扫码关注公众号           扫码咨询技术支持           扫码咨询技术服务
  
客服热线:400-901-9800  客服QQ:4009019800  技术答疑  技术支持  质量反馈  关于我们  联系我们
产品中心-北京博奥森生物技术有限公司
首页 > 产品中心 > 一抗 > 产品信息
Bub3 Recombinant Rabbit mAb (bsm-54413R)  
订购热线:400-901-9800
订购邮箱:sales@bioss.com.cn
订购QQ:  400-901-9800
技术支持:techsupport@bioss.com.cn
50ul/1400.00元
100ul/2500.00元
大包装/询价

产品编号 bsm-54413R
英文名称 Bub3 Recombinant Rabbit mAb
中文名称 有丝分裂蛋白BUB3重组兔单抗
别    名 BUB 3; BUB 3L; BUB3(budding uninhibited by benzimidazoles 3, yeast) homolog; bub3; BUB3 budding uninhibited by benzimidazoles 3 homolog; BUB3_HUMAN; BUB3L; Budding uninhibited by benomyl; Budding uninhibited by benzimidazoles 3; Budding uninhibited by benzimidazoles 3 homolog(S. cerevisiae); Budding uninhibited by benzimidazoles 3 homolog(yeast); Budding uninhibited by benzimidazoles 3 homolog; Budding uninhibited by benzimidazoles 3, S. cerevisiae, homolog of antibody C78067; hBUB3; Mitotic checkpoint component; Mitotic checkpoint protein bub3; WD repeat type I transmembrane protein A72.5; Aa2-050; AU019800; AU021329; AU043350; AW146323.  
研究领域 细胞生物  细胞周期蛋白  细胞分化  
抗体来源 Rabbit
克隆类型 Recombinant
克 隆 号 24D1
交叉反应 Human,Mouse,Rat
产品应用 WB=1:500-2000,IHC-P=1:100-500,IHC-F=1:100-500,IF=1:100-500,ICC/IF=1:50-200
not yet tested in other applications.
optimal dilutions/concentrations should be determined by the end user.
理论分子量 36 kDa
检测分子量
细胞定位 细胞核 
性    状 Liquid
浓    度 1mg/ml
免 疫 原 Recombinant human Bub3 
亚    型 IgG
纯化方法 affinity purified by Protein A
缓 冲 液 0.01M TBS (pH7.4) with 1% BSA, 0.02% Proclin300 and 50% Glycerol.
保存条件 Shipped at 4℃. Store at -20℃ for one year. Avoid repeated freeze/thaw cycles.
注意事项 This product as supplied is intended for research use only, not for use in human, therapeutic or diagnostic applications.
PubMed PubMed
产品介绍 Has a dual function in spindle-assembly checkpoint signaling and in promoting the establishment of correct kinetochore-microtubule (K-MT) attachments. Promotes the formation of stable end-on bipolar attachments. Necessary for kinetochore localization of BUB1. Regulates chromosome segregation during oocyte meiosis. The BUB1/BUB3 complex plays a role in the inhibition of anaphase-promoting complex or cyclosome (APC/C) when spindle-assembly checkpoint is activated and inhibits the ubiquitin ligase activity of APC/C by phosphorylating its activator CDC20. This complex can also phosphorylate MAD1L1.

Function:
Has a dual function in spindle-assembly checkpoint signaling and in promoting the establishment of correct kinetochore-microtubule (K-MT) attachments. Promotes the formation of stable end-on bipolar attachments. Necessary for kinetochore localization of BUB1. Regulates chromosome segregation during oocyte meiosis. The BUB1/BUB3 complex plays a role in the inhibition of anaphase-promoting complex or cyclosome (APC/C) when spindle-assembly checkpoint is activated and inhibits the ubiquitin ligase activity of APC/C by phosphorylating its activator CDC20. This complex can also phosphorylate MAD1L1.

Subunit:
Interacts with BUB1 and BUBR1. The BUB1/BUB3 complex interacts with MAD1L1.

Subcellular Location:
Nucleus. Chromosome, centromere, kinetochore (By similarity).

Post-translational modifications:
Poly-ADP-ribosylated by PARP1 (By similarity).

Similarity:
Belongs to the WD repeat BUB3 family. Contains 5 WD repeats.

SWISS:
O43684

Gene ID:
9184

Database links:

Entrez Gene: 539594 Cow

Entrez Gene: 9184 Human

Entrez Gene: 12237 Mouse

Entrez Gene: 100172494 Orangutan

Entrez Gene: 361662 Rat

Omim: 603719 Human

SwissProt: Q1JQB2 Cow

SwissProt: O43684 Human

SwissProt: Q9WVA3 Mouse

SwissProt: Q5RB58 Orangutan

Unigene: 418533 Human

Unigene: 441749 Mouse

Unigene: 927 Mouse

Unigene: 6897 Rat



产品图片
Sample: Lane 1: Mouse Thyroid gland tissue lysates Lane 2: Mouse Colon tissue lysates Lane 3: Rat Spleen tissue lysates Lane 4: Rat Testis tissue lysates Lane 5: Human Jurkat cell lysates Lane 6: Human MCF-7 cell lysates Lane 7: Human A549 cell lysates Lane 8: Human Lovo cell lysates Primary: Anti-Bub3 (bsm-54413R) at 1/1000 dilution Secondary: IRDye800CW Goat Anti-Rabbit IgG at 1/20000 dilution Predicted band size: 36 kDa Observed band size: 37 kDa
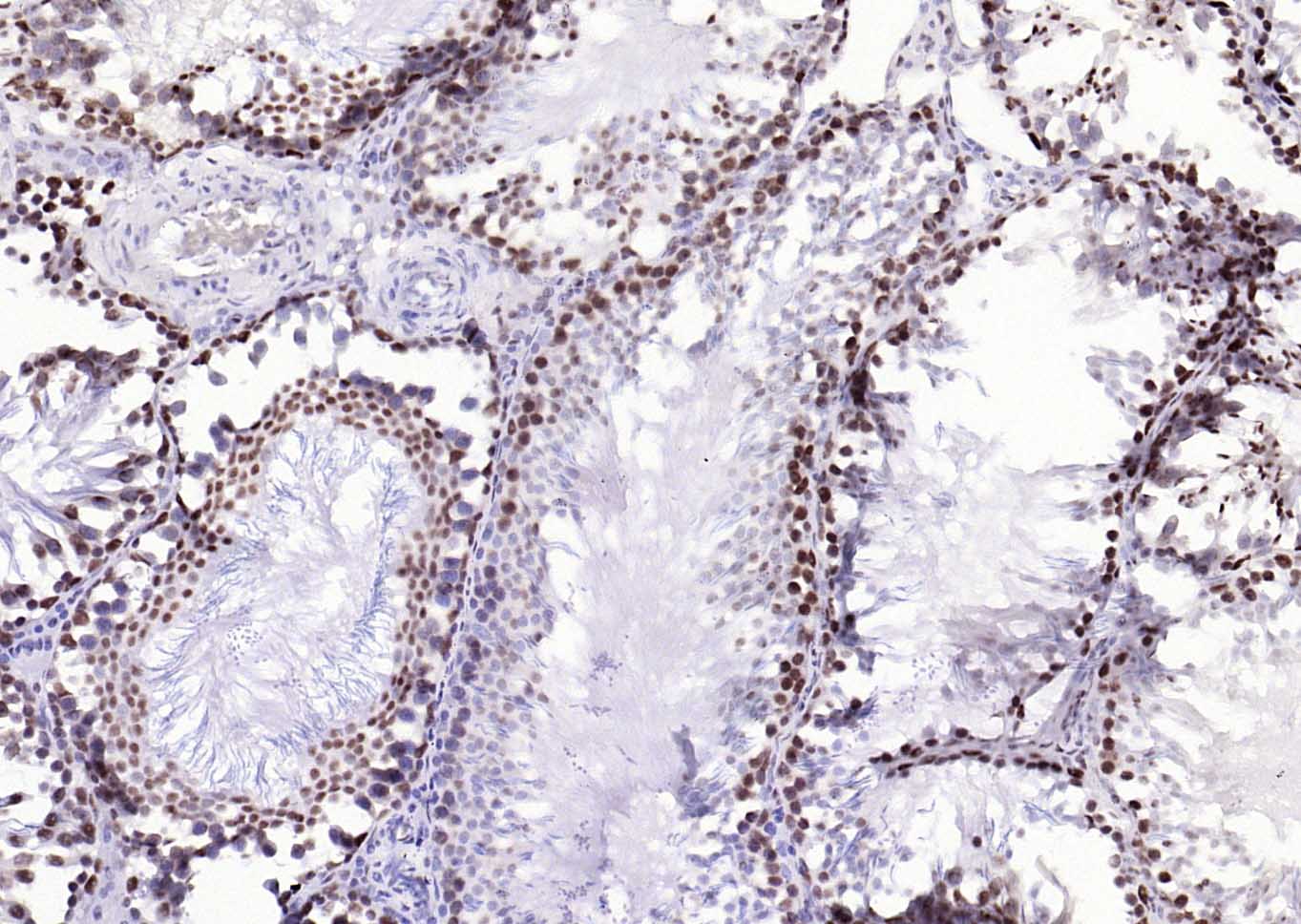
Paraformaldehyde-fixed, paraffin embedded (mouse testis); Antigen retrieval by boiling in sodium citrate buffer (pH6.0) for 15min; Block endogenous peroxidase by 3% hydrogen peroxide for 20 minutes; Blocking buffer (normal goat serum) at 37°C for 30min; Antibody incubation with (Bub3) Monoclonal Antibody, Unconjugated (bsm-54413R) at 1:200 overnight at 4°C, followed by operating according to SP Kit(Rabbit) (sp-0023) instructionsand DAB staining.
Paraformaldehyde-fixed, paraffin embedded (human skin cancer); Antigen retrieval by boiling in sodium citrate buffer (pH6.0) for 15min; Block endogenous peroxidase by 3% hydrogen peroxide for 20 minutes; Blocking buffer (normal goat serum) at 37°C for 30min; Antibody incubation with (Bub3) Monoclonal Antibody, Unconjugated (bsm-54413R) at 1:200 overnight at 4°C, followed by operating according to SP Kit(Rabbit) (sp-0023) instructionsand DAB staining.
Paraformaldehyde-fixed, paraffin embedded (mouse colon); Antigen retrieval by boiling in sodium citrate buffer (pH6.0) for 15min; Block endogenous peroxidase by 3% hydrogen peroxide for 20 minutes; Blocking buffer (normal goat serum) at 37°C for 30min; Antibody incubation with (Bub3) Monoclonal Antibody, Unconjugated (bsm-54413R) at 1:200 overnight at 4°C, followed by operating according to SP Kit(Rabbit) (sp-0023) instructionsand DAB staining.
Paraformaldehyde-fixed, paraffin embedded (rat colon); Antigen retrieval by boiling in sodium citrate buffer (pH6.0) for 15min; Block endogenous peroxidase by 3% hydrogen peroxide for 20 minutes; Blocking buffer (normal goat serum) at 37°C for 30min; Antibody incubation with (Bub3) Monoclonal Antibody, Unconjugated (bsm-54413R) at 1:200 overnight at 4°C, followed by operating according to SP Kit(Rabbit) (sp-0023) instructionsand DAB staining.
Paraformaldehyde-fixed, paraffin embedded (human thyroid gland); Antigen retrieval by boiling in sodium citrate buffer (pH6.0) for 15min; Block endogenous peroxidase by 3% hydrogen peroxide for 20 minutes; Blocking buffer (normal goat serum) at 37°C for 30min; Antibody incubation with (Bub3) Monoclonal Antibody, Unconjugated (bsm-54413R) at 1:200 overnight at 4°C, followed by operating according to SP Kit(Rabbit) (sp-0023) instructionsand DAB staining.
Paraformaldehyde-fixed, paraffin embedded (mouse spleen); Antigen retrieval by boiling in sodium citrate buffer (pH6.0) for 15min; Block endogenous peroxidase by 3% hydrogen peroxide for 20 minutes; Blocking buffer (normal goat serum) at 37°C for 30min; Antibody incubation with (Bub3) Monoclonal Antibody, Unconjugated (bsm-54413R) at 1:200 overnight at 4°C, followed by operating according to SP Kit(Rabbit) (sp-0023) instructionsand DAB staining.
Paraformaldehyde-fixed, paraffin embedded (human colon carcinoma); Antigen retrieval by boiling in sodium citrate buffer (pH6.0) for 15min; Block endogenous peroxidase by 3% hydrogen peroxide for 20 minutes; Blocking buffer (normal goat serum) at 37°C for 30min; Antibody incubation with (Bub3) Monoclonal Antibody, Unconjugated (bsm-54413R) at 1:200 overnight at 4°C, followed by operating according to SP Kit(Rabbit) (sp-0023) instructionsand DAB staining.
Paraformaldehyde-fixed, paraffin embedded (rat spleen); Antigen retrieval by boiling in sodium citrate buffer (pH6.0) for 15min; Block endogenous peroxidase by 3% hydrogen peroxide for 20 minutes; Blocking buffer (normal goat serum) at 37°C for 30min; Antibody incubation with (Bub3) Monoclonal Antibody, Unconjugated (bsm-54413R) at 1:200 overnight at 4°C, followed by operating according to SP Kit(Rabbit) (sp-0023) instructionsand DAB staining.
Paraformaldehyde-fixed, paraffin embedded (rat testis); Antigen retrieval by boiling in sodium citrate buffer (pH6.0) for 15min; Block endogenous peroxidase by 3% hydrogen peroxide for 20 minutes; Blocking buffer (normal goat serum) at 37°C for 30min; Antibody incubation with (Bub3) Monoclonal Antibody, Unconjugated (bsm-54413R) at 1:200 overnight at 4°C, followed by operating according to SP Kit(Rabbit) (sp-0023) instructionsand DAB staining.
Paraformaldehyde-fixed, paraffin embedded (human breast carcinoma); Antigen retrieval by boiling in sodium citrate buffer (pH6.0) for 15min; Block endogenous peroxidase by 3% hydrogen peroxide for 20 minutes; Blocking buffer (normal goat serum) at 37°C for 30min; Antibody incubation with (Bub3) Monoclonal Antibody, Unconjugated (bsm-54413R) at 1:200 overnight at 4°C, followed by operating according to SP Kit(Rabbit) (sp-0023) instructionsand DAB staining.
版权所有 2004-2026 www.bioss.com.cn 北京博奥森生物技术有限公司
通过国际质量管理体系ISO 9001:2015 GB/T 19001-2016    证书编号: 00124Q34771R2M/1100
通过国际医疗器械-质量管理体系ISO 13485:2016 GB/T 42061-2022     证书编号: CQC24QY20047R0M/1100
京ICP备05066980号-1         京公网安备110107000727号