扫码关注公众号           扫码咨询技术支持           扫码咨询技术服务
  
客服热线:400-901-9800  客服QQ:4009019800  技术答疑  技术支持  质量反馈  关于我们  联系我们
产品中心-北京博奥森生物技术有限公司
首页 > 产品中心 > 一抗 > 产品信息
ADRB2 Recombinant Rabbit mAb (bsm-52880R)  
订购热线:400-901-9800
订购邮箱:sales@bioss.com.cn
订购QQ:  400-901-9800
技术支持:techsupport@bioss.com.cn
25ul/800.00元
50ul/1400.00元
100ul/2500.00元
大包装/询价

产品编号 bsm-52880R
英文名称 ADRB2 Recombinant Rabbit mAb
中文名称 肾上腺素能受体β2重组兔单抗
别    名 beta 2-adrenergic receptor; beta 2 Adrenergic Receptor; ADRB2R; ADRBR; ADRB2_HUMAN; Adrenergic beta 2 receptor surface; B2AR; BAR; beta 2 adrenoreceptor; BETA2AR; Catecholamine receptor; beta2-adrenergic receptor.  
研究领域 肿瘤  细胞生物  神经生物学  细胞膜受体  
抗体来源 Rabbit
克隆类型 Recombinant
克 隆 号 7C1
交叉反应 Human,Mouse,Rat
产品应用 IHC-P=1:100-500,IHC-F=1:100-500,IF=1:100-500
not yet tested in other applications.
optimal dilutions/concentrations should be determined by the end user.
理论分子量 60 kDa
检测分子量
性    状 Liquid
浓    度 1mg/ml
免 疫 原 A synthesized peptide derived from human beta 2 Adrenergic receptor: 360-413/413 
亚    型 IgG
纯化方法 affinity purified by Protein A
缓 冲 液 0.01M TBS (pH7.4) with 1% BSA, 0.02% Proclin300 and 50% Glycerol.
保存条件 Shipped at 4℃. Store at -20℃ for one year. Avoid repeated freeze/thaw cycles.
注意事项 This product as supplied is intended for research use only, not for use in human, therapeutic or diagnostic applications.
PubMed PubMed
产品介绍 Beta 2 Adrenergic Receptor is a member of the G protein coupled receptor superfamily. This receptor is directly associated with one of its ultimate effectors, the class C L type calcium channel Ca(V)1.2. This receptor channel complex also contains a G protein, an adenylyl cyclase, cAMP dependent kinase, and the counterbalancing phosphatase, PP2A. The assembly of the signaling complex provides a mechanism that ensures specific and rapid signaling by this G protein coupled receptor. This gene contains no introns in either its coding or untranslated sequences. Different polymorphic forms, point mutations, and/or downregulation of this gene are associated with nocturnal asthma, obesity and type 2 diabetes. Expression of the beta 2 Adrenergic Receptor has been reported in adipose, blood, brain, heart, lung, nose, pancreas, skeletal muscle, skin, and vessel.

Function:
Beta-adrenergic receptors mediate the catecholamine-induced activation of adenylate cyclase through the action of G proteins. The beta-2-adrenergic receptor binds epinephrine with an approximately 30-fold greater affinity than it does norepinephrine.

Subunit:
Binds SLC9A3R1 and GPRASP1. Interacts with ARRB1 and ARRB2. Interacts with SRC, USP20 and USP33. Interacts with VHL; the interaction, which is increased on hydroxylation of ADRB2, ubiquitinates ADRB2 leading to its degradation. Interacts with EGLN3; the interaction hydroxylates ADRB2 facilitating VHL-E3 ligase-mediated ubiquitination.

Subcellular Location:
Cell membrane; Multi-pass membrane protein. Note=Colocalizes with VHL at the cell membrane.

Similarity:
Belongs to the G-protein coupled receptor 1 family.
Adrenergic receptor subfamily. ADRB2 sub-subfamily.

SWISS:
P07550

Gene ID:
154

产品图片
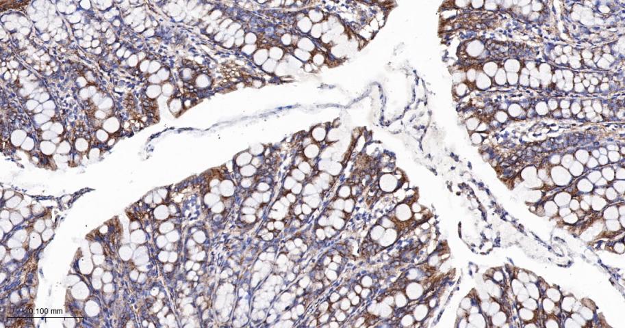
Paraformaldehyde-fixed, paraffin embedded Human Colon; Antigen retrieval by boiling in sodium citrate buffer (pH6.0) for 15 min; The section was incubated with ADRB2 Monoclonal Antibody, Unconjugated (bsm-52880R) at 1:200 overnight at 4°C, followed by conjugation to the bs-0295G-HRP and DAB (C-0010) staining.
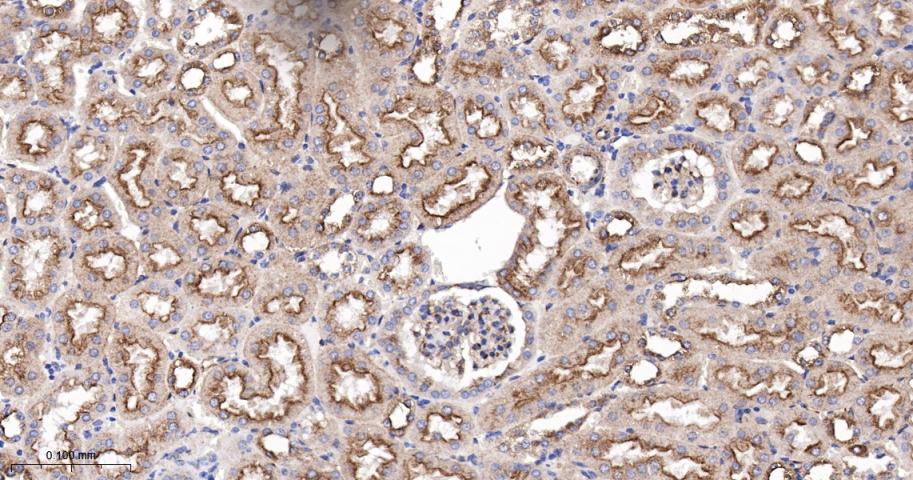
Paraformaldehyde-fixed, paraffin embedded Mouse Kidney; Antigen retrieval by boiling in sodium citrate buffer (pH6.0) for 15 min; The section was incubated with ADRB2 Monoclonal Antibody, Unconjugated (bsm-52880R) at 1:200 overnight at 4°C, followed by conjugation to the bs-0295G-HRP and DAB (C-0010) staining.
Paraformaldehyde-fixed, paraffin embedded Human Cerebrum; Antigen retrieval by boiling in sodium citrate buffer (pH6.0) for 15 min; Antibody incubation with ADRB2 Monoclonal Antibody, Unconjugated (bsm-52880R) at 1:200 overnight at 4°C, followed by conjugation to the bs-0295G-HRP and DAB (C-0010) staining.
Paraformaldehyde-fixed, paraffin embedded Rat Cerebrum; Antigen retrieval by boiling in sodium citrate buffer (pH6.0) for 15 min; Antibody incubation with ADRB2 Monoclonal Antibody, Unconjugated (bsm-52880R) at 1:200 overnight at 4°C, followed by conjugation to the bs-0295G-HRP and DAB (C-0010) staining.
Paraformaldehyde-fixed, paraffin embedded Mouse Cerebrum; Antigen retrieval by boiling in sodium citrate buffer (pH6.0) for 15 min; Antibody incubation with ADRB2 Monoclonal Antibody, Unconjugated (bsm-52880R) at 1:200 overnight at 4°C, followed by conjugation to the bs-0295G-HRP and DAB (C-0010) staining.
Paraformaldehyde-fixed, paraffin embedded Mouse Heart; Antigen retrieval by boiling in sodium citrate buffer (pH6.0) for 15 min; The section was incubated with ADRB2 Monoclonal Antibody, Unconjugated (bsm-52880R) at 1:200 overnight at 4°C, followed by conjugation to the bs-0295G-HRP and DAB (C-0010) staining.
Paraformaldehyde-fixed, paraffin embedded Rat Heart; Antigen retrieval by boiling in sodium citrate buffer (pH6.0) for 15 min; Antibody incubation with ADRB2 Monoclonal Antibody, Unconjugated (bsm-52880R) at 1:200 overnight at 4°C, followed by conjugation to the bs-0295G-HRP and DAB (C-0010) staining.
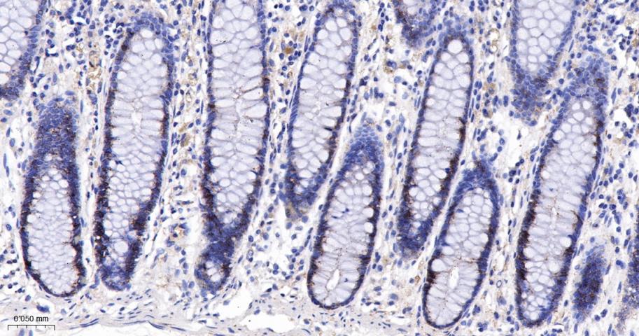
Paraformaldehyde-fixed, paraffin embedded Rat Colon; Antigen retrieval by boiling in sodium citrate buffer (pH6.0) for 15 min; Antibody incubation with ADRB2 Monoclonal Antibody, Unconjugated (bsm-52880R) at 1:200 overnight at 4°C, followed by conjugation to the bs-0295G-HRP and DAB (C-0010) staining.
Paraformaldehyde-fixed, paraffin embedded Mouse Colon; Antigen retrieval by boiling in sodium citrate buffer (pH6.0) for 15 min; Antibody incubation with ADRB2 Monoclonal Antibody, Unconjugated (bsm-52880R) at 1:200 overnight at 4°C, followed by conjugation to the bs-0295G-HRP and DAB (C-0010) staining.
版权所有 2004-2026 www.bioss.com.cn 北京博奥森生物技术有限公司
通过国际质量管理体系ISO 9001:2015 GB/T 19001-2016    证书编号: 00124Q34771R2M/1100
通过国际医疗器械-质量管理体系ISO 13485:2016 GB/T 42061-2022     证书编号: CQC24QY20047R0M/1100
京ICP备05066980号-1         京公网安备110107000727号