扫码关注公众号           扫码咨询技术支持           扫码咨询技术服务
  
客服热线:400-901-9800  客服QQ:4009019800  技术答疑  技术支持  质量反馈  关于我们  联系我们
产品中心-北京博奥森生物技术有限公司
首页 > 产品中心 > 一抗 > 产品信息
Leptin Mouse mAb (bsm-10888M)  
订购热线:400-901-9800
订购邮箱:sales@bioss.com.cn
订购QQ:  400-901-9800
技术支持:techsupport@bioss.com.cn
50ul/1180.00元
100ul/1980.00元
200ul/2800.00元
200ug(PBS only)/5600.00元
大包装/询价

产品编号 bsm-10888M
英文名称 Leptin Mouse mAb
中文名称 小鼠抗瘦素单克隆抗体
别    名 LEP; Leptin Murine Obesity Homolog; Leptin Precursor Obesity Factor; OB; Obese Protein; Obesity; Obesity factor; Obesity homolog mouse; Obesity Murine Homolog Leptin; OBS; LEP_HUMAN.  
研究领域 心血管  神经生物学  信号转导  干细胞  生长因子和激素  新陈代谢  
抗体来源 Mouse
克隆类型 Monoclonal
克 隆 号 3C2
交叉反应 Rat (predicted: Human,Mouse)
产品应用 IHC-P=1:400-800,IHC-F=1:400-800,IF=1:100-500
not yet tested in other applications.
optimal dilutions/concentrations should be determined by the end user.
理论分子量 16 kDa
检测分子量
细胞定位 分泌型蛋白 
性    状 Liquid
浓    度 1mg/ml
免 疫 原 Recombinant human Leptin: 22-167/167 
亚    型 IgG
纯化方法 affinity purified by Protein A
缓 冲 液 0.01M TBS (pH7.4) with 1% BSA, 0.02% Proclin300 and 50% Glycerol.
保存条件 Shipped at 4℃. Store at -20℃ for one year. Avoid repeated freeze/thaw cycles.
注意事项 This product as supplied is intended for research use only, not for use in human, therapeutic or diagnostic applications.
PubMed PubMed
产品介绍 This gene encodes a protein that is secreted by white adipocytes, and which plays a major role in the regulation of body weight. This protein, which acts through the leptin receptor, functions as part of a signaling pathway that can inhibit food intake and/or regulate energy expenditure to maintain constancy of the adipose mass. This protein also has several endocrine functions, and is involved in the regulation of immune and inflammatory responses, hematopoiesis, angiogenesis and wound healing. Mutations in this gene and/or its regulatory regions cause severe obesity, and morbid obesity with hypogonadism. This gene has also been linked to type 2 diabetes mellitus development. [provided by RefSeq, Jul 2008].

Function:
May function as part of a signaling pathway that acts to regulate the size of the body fat depot. An increase in the level of LEP may act directly or indirectly on the CNS to inhibit food intake and/or regulate energy expenditure as part of a homeostatic mechanism to maintain constancy of the adipose mass.

Subunit:
Interacts with SIGLEC6.

Subcellular Location:
Secreted (Probable).

DISEASE:
Leptin deficiency (LEPD) [MIM:614962]: A rare disease characterized by low levels of serum leptin, severe hyperphagia and intractable obesity from an early age. Note=The disease is caused by mutations affecting the gene represented in this entry.

Similarity:
Belongs to the leptin family.

SWISS:
P41159

Gene ID:
3952

Database links:

Entrez Gene: 3952 Human

Entrez Gene: 16846 Mouse

Entrez Gene: 25608 Rat

Omim: 164160 Human

SwissProt: P41159 Human

SwissProt: P41160 Mouse

SwissProt: Q29406 Pig

SwissProt: P50596 Rat

SwissProt: Q28603 Sheep

Unigene: 194236 Human

Unigene: 277072 Mouse

Unigene: 44444 Rat



Leptin是一种分子量为16kDa的脂肪组织源激素,又称:肥胖蛋白(Obese-protein)是由脂肪细胞分泌的,具有强亲水性,以单体形式存在于血浆中。 Leptin 具有广泛的生物学效应,作用于下丘脑,调节食欲、能量代谢及体重。Leptin 还可能作为脂肪-胰岛内分泌轴的一部分,参与胰岛素分泌的调节。
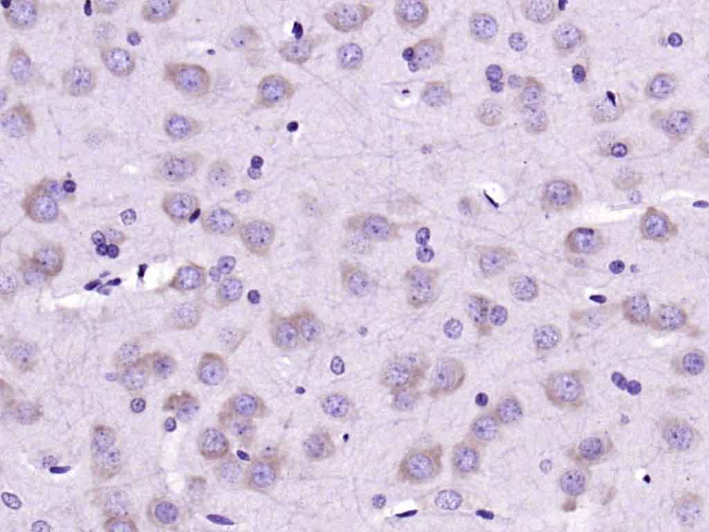
产品图片
Paraformaldehyde-fixed, paraffin embedded (rat stomach); Antigen retrieval by boiling in sodium citrate buffer (pH6.0) for 15min; Block endogenous peroxidase by 3% hydrogen peroxide for 20 minutes; Blocking buffer (normal goat serum) at 37°C for 30min; Antibody incubation with (Leptin) Monoclonal Antibody, Unconjugated (cell supernatant of bsm-10888M 3C2) at overnight at 4°C, followed by operating according to SP Kit(Mouse)(sp-0024) instructionsand DAB staining.
Paraformaldehyde-fixed, paraffin embedded (rat brain); Antigen retrieval by boiling in sodium citrate buffer (pH6.0) for 15min; Block endogenous peroxidase by 3% hydrogen peroxide for 20 minutes; Blocking buffer (normal goat serum) at 37°C for 30min; Antibody incubation with (Leptin) Monoclonal Antibody, Unconjugated (cell supernatant of bsm-10888M 3C2) at overnight at 4°C, followed by operating according to SP Kit(Mouse)(sp-0024) instructionsand DAB staining.
版权所有 2004-2026 www.bioss.com.cn 北京博奥森生物技术有限公司
通过国际质量管理体系ISO 9001:2015 GB/T 19001-2016    证书编号: 00124Q34771R2M/1100
通过国际医疗器械-质量管理体系ISO 13485:2016 GB/T 42061-2022     证书编号: CQC24QY20047R0M/1100
京ICP备05066980号-1         京公网安备110107000727号