扫码关注公众号           扫码咨询技术支持           扫码咨询技术服务
  
客服热线:400-901-9800  客服QQ:4009019800  技术答疑  技术支持  质量反馈  关于我们  联系我们
产品中心-北京博奥森生物技术有限公司
首页 > 产品中心 > 一抗 > 产品信息
XIAP Mouse mAb (bsm-51607M)  
订购热线:400-901-9800
订购邮箱:sales@bioss.com.cn
订购QQ:  400-901-9800
技术支持:techsupport@bioss.com.cn
50ul/1180.00元
100ul/1980.00元
大包装/询价

产品编号 bsm-51607M
英文名称 XIAP Mouse mAb
中文名称 X-连锁凋亡蛋白/性连锁凋亡抑制蛋白单克隆抗体
别    名 X-linked Inhibitor of Apoptosis Protein; RIAP-3; Baculoviral IAP repeat-containing protein 4; E3 ubiquitin-protein ligase XIAP; Inhibitor of apoptosis protein 3; X-linked IAP; IAP-like protein; HILP; BIRC4; HILP; XLP2; ILP1; Xiap; MIHA; hILP; IAP3; API3; XIAP_HUMAN; ILP; hILP; IAP-3; hIAP-3; hIAP3; X-linked inhibitor of apoptosis protein.  
研究领域 肿瘤  细胞生物  细胞凋亡  新陈代谢  
抗体来源 Mouse
克隆类型 Monoclonal
克 隆 号 D1G6
交叉反应 Human
产品应用 WB=1:500-5000,IHC-P=1:20-100,IHC-F=1:20-100,IF=1:20-100
not yet tested in other applications.
optimal dilutions/concentrations should be determined by the end user.
理论分子量 55 kDa
检测分子量
细胞定位 细胞浆 
性    状 Liquid
浓    度 1mg/ml
免 疫 原 Recombinant human XIAP 
亚    型 IgG1, k
纯化方法 affinity purified by Protein G
缓 冲 液 0.01M TBS (pH7.4) with 1% BSA, 0.02% Proclin300 and 50% Glycerol.
保存条件 Shipped at 4℃. Store at -20℃ for one year. Avoid repeated freeze/thaw cycles.
注意事项 This product as supplied is intended for research use only, not for use in human, therapeutic or diagnostic applications.
PubMed PubMed
产品介绍 This gene encodes a protein that belongs to a family of apoptotic suppressor proteins. Members of this family share a conserved motif termed, baculovirus IAP repeat, which is necessary for their anti-apoptotic function. This protein functions through binding to tumor necrosis factor receptor-associated factors TRAF1 and TRAF2 and inhibits apoptosis induced by menadione, a potent inducer of free radicals, and interleukin 1-beta converting enzyme. This protein also inhibits at least two members of the caspase family of cell-death proteases, caspase-3 and caspase-7. Mutations in this gene are the cause of X-linked lymphoproliferative syndrome. Alternate splicing results in multiple transcript variants. Pseudogenes of this gene are found on chromosomes 2 and 11.[provided by RefSeq, Feb 2011]

Function:
Apoptotic suppressor. Has E3 ubiquitin-protein ligase activity. Mediates the proteasomal degradation of target proteins, such as caspase-3, SMAC or AIFM1. Inhibitor of caspase-3, -7 and -9. Mediates activation of MAP3K7/TAK1, leading to the activation of NF-kappa-B.

Subunit:
Monomer, and homodimer. Interacts with SMAC and with PRSS25; these interactions inhibit apoptotic suppressor activity. Interacts with MAP3K7IP1 and AIFM1. Interaction with SMAC hinders binding of MAP3K7IP1 and AIFM1. Interacts with TCF25.

Subcellular Location:
Cytoplasm.

Tissue Specificity:
Ubiquitous, except peripheral blood leukocytes.

Post-translational modifications:
Ubiquitinated and degraded by the proteasome in apoptotic cells. Phosphorylation by PKB/AKT protects XIAP against ubiquitination and protects the protein against proteasomal degradation.

DISEASE:
Defects in XIAP are the cause of lymphoproliferative syndrome X-linked type 2 (XLP2) [MIM:300635]. XLP is a rare immunodeficiency characterized by extreme susceptibility to infection with Epstein-Barr virus (EBV). Symptoms include severe or fatal mononucleosis, acquired hypogammaglobulinemia, pancytopenia and malignant lymphoma.

Similarity:
Belongs to the IAP family.
Contains 3 BIR repeats.
Contains 1 RING-type zinc finger.

SWISS:
P98170

Gene ID:
331

Database links:

Entrez Gene: 331 Human

SwissProt: P98170 Human



产品图片
25 ug total protein per lane of various lysates (see on figure) probed with XIAP monoclonal antibody, unconjugated (bsm-51607M) at 1:5000 dilution and 4°C overnight incubation. Followed by conjugated secondary antibody incubation at r.t. for 60 min.
Sample: Lane 1: Human MCF-7 cell lysates Lane 2: Human MOLT4 cell lysates Lane 3: Human HeLa cell lysates Lane 4: Human Raji cell lysates Lane 5: Human Jurkat cell lysates Lane 6: Human HepG2 cell lysates Lane 7: Human A549 cell lysates Primary: Anti-XIAP (bsm-51607M) at 1/1000 dilution Secondary: IRDye800CW Goat Anti-Mouse IgG at 1/20000 dilution Predicted band size: 55 kDa Observed band size: 55 kDa
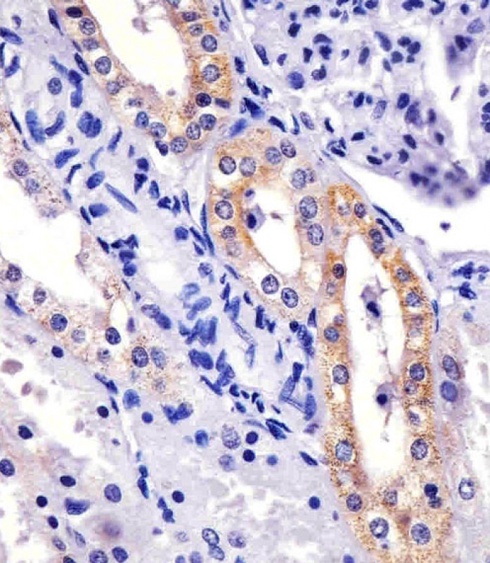
Paraformaldehyde-fixed, paraffin embedded (Human kidney section); Antigen retrieval by boiling in sodium citrate buffer (pH6.0) for 15min; Block endogenous peroxidase by 3% hydrogen peroxide for 20 minutes; Blocking buffer (normal goat serum) at 37°C for 30min; Antibody incubation with (XIAP) Monoclonal Antibody, Unconjugated (bsm-51607M) at 1:200 overnight at 4°C, followed by operating according to SP Kit(Mouse)(sp-0024) instructionsand DAB staining.
版权所有 2004-2026 www.bioss.com.cn 北京博奥森生物技术有限公司
通过国际质量管理体系ISO 9001:2015 GB/T 19001-2016    证书编号: 00124Q34771R2M/1100
通过国际医疗器械-质量管理体系ISO 13485:2016 GB/T 42061-2022     证书编号: CQC24QY20047R0M/1100
京ICP备05066980号-1         京公网安备110107000727号