扫码关注公众号           扫码咨询技术支持           扫码咨询技术服务
  
客服热线:400-901-9800  客服QQ:4009019800  技术答疑  技术支持  质量反馈  人才招聘  关于我们  联系我们
产品中心-北京博奥森生物技术有限公司
首页 > 产品中心 > 一抗 > 产品信息
IGF2 Recombinant Rabbit mAb (bsm-52776R)  
订购热线:400-901-9800
订购邮箱:sales@bioss.com.cn
订购QQ:  400-901-9800
技术支持:techsupport@bioss.com.cn
50ul/1400.00元
100ul/2500.00元
大包装/询价

产品编号 bsm-52776R
英文名称 IGF2 Recombinant Rabbit mAb
中文名称 胰岛素样生长因子-II重组兔单抗
别    名 C11orf43; GRDF; IGF-II; PP9974; SRS3; Igf-2; M6pr; Mpr; Peg2; IGFII; RNIGF2; IGF2_BOVIN; IGF2; Erythrotropin; Insulin-like growth factor II (IGF-II); IGF2_HUMAN; Somatomedin-A; T3M-11-derived growth factor; IGF2_MOUSE; Multiplication-stimulating polypepti  
研究领域 免疫学  发育生物学  信号转导  生长因子和激素  糖尿病  
抗体来源 Rabbit
克隆类型 Recombinant
克 隆 号
交叉反应 Human
产品应用 IHC-P=1:100-500,IHC-F=1:400-800,IF=1:100-500
not yet tested in other applications.
optimal dilutions/concentrations should be determined by the end user.
理论分子量 11 kDa
细胞定位 分泌型蛋白 
性    状 Liquid
浓    度 1mg/ml
免 疫 原 Recombinant human IGF2 protein: 25-121 /180 
亚    型 IgG
纯化方法 affinity purified by Protein A
缓 冲 液 0.01M TBS (pH7.4) with 1% BSA, 0.02% Proclin300 and 50% Glycerol.
保存条件 Shipped at 4℃. Store at -20℃ for one year. Avoid repeated freeze/thaw cycles.
注意事项 This product as supplied is intended for research use only, not for use in human, therapeutic or diagnostic applications.
PubMed PubMed
产品介绍 The IGF2 gene encodes a member of the insulin family of polypeptide growth factors that is involved in development and growth. It is expressed only from the paternally inherited allele and is an imprinted gene which is a candidate gene for eating disorders. There is a read-through, INS-IGF2, which aligns to this gene at the 3' region and to the upstream INS gene at the 5' region. Two alternatively spliced transcript variants encoding the same protein have been found for this gene. Insulin Like Growth Factor-2 (IGF-2) is a polypeptide growth factor, which stimulates the proliferation of a wide range of cell types.

Function:
The insulin-like growth factors possess growth-promoting activity. In vitro, they are potent mitogens for cultured cells. IGF-II is influenced by placental lactogen and may play a role in fetal development.
Preptin undergoes glucose-mediated co-secretion with insulin, and acts as physiological amplifier of glucose-mediated insulin secretion. Exhibits osteogenic properties by increasing osteoblast mitogenic activity through phosphoactivation of MAPK1 and MAPK3.

Subcellular Location:
Secreted.

Post-translational modifications:
O-glycosylated with core 1 or possibly core 8 glycans. Thr-96 is a minor glycosylation site compared to Thr-99.

DISEASE:
Epigenetic changes of DNA hypomethylation in IGF2 are a cause of Silver-Russell syndrome (SRS) [MIM:180860]. A clinically heterogeneous condition characterized by severe intrauterine growth retardation, poor postnatal growth, craniofacial features such as a triangular shaped face and a broad forehead, body asymmetry, and a variety of minor malformations. The phenotypic expression changes during childhood and adolescence, with the facial features and asymmetry usually becoming more subtle with age.

Similarity:
Belongs to the insulin family.

SWISS:
P01344

Gene ID:
3481

Database links:

Entrez Gene: 3481 Human

Entrez Gene: 281240 Cow

Entrez Gene: 16002 Mouse

Entrez Gene: 24483 Rat

SwissProt: P07456 Cow

SwissProt: P01344 Human

SwissProt: P09535 Mouse

SwissProt: P01346 Rat



胰岛素样生长因子2(IGF-2又称Somatomedin A),是一种生长调节激素,由肝分泌并入血液循环的中性多肽,具有调节生长和代谢、胰岛素样及促细胞分裂的活性,为主要的胚胎生长因子。
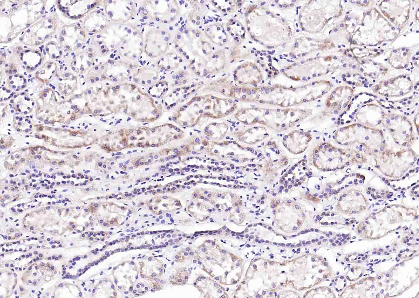
产品图片
Paraformaldehyde-fixed, paraffin embedded (Human kidney); Antigen retrieval by boiling in sodium citrate buffer (pH6.0) for 15min; Block endogenous peroxidase by 3% hydrogen peroxide for 20 minutes; Blocking buffer (normal goat serum) at 37°C for 30min; Antibody incubation with (IGF2) Monoclonal Antibody, Unconjugated (bsm-52776R) at 1:200 overnight at 4°C, followed by operating according to SP Kit(Rabbit) (sp-0023) instructionsand DAB staining.
版权所有 2004-2026 www.bioss.com.cn 北京博奥森生物技术有限公司
通过国际质量管理体系ISO 9001:2015 GB/T 19001-2016    证书编号: 00124Q34771R2M/1100
通过国际医疗器械-质量管理体系ISO 13485:2016 GB/T 42061-2022     证书编号: CQC24QY20047R0M/1100
京ICP备05066980号-1         京公网安备110107000727号