扫码关注公众号           扫码咨询技术支持           扫码咨询技术服务
  
客服热线:400-901-9800  客服QQ:4009019800  技术答疑  技术支持  质量反馈  关于我们  联系我们
产品中心-北京博奥森生物技术有限公司
首页 > 产品中心 > 一抗 > 产品信息
CCR7 Rabbit pAb (bs-24820R)  
订购热线:400-901-9800
订购邮箱:sales@bioss.com.cn
订购QQ:  400-901-9800
技术支持:techsupport@bioss.com.cn
50ul/1180.00元
100ul/1980.00元
200ul/2800.00元
大包装/询价

产品编号 bs-24820R
英文名称 CCR7 Rabbit pAb
中文名称 细胞表面趋化因子受体7(CD197)抗体
别    名 CCR7_HUMAN; BLR 2; BLR2; C C chemokine receptor type 7; C C CKR 7; CC chemokine receptor 7; CC chemokine receptor type 7; CC CKR 7; CCCKR7; CCR 7; CD 197; CD197; CD197 antigen; CDW197; Chemokine C C motif receptor 7; Chemokine C C receptor 7; Chemokine receptor 7-like protein; EBI 1; EBI1; Ebi1h; EBV Induced G Protein Coupled Receptor 1; Epstein Barr virus induced G protein coupled receptor; Epstein Barr virus induced gene 1; EVI 1; EVI1; Lymphocyte Specific G Protein Coupled Peptide Receptor; MGC108519; MIP 3 beta receptor; MIP3 beta Receptor.  
研究领域 免疫学  信号转导  G蛋白偶联受体  G蛋白信号  
抗体来源 Rabbit
克隆类型 Polyclonal
克 隆 号
交叉反应 Rat (predicted: Human,Mouse,Cow)
产品应用 IHC-P=1:400-800,IHC-F=1:400-800,IF=1:100-500
not yet tested in other applications.
optimal dilutions/concentrations should be determined by the end user.
理论分子量 42 kDa
检测分子量
细胞定位 细胞膜 
性    状 Liquid
浓    度 1mg/ml
免 疫 原 KLH conjugated synthetic peptide derived from human CCR7: 1-100/387 <Extracellular>
亚    型 IgG
纯化方法 affinity purified by Protein A
缓 冲 液 0.01M TBS (pH7.4) with 1% BSA, 0.02% Proclin300 and 50% Glycerol.
保存条件 Shipped at 4℃. Store at -20℃ for one year. Avoid repeated freeze/thaw cycles.
注意事项 This product as supplied is intended for research use only, not for use in human, therapeutic or diagnostic applications.
PubMed PubMed
产品介绍 The protein encoded by this gene is a member of the G protein-coupled receptor family. This receptor was identified as a gene induced by the Epstein-Barr virus (EBV), and is thought to be a mediator of EBV effects on B lymphocytes. This receptor is expressed in various lymphoid tissues and activates B and T lymphocytes. It has been shown to control the migration of memory T cells to inflamed tissues, as well as stimulate dendritic cell maturation. The chemokine (C-C motif) ligand 19 (CCL19/ECL) has been reported to be a specific ligand of this receptor. [provided by RefSeq, Jul 2008]

Function:
Receptor for the MIP-3-beta chemokine. Probable mediator of EBV effects on B-lymphocytes or of normal lymphocyte functions.

Subcellular Location:
Cell membrane; Multi-pass membrane protein.

Tissue Specificity:
Expressed in various lymphoid tissues and activated B- and T-lymphocytes, strongly up-regulated in B-cells infected with Epstein-Barr virus and T-cells infected with herpesvirus 6 or 7.

Similarity:
Belongs to the G-protein coupled receptor 1 family.

SWISS:
P32248

Gene ID:
1236

Database links:

Entrez Gene: 1236 Human

Entrez Gene: 12775 Mouse

Entrez Gene: 287673 Rat

Omim: 600242 Human

SwissProt: P32248 Human

SwissProt: P47774 Mouse

Unigene: 370036 Human

Unigene: 2932 Mouse

Unigene: 229736 Rat



趋化因子是当今细胞因子研究领域的热点之一,它参与多种免疫及炎症反应,在感染、肿瘤的生长与转移、组织修复及创伤愈合等病理生理过程中发挥重要作用.CCR7在肿瘤的生长与转移方面起到一定的作用.
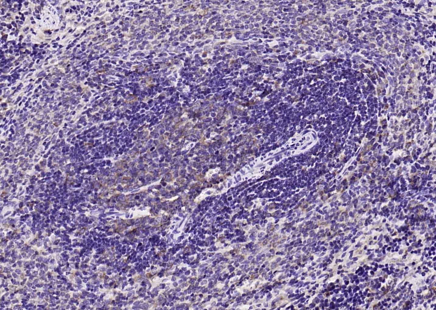
产品图片
Paraformaldehyde-fixed, paraffin embedded (rat thymus); Antigen retrieval by boiling in sodium citrate buffer (pH6.0) for 15min; Block endogenous peroxidase by 3% hydrogen peroxide for 20 minutes; Blocking buffer (normal goat serum) at 37°C for 30min; Antibody incubation with (CCR7) Polyclonal Antibody, Unconjugated (bs-24820R) at 1:200 overnight at 4°C, followed by operating according to SP Kit(Rabbit) (sp-0023) instructionsand DAB staining.
Paraformaldehyde-fixed, paraffin embedded (rat spleen); Antigen retrieval by boiling in sodium citrate buffer (pH6.0) for 15min; Block endogenous peroxidase by 3% hydrogen peroxide for 20 minutes; Blocking buffer (normal goat serum) at 37°C for 30min; Antibody incubation with (CCR7) Polyclonal Antibody, Unconjugated (bs-24820R) at 1:200 overnight at 4°C, followed by operating according to SP Kit(Rabbit) (sp-0023) instructionsand DAB staining.
Paraformaldehyde-fixed, paraffin embedded (rat lymphoid ); Antigen retrieval by boiling in sodium citrate buffer (pH6.0) for 15min; Block endogenous peroxidase by 3% hydrogen peroxide for 20 minutes; Blocking buffer (normal goat serum) at 37°C for 30min; Antibody incubation with (CCR7) Polyclonal Antibody, Unconjugated (bs-24820R) at 1:200 overnight at 4°C, followed by operating according to SP Kit(Rabbit) (sp-0023) instructionsand DAB staining.
版权所有 2004-2026 www.bioss.com.cn 北京博奥森生物技术有限公司
通过国际质量管理体系ISO 9001:2015 GB/T 19001-2016    证书编号: 00124Q34771R2M/1100
通过国际医疗器械-质量管理体系ISO 13485:2016 GB/T 42061-2022     证书编号: CQC24QY20047R0M/1100
京ICP备05066980号-1         京公网安备110107000727号