 59 Human

Entrez Gene: 11475 Mouse

Entrez Gene: 733615 Pig

Entrez Gene: 100009271 Rabbit

Entrez Gene: 81633 Rat

Omim: 102620 Human

SwissProt: P62739 Cow

SwissProt: P62736 Human

SwissProt: P62737 Mouse

SwissProt: P62740 Rabbit

SwissProt: P62738 Rat

Unigene: 500483 Human

Unigene: 213025 Mouse

Unigene: 195319 Rat

Unigene: 3114 Rat



产品图片
25 ug total protein per lane of various lysates (see on figure) probed with alpha smooth muscle Actin monoclonal antibody, unconjugated (bsm-52396R) at 1:2000 dilution and 4°C overnight incubation. Followed by conjugated secondary antibody incubation at r.t. for 60 min.
Paraformaldehyde-fixed, paraffin embedded Human Breast Cancer; Antigen retrieval by boiling in sodium citrate buffer (pH6.0) for 15 min; Antibody incubation with alpha smooth muscle Actin Monoclonal Antibody, Unconjugated(bsm-52396R) at 1:200 overnight at 4°C, followed by conjugation to the bs-0295G-HRP and DAB (C-0010) staining.
Paraformaldehyde-fixed, paraffin embedded Human Uterus; Antigen retrieval by boiling in sodium citrate buffer (pH6.0) for 15 min; Antibody incubation with alpha smooth muscle Actin Monoclonal Antibody, Unconjugated(bsm-52396R) at 1:200 overnight at 4°C, followed by conjugation to the bs-0295G-HRP and DAB (C-0010) staining.
Paraformaldehyde-fixed, paraffin embedded Human Small Intestine; Antigen retrieval by boiling in sodium citrate buffer (pH6.0) for 15 min; Antibody incubation with alpha smooth muscle Actin Monoclonal Antibody, Unconjugated(bsm-52396R) at 1:200 overnight at 4°C, followed by conjugation to the bs-0295G-HRP and DAB (C-0010) staining.
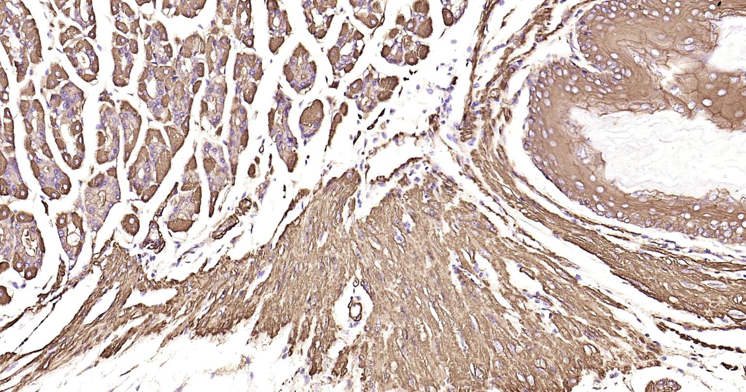
Paraformaldehyde-fixed, paraffin embedded Human Stomach; Antigen retrieval by boiling in sodium citrate buffer (pH6.0) for 15 min; Antibody incubation with alpha smooth muscle Actin Monoclonal Antibody, Unconjugated(bsm-52396R) at 1:200 overnight at 4°C, followed by conjugation to the bs-0295G-HRP and DAB (C-0010) staining.
Paraformaldehyde-fixed, paraffin embedded Rat Stomach; Antigen retrieval by boiling in sodium citrate buffer (pH6.0) for 15 min; Antibody incubation with alpha smooth muscle Actin Monoclonal Antibody, Unconjugated(bsm-52396R) at 1:200 overnight at 4°C, followed by conjugation to the bs-0295G-HRP and DAB (C-0010) staining.
Paraformaldehyde-fixed, paraffin embedded Mouse Stomach; Antigen retrieval by boiling in sodium citrate buffer (pH6.0) for 15 min; Antibody incubation with alpha smooth muscle Actin Monoclonal Antibody, Unconjugated(bsm-52396R) at 1:200 overnight at 4°C, followed by conjugation to the bs-0295G-HRP and DAB (C-0010) staining.
Paraformaldehyde-fixed, paraffin embedded Human Colon; Antigen retrieval by boiling in sodium citrate buffer (pH6.0) for 15 min; Antibody incubation with alpha smooth muscle Actin Monoclonal Antibody, Unconjugated(bsm-52396R) at 1:200 overnight at 4°C, followed by conjugation to the bs-0295G-HRP and DAB (C-0010) staining.
Paraformaldehyde-fixed, paraffin embedded Rat Colon; Antigen retrieval by boiling in sodium citrate buffer (pH6.0) for 15 min; Antibody incubation with alpha smooth muscle Actin Monoclonal Antibody, Unconjugated(bsm-52396R) at 1:200 overnight at 4°C, followed by conjugation to the bs-0295G-HRP and DAB (C-0010) staining.
Paraformaldehyde-fixed, paraffin embedded Mouse Colon; Antigen retrieval by boiling in sodium citrate buffer (pH6.0) for 15 min; Antibody incubation with alpha smooth muscle Actin Monoclonal Antibody, Unconjugated(bsm-52396R) at 1:200 overnight at 4°C, followed by conjugation to the bs-0295G-HRP and DAB (C-0010) staining.
Paraformaldehyde-fixed, paraffin embedded Human small intestine; Antigen retrieval by boiling in sodium citrate buffer (pH6.0) for 15 min; Antibody incubation with alpha smooth muscle Actin Monoclonal Antibody, Unconjugated(bsm-52396R) at 1:200 overnight at 4°C. Followed by conjugated Goat Anti-Rabbit IgG antibody (green, bs-0295G-BF488), DAPI (blue, C02-04002) was used to stain the cell nuclei.
Paraformaldehyde-fixed, paraffin embedded Mouse stomach; Antigen retrieval by boiling in sodium citrate buffer (pH6.0) for 15 min; Antibody incubation with alpha smooth muscle Actin Monoclonal Antibody, Unconjugated (bsm-52396R) at 1:200 overnight at 4°C. Followed by conjugated Goat Anti-Rabbit IgG antibody (green, bs-0295G-BF488), DAPI (blue, C02-04002) was used to stain the cell nuclei.
Paraformaldehyde-fixed, paraffin embedded Rat stomach; Antigen retrieval by boiling in sodium citrate buffer (pH6.0) for 15 min; Antibody incubation with alpha smooth muscle Actin Monoclonal Antibody, Unconjugated (bsm-52396R) at 1:200 overnight at 4°C. Followed by conjugated Goat Anti-Rabbit IgG antibody (green, bs-0295G-BF488), DAPI (blue, C02-04002) was used to stain the cell nuclei.
版权所有 2004-2026 www.bioss.com.cn 北京博奥森生物技术有限公司
通过国际质量管理体系ISO 9001:2015 GB/T 19001-2016    证书编号: 00124Q34771R2M/1100
通过国际医疗器械-质量管理体系ISO 13485:2016 GB/T 42061-2022     证书编号: CQC24QY20047R0M/1100
京ICP备05066980号-1         京公网安备110107000727号