扫码关注公众号           扫码咨询技术支持           扫码咨询技术服务
  
客服热线:400-901-9800  客服QQ:4009019800  技术答疑  技术支持  质量反馈  关于我们  联系我们
产品中心-北京博奥森生物技术有限公司
首页 > 产品中心 > 一抗 > 产品信息
HDAC9 Recombinant Rabbit mAb (bsm-54186R)  
订购热线:400-901-9800
订购邮箱:sales@bioss.com.cn
订购QQ:  400-901-9800
技术支持:techsupport@bioss.com.cn
50ul/1400.00元
100ul/2500.00元
大包装/询价

产品编号 bsm-54186R
英文名称 HDAC9 Recombinant Rabbit mAb
中文名称 组蛋白去乙酰化酶9重组兔单抗
别    名 HD 7; HD 7B; HD 9; HD7; HD7B; HD9; HDAC 7; HDAC 7B; HDAC 9; HDAC 9B; HDAC 9FL; HDAC; HDAC7; HDAC7B; HDAC9B; HDAC9FL; HDRP; Histone deacetylase 4/5 related protein; Histone deacetylase 7; Histone deacetylase 7B; Histone deacetylase 9; Histone deacetylase 9A; Histone deacetylase related protein; KIAA0744; MEF2 interacting transcription repressor MITR; MEF2 interacting transcription repressor protein; MITR. DKFZp779K1053; HDAC9_HUMAN.  
研究领域 肿瘤  免疫学  信号转导  细胞凋亡  转录调节因子  
抗体来源 Rabbit
克隆类型 Recombinant
克 隆 号 6A4
交叉反应 Human,Mouse,Rat
产品应用 WB=1:500-2000,IHC-P=1:100-500,IHC-F=1:100-500,IF=1:100-500,ICC/IF=1:50-200
not yet tested in other applications.
optimal dilutions/concentrations should be determined by the end user.
理论分子量 111 kDa
检测分子量
细胞定位 细胞核 
性    状 Liquid
浓    度 1mg/ml
免 疫 原 A synthesized peptide derived from human HDAC9: 1-38 
亚    型 IgG
纯化方法 affinity purified by Protein A
缓 冲 液 0.01M TBS (pH7.4) with 1% BSA, 0.02% Proclin300 and 50% Glycerol.
保存条件 Shipped at 4℃. Store at -20℃ for one year. Avoid repeated freeze/thaw cycles.
注意事项 This product as supplied is intended for research use only, not for use in human, therapeutic or diagnostic applications.
PubMed PubMed
产品介绍 HDAC9 (Histone Deacetylase 9) catalyses the deacetylation of lysine residues on the core histones (H2A, H2B, H3 and H4). It belongs to the Class IIa HDAC family, which are key regulators of several developmental and differentiation processes such as cardiac growth. HDAC9 represses MEF2 (myocyte enhancer factor 2)-dependent transcription, playing an important role in cardiac hypertrophy.

The HDAC9 isoform MITR/HDRP lacks active site residues and is therefore catalytically inactive. It represses MEF2-dependent transcription by interacting with HDAC1 and/or HDAC3. MITR/HDRP is thought to play a role in skeletal myogenesis and in heart development. It also protects neurons from apoptosis by inhibiting c-Jun phosphorylation by MAPK10 and by repressing c-Jun transcription through recruitment of HDAC1 to the c-Jun promoter.

Function:
Responsible for the deacetylation of lysine residues on the N-terminal part of the core histones (H2A, H2B, H3 and H4). Histone deacetylation gives a tag for epigenetic repression and plays an important role in transcriptional regulation, cell cycle progression and developmental events. Represses MEF2-dependent transcription.
Isoform 3 lacks active site residues and therefore is catalytically inactive. Represses MEF2-dependent transcription by recruiting HDAC1 and/or HDAC3. Seems to inhibit skeletal myogenesis and to be involved in heart development. Protects neurons from apoptosis, both by inhibiting JUN phosphorylation by MAPK10 and by repressing JUN transcription via HDAC1 recruitment to JUN promoter.

Subunit:
Homodimer. Interacts with CTBP1. The phosphorylated form interacts with 14-3-3. Interacts with HDAC1 and HDAC3, and probably with HDAC4 and HDAC5. Interacts with MEF2, MAPK10, ETV6, NCOR1 and BCL6.

Subcellular Location:
Nucleus.

Tissue Specificity:
Broadly expressed, with highest levels in brain, heart, muscle and testis. Isoform 3 is present in human bladder carcinoma cells (at protein level).

Post-translational modifications:
Phosphorylated on Ser-220 and Ser-450; which promotes 14-3-3-binding, impairs interaction with MEF2, and antagonizes antimyogenic activity. Phosphorylated on Ser-240; which impairs nuclear accumulation. Isoform 7 is phosphorylated on Tyr-1010. Phosphorylated by the PKC kinases PKN1 and PKN2, impairing nuclear import.
Sumoylated.

DISEASE:
Note=A chromosomal aberration involving HDAC9 is found in a family with Peters anomaly. Translocation t(1;7)(q41;p21) with TGFB2 resulting in lack of HDAC9 protein.

Similarity:
Belongs to the histone deacetylase family. HD type 2 subfamily.

SWISS:
Q9UKV0

Gene ID:
9734

Database links:

Entrez Gene: 9734 Human

Entrez Gene: 79221 Mouse

Entrez Gene: 314040 Rat

Omim: 606543 Human

SwissProt: Q9UKV0 Human

SwissProt: Q99N13 Mouse

Unigene: 196054 Human

Unigene: 310551 Mouse

Unigene: 483009 Mouse



产品图片
25 ug total protein per lane of various lysates (see on figure) probed with HDAC9 monoclonal antibody, unconjugated (bsm-54186R) at 1:1000 dilution and 4°C overnight incubation. Followed by conjugated secondary antibody incubation at r.t. for 60 min.
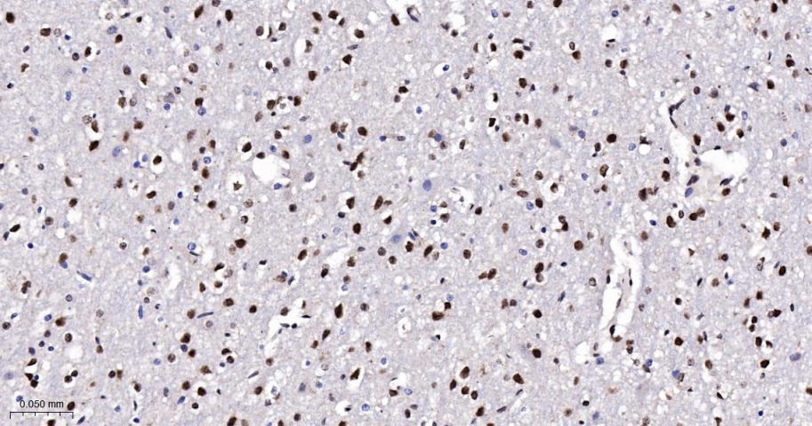
Paraformaldehyde-fixed, paraffin embedded Rat Cerebrum; Antigen retrieval by boiling in sodium citrate buffer (pH6.0) for 15 min; The section was incubated with HDAC9 Monoclonal Antibody, Unconjugated (bsm-54186R) at 1:200 overnight at 4°C, followed by conjugation to the bs-0295G-HRP and DAB (C-0010) staining.
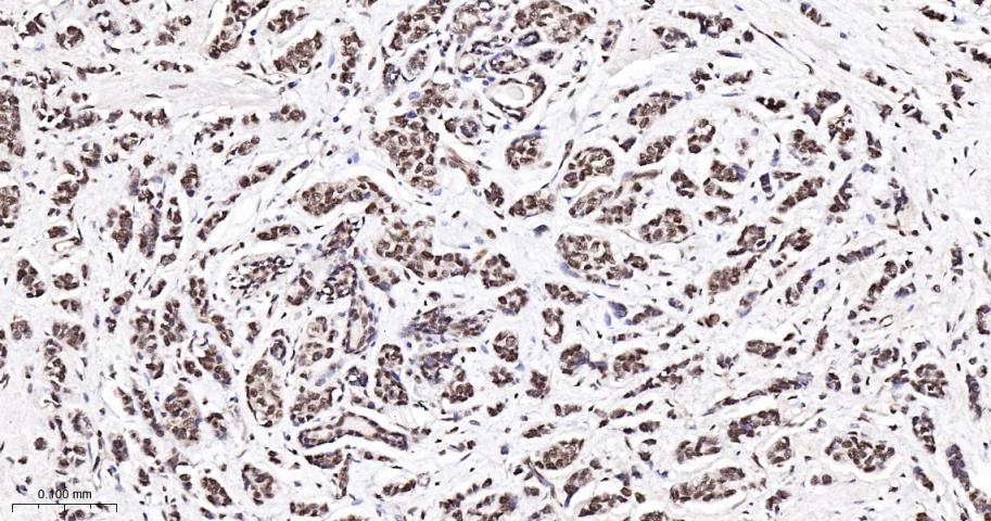
Paraformaldehyde-fixed, paraffin embedded Human Breast Cancer; Antigen retrieval by boiling in sodium citrate buffer (pH6.0) for 15 min; The section was incubated with HDAC9 Monoclonal Antibody, Unconjugated (bsm-54186R) at 1:200 overnight at 4°C, followed by conjugation to the bs-0295G-HRP and DAB (C-0010) staining.
Paraformaldehyde-fixed, paraffin embedded Human Cerebrum; Antigen retrieval by boiling in sodium citrate buffer (pH6.0) for 15 min; The section was incubated with HDAC9 Monoclonal Antibody, Unconjugated (bsm-54186R) at 1:200 overnight at 4°C, followed by conjugation to the bs-0295G-HRP and DAB (C-0010) staining.
Paraformaldehyde-fixed, paraffin embedded Mouse Cerebrum; Antigen retrieval by boiling in sodium citrate buffer (pH6.0) for 15 min; The section was incubated with HDAC9 Monoclonal Antibody, Unconjugated (bsm-54186R) at 1:200 overnight at 4°C, followed by conjugation to the bs-0295G-HRP and DAB (C-0010) staining.
Paraformaldehyde-fixed, paraffin embedded Mouse Testicles; Antigen retrieval by boiling in sodium citrate buffer (pH6.0) for 15 min; The section was incubated with HDAC9 Monoclonal Antibody, Unconjugated (bsm-54186R) at 1:200 overnight at 4°C, followed by conjugation to the bs-0295G-HRP and DAB (C-0010) staining.
4% Paraformaldehyde-fixed Raji (H) cell; Triton X-100 at r.t. for 20 min; Antibody incubation with (HDAC9) monoclonal Antibody, unconjugated (bsm-54186R) 1:100, 90 min at 37°C; followed by conjugated Goat Anti-Rabbit IgG antibody (green, bs-40295G-FITC) at 37°C for 90 min, DAPI (blue, C02-04002) was used to stain the cell nuclei. PBS instead of the primary antibody was used as the blank control.
版权所有 2004-2026 www.bioss.com.cn 北京博奥森生物技术有限公司
通过国际质量管理体系ISO 9001:2015 GB/T 19001-2016    证书编号: 00124Q34771R2M/1100
通过国际医疗器械-质量管理体系ISO 13485:2016 GB/T 42061-2022     证书编号: CQC24QY20047R0M/1100
京ICP备05066980号-1         京公网安备110107000727号