扫码关注公众号           扫码咨询技术支持           扫码咨询技术服务
  
客服热线:400-901-9800  客服QQ:4009019800  技术答疑  技术支持  质量反馈  关于我们  联系我们
产品中心-北京博奥森生物技术有限公司
首页 > 产品中心 > 一抗 > 产品信息
GCDFP15 Recombinant Rabbit mAb (bsm-54667R)  
订购热线:400-901-9800
订购邮箱:sales@bioss.com.cn
订购QQ:  400-901-9800
技术支持:techsupport@bioss.com.cn
25ul/800.00元
50ul/1400.00元
100ul/2500.00元
大包装/询价

产品编号 bsm-54667R
英文名称 GCDFP15 Recombinant Rabbit mAb
中文名称 囊性组织液体蛋白15重组兔单抗
别    名 PIP_HUMAN; PIP; Prolactin-inducible protein; Gross cystic disease fluid protein 15(GCDFP-15); Prolactin-induced protein; Secretory actin-binding protein(SABP); gp17; GCDFP15; GPIP4; BRST-2;  
研究领域 肿瘤  细胞生物  免疫学  
抗体来源 Rabbit
克隆类型 Recombinant
克 隆 号
交叉反应 Human
产品应用 WB=1:500-2000,IHC-P=1:100-500,IHC-F=1:100-500,IF=1:100-500
not yet tested in other applications.
optimal dilutions/concentrations should be determined by the end user.
理论分子量 13.5 kDa
检测分子量
细胞定位 分泌型蛋白 
性    状 Liquid
浓    度 1mg/ml
免 疫 原 KLH conjugated synthetic peptide derived from human GCDFP15 
亚    型 IgG
纯化方法 affinity purified by Protein A
缓 冲 液 0.01M TBS (pH7.4) with 1% BSA, 0.02% Proclin300 and 50% Glycerol.
保存条件 Shipped at 4℃. Store at -20℃ for one year. Avoid repeated freeze/thaw cycles.
注意事项 This product as supplied is intended for research use only, not for use in human, therapeutic or diagnostic applications.
PubMed PubMed
产品介绍 Gross cystic disease is a common premenopausal disorder in which gross cysts are the predominant pathologic lesion. It is characterized by production of a fluid secretion which accumulates in the breast cysts. Gross cystic disease fluid is a pathologic secretion from breast composed of several glycoproteins, including a unique 15 kDa monomer protein, GCDFP 15. The cells within the body that produce GCDFP 15 appear to be restricted primarily to those with apocrine function. Studies have found GCDFP 15 to be a highly specific and sensitive marker for breast cancer.

Subunit:
Monomer. Interacts with AZGP1.

Subcellular Location:
Secreted.

Tissue Specificity:
Expressed in pathological conditions of the mammary gland and in several exocrine tissues, such as the lacrimal, salivary, and sweat glands.

Similarity:
Belongs to the PIP family.

SWISS:
P12273

Gene ID:
5304

Database links:

Entrez Gene: 5304 Human

SwissProt: P12273 Human



GCDFP15是一种15kDa的单链蛋白,常见于组织囊性病变的囊泡液中。GCDFP-15是一种高度特异和敏感的乳腺癌标志,可用于乳腺癌的鉴别诊断,与CK7和CK20联合使用,可以用于鉴别原发或继发乳腺外派杰氏病。
产品图片
25 ug total protein per lane of various lysates (see on figure) probed with GCDFP15 monoclonal antibody, unconjugated (bsm-54667R) at 1:1000 dilution and 4°C overnight incubation. Followed by conjugated secondary antibody incubation at r.t. for 60 min.
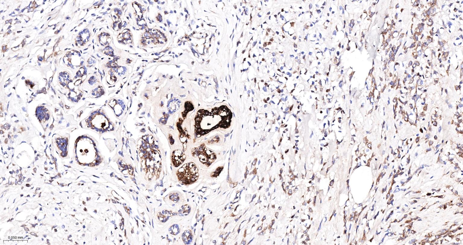
Paraformaldehyde-fixed, paraffin embedded Human Breast Cancer; Antigen retrieval by boiling in sodium citrate buffer (pH6.0) for 15 min; The section was incubated with GCDFP15 Monoclonal Antibody, Unconjugated (bsm-54667R) at 1:300 overnight at 4°C, followed by conjugation to the bs-0295G-HRP and DAB (C-0010) staining.
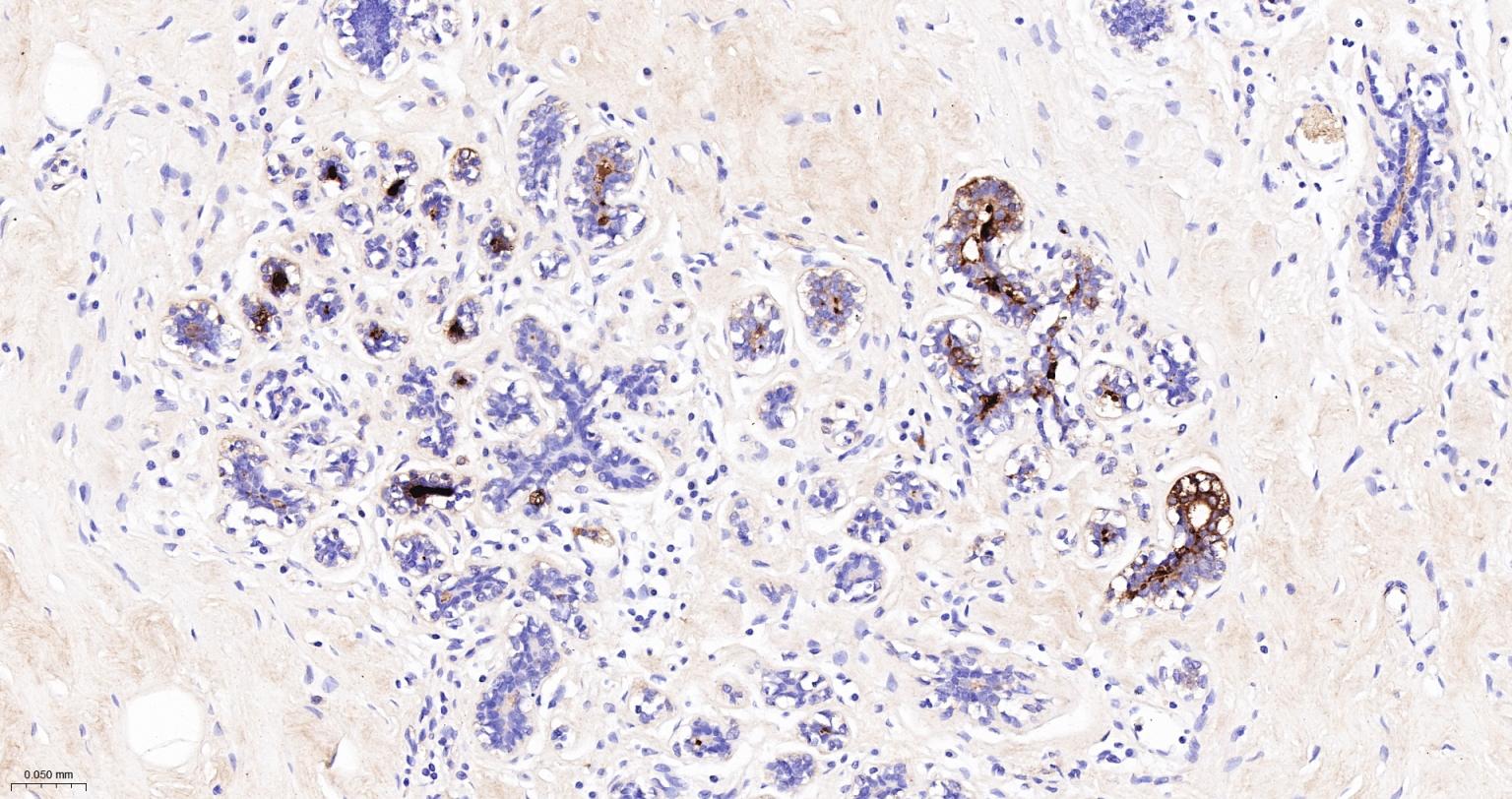
Paraformaldehyde-fixed, paraffin embedded Human Breast; Antigen retrieval by boiling in sodium citrate buffer (pH6.0) for 15 min; The section was incubated with GCDFP15 Monoclonal Antibody, Unconjugated (bsm-54667R) at 1:300 overnight at 4°C, followed by conjugation to the bs-0295G-HRP and DAB (C-0010) staining.
版权所有 2004-2026 www.bioss.com.cn 北京博奥森生物技术有限公司
通过国际质量管理体系ISO 9001:2015 GB/T 19001-2016    证书编号: 00124Q34771R2M/1100
通过国际医疗器械-质量管理体系ISO 13485:2016 GB/T 42061-2022     证书编号: CQC24QY20047R0M/1100
京ICP备05066980号-1         京公网安备110107000727号