扫码关注公众号           扫码咨询技术支持           扫码咨询技术服务
  
客服热线:400-901-9800  客服QQ:4009019800  技术答疑  技术支持  质量反馈  关于我们  联系我们
产品中心-北京博奥森生物技术有限公司
首页 > 产品中心 > 一抗 > 产品信息
MBP Rabbit pAb (bs-24827R)  
订购热线:400-901-9800
订购邮箱:sales@bioss.com.cn
订购QQ:  400-901-9800
技术支持:techsupport@bioss.com.cn
50ul/1180.00元
100ul/1980.00元
200ul/2800.00元
大包装/询价

产品编号 bs-24827R
英文名称 MBP Rabbit pAb
中文名称 髓鞘碱性蛋白/磷脂碱性蛋白抗体
别    名 Myelin Basic Protein; Myelin basic protien; GDB; Golli MBP; Hemopoietic MBP; HMBPR; HUGO; MBP; MGC99675; MLD; Myelin A1 Protein; Myelin Deficient; Myelin Membrane Encephalitogenic Protein; SHI; Shiverer; SP; MBP_HUMAN .  
研究领域 神经生物学  生长因子和激素  激酶和磷酸酶  
抗体来源 Rabbit
克隆类型 Polyclonal
克 隆 号
交叉反应 Human,Mouse,Rat (predicted: Rabbit,Pig,Sheep,Cow,Dog,Horse)
产品应用 WB=1:1000-5000,IHC-P=1:500-2000,IHC-F=1:500-2000,IF=1:500-2000
not yet tested in other applications.
optimal dilutions/concentrations should be determined by the end user.
理论分子量 33 kDa
检测分子量
细胞定位 细胞核 细胞膜 
性    状 Liquid
浓    度 1mg/ml
免 疫 原 KLH conjugated synthetic peptide derived from human MBP: 241-304/304 
亚    型 IgG
纯化方法 affinity purified by Protein A
缓 冲 液 0.01M TBS (pH7.4) with 1% BSA, 0.02% Proclin300 and 50% Glycerol.
保存条件 Shipped at 4℃. Store at -20℃ for one year. Avoid repeated freeze/thaw cycles.
注意事项 This product as supplied is intended for research use only, not for use in human, therapeutic or diagnostic applications.
PubMed PubMed
产品介绍 The classic group of Myelin basic protein (MBP) isoforms (isoforms 4 to 14) are with PLP the most abundant protein components of the myelin membrane in the CNS. They have a role in both its formation and stabilization. The smaller isoforms might have an important role in remyelination of denuded axons in multiple sclerosis. The non classic group of MBP isoforms (isoforms 1 to 3/Golli MBPs) may preferentially have a role in the early developing brain long before myelination, maybe as components of transcriptional complexes, and may also be involved in signaling pathways in T cells and neural cells. Differential splicing events combined to optional posttranslational modifications give a wide spectrum of isomers, each of them having maybe a specialized function.

Function:
The classic group of MBP isoforms (isoform 4-isoform 14) are with PLP the most abundant protein components of the myelin membrane in the CNS. They have a role in both its formation and stabilization. The smaller isoforms might have an important role in remyelination of denuded axons in multiple sclerosis. The non-classic group of MBP isoforms (isoform 1-isoform 3/Golli-MBPs) may preferentially have a role in the early developing brain long before myelination, maybe as components of transcriptional complexes, and may also be involved in signaling pathways in T-cells and neural cells. Differential splicing events combined with optional post-translational modifications give a wide spectrum of isomers, with each of them potentially having a specialized function. Induces T-cell proliferation.

Subunit:
Homodimer. Isoform 3 exists as a homodimer.

Subcellular Location:
Myelin membrane; Peripheral membrane protein; Cytoplasmic side. Note=Cytoplasmic side of myelin.

Tissue Specificity:
MBP isoforms are found in both the central and the peripheral nervous system, whereas Golli-MBP isoforms are expressed in fetal thymus, spleen and spinal cord, as well as in cell lines derived from the immune system.

Post-translational modifications:
Several charge isomers of MBP; C1 (the most cationic, least modified, and most abundant form), C2, C3, C4, C5, C6, C7, C8-A and C8-B (the least cationic form); are produced as a result of optional PTM, such as phosphorylation, deamidation of glutamine or asparagine, arginine citrullination and methylation. C8-A and C8-B contain each two mass isoforms termed C8-A(H), C8-A(L), C8-B(H) and C8-B(L), (H) standing for higher and (L) for lower molecular weight. C3, C4 and C5 are phosphorylated. The ratio of methylated arginine residues decreases during aging, making the protein more cationic.
The N-terminal alanine is acetylated (isoform 3, isoform 4, isoform 5 and isoform 6).
Arg-241 was found to be 6% monomethylated and 60% symmetrically dimethylated.
Phosphorylated by TAOK2, VRK2, MAPK11, MAPK12, MAPK14 and MINK1.

Similarity:
Belongs to the myelin basic protein family.

SWISS:
P02686

Gene ID:
4155

Database links:

Gene ID: 100731253 Guinea pig

Entrez Gene: 4155 Human

Entrez Gene: 17196 Mouse

Entrez Gene: 414286 Pig

Entrez Gene: 24547 Rat

Omim: 159430 Human

SwissProt: P02686 Human

SwissProt: P04370 Mouse

SwissProt: P81558 Pig

SwissProt: P25274 Rabbit

SwissProt: P02688 Rat

Unigene: 551713 Human

Unigene: 63285 Rat



神经生物学相关蛋白(Neurobiology)

少突胶质细胞标志物
主要用于脊髓脱髓鞘病-脊髓多发硬化症的研究。
MBP髓鞘碱性蛋白和髓鞘相伴糖蛋白是多发性硬化的自身免疫攻击的靶。
Myelin basic protein (MPB) :Oligodendrocyte Protein produced by mature oligodendrocytes; located in the myelin sheath surrounding neuronal structures 髓磷脂Myelin/oligodendrocyte specific protein (MOSP)是由中枢神经系统中少突胶质细胞和外周神经系统中雪旺氏细胞产生特殊蛋白质。是形成髓鞘的主要成分,对于引导神经冲动的传递起着致关重要的作用。 多年来,关于髓鞘的形成机理和与其相关的一些先天性疾病的发病机制一直是众多科学家关注的重点。如:多重硬化症和脑白质营养不良等,都与神经系统的去髓鞘化相关。
产品图片
Sample: Lane 1: Mouse Cerebrum tissue lysates Lane 2: Rat Cerebrum tissue lysates Lane 3: Rat Cerebellum tissue lysates Primary: Anti-MBP (bs-24827R) at 1/1000 dilution Secondary: IRDye800CW Goat Anti-Rabbit IgG at 1/20000 dilution Predicted band size: 33 kDa Observed band size: 14-21 kDa
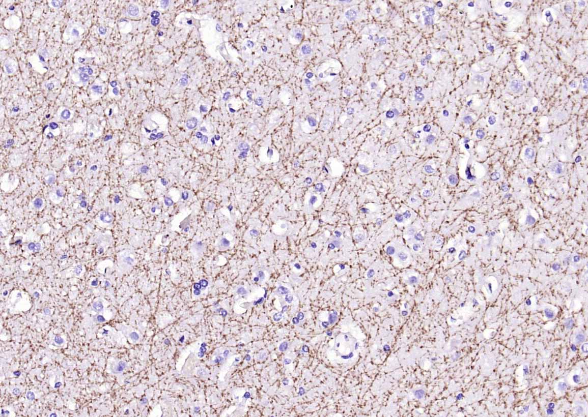
Paraformaldehyde-fixed, paraffin embedded (mouse brain); Antigen retrieval by boiling in sodium citrate buffer (pH6.0) for 15min; Block endogenous peroxidase by 3% hydrogen peroxide for 20 minutes; Blocking buffer (normal goat serum) at 37°C for 30min; Antibody incubation with (MBP) Polyclonal Antibody, Unconjugated (bs-24827R) at 1:200 overnight at 4°C, followed by operating according to SP Kit(Rabbit) (sp-0023) instructionsand DAB staining.
Paraformaldehyde-fixed, paraffin embedded Human Cerebrum; Antigen retrieval by boiling in sodium citrate buffer (pH6.0) for 15 min; The section was incubated with MBP Polyclonal Antibody, Unconjugated (bs-24827R) at 1:1500 overnight at 4°C, followed by conjugation to the bs-0295G-HRP and DAB (C-0010) staining.
Paraformaldehyde-fixed, paraffin embedded Human Cerebellum; Antigen retrieval by boiling in sodium citrate buffer (pH6.0) for 15 min; The section was incubated with MBP Polyclonal Antibody, Unconjugated (bs-24827R) at 1:1500 overnight at 4°C, followed by conjugation to the bs-0295G-HRP and DAB (C-0010) staining.
Paraformaldehyde-fixed, paraffin embedded Rat Cerebellum; Antigen retrieval by boiling in sodium citrate buffer (pH6.0) for 15 min; The section was incubated with MBP Polyclonal Antibody, Unconjugated (bs-24827R) at 1:1500 overnight at 4°C, followed by conjugation to the bs-0295G-HRP and DAB (C-0010) staining.
Paraformaldehyde-fixed, paraffin embedded Mouse Cerebellum; Antigen retrieval by boiling in sodium citrate buffer (pH6.0) for 15 min; The section was incubated with MBP Polyclonal Antibody, Unconjugated (bs-24827R) at 1:1500 overnight at 4°C, followed by conjugation to the bs-0295G-HRP and DAB (C-0010) staining.
Paraformaldehyde-fixed, paraffin embedded (rat brain); Antigen retrieval by boiling in sodium citrate buffer (pH6.0) for 15min; Block endogenous peroxidase by 3% hydrogen peroxide for 20 minutes; Blocking buffer (normal goat serum) at 37°C for 30min; Antibody incubation with (MBP) Polyclonal Antibody, Unconjugated (bs-24827R) at 1:200 overnight at 4°C, followed by operating according to SP Kit(Rabbit) (sp-0023) instructionsand DAB staining.
Paraformaldehyde-fixed, paraffin embedded Mouse Cerebellum; Antigen retrieval by boiling in sodium citrate buffer (pH6.0) for 15 min; Antibody incubation with MBP Polyclonal Antibody, Unconjugated (bs-24827R) at 1:200 overnight at 4°C. Followed by conjugated Goat Anti-Rabbit IgG antibody (Purple, bs-0295D-Cy5), DAPI (blue, C02-04002) was used to stain the cell nuclei.
Paraformaldehyde-fixed, paraffin embedded Mouse Cerebrum; Antigen retrieval by boiling in sodium citrate buffer (pH6.0) for 15 min; Antibody incubation with MBP Polyclonal Antibody, Unconjugated (bs-24827R) at 1:200 overnight at 4°C. Followed by conjugated Goat Anti-Rabbit IgG antibody (Purple, bs-0295D-Cy5), DAPI (blue, C02-04002) was used to stain the cell nuclei.
Paraformaldehyde-fixed, paraffin embedded Human Left Parietal Lobe; Antigen retrieval by boiling in sodium citrate buffer (pH6.0) for 15 min; Antibody incubation with MBP Polyclonal Antibody, Unconjugated (bs-24827R) at 1:200 overnight at 4°C. Followed by conjugated Goat Anti-Rabbit IgG antibody (Purple, bs-0295D-Cy5), DAPI (blue, C02-04002) was used to stain the cell nuclei.
Paraformaldehyde-fixed, paraffin embedded Human Cerebellum; Antigen retrieval by boiling in sodium citrate buffer (pH6.0) for 15 min; Antibody incubation with MBP Polyclonal Antibody, Unconjugated (bs-24827R) at 1:200 overnight at 4°C. Followed by conjugated Goat Anti-Rabbit IgG antibody (Purple, bs-0295D-Cy5), DAPI (blue, C02-04002) was used to stain the cell nuclei.
Paraformaldehyde-fixed, paraffin embedded Rat Cerebellum; Antigen retrieval by boiling in sodium citrate buffer (pH6.0) for 15 min; Antibody incubation with MBP Polyclonal Antibody, Unconjugated (bs-24827R) at 1:200 overnight at 4°C. Followed by conjugated Goat Anti-Rabbit IgG antibody (Purple, bs-0295D-Cy5), DAPI (blue, C02-04002) was used to stain the cell nuclei.
Paraformaldehyde-fixed, paraffin embedded (human brain); Antigen retrieval by boiling in sodium citrate buffer (pH6.0) for 15min; Blocking buffer (normal goat serum) at 37°C for 30min; Antibody incubation with (MBP) Polyclonal Antibody, Unconjugated (bs-24827R) at 1:200 overnight at 4°C, followed by a conjugated Goat Anti-Rabbit IgG antibody (bs-0295G-AF488) for 90 minutes, and DAPI for nuclei staining.
Paraformaldehyde-fixed, paraffin embedded (rat brain); Antigen retrieval by boiling in sodium citrate buffer (pH6.0) for 15min; Blocking buffer (normal goat serum) at 37°C for 30min; Antibody incubation with (MBP) Polyclonal Antibody, Unconjugated (bs-24827R) at 1:200 overnight at 4°C, followed by a conjugated Goat Anti-Rabbit IgG antibody (bs-0295G-AF488) for 90 minutes, and DAPI for nuclei staining.
版权所有 2004-2026 www.bioss.com.cn 北京博奥森生物技术有限公司
通过国际质量管理体系ISO 9001:2015 GB/T 19001-2016    证书编号: 00124Q34771R2M/1100
通过国际医疗器械-质量管理体系ISO 13485:2016 GB/T 42061-2022     证书编号: CQC24QY20047R0M/1100
京ICP备05066980号-1         京公网安备110107000727号