扫码关注公众号           扫码咨询技术支持           扫码咨询技术服务
  
客服热线:400-901-9800  客服QQ:4009019800  技术答疑  技术支持  质量反馈  关于我们  联系我们
产品中心-北京博奥森生物技术有限公司
首页 > 产品中心 > 一抗 > 产品信息
DRD1 Recombinant Rabbit mAb (bsm-52920R)  
订购热线:400-901-9800
订购邮箱:sales@bioss.com.cn
订购QQ:  400-901-9800
技术支持:techsupport@bioss.com.cn
50ul/1400.00元
100ul/2500.00元
大包装/询价

产品编号 bsm-52920R
英文名称 DRD1 Recombinant Rabbit mAb
中文名称 多巴胺受体D1重组兔单抗
别    名 dopamine D1 receptor; D(1A) dopamine receptor; D1A dopamine receptor; Dopamine D1Receptors; D1DR; DADR; Dopamine Receptor D1; DR D1; DR D1A; DRD 1; DRD1 receptor; DRD1A; DRD1_HUMAN; DRD 1A.  
Specific References  (1)     |     bsm-52920R has been referenced in 1 publications.
[IF=17.694] Carpenter, Marco D.. et al. Cell-type specific profiling of histone post-translational modifications in the adult mouse striatum. NAT COMMUN. 2022 Dec;13(1):1-12  IHC ;  Mouse.  
研究领域 肿瘤  免疫学  神经生物学  
抗体来源 Rabbit
克隆类型 Recombinant
克 隆 号 3C3
交叉反应 Human,Mouse,Rat
产品应用 WB=1:500-1000,IHC-P=1:50-200,IHC-F=1:50-200,IF=1:50-200,ICC/IF=1:50-200
not yet tested in other applications.
optimal dilutions/concentrations should be determined by the end user.
理论分子量 50 kDa
检测分子量 65-80
细胞定位 细胞浆 细胞膜 
性    状 Liquid
浓    度 1mg/ml
免 疫 原 C-terminus human Dopamine Receptor D1 
亚    型 IgG
纯化方法 affinity purified by Protein A
缓 冲 液 0.01M TBS (pH7.4) with 1% BSA, 0.02% Proclin300 and 50% Glycerol.
保存条件 Shipped at 4℃. Store at -20℃ for one year. Avoid repeated freeze/thaw cycles.
注意事项 This product as supplied is intended for research use only, not for use in human, therapeutic or diagnostic applications.
PubMed PubMed
产品介绍 This gene encodes the D1 subtype of the dopamine receptor. The D1 subtype is the most abundant dopamine receptor in the central nervous system. This G-protein coupled receptor stimulates adenylyl cyclase and activates cyclic AMP-dependent protein kinases. D1 receptors regulate neuronal growth and development, mediate some behavioral responses, and modulate dopamine receptor D2-mediated events. Alternate transcription initiation sites result in two transcript variants of this gene. [provided by RefSeq, Jul 2008]

Function:
Dopamine receptor whose activity is mediated by G proteins which activate adenylyl cyclase.

Subunit:
Interacts with DNAJC14 via its C-terminus. Interacts with DRD1IP.

Subcellular Location:
Cell membrane; Multi-pass membrane protein. Endoplasmic reticulum membrane; Multi-pass membrane protein.

Tissue Specificity:
Detected in caudate, nucleus accumbens and in the olfactory tubercle.

Similarity:
Belongs to the G-protein coupled receptor 1 family.

SWISS:
P21728

Gene ID:
1812

Database links:

Entrez Gene: 1812 Human

Entrez Gene: 13488 Mouse

Entrez Gene: 24316 Rat

Omim: 126449 Human

SwissProt: P21728 Human

SwissProt: Q61616 Mouse

SwissProt: P18901 Rat

Unigene: 2624 Human

Unigene: 54161 Mouse

Unigene: 24039 Rat



产品图片
Sample: Lane 1: Human SH-SY5Y cell lysates Primary: Anti-DRD1 (bsm-52920R) at 1/200 dilution Secondary: IRDye800CW Goat Anti-Rabbit IgG at 1/20000 dilution Predicted band size: 50 kDa Observed band size: 70 kDa
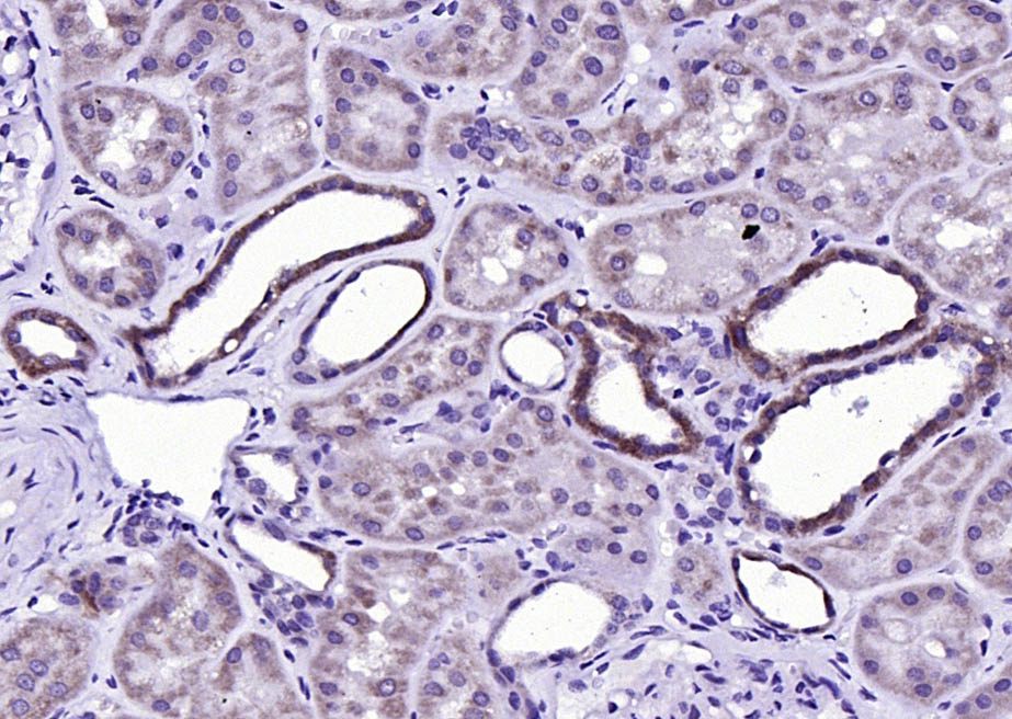
Paraformaldehyde-fixed, paraffin embedded (Human kidney); Antigen retrieval by boiling in sodium citrate buffer (pH6.0) for 15min; Block endogenous peroxidase by 3% hydrogen peroxide for 20 minutes; Blocking buffer (normal goat serum) at 37°C for 30min; Antibody incubation with (Dopamine Receptor D1) Monoclonal Antibody, Unconjugated (bsm-52920R) at 1:200 overnight at 4°C, followed by operating according to SP Kit(Rabbit) (sp-0023) instructionsand DAB staining.
版权所有 2004-2026 www.bioss.com.cn 北京博奥森生物技术有限公司
通过国际质量管理体系ISO 9001:2015 GB/T 19001-2016    证书编号: 00124Q34771R2M/1100
通过国际医疗器械-质量管理体系ISO 13485:2016 GB/T 42061-2022     证书编号: CQC24QY20047R0M/1100
京ICP备05066980号-1         京公网安备110107000727号