扫码关注公众号           扫码咨询技术支持           扫码咨询技术服务
  
客服热线:400-901-9800  客服QQ:4009019800  技术答疑  技术支持  质量反馈  关于我们  联系我们
产品中心-北京博奥森生物技术有限公司
首页 > 产品中心 > 一抗 > 产品信息
TGF beta Receptor I Mouse mAb (bsm-34104M)  
订购热线:400-901-9800
订购邮箱:sales@bioss.com.cn
订购QQ:  400-901-9800
技术支持:techsupport@bioss.com.cn
50ul/1180.00元
100ul/1980.00元
大包装/询价

产品编号 bsm-34104M
英文名称 TGF beta Receptor I Mouse mAb
中文名称 转移生长因子β受体1单克隆抗体
别    名 TGF-beta receptor type-1; TGFBR1; TGF beta R1; AAT 5; AAT5; Activin A receptor type II like kinase 53kDa; Activin receptor like kinase 5; ACVRLK 4; ACVRLK4; ALK 5; ALK5; Serine/threonine protein kinase receptor R4; SKR 4; SKR4; TbetaR I; TGF beta receptor type 1; TGF beta receptor type I; TGF beta type I receptor; TGFBR 1; TGFBR1 protein; TGFR 1; TGFR1; Transforming growth factor beta receptor I; TGFR1_HUMAN.  TGF-βRⅠ; TGFβRⅠ; TGF-βR Ⅰ; TGF-β RⅠ.
研究领域 肿瘤  神经生物学  信号转导  生长因子和激素  细胞膜受体  
抗体来源 Mouse
克隆类型 Monoclonal
克 隆 号 5A8
交叉反应 Human
产品应用 IHC-P=1:100-500,IHC-F=1:400-800,IF=1:100-500
not yet tested in other applications.
optimal dilutions/concentrations should be determined by the end user.
理论分子量 55 kDa
检测分子量
细胞定位 细胞膜 
性    状 Liquid
浓    度 1mg/ml
免 疫 原 KLH conjugated synthetic peptide derived from human TGF beta Receptor I  
亚    型 Mouse IgG2a, Kappa
纯化方法 affinity purified by Protein A
缓 冲 液 0.01M TBS (pH7.4) with 1% BSA, 0.02% Proclin300 and 50% Glycerol.
保存条件 Shipped at 4℃. Store at -20℃ for one year. Avoid repeated freeze/thaw cycles.
注意事项 This product as supplied is intended for research use only, not for use in human, therapeutic or diagnostic applications.
PubMed PubMed
产品介绍 The protein encoded by this gene forms a heteromeric complex with type II TGF-beta receptors when bound to TGF-beta, transducing the TGF-beta signal from the cell surface to the cytoplasm. The encoded protein is a serine/threonine protein kinase. Mutations in this gene have been associated with Loeys-Dietz aortic aneurysm syndrome (LDAS). Multiple transcript variants encoding different isoforms have been found for this gene. [provided by RefSeq, Aug 2008]

Function:
On ligand binding, forms a receptor complex consisting of two type II and two type I transmembrane serine/threonine kinases. Type II receptors phosphorylate and activate type I receptors which autophosphorylate, then bind and activate SMAD transcriptional regulators. Receptor for TGF-beta. Subunit : Homodimer; in the endoplasmic reticulum but also at the cell membrane. Heterohexamer; TGFB1, TGFB2 and TGFB3 homodimeric ligands assemble a functional receptor composed of two TGFBR1 and TGFBR2 heterodimers to form a ligand-receptor heterohexamer. The respective affinity of TGBRB1 and TGFBR2 for the ligands may modulate the kinetics of assembly of the receptor and may explain the different biological activities of TGFB1, TGFB2 and TGFB3. Interacts with CD109; inhibits TGF-beta receptor activation in keratinocytes. Interacts with RBPMS. Interacts (unphosphorylated) with FKBP1A; prevents TGFBR1 phosphorylation by TGFBR2 and stabilizes it in the inactive conformation. Interacts with SMAD2, SMAD3 and ZFYVE9; ZFYVE9 recruits SMAD2 and SMAD3 to the TGF-beta receptor. Interacts with TRAF6 and MAP3K7; induces MAP3K7 activation by TRAF6. Interacts with PARD6A; involved in TGF-beta induced epithelial to mesenchymal transition. Interacts with SMAD7, NEDD4L, SMURF1 and SMURF2; SMAD7 recruits NEDD4L, SMURF1 and SMURF2 to the TGF-beta receptor.

Subcellular Location:
Cell membrane; Single-pass type I membrane protein. Cell junction, tight junction.

Tissue Specificity:
Found in all tissues examined, most abundant in placenta and least abundant in brain and heart.

Post-translational modifications:
Phosphorylated at basal levels in the absence of ligand binding. Activated by multiple phosphorylation, mainly in the GS region.

Similarity:
Belongs to the protein kinase superfamily. TKL Ser/Thr protein kinase family. TGFB receptor subfamily.
Contains 1 GS domain.
Contains 1 protein kinase domain.

SWISS:
P36897

Gene ID:
7046

Database links:

Entrez Gene: 7046 Human

Entrez Gene: 21812 Mouse

Entrez Gene: 29591 Rat

Entrez Gene: 282382 Cow

Omim: 190181 Human

SwissProt: O46680 Cow

SwissProt: P36897 Human

SwissProt: Q64729 Mouse

SwissProt: P80204 Rat

Unigene: 494622 Human

Unigene: 197552 Mouse

Unigene: 44402 Rat




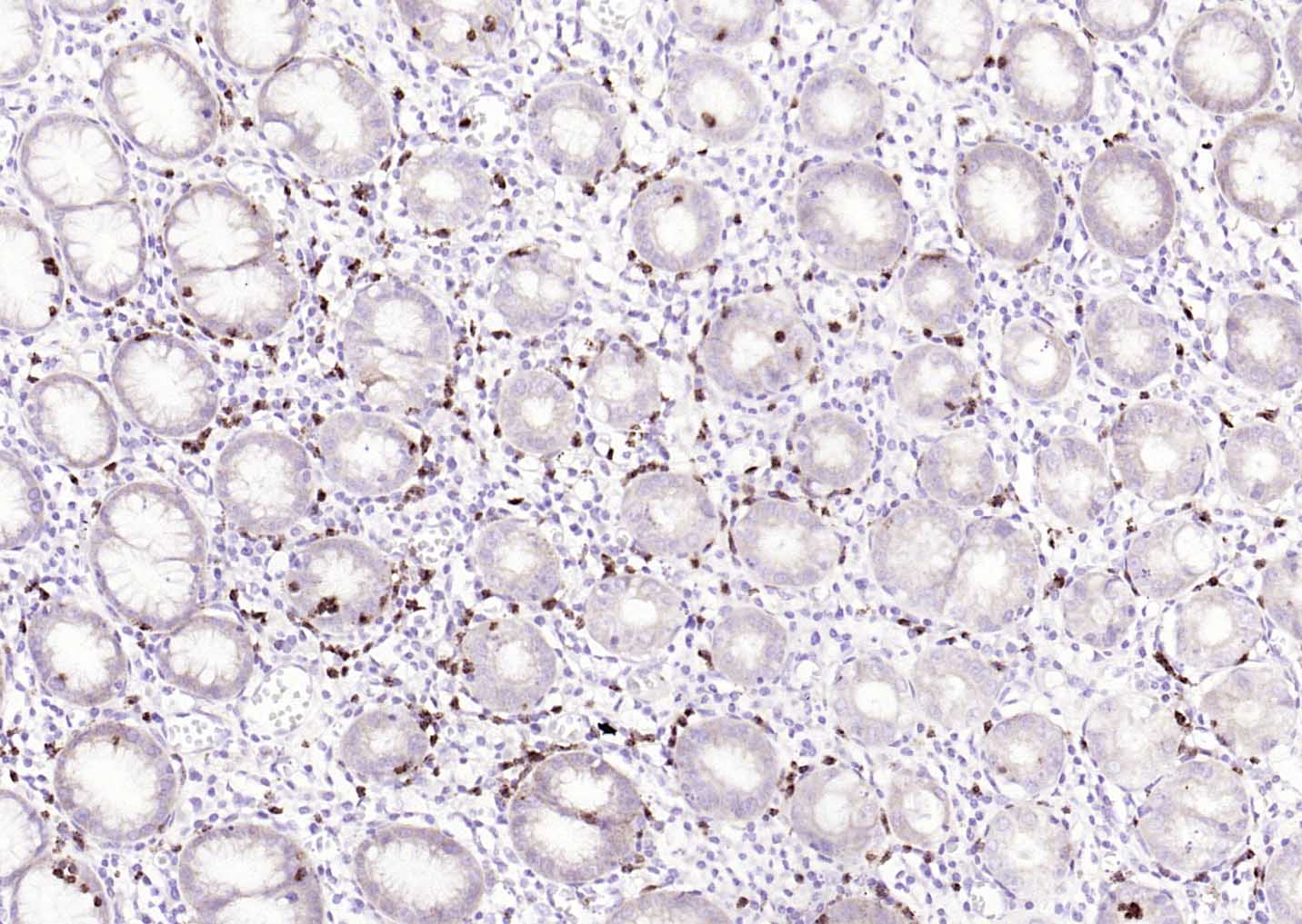
产品图片
Paraformaldehyde-fixed, paraffin embedded (human gastric carcinoma); Antigen retrieval by boiling in sodium citrate buffer (pH6.0) for 15min; Block endogenous peroxidase by 3% hydrogen peroxide for 20 minutes; Blocking buffer (normal goat serum) at 37°C for 30min; Antibody incubation with (TGF beta Receptor I) Monoclonal Antibody, Unconjugated (bsm-34104M) at 1:200 overnight at 4°C, followed by operating according to SP Kit(Mouse)(sp-0024) instructionsand DAB staining.
Paraformaldehyde-fixed, paraffin embedded (human gastric); Antigen retrieval by boiling in sodium citrate buffer (pH6.0) for 15min; Block endogenous peroxidase by 3% hydrogen peroxide for 20 minutes; Blocking buffer (normal goat serum) at 37°C for 30min; Antibody incubation with (TGF beta Receptor I) Monoclonal Antibody, Unconjugated (bsm-34104M) at 1:200 overnight at 4°C, followed by operating according to SP Kit(Mouse)(sp-0024) instructionsand DAB staining.
Paraformaldehyde-fixed, paraffin embedded (human colon carcinoma); Antigen retrieval by boiling in sodium citrate buffer (pH6.0) for 15min; Block endogenous peroxidase by 3% hydrogen peroxide for 20 minutes; Blocking buffer (normal goat serum) at 37°C for 30min; Antibody incubation with (TGF beta Receptor I) Monoclonal Antibody, Unconjugated (bsm-34104M) at 1:200 overnight at 4°C, followed by operating according to SP Kit(Mouse)(sp-0024) instructionsand DAB staining.
版权所有 2004-2026 www.bioss.com.cn 北京博奥森生物技术有限公司
通过国际质量管理体系ISO 9001:2015 GB/T 19001-2016    证书编号: 00124Q34771R2M/1100
通过国际医疗器械-质量管理体系ISO 13485:2016 GB/T 42061-2022     证书编号: CQC24QY20047R0M/1100
京ICP备05066980号-1         京公网安备110107000727号