扫码关注公众号           扫码咨询技术支持           扫码咨询技术服务
  
客服热线:400-901-9800  客服QQ:4009019800  技术答疑  技术支持  质量反馈  人才招聘  关于我们  联系我们
产品中心-北京博奥森生物技术有限公司
首页 > 产品中心 > 一抗 > 产品信息
Hsp90 alpha Recombinant Rabbit mAb (bsm-52353R)  
订购热线:400-901-9800
订购邮箱:sales@bioss.com.cn
订购QQ:  400-901-9800
技术支持:techsupport@bioss.com.cn
25ul/800.00元
50ul/1400.00元
100ul/2500.00元
大包装/询价

产品编号 bsm-52353R
英文名称 Hsp90 alpha Recombinant Rabbit mAb
中文名称 热休克蛋白90α重组兔单抗
别    名 EL52; HEL-S-65p; HSP86; HSP89A; HSP90A; HSP90N; HSPC1; HSPCA; HSPCAL1; HSPCAL4; HSPN; Hsp103; Hsp89; Hsp90; LAP-2; LAP2; 86kDa; 89kDa; Hsp86-1; hsp4; HS90A_HUMAN; HSP90AA1; Heat shock 86 kDa (HSP 86 | HSP86); Heat shock protein family C member 1; Lipopoly  
研究领域 肿瘤  信号转导  转录调节因子  
抗体来源 Rabbit
克隆类型 Recombinant
克 隆 号 2A1
交叉反应 Human,Mouse,Rat
产品应用 WB=1:1000-5000,IHC-P=1:200-500,IHC-F=1:200-500,IF=1:200-500,Flow-Cyt=1:50-100,ICC/IF=1:50-200
not yet tested in other applications.
optimal dilutions/concentrations should be determined by the end user.
理论分子量 85 kDa
检测分子量 86
细胞定位 细胞浆 细胞膜 
性    状 Liquid
浓    度 1mg/ml
免 疫 原 A synthesized peptide derived from human Hsp90 alpha: 1-52 
亚    型 IgG
纯化方法 affinity purified by Protein A
缓 冲 液 0.01M TBS (pH7.4) with 1% BSA, 0.02% Proclin300 and 50% Glycerol.
保存条件 Shipped at 4℃. Store at -20℃ for one year. Avoid repeated freeze/thaw cycles.
注意事项 This product as supplied is intended for research use only, not for use in human, therapeutic or diagnostic applications.
PubMed PubMed
产品介绍 Hsp90 (heat shock protein 90) is a molecular chaperone and is one of the most abundant proteins in unstressed cells. It is an ubiquitous molecular chaperone found in eubacteria and all branches of eukarya, but it is apparently absent in archaea. Whereas cytoplasmic Hsp90 is essential for viability under all conditions in eukaryotes, the bacterial homologue HtpG is dispensable under non-heat stress conditions.

Function:
Molecular chaperone that promotes the maturation, structural maintenance and proper regulation of specific target proteins involved for instance in cell cycle control and signal transduction. Undergoes a functional cycle that is linked to its ATPase activity. This cycle probably induces conformational changes in the client proteins, thereby causing their activation. Interacts dynamically with various co-chaperones that modulate its substrate recognition, ATPase cycle and chaperone function.

Subunit:
Homodimer. Interacts with AHSA1, FNIP1, HSF1, SMYD3 and TOM34. Interacts with TERT; the interaction, together with PTGES3, is required for correct assembly and stabilization of the TERT holoenzyme complex. Interacts with CHORDC1 and DNAJC7. Interacts with STUB1 and UBE2N; may couple the chaperone and ubiquitination systems.

Subcellular Location:
Cytoplasm. Melanosome. Note=Identified by mass spectrometry in melanosome fractions from stage I to stage IV.

Post-translational modifications:
ISGylated.
S-nitrosylated; negatively regulates the ATPase activity and the activation of eNOS by HSP90AA1.

Similarity:
Belongs to the heat shock protein 90 family.

SWISS:
P07900

Gene ID:
3320

Database links:

Entrez Gene: 3320 Human

Entrez Gene: 15519 Mouse

Entrez Gene: 299331 Rat

Omim: 140571 Human

SwissProt: P07900 Human

SwissProt: P07901 Mouse

SwissProt: P82995 Rat

Unigene: 525600 Human

Unigene: 700831 Human

Unigene: 1843 Mouse

Unigene: 341186 Mouse

Unigene: 119867 Rat



热休克蛋白-90α主要在类肌细胞、间质细胞、支持细胞核及生精细胞的胞浆表达; HSP-90 alpha与肿瘤的关系密切,在许多肿瘤细胞中HSP90α表达升高.
产品图片
25 ug total protein per lane of various lysates (see on figure) probed with Hsp90 alpha monoclonal antibody, unconjugated (bsm-52353R) at 1:2000 dilution and 4°C overnight incubation. Followed by conjugated secondary antibody incubation at r.t. for 60 min.
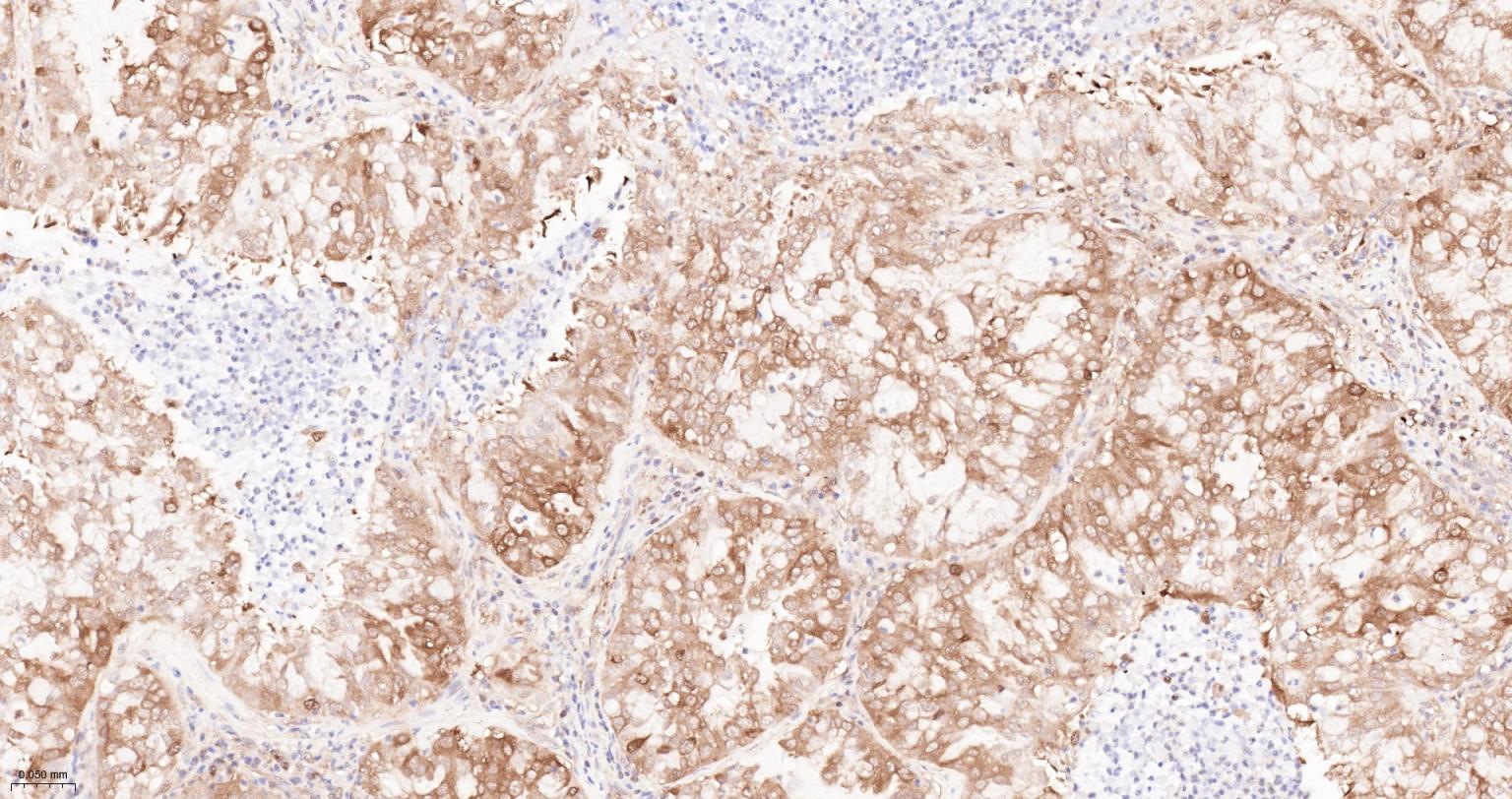
Paraformaldehyde-fixed, paraffin embedded Human Prostate Tumor; Antigen retrieval by boiling in sodium citrate buffer (pH6.0) for 15 min; Antibody incubation with Hsp90 alpha Monoclonal Antibody, Unconjugated(bsm-52353R) at 1:200 overnight at 4°C, followed by conjugation to the SP Kit (Rabbit, SP-0023) and DAB (C-0010) staining
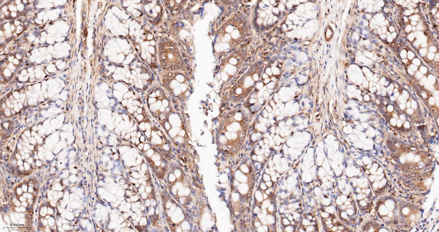
Paraformaldehyde-fixed, paraffin embedded Human Colon Cancer; Antigen retrieval by boiling in sodium citrate buffer (pH6.0) for 15 min; Antibody incubation with Hsp90 alpha Monoclonal Antibody, Unconjugated(bsm-52353R) at 1:200 overnight at 4°C, followed by conjugation to the SP Kit (Rabbit, SP-0023) and DAB (C-0010) staining.
Paraformaldehyde-fixed, paraffin embedded Human Lung Cancer; Antigen retrieval by boiling in sodium citrate buffer (pH6.0) for 15 min; Antibody incubation with Hsp90 alpha Monoclonal Antibody, Unconjugated(bsm-52353R) at 1:200 overnight at 4°C, followed by conjugation to the SP Kit (Rabbit, SP-0023) and DAB (C-0010) staining.
Paraformaldehyde-fixed, paraffin embedded Mouse Breast; Antigen retrieval by boiling in sodium citrate buffer (pH6.0) for 15 min; Antibody incubation with Hsp90 alpha Monoclonal Antibody, Unconjugated(bsm-52353R) at 1:200 overnight at 4°C, followed by conjugation to the SP Kit (Rabbit, SP-0023) and DAB (C-0010) staining.
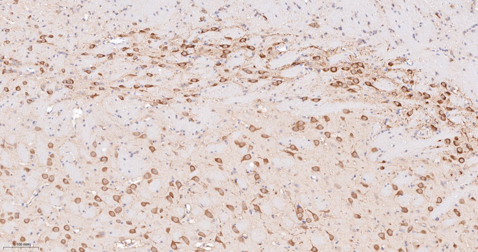
Paraformaldehyde-fixed, paraffin embedded Human Cerebrum; Antigen retrieval by boiling in sodium citrate buffer (pH6.0) for 15 min; Antibody incubation with Hsp90 alpha Monoclonal Antibody, Unconjugated(bsm-52353R) at 1:200 overnight at 4°C, followed by conjugation to the SP Kit (Rabbit, SP-0023) and DAB (C-0010) staining.
Paraformaldehyde-fixed, paraffin embedded Rat Cerebrum; Antigen retrieval by boiling in sodium citrate buffer (pH6.0) for 15 min; Antibody incubation with Hsp90 alpha Monoclonal Antibody, Unconjugated(bsm-52353R) at 1:200 overnight at 4°C, followed by conjugation to the SP Kit (Rabbit, SP-0023) and DAB (C-0010) staining.
Paraformaldehyde-fixed, paraffin embedded Mouse Cerebrum; Antigen retrieval by boiling in sodium citrate buffer (pH6.0) for 15 min; Antibody incubation with Hsp90 alpha Monoclonal Antibody, Unconjugated(bsm-52353R) at 1:200 overnight at 4°C, followed by conjugation to the SP Kit (Rabbit, SP-0023) and DAB (C-0010) staining.
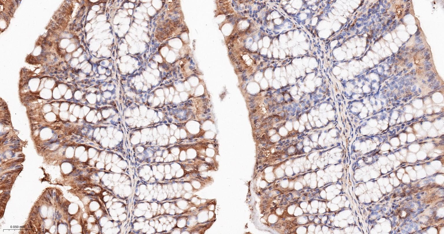
Paraformaldehyde-fixed, paraffin embedded Rat Colon; Antigen retrieval by boiling in sodium citrate buffer (pH6.0) for 15 min; Antibody incubation with Hsp90 alpha Monoclonal Antibody, Unconjugated(bsm-52353R) at 1:200 overnight at 4°C, followed by conjugation to the SP Kit (Rabbit, SP-0023) and DAB (C-0010) staining.
Paraformaldehyde-fixed, paraffin embedded Mouse Colon; Antigen retrieval by boiling in sodium citrate buffer (pH6.0) for 15 min; Antibody incubation with Hsp90 alpha Monoclonal Antibody, Unconjugated(bsm-52353R) at 1:200 overnight at 4°C, followed by conjugation to the SP Kit (Rabbit, SP-0023) and DAB (C-0010) staining.
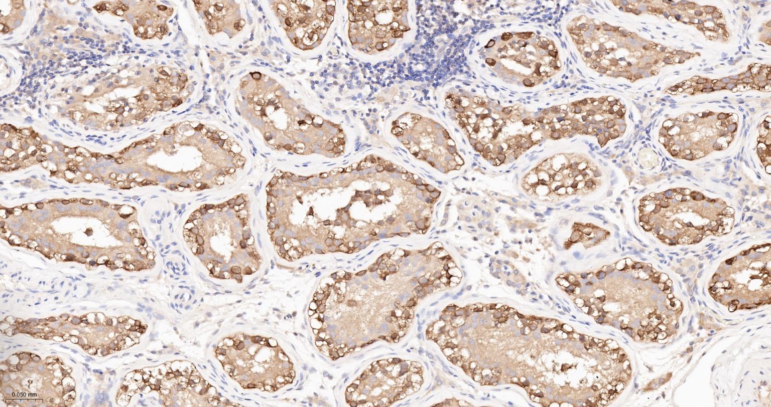
Paraformaldehyde-fixed, paraffin embedded Human Testicles; Antigen retrieval by boiling in sodium citrate buffer (pH6.0) for 15 min; Antibody incubation with Hsp90 alpha Monoclonal Antibody, Unconjugated(bsm-52353R) at 1:200 overnight at 4°C, followed by conjugation to the SP Kit (Rabbit, SP-0023) and DAB (C-0010) staining.
Paraformaldehyde-fixed, paraffin embedded Rat Testicles; Antigen retrieval by boiling in sodium citrate buffer (pH6.0) for 15 min; Antibody incubation with Hsp90 alpha Monoclonal Antibody, Unconjugated(bsm-52353R) at 1:200 overnight at 4°C, followed by conjugation to the SP Kit (Rabbit, SP-0023) and DAB (C-0010) staining.
Paraformaldehyde-fixed, paraffin embedded Mouse Testicles; Antigen retrieval by boiling in sodium citrate buffer (pH6.0) for 15 min; Antibody incubation with Hsp90 alpha Monoclonal Antibody, Unconjugated(bsm-52353R) at 1:200 overnight at 4°C, followed by conjugation to the SP Kit (Rabbit, SP-0023) and DAB (C-0010) staining.
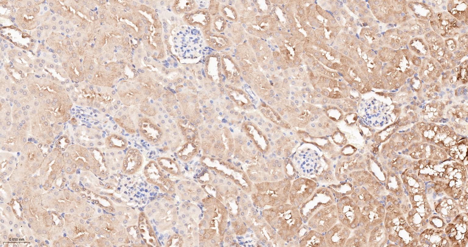
Paraformaldehyde-fixed, paraffin embedded Rat Kidney; Antigen retrieval by boiling in sodium citrate buffer (pH6.0) for 15 min; Antibody incubation with Hsp90 alpha Monoclonal Antibody, Unconjugated(bsm-52353R) at 1:200 overnight at 4°C, followed by conjugation to the SP Kit (Rabbit, SP-0023) and DAB (C-0010) staining.
Paraformaldehyde-fixed, paraffin embedded Mouse Kidney; Antigen retrieval by boiling in sodium citrate buffer (pH6.0) for 15 min; Antibody incubation with Hsp90 alpha Monoclonal Antibody, Unconjugated(bsm-52353R) at 1:200 overnight at 4°C, followed by conjugation to the SP Kit (Rabbit, SP-0023) and DAB (C-0010) staining.
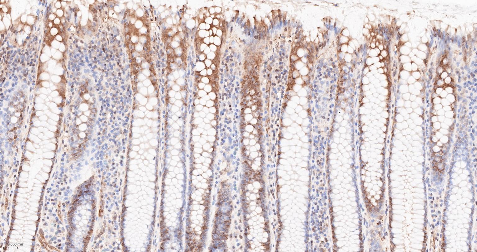
Paraformaldehyde-fixed, paraffin embedded Human Colon; Antigen retrieval by boiling in sodium citrate buffer (pH6.0) for 15 min; Antibody incubation with Hsp90 alpha Monoclonal Antibody, Unconjugated(bsm-52353R) at 1:200 overnight at 4°C, followed by conjugation to the SP Kit (Rabbit, SP-0023) and DAB (C-0010) staining.
4% Paraformaldehyde-fixed K562 (H) cell; Triton X-100 at r.t. for 20 min; Antibody incubation with (Hsp90 alpha) monoclonal Antibody, unconjugated (bsm-52353R) 1:100, 90 min at 37°C; followed by BF488 conjugated Goat Anti-Rabbit IgG antibody (green, bs-60295G-BF488) at 37°C for 90 min, DAPI (blue, C02-04002) was used to stain the cell nuclei. PBS instead of the primary antibody was used as the blank control.
4% Paraformaldehyde-fixed Jurkat (H) cell; Triton X-100 at r.t. for 20 min; Antibody incubation with (Hsp90 alpha) monoclonal Antibody, unconjugated (bsm-52353R) 1:100, 90 min at 37°C; followed by BF488 conjugated Goat Anti-Rabbit IgG antibody (green, bs-60295G-BF488) at 37°C for 90 min, DAPI (blue, C02-04002) was used to stain the cell nuclei. PBS instead of the primary antibody was used as the blank control.
The Jurkat (H) cells were fixed with 4% PFA (10 min at r.t.) and then permeabilized with 90% ice-cold methanol for 20 min at -20℃,the cells then were incubated in 5%BSA to block non-specific protein-protein interactions (30 min at r.t.), followed by secondary antibody incubation for 40 min at room temperature. Primary Antibody (green):Rabbit Anti-Hsp90 alpha antibody (bsm-52353R,1:100); Isotype Control (orange): Rabbit IgG (bs-0295P). Blank control (black): PBS. Acquisition of 20,000 events was performed.
The K562 (H) cells were fixed with 4% PFA (10 min at r.t.) and then permeabilized with 90% ice-cold methanol for 20 min at -20℃,the cells then were incubated in 5%BSA to block non-specific protein-protein interactions (30 min at r.t.), followed by secondary antibody incubation for 40 min at room temperature. Primary Antibody (green):Rabbit Anti-Hsp90 alpha antibody (bsm-52353R,1:100); Isotype Control (orange): Rabbit IgG (bs-0295P). Blank control (black): PBS. Acquisition of 20,000 events was performed.
版权所有 2004-2026 www.bioss.com.cn 北京博奥森生物技术有限公司
通过国际质量管理体系ISO 9001:2015 GB/T 19001-2016    证书编号: 00124Q34771R2M/1100
通过国际医疗器械-质量管理体系ISO 13485:2016 GB/T 42061-2022     证书编号: CQC24QY20047R0M/1100
京ICP备05066980号-1         京公网安备110107000727号