扫码关注公众号           扫码咨询技术支持           扫码咨询技术服务
  
客服热线:400-901-9800  客服QQ:4009019800  技术答疑  技术支持  质量反馈  人才招聘  关于我们  联系我们
产品中心-北京博奥森生物技术有限公司
首页 > 产品中心 > 一抗 > 产品信息
ALDH2 Mouse mAb (bsm-51466M)  
订购热线:400-901-9800
订购邮箱:sales@bioss.com.cn
订购QQ:  400-901-9800
技术支持:techsupport@bioss.com.cn
50ul/1180.00元
100ul/1980.00元
大包装/询价

产品编号 bsm-51466M
英文名称 ALDH2 Mouse mAb
中文名称 乙醛脱氢酶2单克隆抗体
别    名 ALDH-E2; ALDHI; ALDM; AHD-M1; Ahd-5; Ahd5; ALDH2_HUMAN; ALDH2; ALDH class 2; 1.2.1.3; ALDH2_MOUSE; Ahd-1; Ahd1; ALDH2_RAT; ALDH1;   
研究领域 肿瘤  心血管  细胞生物  信号转导  新陈代谢  线粒体  
抗体来源 Mouse
克隆类型 Monoclonal
克 隆 号 A02C1
交叉反应 Human,Mouse,Rat
产品应用 WB=1:500-1000,IHC-P=1:100-500,IHC-F=1:100-500,IF=1:100-500,Flow-Cyt=1:50-100,ICC/IF=1:50-200
not yet tested in other applications.
optimal dilutions/concentrations should be determined by the end user.
理论分子量 54 kDa
检测分子量 56
细胞定位 细胞浆 线粒体
性    状 Liquid
浓    度 1mg/ml
免 疫 原 Recombinant human ALDH2. 
亚    型
纯化方法 affinity purified by Protein G
缓 冲 液 0.01M TBS (pH7.4) with 1% BSA, 0.02% Proclin300 and 50% Glycerol.
保存条件 Shipped at 4℃. Store at -20℃ for one year. Avoid repeated freeze/thaw cycles.
注意事项 This product as supplied is intended for research use only, not for use in human, therapeutic or diagnostic applications.
PubMed PubMed
产品介绍 This protein belongs to the aldehyde dehydrogenase family of proteins. Aldehyde dehydrogenase is the second enzyme of the major oxidative pathway of alcohol metabolism. Two major liver isoforms of aldehyde dehydrogenase, cytosolic and mitochondrial, can be distinguished by their electrophoretic mobilities, kinetic properties, and subcellular localizations. Most Caucasians have two major isozymes, while approximately 50% of Orientals have the cytosolic isozyme but not the mitochondrial isozyme. A remarkably higher frequency of acute alcohol intoxication among Orientals than among Caucasians could be related to the absence of a catalytically active form of the mitochondrial isozyme. The increased exposure to acetaldehyde in individuals with the catalytically inactive form may also confer greater susceptibility to many types of cancer. This gene encodes a mitochondrial isoform, which has a low Km for acetaldehydes, and is localized in mitochondrial matrix. Alternative splicing results in multiple transcript variants encoding distinct isoforms.[provided by RefSeq, Mar 2011]

Subunit:
Homotetramer.

Subcellular Location:
Mitochondrion matrix.

Similarity:
Belongs to the aldehyde dehydrogenase family.

SWISS:
P05091

Gene ID:
217

Database links:

Entrez Gene: 217 Human

SwissProt: P05091 Human



产品图片
25 ug total protein per lane of various lysates (see on figure) probed with ALDH2 monoclonal antibody, unconjugated (bsm-51466M) at 1:1000 dilution and 4°C overnight incubation. Followed by conjugated secondary antibody incubation at r.t. for 60 min.
Paraformaldehyde-fixed, paraffin embedded Human Prostate; Antigen retrieval by boiling in sodium citrate buffer (pH6.0) for 15 min; The section was incubated with ALDH2 Monoclonal Antibody, Unconjugated (bsm-51466M) at 1:150 overnight at 4°C, followed by conjugation to the bs-40296G-HRP and DAB (C-0010) staining.
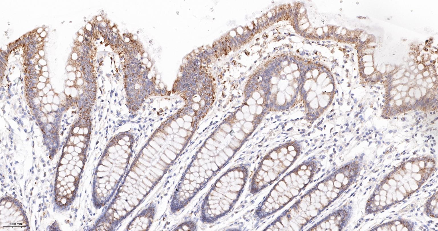
Paraformaldehyde-fixed, paraffin embedded Human Colon; Antigen retrieval by boiling in sodium citrate buffer (pH6.0) for 15 min; The section was incubated with ALDH2 Monoclonal Antibody, Unconjugated (bsm-51466M) at 1:150 overnight at 4°C, followed by conjugation to the bs-40296G-HRP and DAB (C-0010) staining.
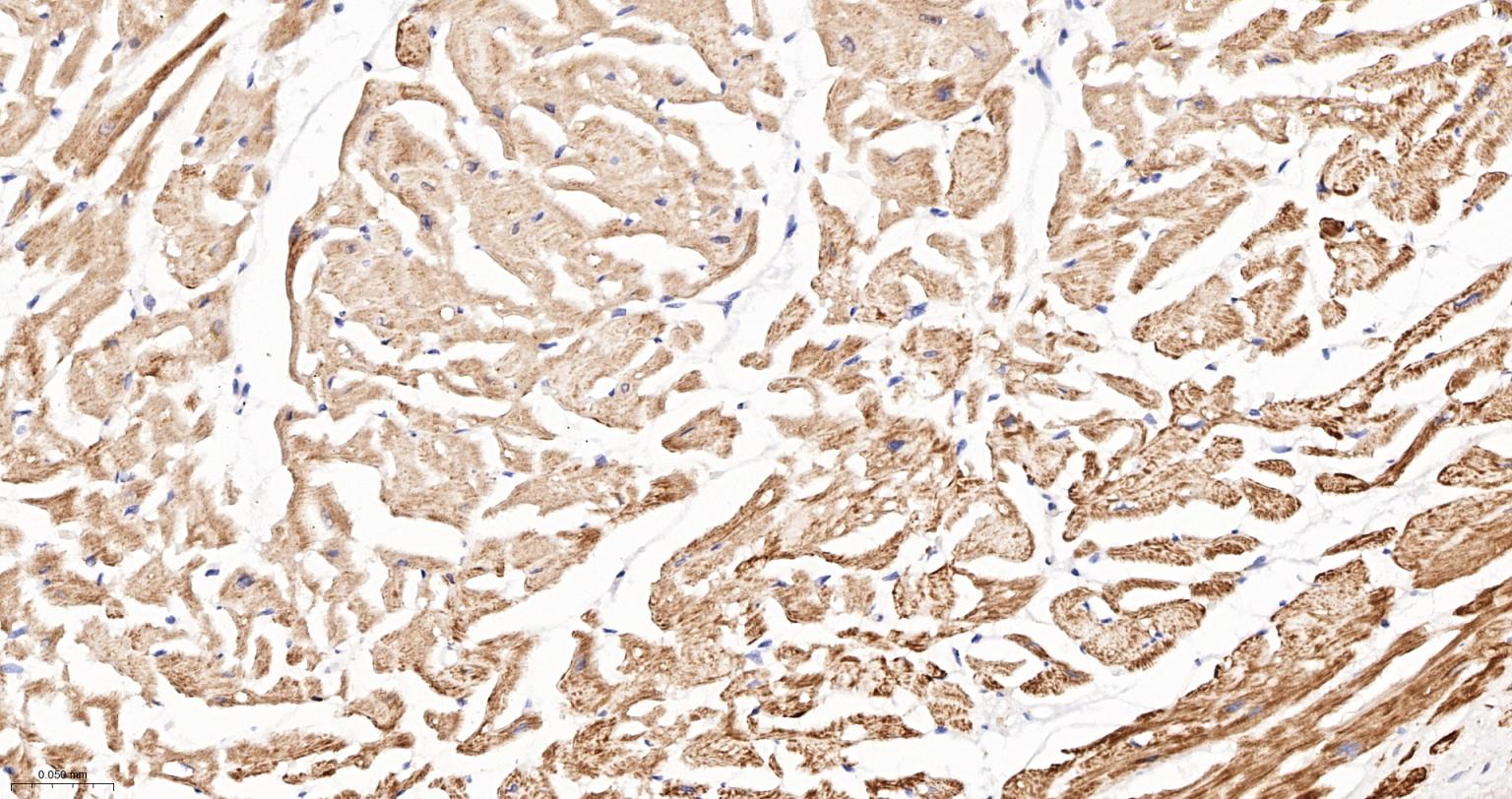
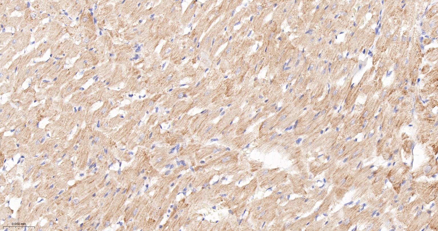
Paraformaldehyde-fixed, paraffin embedded Human Heart; Antigen retrieval by boiling in sodium citrate buffer (pH6.0) for 15 min; The section was incubated with ALDH2 Monoclonal Antibody, Unconjugated (bsm-51466M) at 1:150 overnight at 4°C, followed by conjugation to the bs-40296G-HRP and DAB (C-0010) staining.
Paraformaldehyde-fixed, paraffin embedded Rat Heart; Antigen retrieval by boiling in sodium citrate buffer (pH6.0) for 15 min; The section was incubated with ALDH2 Monoclonal Antibody, Unconjugated (bsm-51466M) at 1:150 overnight at 4°C, followed by conjugation to the bs-40296G-HRP and DAB (C-0010) staining.
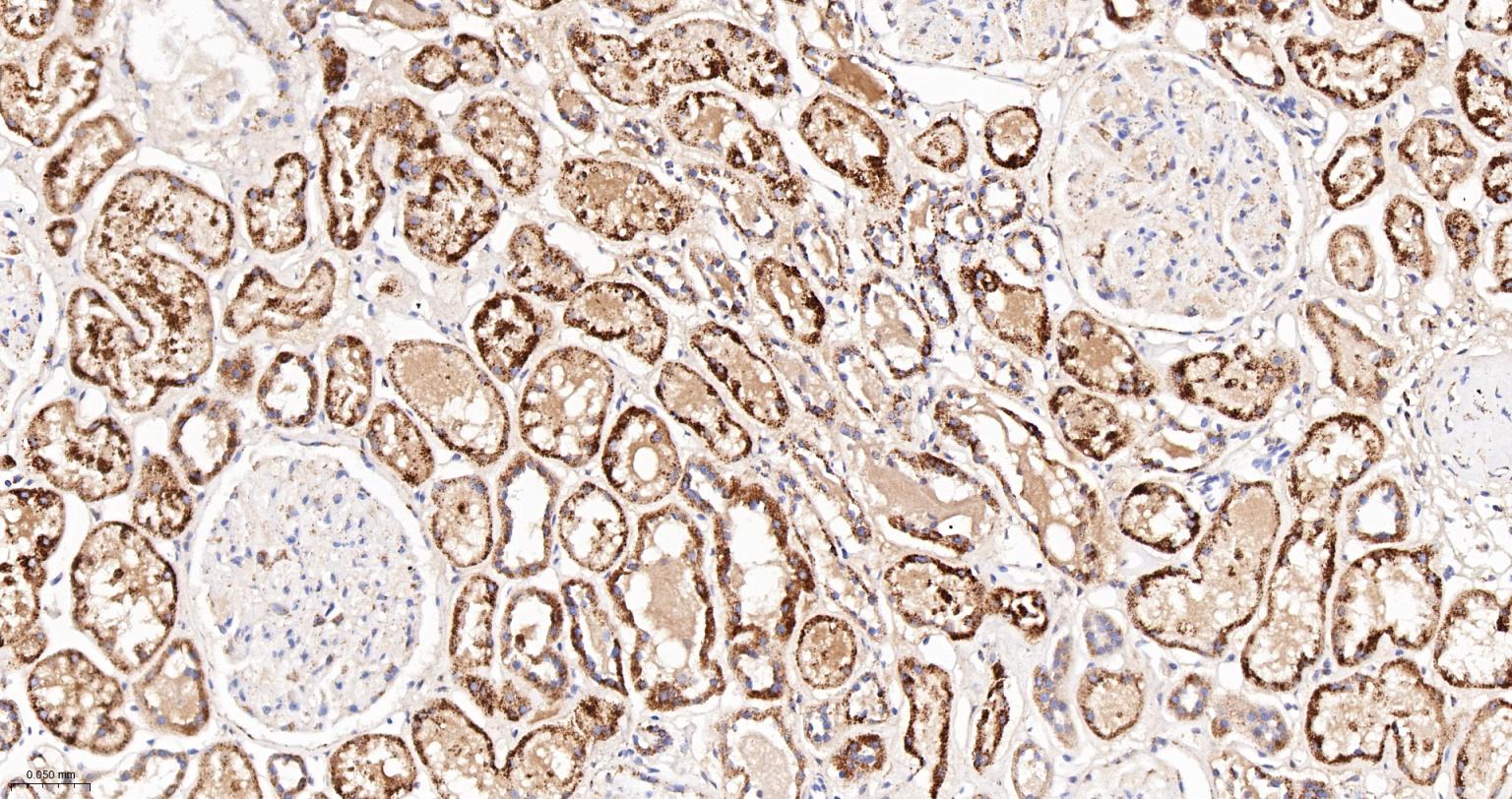
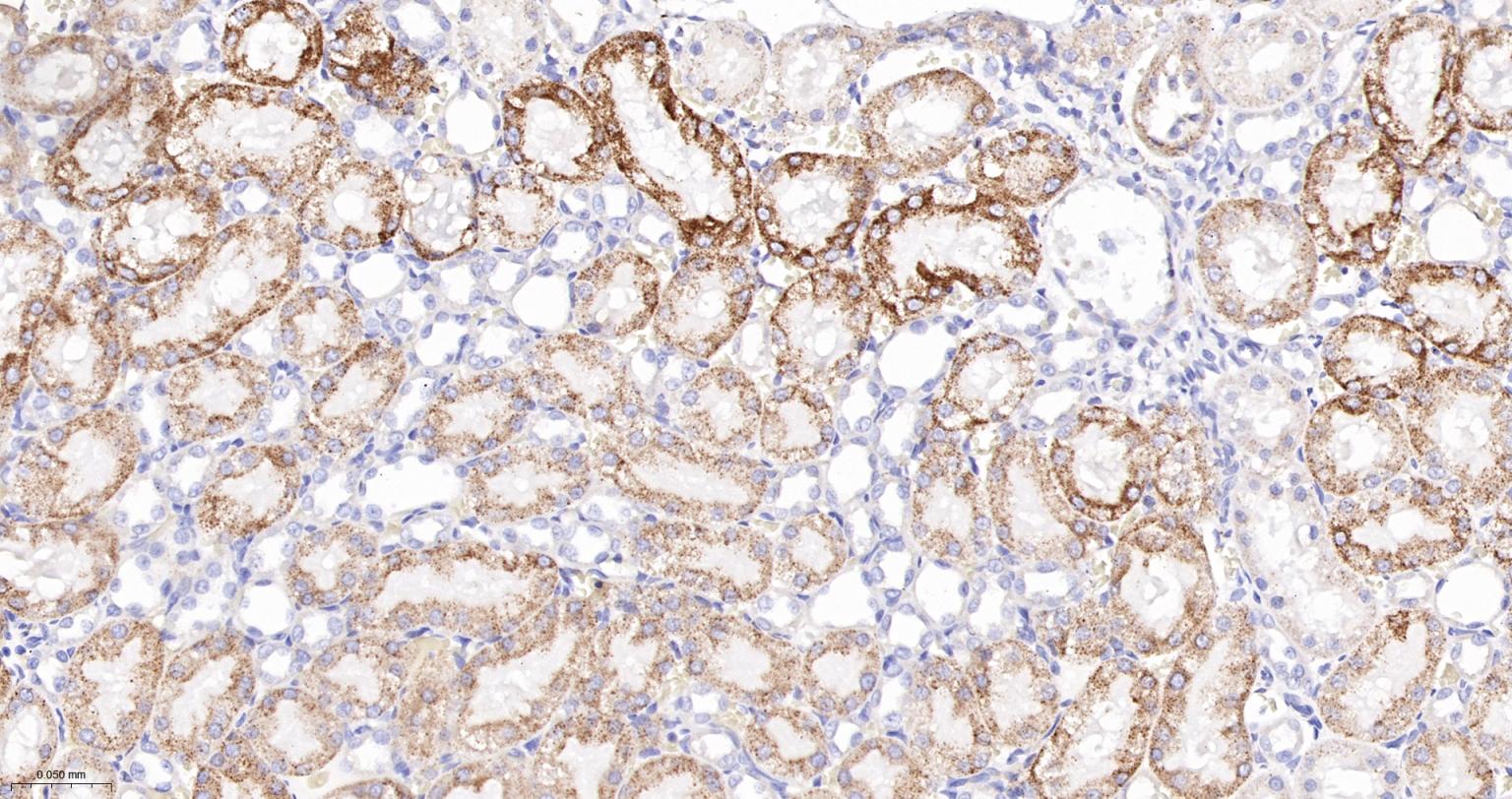
Paraformaldehyde-fixed, paraffin embedded Human Kidney; Antigen retrieval by boiling in sodium citrate buffer (pH6.0) for 15 min; The section was incubated with ALDH2 Monoclonal Antibody, Unconjugated (bsm-51466M) at 1:150 overnight at 4°C, followed by conjugation to the bs-40296G-HRP and DAB (C-0010) staining.
Paraformaldehyde-fixed, paraffin embedded Rat Kidney; Antigen retrieval by boiling in sodium citrate buffer (pH6.0) for 15 min; The section was incubated with ALDH2 Monoclonal Antibody, Unconjugated (bsm-51466M) at 1:150 overnight at 4°C, followed by conjugation to the bs-40296G-HRP and DAB (C-0010) staining.
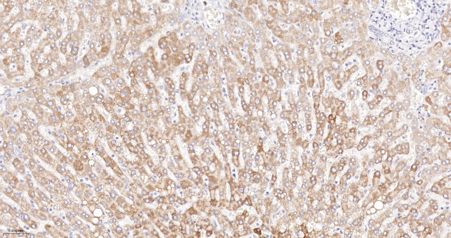
Paraformaldehyde-fixed, paraffin embedded Human Liver; Antigen retrieval by boiling in sodium citrate buffer (pH6.0) for 15 min; The section was incubated with ALDH2 Monoclonal Antibody, Unconjugated (bsm-51466M) at 1:150 overnight at 4°C, followed by conjugation to the bs-40296G-HRP and DAB (C-0010) staining.
Paraformaldehyde-fixed, paraffin embedded Rat Liver; Antigen retrieval by boiling in sodium citrate buffer (pH6.0) for 15 min; The section was incubated with ALDH2 Monoclonal Antibody, Unconjugated (bsm-51466M) at 1:150 overnight at 4°C, followed by conjugation to the bs-40296G-HRP and DAB (C-0010) staining.
4% Paraformaldehyde-fixed HepG2 (H) cell; Triton X-100 at r.t. for 20 min; Antibody incubation with (ALDH2) monoclonal Antibody, unconjugated (bsm-51466M) 1:100, 90 min at 37°C; followed by FITC conjugated Goat Anti-Mouse IgG antibody (green, bs-60296G-FITC) at 37°C for 90 min, DAPI (blue, C02-04002) was used to stain the cell nuclei. PBS instead of the primary antibody was used as the blank control.
版权所有 2004-2026 www.bioss.com.cn 北京博奥森生物技术有限公司
通过国际质量管理体系ISO 9001:2015 GB/T 19001-2016    证书编号: 00124Q34771R2M/1100
通过国际医疗器械-质量管理体系ISO 13485:2016 GB/T 42061-2022     证书编号: CQC24QY20047R0M/1100
京ICP备05066980号-1         京公网安备110107000727号