扫码关注公众号           扫码咨询技术支持           扫码咨询技术服务
  
客服热线:400-901-9800  客服QQ:4009019800  技术答疑  技术支持  质量反馈  关于我们  联系我们
产品中心-北京博奥森生物技术有限公司
首页 > 产品中心 > 一抗 > 产品信息
EIF2S1 Mouse mAb (bsm-51644M)  
订购热线:400-901-9800
订购邮箱:sales@bioss.com.cn
订购QQ:  400-901-9800
技术支持:techsupport@bioss.com.cn
50ul/1180.00元
100ul/1980.00元
大包装/询价

产品编号 bsm-51644M
英文名称 EIF2S1 Mouse mAb
中文名称 EIF2S1单克隆抗体
别    名 EIF2A; CDA 02; CDA02; eIF 2 alpha; EIF 2; EIF 2A; EIF-2alpha; EIF2; EIF2alpha; Eukaryotic Translation Initiation Factor 2 alpha; Eukaryotic translation initiation factor 2 subunit 1 alpha 35kDa; Eukaryotic translation initiation factor 2 subunit alpha; IF2A_HUMAN; eIF2α.  
研究领域 肿瘤  细胞生物  发育生物学  信号转导  细胞凋亡  转录调节因子  激酶和磷酸酶  
抗体来源 Mouse
克隆类型 Monoclonal
克 隆 号 B5Y8
交叉反应 Human,Mouse,Rat
产品应用 WB=1:500-2000,IHC-P=1:200-1000,IHC-F=1:200-1000,IF=1:200-1000
not yet tested in other applications.
optimal dilutions/concentrations should be determined by the end user.
理论分子量 36 kDa
检测分子量
细胞定位 细胞浆 
性    状 Liquid
浓    度 1mg/ml
免 疫 原 Recombinant human EIF2A. 
亚    型 IgG2b,k
纯化方法 affinity purified by Protein G
缓 冲 液 0.01M TBS (pH7.4) with 1% BSA, 0.02% Proclin300.
保存条件 Store at 2-8℃ for one year. Avoid repeated freeze/thaw cycles.
注意事项 This product as supplied is intended for research use only, not for use in human, therapeutic or diagnostic applications.
PubMed PubMed
产品介绍 eIF2 alpha is a 36 kDa protein which is ubiquitously expressed in many cell types. The eIF2 protein, which is composed of three subunits (alpha, beta and gamma), is one of the key molecules in the initiation of translation. In mammalian cells, eIF2 alpha is phosphorylated at serine 51 (human EIF2 alpha, the equivalent residue in mouse is serine 52) by at least two kinases: the haem-controlled repressor (HCR) and the interferon inducible double stranded RNA-dependent protein kinase (PKR). Phosphorylation of eIF2 alpha blocks the GDP-GTP exchange activity of eIF2 beta, resulting in the suppression of protein synthesis. The phosphorylation of eIF2 alpha is an important regulatory process in protein synthesis.

Function:
Functions in the early steps of protein synthesis by forming a ternary complex with GTP and initiator tRNA. This complex binds to a 40S ribosomal subunit, followed by mRNA binding to form a 43S preinitiation complex. Junction of the 60S ribosomal subunit to form the 80S initiation complex is preceded by hydrolysis of the GTP bound to eIF-2 and release of an eIF-2-GDP binary complex. In order for eIF-2 to recycle and catalyze another round of initiation, the GDP bound to eIF-2 must exchange with GTP by way of a reaction catalyzed by eIF-2B.

Subunit:
Heterotrimer composed of an alpha, a beta and a gamma chain. Component of an EIF2 complex at least composed of CELF1/CUGBP1, CALR, CALR3, EIF2S1, EIF2S2, HSP90B1 and HSPA5. Interaction with METAP2 protects EIF2S1 from inhibitory phosphorylation. Interacts with ABCF1 isoform 2. Associates with ribosomes.

Subcellular Location:
Cytoplasmic granule. Note=The cytoplasmic granules are stress granules which are a dense aggregation in the cytosol composed of proteins and RNAs that appear when the cell is under stress. Co-localizes with NANOS3 in the stress granules.

Post-translational modifications:
Substrate for at least 4 kinases: EIF2AK3/PERK, GCN2, HRI and PKR. Phosphorylation stabilizes the eIF-2/GDP/eIF-2B complex and prevents GDP/GTP exchange reaction, thus impairing the recycling of eIF-2 between successive rounds of initiation and leading to global inhibition of translation. In case of infection by vaccinia virus or rotavirus A, eIF2S1 phosphorylation state is modulated.

Similarity:
Belongs to the eIF-2-alpha family.
Contains 1 S1 motif domain.

SWISS:
P05198

Gene ID:
1965

Database links:

Entrez Gene: 1965 Human

Entrez Gene: 13665 Mouse

Entrez Gene: 54318 Rat

SwissProt: P05198 Human

SwissProt: Q6ZWX6 Mouse

SwissProt: P68101 Rat



产品图片
25 ug total protein per lane of various lysates (see on figure) probed with EIF2S1 monoclonal antibody, unconjugated (bsm-51644M) at 1:1000 dilution and 4°C overnight incubation. Followed by conjugated secondary antibody incubation at r.t. for 60 min.
Paraformaldehyde-fixed, paraffin embedded Human Breast Cancer; Antigen retrieval by boiling in sodium citrate buffer (pH6.0) for 15 min; The section was incubated with EIF2S1 Monoclonal Antibody, Unconjugated (bsm-51644M) at 1:1000 overnight at 4°C, followed by conjugation to the bs-40296G-HRP and DAB (C-0010) staining.
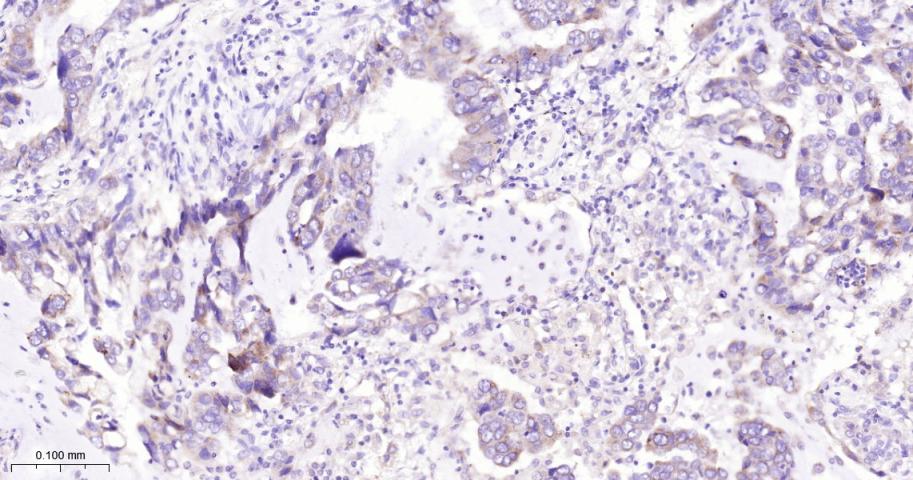
Paraformaldehyde-fixed, paraffin embedded Human Lung Cancer; Antigen retrieval by boiling in sodium citrate buffer (pH6.0) for 15 min; The section was incubated with EIF2S1 Monoclonal Antibody, Unconjugated (bsm-51644M) at 1:1000 overnight at 4°C, followed by conjugation to the bs-40296G-HRP and DAB (C-0010) staining.
Paraformaldehyde-fixed, paraffin embedded Rat Kidney; Antigen retrieval by boiling in sodium citrate buffer (pH6.0) for 15 min; The section was incubated with EIF2S1 Monoclonal Antibody, Unconjugated (bsm-51644M) at 1:1000 overnight at 4°C, followed by conjugation to the bs-40296G-HRP and DAB (C-0010) staining.
Paraformaldehyde-fixed, paraffin embedded Rat Cerebrum; Antigen retrieval by boiling in sodium citrate buffer (pH6.0) for 15 min; The section was incubated with EIF2S1 Monoclonal Antibody, Unconjugated (bsm-51644M) at 1:1000 overnight at 4°C, followed by conjugation to the bs-40296G-HRP and DAB (C-0010) staining.
Paraformaldehyde-fixed, paraffin embedded Mouse Cerebrum; Antigen retrieval by boiling in sodium citrate buffer (pH6.0) for 15 min; The section was incubated with EIF2S1 Monoclonal Antibody, Unconjugated (bsm-51644M) at 1:1000 overnight at 4°C, followed by conjugation to the bs-40296G-HRP and DAB (C-0010) staining.
Paraformaldehyde-fixed, paraffin embedded Human Colon; Antigen retrieval by boiling in sodium citrate buffer (pH6.0) for 15 min; The section was incubated with EIF2S1 Monoclonal Antibody, Unconjugated (bsm-51644M) at 1:1000 overnight at 4°C, followed by conjugation to the bs-40296G-HRP and DAB (C-0010) staining.
Paraformaldehyde-fixed, paraffin embedded Rat Colon; Antigen retrieval by boiling in sodium citrate buffer (pH6.0) for 15 min; The section was incubated with EIF2S1 Monoclonal Antibody, Unconjugated (bsm-51644M) at 1:1000 overnight at 4°C, followed by conjugation to the bs-40296G-HRP and DAB (C-0010) staining.
Paraformaldehyde-fixed, paraffin embedded Mouse Colon; Antigen retrieval by boiling in sodium citrate buffer (pH6.0) for 15 min; The section was incubated with EIF2S1 Monoclonal Antibody, Unconjugated (bsm-51644M) at 1:1000 overnight at 4°C, followed by conjugation to the bs-40296G-HRP and DAB (C-0010) staining.
版权所有 2004-2026 www.bioss.com.cn 北京博奥森生物技术有限公司
通过国际质量管理体系ISO 9001:2015 GB/T 19001-2016    证书编号: 00124Q34771R2M/1100
通过国际医疗器械-质量管理体系ISO 13485:2016 GB/T 42061-2022     证书编号: CQC24QY20047R0M/1100
京ICP备05066980号-1         京公网安备110107000727号