扫码关注公众号           扫码咨询技术支持           扫码咨询技术服务
  
客服热线:400-901-9800  客服QQ:4009019800  技术答疑  技术支持  质量反馈  关于我们  联系我们
产品中心-北京博奥森生物技术有限公司
首页 > 产品中心 > 一抗 > 产品信息
PIK3R1 (animal-free) Mouse mAb (bsm-77002M)  
订购热线:400-901-9800
订购邮箱:sales@bioss.com.cn
订购QQ:  400-901-9800
技术支持:techsupport@bioss.com.cn
50ul/1180.00元
100ul/1980.00元
200ul/2800.00元
200ug(PBS only)/5600.00元
大包装/询价

产品编号 bsm-77002M
英文名称 PIK3R1 (animal-free) Mouse mAb
中文名称 磷脂酰肌醇激酶单克隆抗体 (无动物源)
别    名 P85A_HUMAN; Phosphatidylinositol 3-kinase regulatory subunit alpha; GRB1; PI3-kinase regulatory subunit alpha; PI3K regulatory subunit alpha; PtdIns-3-kinase regulatory subunit alpha; Phosphatidylinositol 3-kinase 85 kDa regulatory subunit alpha(PI3-kinase subunit p85-alpha; PtdIns-3-kinase regulatory subunit p85-alpha); PI 3-kinase p85α; PI 3-kinase p85 α; PI 3-kinase p85-α; SH3_PI3K_p85alpha; PI3-kinase p85 subunit alpha; phosphoinositide-3-kinase regulatory subunit 1; p85; AGM7; IMD36; p85-ALPHA; PI 3 Kinase p85 alpha;  
Specific References  (1)     |     bsm-77002M has been referenced in 1 publications.
[IF=3.24] Jing Hu. et al. Investigation of the active ingredients and pharmacological mechanisms of Porana sinensis Hemsl. Against rheumatoid arthritis using network pharmacology and experimental validation. Plos One. 2022 Mar;17(3):e0264786  WB ;  Rat.  
研究领域 肿瘤  细胞生物  免疫学  信号转导  激酶和磷酸酶  
抗体来源 Mouse
克隆类型 Monoclonal
克 隆 号 5C11
交叉反应 Human,Mouse,Rat
产品应用 WB=1:500-2000
not yet tested in other applications.
optimal dilutions/concentrations should be determined by the end user.
理论分子量 80 kDa
检测分子量
细胞定位 细胞核 细胞浆 细胞膜 
性    状 Liquid
浓    度 1mg/ml
免 疫 原 Recombinant mouse PI3K p85 Protein: 1-110/724 
亚    型 IgG
纯化方法 affinity purified by Protein A
缓 冲 液 0.01M TBS (pH7.4) with 1% BSA, 0.02% Proclin300 and 50% Glycerol.
保存条件 Shipped at 4℃. Store at -20℃ for one year. Avoid repeated freeze/thaw cycles.
注意事项 This product as supplied is intended for research use only, not for use in human, therapeutic or diagnostic applications.
PubMed PubMed
产品介绍 The enzyme phosphatidylinositol 3 kinase (PI3 kinase) is a lipid kinase that generates phosphatidylinositol 3, 4, 5-triphosphate in response to receptor activation in many signal transduction pathways. Class IA PI3Ks exist as a heterodimer of a catalytic 110 kDa (p110) and a regulatory p85 subunit (e.g. p85 alpha). p85 alpha is an adaptor molecule that regulates the activity of the catalytic p110 subunit by binding to phosphorylated receptor tyrosine kinases (RTKs) through its SH2 domain and mediating the interaction between p110 and the plasma membrane. p85 alpha is necessary for insulin-stimulated increase in glucose uptake and glycogen synthesis in insulin-sensitive tissues.

Function:
Binds to activated (phosphorylated) protein-Tyr kinases, through its SH2 domain, and acts as an adapter, mediating the association of the p110 catalytic unit to the plasma membrane. Necessary for the insulin-stimulated increase in glucose uptake and glycogen synthesis in insulin-sensitive tissues.

Subunit:
Heterodimer of a regulatory subunit PIK3R1 and a p110 catalytic subunit (PIK3CA, PIK3CB or PIK3CD). Interacts with FER. Interacts (via SH2 domain) with TEK/TIE2 (tyrosine phosphorylated). Interacts with PTK2/FAK1 (By similarity). Interacts with phosphorylated TOM1L1. Interacts with phosphorylated LIME1 upon TCR and/or BCR activation. Interacts with SOCS7. Interacts with RUFY3. Interacts (via SH2 domain) with CSF1R (tyrosine phosphorylated). Interacts with LYN (via SH3 domain); this enhances enzyme activity. Interacts with phosphorylated LAT, LAX1 and TRAT1 upon TCR activation. Interacts with CBLB. Interacts with HIV-1 Nef to activate the Nef associated p21-activated kinase (PAK). This interaction depends on the C-terminus of both proteins and leads to increased production of HIV. Interacts with HCV NS5A. The SH2 domains interact with the YTHM motif of phosphorylated INSR in vitro. Also interacts with tyrosine-phosphorylated IGF1R in vitro. Interacts with CD28 and CD3Z upon T-cell activation. Interacts with IRS1 and phosphorylated IRS4, as well as with NISCH and HCST. Interacts with FASLG, KIT and BCR. Interacts with AXL, FGFR1, FGFR2, FGFR3 and FGFR4 (phosphorylated). Interacts with FGR and HCK. Interacts with PDGFRA (tyrosine phosphorylated) and PDGFRB (tyrosine phosphorylated). Interacts with ERBB4 (phosphorylated). Interacts with NTRK1 (phosphorylated upon ligand-binding).

Tissue Specificity:
Isoform 2 is expressed in skeletal muscle and brain, and at lower levels in kidney and cardiac muscle. Isoform 2 and isoform 4 are present in skeletal muscle (at protein level).

Post-translational modifications:
Polyubiquitinated in T-cells by CBLB; which does not promote proteasomal degradation but impairs association with CD28 and CD3Z upon T-cell activation.
Phosphorylated. Tyrosine phosphorylated in response to signaling by FGFR1, FGFR2, FGFR3 and FGFR4. Phosphorylated by CSF1R. Phosphorylated by ERBB4. Phosphorylated on tyrosine residues by TEK/TIE2. Dephosphorylated by PTPRJ. Phosphorylated by PIK3CA at Ser-608; phosphorylation is stimulated by insulin and PDGF. The relevance of phosphorylation by PIK3CA is however unclear. Phosphorylated in response to KIT and KITLG/SCF. Phosphorylated by FGR.

Similarity:
Belongs to the PI3K p85 subunit family.
Contains 1 Rho-GAP domain.
Contains 2 SH2 domains.

SWISS:
P26450

Gene ID:
18708

Database links:

Entrez Gene: 5295 Human

Entrez Gene: 18708 Mouse

Entrez Gene: 25513 Rat

Omim: 171833 Human

SwissProt: P27986 Human

SwissProt: P26450 Mouse

SwissProt: Q63787 Rat

Unigene: 132225 Human



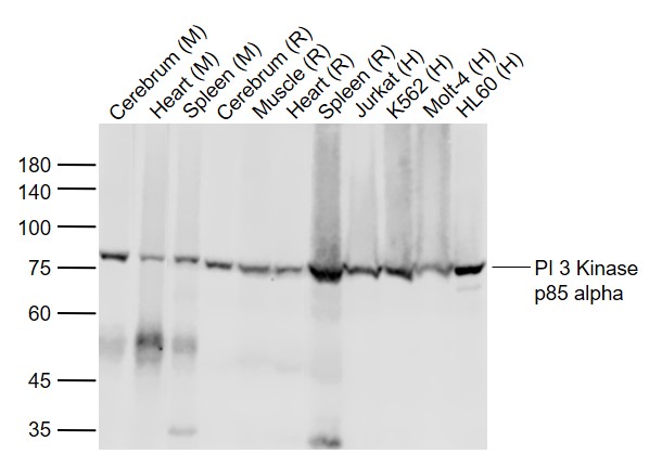
产品图片
Sample: Lane 1: Mouse Cerebrum tissue lysates Lane 2: Mouse Heart tissue lysates Lane 3: Mouse Spleen tissue lysates Lane 4: Rat Cerebrum tissue lysates Lane 5: Rat Muscle tissue lysates Lane 6: Rat Heart tissue lysates Lane 7: Rat Spleen tissue lysates Lane 8: Human Jurkat cell lysates Lane 9: Human K562 cell lysates Lane 10: Human Molt-4 cell lysates Lane 11: Human HL60 cell lysates Primary: Anti-PI 3 Kinase p85 alpha (bsm-77002M) at 1/1000 dilution Secondary: IRDye800CW Goat Anti-Mouse IgG at 1/20000 dilution Predicted band size: 80 kD Observed band size: 80 kD
版权所有 2004-2026 www.bioss.com.cn 北京博奥森生物技术有限公司
通过国际质量管理体系ISO 9001:2015 GB/T 19001-2016    证书编号: 00124Q34771R2M/1100
通过国际医疗器械-质量管理体系ISO 13485:2016 GB/T 42061-2022     证书编号: CQC24QY20047R0M/1100
京ICP备05066980号-1         京公网安备110107000727号