扫码关注公众号           扫码咨询技术支持           扫码咨询技术服务
  
客服热线:400-901-9800  客服QQ:4009019800  技术答疑  技术支持  质量反馈  关于我们  联系我们
产品中心-北京博奥森生物技术有限公司
首页 > 产品中心 > 一抗 > 产品信息
[KO验证抗体] SDHB Recombinant Rabbit mAb (bsm-54180R )  
订购热线:400-901-9800
订购邮箱:sales@bioss.com.cn
订购QQ:  400-901-9800
技术支持:techsupport@bioss.com.cn
50ul/1400.00元
100ul/2500.00元
大包装/询价

产品编号 bsm-54180R
英文名称 [KO验证抗体] SDHB Recombinant Rabbit mAb
中文名称 铬细胞瘤患者抑癌基因SDHB重组兔单抗
别    名 succinate dehydrogenase complex, subunit B; mitochondrial; DHSB_HUMAN; Ip; Iron sulfur subunit; Iron sulfur subunit of complex II; Iron-sulfur subunit of complex II; PGL 4; PGL4; SDH 1; SDH; SDH1; SDH2; SdhB; SDHIP; Succinate dehydrogenase [ubiquinone] iron sulfur protein mitochondrial; Succinate dehydrogenase [ubiquinone] iron-sulfur subunit; Succinate Dehydrogenase 1 Iron Sulfur Subunit; Succinate dehydrogenase complex subunit B iron sulfur; Succinate Dehydrogenase Complex Subunit B Iron Sulfur Protein; Succinate dehydrogenase iron sulfur protein.  
研究领域 肿瘤  细胞生物  信号转导  
抗体来源 Rabbit
克隆类型 Recombinant
克 隆 号 2F7
交叉反应 Human,Mouse,Rat
产品应用 WB=1:500-2000,IHC-P=1:100-500,IHC-F=1:100-500,IF=1:100-500,Flow-Cyt=1:50-100,ICC/IF=1:50-200
not yet tested in other applications.
optimal dilutions/concentrations should be determined by the end user.
理论分子量 32 kDa
检测分子量
细胞定位 细胞浆 细胞膜 
性    状 Liquid
浓    度 1mg/ml
免 疫 原 A synthesized peptide derived from human SDHB: 1-280/280 
亚    型 IgG
缓 冲 液 0.01M TBS (pH7.4) with 1% BSA, 0.02% Proclin300 and 50% Glycerol.
保存条件 Shipped at 4℃. Store at -20℃ for one year. Avoid repeated freeze/thaw cycles.
注意事项 This product as supplied is intended for research use only, not for use in human, therapeutic or diagnostic applications.
PubMed PubMed
产品介绍 ron-sulfur protein (IP) subunit of succinate dehydrogenase (SDH) that is involved in complex II of the mitochondrial electron transport chain and is responsible for transferring electrons from succinate to ubiquinone (coenzyme Q).

Function:
Iron-sulfur protein (IP) subunit of succinate dehydrogenase (SDH) that is involved in complex II of the mitochondrial electron transport chain and is responsible for transferring electrons from succinate to ubiquinone (coenzyme Q).

Subunit:
Component of complex II composed of four subunits: the flavoprotein (FP) SDHA, iron-sulfur protein (IP) SDHB, and a cytochrome b560 composed of SDHC and SDHD.

Subcellular Location:
Mitochondrion inner membrane; Peripheral membrane protein; Matrix side.

DISEASE:
Defects in SDHB are a cause of susceptibility to pheochromocytoma (PCC) [MIM:171300]. A catecholamine-producing tumor of chromaffin tissue of the adrenal medulla or sympathetic paraganglia. The cardinal symptom, reflecting the increased secretion of epinephrine and norepinephrine, is hypertension, which may be persistent or intermittent.
Defects in SDHB are the cause of paragangliomas type 4 (PGL4) [MIM:115310]. A neural crest tumor usually derived from the chromoreceptor tissue of a paraganglion. Paragangliomas are most commonly located in the head and neck region, specifically at the carotid bifurcation, the jugular foramen, the vagal nerve, and in the middle ear.
Defects in SDHB are a cause of paraganglioma and gastric stromal sarcoma (PGGSS) [MIM:606864]; also called Carney-Stratakis syndrome. Gastrointestinal stromal tumors may be sporadic or inherited in an autosomal dominant manner, alone or as a component of a syndrome associated with other tumors, such as in the context of neurofibromatosis type 1 (NF1). Patients have both gastrointestinal stromal tumors and paragangliomas. Susceptibility to the tumors was inherited in an apparently autosomal dominant manner, with incomplete penetrance.

Similarity:
Belongs to the succinate dehydrogenase/fumarate reductase iron-sulfur protein family.
Contains 1 2Fe-2S ferredoxin-type domain.
Contains 1 4Fe-4S ferredoxin-type domain.

SWISS:
P21912

Gene ID:
6390

产品图片
25 ug total protein per lane of various lysates (see on figure) probed with SDHB monoclonal antibody, unconjugated (bsm-54180R) at 1:1000 dilution and 4°C overnight incubation. Followed by conjugated secondary antibody incubation at r.t. for 60 min.
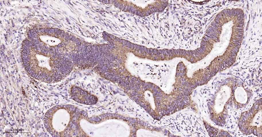
Paraformaldehyde-fixed, paraffin embedded Human Endometrial Cancer; Antigen retrieval by boiling in sodium citrate buffer (pH6.0) for 15 min; Antibody incubation with SDHB Monoclonal Antibody, Unconjugated(bsm-54180R) at 1:200 overnight at 4°C, followed by conjugation to the bs-0295G-HRP and DAB (C-0010) staining.
Paraformaldehyde-fixed, paraffin embedded Human Breast Cancer; Antigen retrieval by boiling in sodium citrate buffer (pH6.0) for 15 min; Antibody incubation with SDHB Monoclonal Antibody, Unconjugated(bsm-54180R) at 1:200 overnight at 4°C, followed by conjugation to the bs-0295G-HRP and DAB (C-0010) staining.
Paraformaldehyde-fixed, paraffin embedded Human Prostate Cancer; Antigen retrieval by boiling in sodium citrate buffer (pH6.0) for 15 min; Antibody incubation with SDHB Monoclonal Antibody, Unconjugated(bsm-54180R) at 1:200 overnight at 4°C, followed by conjugation to the bs-0295G-HRP and DAB (C-0010) staining.
Paraformaldehyde-fixed, paraffin embedded Human Heart; Antigen retrieval by boiling in sodium citrate buffer (pH6.0) for 15 min; Antibody incubation with SDHB Monoclonal Antibody, Unconjugated(bsm-54180R) at 1:200 overnight at 4°C, followed by conjugation to the bs-0295G-HRP and DAB (C-0010) staining.
Paraformaldehyde-fixed, paraffin embedded Rat Heart; Antigen retrieval by boiling in sodium citrate buffer (pH6.0) for 15 min; Antibody incubation with SDHB Monoclonal Antibody, Unconjugated(bsm-54180R) at 1:200 overnight at 4°C, followed by conjugation to the bs-0295G-HRP and DAB (C-0010) staining.
Paraformaldehyde-fixed, paraffin embedded Mouse Heart; Antigen retrieval by boiling in sodium citrate buffer (pH6.0) for 15 min; Antibody incubation with SDHB Monoclonal Antibody, Unconjugated(bsm-54180R) at 1:200 overnight at 4°C, followed by conjugation to the bs-0295G-HRP and DAB (C-0010) staining.
Paraformaldehyde-fixed, paraffin embedded Human Kidney; Antigen retrieval by boiling in sodium citrate buffer (pH6.0) for 15 min; Antibody incubation with SDHB Monoclonal Antibody, Unconjugated(bsm-54180R) at 1:200 overnight at 4°C, followed by conjugation to the bs-0295G-HRP and DAB (C-0010) staining.
Paraformaldehyde-fixed, paraffin embedded Rat Kidney; Antigen retrieval by boiling in sodium citrate buffer (pH6.0) for 15 min; Antibody incubation with SDHB Monoclonal Antibody, Unconjugated(bsm-54180R) at 1:200 overnight at 4°C, followed by conjugation to the bs-0295G-HRP and DAB (C-0010) staining.
Paraformaldehyde-fixed, paraffin embedded Mouse Kidney; Antigen retrieval by boiling in sodium citrate buffer (pH6.0) for 15 min; Antibody incubation with SDHB Monoclonal Antibody, Unconjugated(bsm-54180R) at 1:200 overnight at 4°C, followed by conjugation to the bs-0295G-HRP and DAB (C-0010) staining.
Paraformaldehyde-fixed, paraffin embedded Rat Ovary; Antigen retrieval by boiling in sodium citrate buffer (pH6.0) for 15 min; Antibody incubation with SDHB Monoclonal Antibody, Unconjugated(bsm-54180R) at 1:200 overnight at 4°C, followed by conjugation to the bs-0295G-HRP and DAB (C-0010) staining.
Paraformaldehyde-fixed, paraffin embedded Mouse Ovary; Antigen retrieval by boiling in sodium citrate buffer (pH6.0) for 15 min; Antibody incubation with SDHB Monoclonal Antibody, Unconjugated(bsm-54180R) at 1:200 overnight at 4°C, followed by conjugation to the bs-0295G-HRP and DAB (C-0010) staining.
Paraformaldehyde-fixed, paraffin embedded Human Colon Cancer; Antigen retrieval by boiling in sodium citrate buffer (pH6.0) for 15 min; Antibody incubation with SDHB Monoclonal Antibody, Unconjugated(bsm-54180R) at 1:200 overnight at 4°C, followed by conjugation to the bs-0295G-HRP and DAB (C-0010) staining.
Paraformaldehyde-fixed, paraffin embedded Human Colon; Antigen retrieval by boiling in sodium citrate buffer (pH6.0) for 15 min; Antibody incubation with SDHB Monoclonal Antibody, Unconjugated(bsm-54180R) at 1:200 overnight at 4°C, followed by conjugation to the bs-0295G-HRP and DAB (C-0010) staining.
Paraformaldehyde-fixed, paraffin embedded Rat Colon; Antigen retrieval by boiling in sodium citrate buffer (pH6.0) for 15 min; Antibody incubation with SDHB Monoclonal Antibody, Unconjugated(bsm-54180R) at 1:200 overnight at 4°C, followed by conjugation to the bs-0295G-HRP and DAB (C-0010) staining.
Paraformaldehyde-fixed, paraffin embedded Mouse Colon; Antigen retrieval by boiling in sodium citrate buffer (pH6.0) for 15 min; Antibody incubation with SDHB Monoclonal Antibody, Unconjugated(bsm-54180R) at 1:200 overnight at 4°C, followed by conjugation to the bs-0295G-HRP and DAB (C-0010) staining.
Paraformaldehyde-fixed, paraffin embedded Human Liver Cancer; Antigen retrieval by boiling in sodium citrate buffer (pH6.0) for 15 min; Antibody incubation with SDHB Monoclonal Antibody, Unconjugated(bsm-54180R) at 1:200 overnight at 4°C, followed by conjugation to the bs-0295G-HRP and DAB (C-0010) staining.
Paraformaldehyde-fixed, paraffin embedded Human Liver; Antigen retrieval by boiling in sodium citrate buffer (pH6.0) for 15 min; Antibody incubation with SDHB Monoclonal Antibody, Unconjugated(bsm-54180R) at 1:200 overnight at 4°C, followed by conjugation to the bs-0295G-HRP and DAB (C-0010) staining.
Paraformaldehyde-fixed, paraffin embedded Rat Liver; Antigen retrieval by boiling in sodium citrate buffer (pH6.0) for 15 min; Antibody incubation with SDHB Monoclonal Antibody, Unconjugated(bsm-54180R) at 1:200 overnight at 4°C, followed by conjugation to the bs-0295G-HRP and DAB (C-0010) staining.
Paraformaldehyde-fixed, paraffin embedded Mouse Liver; Antigen retrieval by boiling in sodium citrate buffer (pH6.0) for 15 min; Antibody incubation with SDHB Monoclonal Antibody, Unconjugated(bsm-54180R) at 1:200 overnight at 4°C, followed by conjugation to the bs-0295G-HRP and DAB (C-0010) staining.
4% Paraformaldehyde-fixed HepG2 (H) cell; Triton X-100 at r.t. for 20 min; Antibody incubation with (SDHB) monoclonal Antibody, unconjugated (bsm-54180R) 1:100, 90 min at 37°C; followed by conjugated Goat Anti-Rabbit IgG antibody (green, bs-60295G-BF488) at 37°C for 90 min, DAPI (blue, C02-04002) was used to stain the cell nuclei. PBS instead of the primary antibody was used as the blank control.
The HepG2 (H) cells were fixed with 4% PFA (10 min at r.t.) and then permeabilized with 90% ice-cold methanol for 20 min at -20℃,the cells then were incubated in 5%BSA to block non-specific protein-protein interactions (30 min at r.t.).Primary Antibody (green):Rabbit Anti-SDHB antibody (bsm-54180R,1:100); Secondary Antibody (white blue): Goat anti-Rabbit IgG-BF488 (bs-60295G-BF488): 1 μg/test. Isotype Control (orange): Rabbit IgG (bs-0295P). Blank control (black): PBS. Acquisition of 20,000 events was performed.
版权所有 2004-2026 www.bioss.com.cn 北京博奥森生物技术有限公司
通过国际质量管理体系ISO 9001:2015 GB/T 19001-2016    证书编号: 00124Q34771R2M/1100
通过国际医疗器械-质量管理体系ISO 13485:2016 GB/T 42061-2022     证书编号: CQC24QY20047R0M/1100
京ICP备05066980号-1         京公网安备110107000727号