扫码关注公众号           扫码咨询技术支持           扫码咨询技术服务
  
客服热线:400-901-9800  客服QQ:4009019800  技术答疑  技术支持  质量反馈  人才招聘  关于我们  联系我们
产品中心-北京博奥森生物技术有限公司
首页 > 产品中心 > 一抗 > 产品信息
CD3E Recombinant Rabbit mAb (bsm-60002R)  
订购热线:400-901-9800
订购邮箱:sales@bioss.com.cn
订购QQ:  400-901-9800
技术支持:techsupport@bioss.com.cn
25ul/800.00元
50ul/1400.00元
100ul/2500.00元
大包装/询价

产品编号 bsm-60002R
英文名称 CD3E Recombinant Rabbit mAb
中文名称 CD3/CD3-ε重组兔单抗
别    名 CD3epsilon; IMD18; T3E; TCRE; CD3; CD3E_HUMAN; CD3E; T-cell surface antigen T3/Leu-4 epsilon chain; CD3E_MOUSE;   
研究领域 肿瘤  细胞生物  免疫学  干细胞  细胞膜受体  细胞表面分子  淋巴细胞  t-淋巴细胞  
抗体来源 Rabbit
克隆类型 Recombinant
克 隆 号 E9C3
交叉反应 Human,Mouse,Rat
产品应用 WB=1:1000-5000,IHC-P=1:500-2000,IHC-F=1:500-2000,IF=1:500-2000
not yet tested in other applications.
optimal dilutions/concentrations should be determined by the end user.
理论分子量 20 kDa
检测分子量 22
细胞定位 细胞膜 
性    状 Liquid
浓    度 1mg/ml
免 疫 原 KLH conjugated synthetic peptide derived from human CD3E 
亚    型 IgG
纯化方法 affinity purified by Protein A
缓 冲 液 0.01M TBS (pH7.4) with 1% BSA, 0.02% Proclin300 and 50% Glycerol.
保存条件 Shipped at 4℃. Store at -20℃ for one year. Avoid repeated freeze/thaw cycles.
注意事项 This product as supplied is intended for research use only, not for use in human, therapeutic or diagnostic applications.
PubMed PubMed
产品介绍 The protein encoded by this gene is the CD3-epsilon polypeptide, which together with CD3-gamma, -delta and -zeta, and the T-cell receptor alpha/beta and gamma/delta heterodimers, forms the T-cell receptor-CD3 complex. This complex plays an important role in coupling antigen recognition to several intracellular signal-transduction pathways. The genes encoding the epsilon, gamma and delta polypeptides are located in the same cluster on chromosome 11. The epsilon polypeptide plays an essential role in T-cell development. Defects in this gene cause immunodeficiency. This gene has also been linked to a susceptibility to type I diabetes in women. [provided by RefSeq, Jul 2008].

Function:
The CD3 complex mediates signal transduction.

Subunit:
he TCR/CD3 complex of T-lymphocytes consists of either a TCR alpha/beta or TCR gamma/delta heterodimer coexpressed at the cell surface with the invariant subunits of CD3 labeled gamma, delta, epsilon, zeta, and eta.

Subcellular Location:
Membrane; Single-pass type I membrane protein.

Similarity:
Contains 1 Ig-like (immunoglobulin-like) domain.
Contains 1 ITAM domain.

SWISS:
P07766

Gene ID:
916

Database links:

Entrez Gene: 916 Human

Entrez Gene: 12501 Mouse

Omim: 186830 Human

SwissProt: P07766 Human

SwissProt: P22646 Mouse

Unigene: 3003 Human

Unigene: 210361 Mouse



产品图片
25 ug total protein per lane of various lysates (see on figure) probed with CD3E monoclonal antibody, unconjugated (bsm-60002R) at 1:1000 dilution and 4°C overnight incubation. Followed by conjugated secondary antibody incubation at r.t. for 60 min.
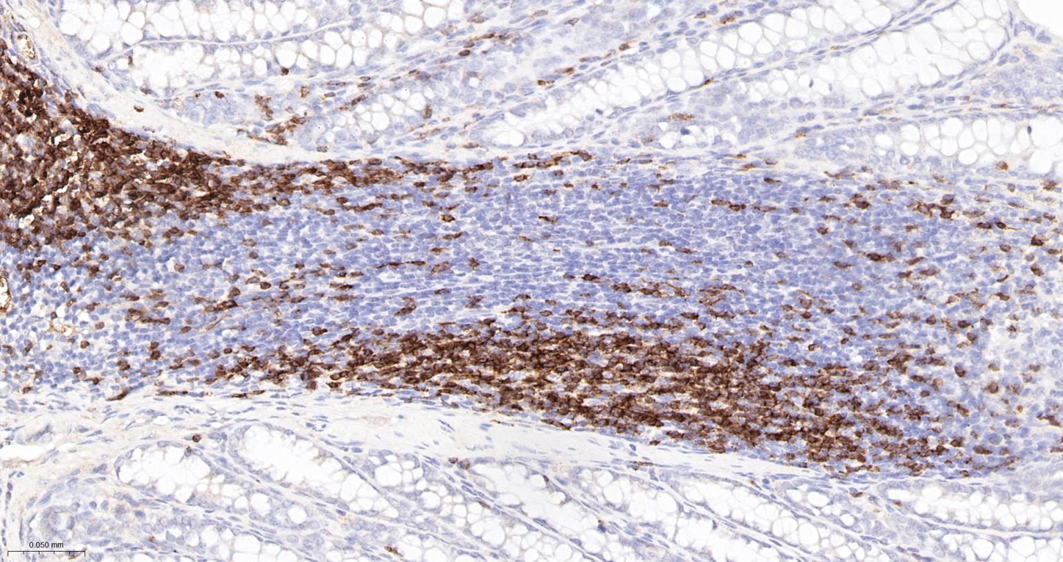
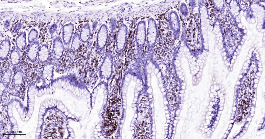
Paraformaldehyde-fixed, paraffin embedded Human small Intestine; Antigen retrieval by boiling in sodium citrate buffer (pH6.0) for 15 min; The section was incubated with CD3E Monoclonal Antibody, Unconjugated (bsm-60002R) at 1:500 overnight at 4°C, followed by conjugation to the bs-0295G-HRP and DAB (C-0010) staining.
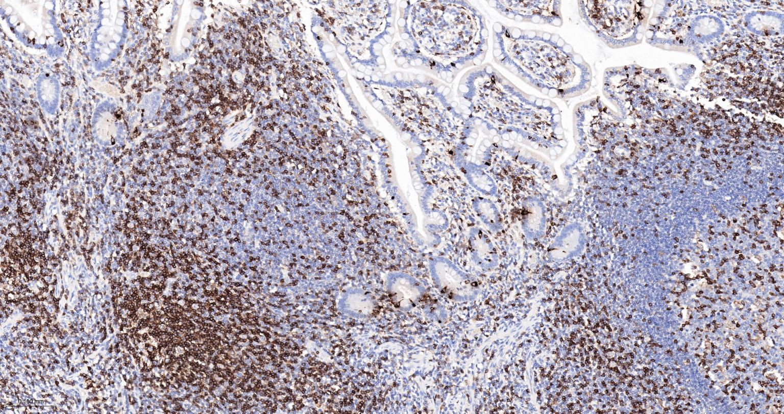
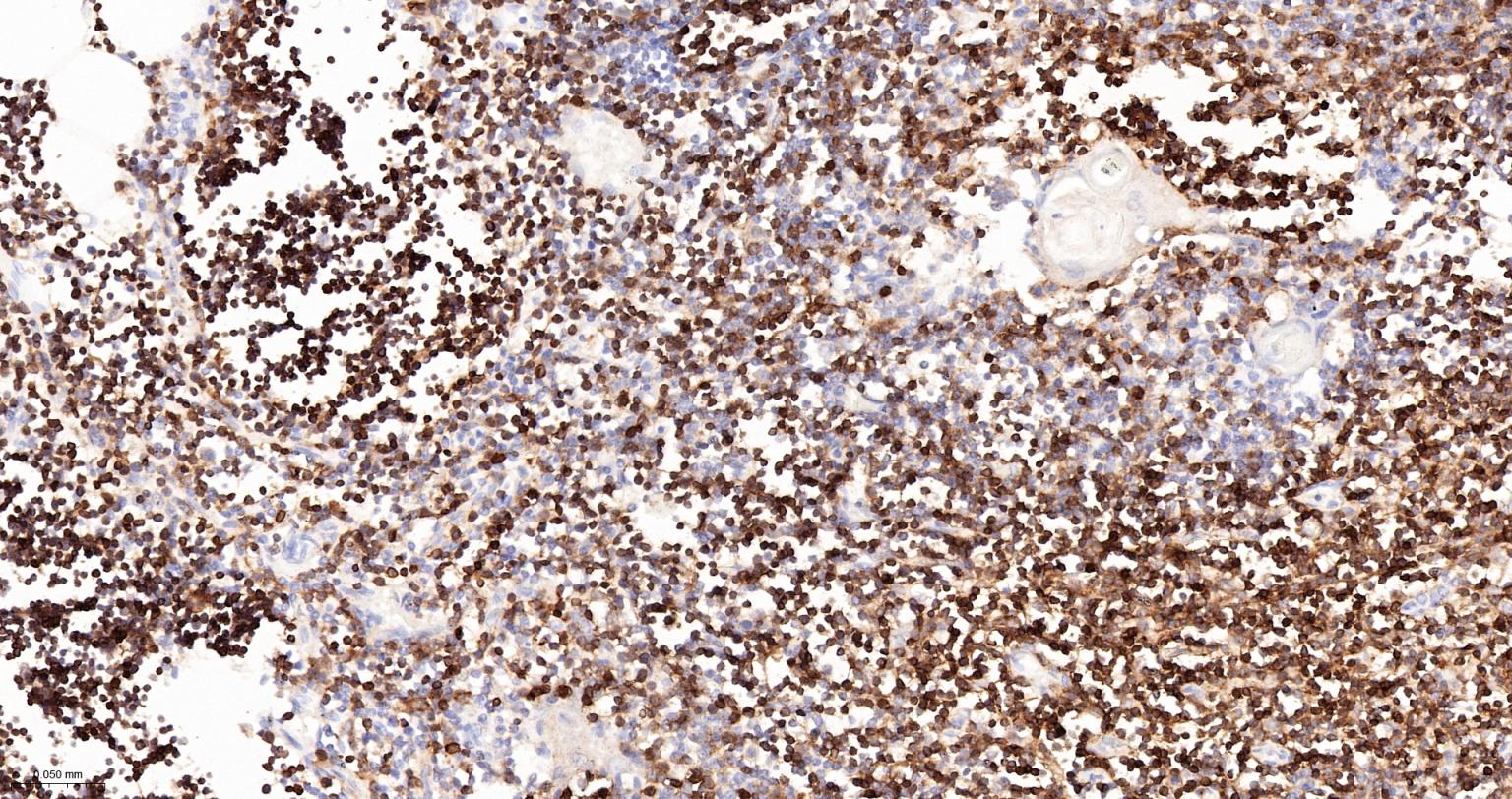
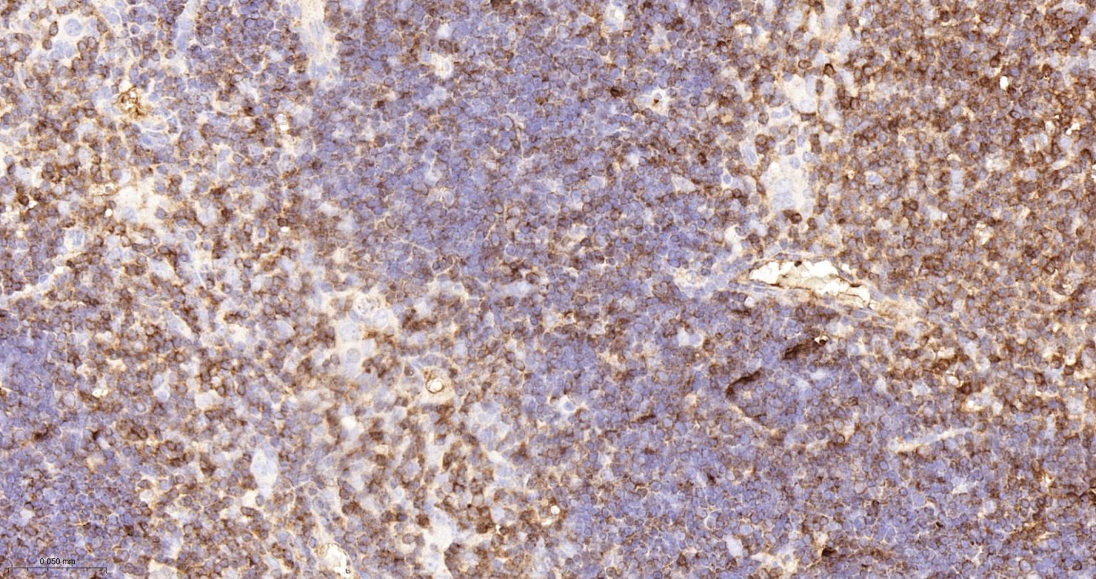
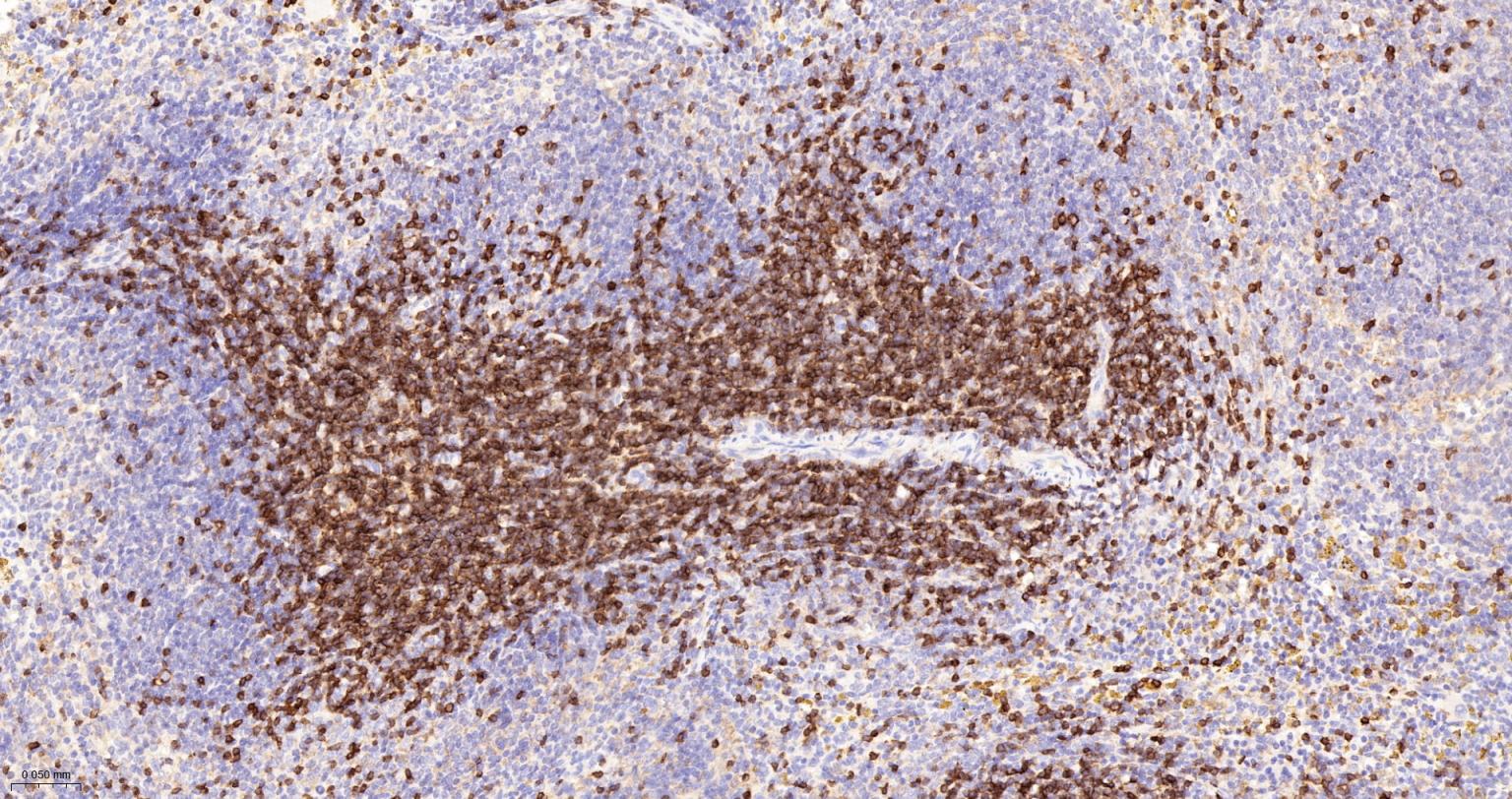
Paraformaldehyde-fixed, paraffin embedded Human Tonsil; Antigen retrieval by boiling in sodium citrate buffer (pH6.0) for 15 min; The section was incubated with CD3E Monoclonal Antibody, Unconjugated (bsm-60002R) at 1:500 overnight at 4°C, followed by conjugation to the bs-0295G-HRP and DAB (C-0010) staining.
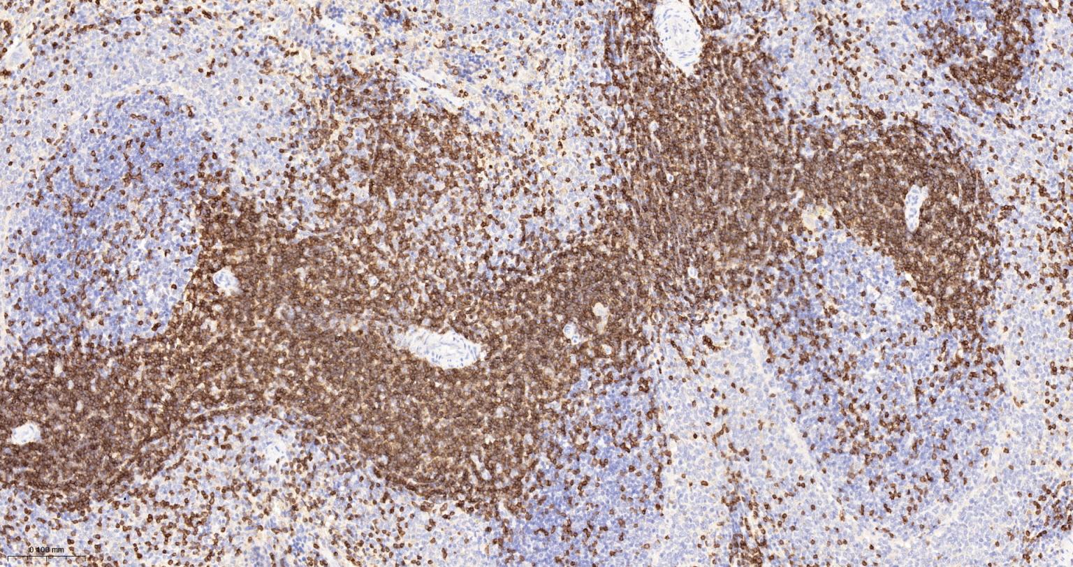
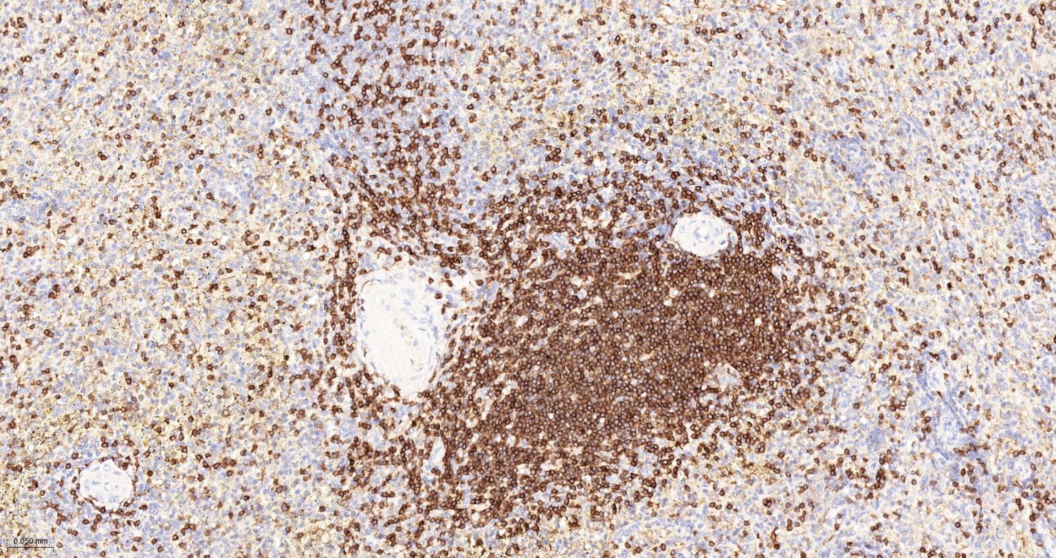
Paraformaldehyde-fixed, paraffin embedded Human Thymus; Antigen retrieval by boiling in sodium citrate buffer (pH6.0) for 15 min; The section was incubated with CD3E Monoclonal Antibody, Unconjugated (bsm-60002R) at 1:500 overnight at 4°C, followed by conjugation to the bs-0295G-HRP and DAB (C-0010) staining.
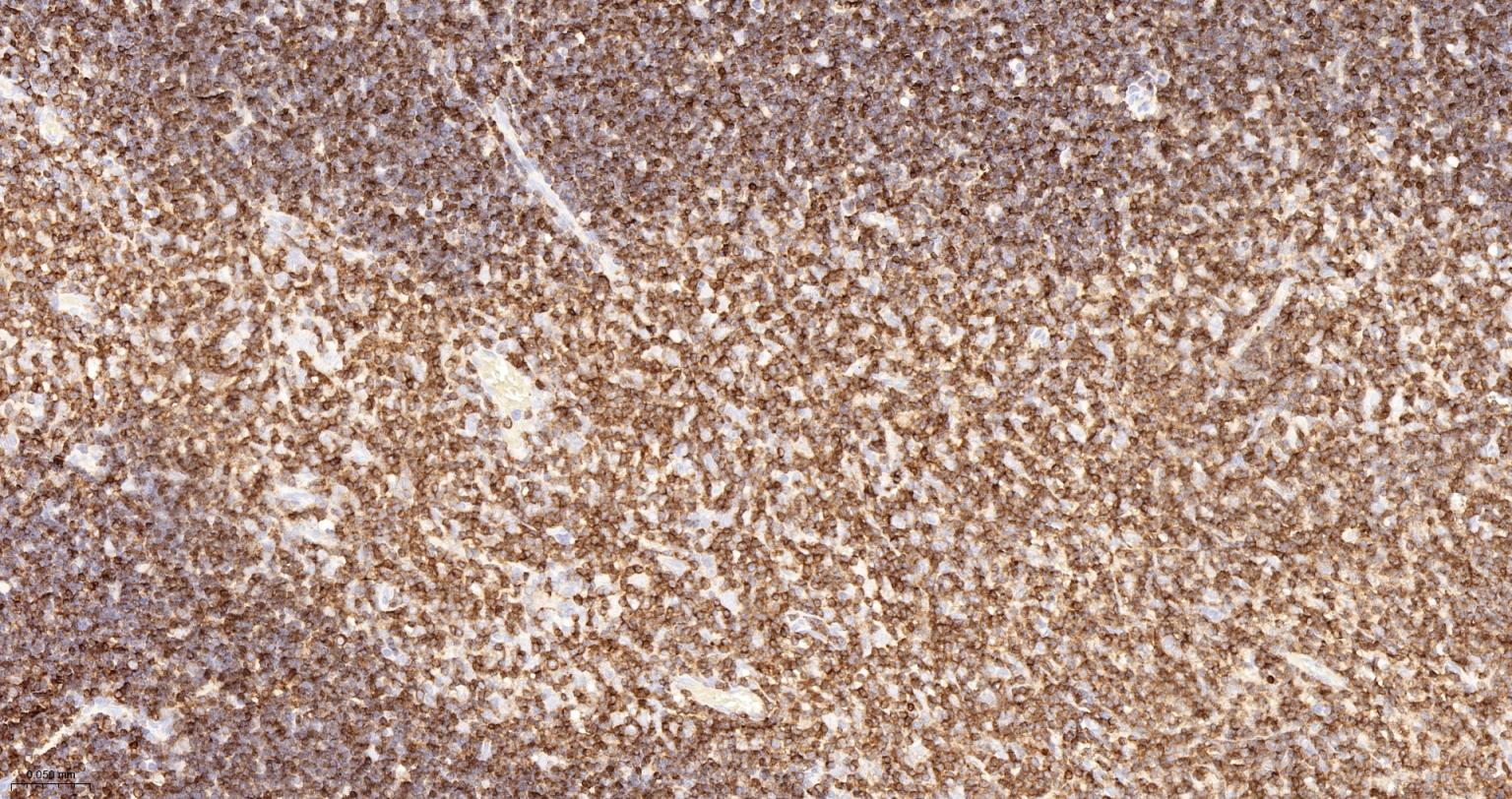
Paraformaldehyde-fixed, paraffin embedded Rat Thymus; Antigen retrieval by boiling in sodium citrate buffer (pH6.0) for 15 min; The section was incubated with CD3E Monoclonal Antibody, Unconjugated (bsm-60002R) at 1:500 overnight at 4°C, followed by conjugation to the bs-0295G-HRP and DAB (C-0010) staining.
Paraformaldehyde-fixed, paraffin embedded Human Spleen; Antigen retrieval by boiling in sodium citrate buffer (pH6.0) for 15 min; The section was incubated with CD3E Monoclonal Antibody, Unconjugated (bsm-60002R) at 1:500 overnight at 4°C, followed by conjugation to the bs-0295G-HRP and DAB (C-0010) staining.
Paraformaldehyde-fixed, paraffin embedded Rat Spleen; Antigen retrieval by boiling in sodium citrate buffer (pH6.0) for 15 min; The section was incubated with CD3E Monoclonal Antibody, Unconjugated (bsm-60002R) at 1:1000 overnight at 4°C, followed by conjugation to the bs-0295G-HRP and DAB (C-0010) staining.
Paraformaldehyde-fixed, paraffin embedded Mouse Spleen; Antigen retrieval by boiling in sodium citrate buffer (pH6.0) for 15 min; The section was incubated with CD3E Monoclonal Antibody, Unconjugated (bsm-60002R) at 1:500 overnight at 4°C, followed by conjugation to the bs-0295G-HRP and DAB (C-0010) staining.
Paraformaldehyde-fixed, paraffin embedded Human Colon; Antigen retrieval by boiling in sodium citrate buffer (pH6.0) for 15 min; The section was incubated with CD3E Monoclonal Antibody, Unconjugated (bsm-60002R) at 1:500 overnight at 4°C, followed by conjugation to the bs-0295G-HRP and DAB (C-0010) staining.
Paraformaldehyde-fixed, paraffin embedded Human Breast Cancer; Antigen retrieval by boiling in sodium citrate buffer (pH6.0) for 15 min; The section was incubated with CD3E Monoclonal Antibody, Unconjugated (bsm-60002R) at 1:500 overnight at 4°C, followed by conjugation to the bs-0295G-HRP and DAB (C-0010) staining.
Paraformaldehyde-fixed, paraffin embedded Rat Colon; Antigen retrieval by boiling in sodium citrate buffer (pH6.0) for 15 min; The section was incubated with CD3E Monoclonal Antibody, Unconjugated (bsm-60002R) at 1:1500 overnight at 4°C, followed by conjugation to the bs-0295G-HRP and DAB (C-0010) staining.
Paraformaldehyde-fixed, paraffin embedded Mouse Colon; Antigen retrieval by boiling in sodium citrate buffer (pH6.0) for 15 min; The section was incubated with CD3E Monoclonal Antibody, Unconjugated (bsm-60002R) at 1:1500 overnight at 4°C, followed by conjugation to the bs-0295G-HRP and DAB (C-0010) staining.
Paraformaldehyde-fixed, paraffin embedded Mouse Thymus; Antigen retrieval by boiling in sodium citrate buffer (pH6.0) for 15 min; The section was incubated with CD3E Recombinant Monoclonal Antibody, Unconjugated (bsm-60002R) at 1:200 overnight at 4°C, followed by conjugation to the bs-0295G-HRP and DAB (C-0010) staining.
Paraformaldehyde-fixed, paraffin embedded Human lymph nodes. Merged staining of anti-CD8A (bsm-34251M; 1:200; pink) anti-CD4 (bsm-52469R; 1:200; yellow) and anti-CD3E (bsm-60002R; 1:200; light blue) DAPI (dark blue) was used as a nuclear counter stain.
Paraformaldehyde-fixed, paraffin embedded Human Tonsil. Merged staining of anti-CD8A (bsm-34251M; 1:200; pink) anti-CD4 (bsm-52469R; 1:200; light blue) anti-CD3E (bsm-60002R; 1:200; green) anti-CD68 (bsm-60634R; 1:200; white) anti-CD11c (bsm-61135R; 1:200; orange) and anti-CD20 (bsm-63327R; 1:200; yellow) DAPI (dark blue) was used as a nuclear counter stain.
Paraformaldehyde-fixed, paraffin embedded Human Tonsil. Merged staining of anti-CD68 (bsm-60634R; 1:200; red) anti- CD20 (bsm-63327R; 1:200; white) anti-CD3E (bsm-60002R; 1:200; light blue) anti-CD4 (bsm-52469R; 1:200; rose red) anti-Ki67 (bsm-52455R; 1:200; bean green) anti-Vimentin (bsm-33170M; 1:200; yellow) and anti-Pan Cytokeratin (bsm-34137M; 1:150; green) DAPI (dark blue) was used as a nuclear counter stain.
Paraformaldehyde-fixed, paraffin embedded Human Lymph; Antigen retrieval by boiling in sodium citrate buffer (pH6.0) for 15 min; The section was incubated with CD3E Monoclonal Antibody, Unconjugated (bsm-60002R) at 1:200 overnight at 4°C. Followed by conjugated Goat Anti-Rabbit IgG antibody (Rose pink, bs-0295G-BF647), DAPI (blue, C02-04002) was used to stain the cell nuclei.
Paraformaldehyde-fixed, paraffin embedded Human Tonsil; Antigen retrieval by boiling in sodium citrate buffer (pH6.0) for 15 min; The section was incubated with CD3E Monoclonal Antibody, Unconjugated (bsm-60002R) at 1:200 overnight at 4°C. Followed by conjugated Goat Anti-Rabbit IgG antibody (Rose pink, bs-0295G-BF647), DAPI (blue, C02-04002) was used to stain the cell nuclei.
Paraformaldehyde-fixed, paraffin embedded Mouse Spleen; Antigen retrieval by boiling in sodium citrate buffer (pH6.0) for 15 min; The section was incubated with CD3E Monoclonal Antibody, Unconjugated (bsm-60002) at 1:500 overnight at 4°C. Followed by conjugated Goat Anti-Rabbit IgG antibody (Red, bs-0295G-BF594), DAPI (blue, C02-04002) was used to stain the cell nuclei.
Paraformaldehyde-fixed, paraffin embedded Rat Spleen; Antigen retrieval by boiling in sodium citrate buffer (pH6.0) for 15 min; The section was incubated with CD3E Monoclonal Antibody, Unconjugated (bsm-60002) at 1:500 overnight at 4°C. Followed by conjugated Goat Anti-Rabbit IgG antibody (Red, bs-0295G-BF594), DAPI (blue, C02-04002) was used to stain the cell nuclei.
Paraformaldehyde-fixed, paraffin embedded Human Tonsil; Antigen retrieval by boiling in sodium citrate buffer (pH6.0) for 15 min; The section was incubated with CD3E Monoclonal Antibody, Unconjugated (bsm-60002R) at 1:500 overnight at 4°C. Followed by conjugated Goat Anti-Rabbit IgG antibody (green, bs-0295G-BF488), DAPI (blue, C02-04002) was used to stain the cell nuclei.
Paraformaldehyde-fixed, paraffin embedded Mouse Thymus; Antigen retrieval by boiling in sodium citrate buffer (pH6.0) for 15 min; The section was incubated with CD3E Monoclonal Antibody, Unconjugated (bsm-60002) at 1:500 overnight at 4°C. Followed by conjugated Goat Anti-Rabbit IgG antibody (Red, bs-0295G-BF594), DAPI (blue, C02-04002) was used to stain the cell nuclei.
Paraformaldehyde-fixed, paraffin embedded Rat Thymus; Antigen retrieval by boiling in sodium citrate buffer (pH6.0) for 15 min; The section was incubated with CD3E Monoclonal Antibody, Unconjugated (bsm-60002) at 1:500 overnight at 4°C. Followed by conjugated Goat Anti-Rabbit IgG antibody (Red, bs-0295G-BF594), DAPI (blue, C02-04002) was used to stain the cell nuclei.
版权所有 2004-2026 www.bioss.com.cn 北京博奥森生物技术有限公司
通过国际质量管理体系ISO 9001:2015 GB/T 19001-2016    证书编号: 00124Q34771R2M/1100
通过国际医疗器械-质量管理体系ISO 13485:2016 GB/T 42061-2022     证书编号: CQC24QY20047R0M/1100
京ICP备05066980号-1         京公网安备110107000727号