扫码关注公众号           扫码咨询技术支持           扫码咨询技术服务
  
客服热线:400-901-9800  客服QQ:4009019800  技术答疑  技术支持  质量反馈  关于我们  联系我们
产品中心-北京博奥森生物技术有限公司
首页 > 产品中心 > 一抗 > 产品信息
JAK1 Recombinant Rabbit mAb (bsm-54138R)  
订购热线:400-901-9800
订购邮箱:sales@bioss.com.cn
订购QQ:  400-901-9800
技术支持:techsupport@bioss.com.cn
25ul/800.00元
50ul/1400.00元
100ul/2500.00元
大包装/询价

产品编号 bsm-54138R
英文名称 JAK1 Recombinant Rabbit mAb
中文名称 蛋白质酪氨酸激酶JAK-1重组兔单抗
别    名 JAK 1; JAK 1A; JAK 1B; JAK1; JAK1A; JAK1B; Janus kinase 1(a protein tyrosine kinase); Janus kinase 1; JTK3; Tyrosine protein kinase JAK 1; Tyrosine protein kinase JAK1; JAK1_HUMAN.  
研究领域 肿瘤  细胞生物  免疫学  神经生物学  信号转导  激酶和磷酸酶  
抗体来源 Rabbit
克隆类型 Recombinant
克 隆 号 2B12
交叉反应 Human,Mouse,Rat
产品应用 WB=1:500-1000,IHC-P=1:100-500,IHC-F=1:100-500,IF=1:100-500,Flow-Cyt=1:50-100
not yet tested in other applications.
optimal dilutions/concentrations should be determined by the end user.
理论分子量 133 kDa
检测分子量
细胞定位 细胞浆 
性    状 Liquid
浓    度 1mg/ml
免 疫 原 A synthesized peptide derived from human JAK1: 625-660 
亚    型 IgG
纯化方法 affinity purified by Protein A
缓 冲 液 0.01M TBS (pH7.4) with 1% BSA, 0.02% Proclin300 and 50% Glycerol.
保存条件 Shipped at 4℃. Store at -20℃ for one year. Avoid repeated freeze/thaw cycles.
注意事项 This product as supplied is intended for research use only, not for use in human, therapeutic or diagnostic applications.
PubMed PubMed
产品介绍 Janus kinase 1 (JAK1) is a member of a new class of non-receptor protein-tyrosine kinases (PTK) characterized by the presence of a second phosphotransferase-related domain immediately N-terminal to the PTK domain. The second phosphotransferase domain bears all the hallmarks of a protein kinase, although its structure differs significantly from that of the PTK and threonine/serine kinase family members. JAK1 is a large, widely expressed membrane-associated phosphoprotein. It is involved in the interferon-alpha/beta and -gamma signal transduction pathways. The reciprocal interdependence between JAK1 and TYK2 activities in the interferon-alpha pathway, and between JAK1 and JAK2 in the interferon-gamma pathway, may reflect a requirement for these kinases in the correct assembly of interferon recpeptor complexes. These kinases couple cytokine ligand binding to tyrosine phosphorylation of various known signaling proteins and a unique family of transcription factors termed the signal transducers and activators of transcription, or STATs.

Function:
Tyrosine kinase of the non-receptor type, involved in the IFN-alpha/beta/gamma signal pathway. Kinase partner for the interleukin (IL)-2 receptor.

Subunit:
Interacts with FER (By similarity). Interacts with IL31RA, IFNAR2, JAKMIP1 and SHB.

Subcellular Location:
Endomembrane system; Peripheral membrane protein. Note=Wholly intracellular, possibly membrane associated.

Tissue Specificity:
Expressed at higher levels in primary colon tumors than in normal colon tissue. The expression level in metastatic colon tumors is comparable to the expression level in normal colon tissue.

Similarity:
Belongs to the protein kinase superfamily. Tyr protein kinase family. JAK subfamily.
Contains 1 FERM domain.
Contains 2 protein kinase domains.
Contains 1 SH2 domain.

SWISS:
P23458

Gene ID:
3716

Database links:

Entrez Gene: 395681 Chicken

Entrez Gene: 3716 Human

Entrez Gene: 16451 Mouse

Entrez Gene: 397202 Pig

Entrez Gene: 84598 Rat

Omim: 147795 Human

SwissProt: P23458 Human

SwissProt: P52332 Mouse

Unigene: 207538 Human

Unigene: 289657 Mouse

Unigene: 90191 Rat



激酶和磷酸酶(Kinases and Phosphatases)
产品图片
25 ug total protein per lane of various lysates (see on figure) probed with JAK1 monoclonal antibody, unconjugated (bsm-54138R) at 1:1000 dilution and 4°C overnight incubation. Followed by conjugated secondary antibody incubation at r.t. for 60 min.
Paraformaldehyde-fixed, paraffin embedded Human Breast Cancer; Antigen retrieval by boiling in sodium citrate buffer (pH6.0) for 15 min; Antibody incubation with JAK1 Monoclonal Antibody, Unconjugated(bsm-54138R) at 1:200 overnight at 4°C, followed by conjugation to the bs-0295G-HRP and DAB (C-0010) staining.
Paraformaldehyde-fixed, paraffin embedded Human Cervical Cancer; Antigen retrieval by boiling in sodium citrate buffer (pH6.0) for 15 min; Antibody incubation with JAK1 Monoclonal Antibody, Unconjugated(bsm-54138R) at 1:200 overnight at 4°C, followed by conjugation to the bs-0295G-HRP and DAB (C-0010) staining.
Paraformaldehyde-fixed, paraffin embedded Human Lung Cancer; Antigen retrieval by boiling in sodium citrate buffer (pH6.0) for 15 min; Antibody incubation with JAK1 Monoclonal Antibody, Unconjugated(bsm-54138R) at 1:200 overnight at 4°C, followed by conjugation to the bs-0295G-HRP and DAB (C-0010) staining.
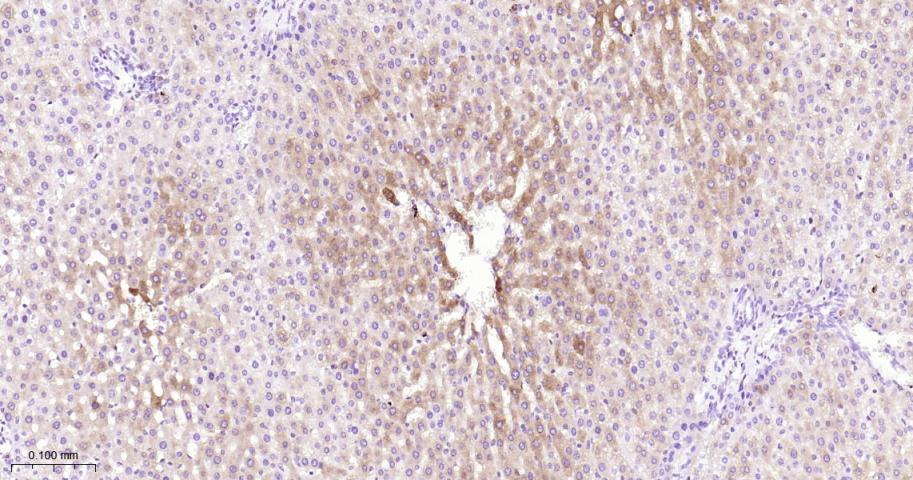
Paraformaldehyde-fixed, paraffin embedded Rat Liver; Antigen retrieval by boiling in sodium citrate buffer (pH6.0) for 15 min; Antibody incubation with JAK1 Monoclonal Antibody, Unconjugated(bsm-54138R) at 1:200 overnight at 4°C, followed by conjugation to the bs-0295G-HRP and DAB (C-0010) staining.
Paraformaldehyde-fixed, paraffin embedded Human Kidney; Antigen retrieval by boiling in sodium citrate buffer (pH6.0) for 15 min; Antibody incubation with JAK1 Monoclonal Antibody, Unconjugated(bsm-54138R) at 1:200 overnight at 4°C, followed by conjugation to the bs-0295G-HRP and DAB (C-0010) staining.
Paraformaldehyde-fixed, paraffin embedded Rat Kidney; Antigen retrieval by boiling in sodium citrate buffer (pH6.0) for 15 min; Antibody incubation with JAK1 Monoclonal Antibody, Unconjugated(bsm-54138R) at 1:200 overnight at 4°C, followed by conjugation to the bs-0295G-HRP and DAB (C-0010) staining.
Paraformaldehyde-fixed, paraffin embedded Mouse Kidney; Antigen retrieval by boiling in sodium citrate buffer (pH6.0) for 15 min; Antibody incubation with JAK1 Monoclonal Antibody, Unconjugated(bsm-54138R) at 1:200 overnight at 4°C, followed by conjugation to the bs-0295G-HRP and DAB (C-0010) staining.
Paraformaldehyde-fixed, paraffin embedded Mouse Spleen; Antigen retrieval by boiling in sodium citrate buffer (pH6.0) for 15 min; Antibody incubation with JAK1 Monoclonal Antibody, Unconjugated(bsm-54138R) at 1:200 overnight at 4°C, followed by conjugation to the bs-0295G-HRP and DAB (C-0010) staining.
Paraformaldehyde-fixed, paraffin embedded Human Colon; Antigen retrieval by boiling in sodium citrate buffer (pH6.0) for 15 min; Antibody incubation with JAK1 Monoclonal Antibody, Unconjugated(bsm-54138R) at 1:200 overnight at 4°C, followed by conjugation to the bs-0295G-HRP and DAB (C-0010) staining.
Paraformaldehyde-fixed, paraffin embedded Rat Colon; Antigen retrieval by boiling in sodium citrate buffer (pH6.0) for 15 min; Antibody incubation with JAK1 Monoclonal Antibody, Unconjugated(bsm-54138R) at 1:200 overnight at 4°C, followed by conjugation to the bs-0295G-HRP and DAB (C-0010) staining.
Paraformaldehyde-fixed, paraffin embedded Mouse Colon; Antigen retrieval by boiling in sodium citrate buffer (pH6.0) for 15 min; Antibody incubation with JAK1 Monoclonal Antibody, Unconjugated(bsm-54138R) at 1:200 overnight at 4°C, followed by conjugation to the bs-0295G-HRP and DAB (C-0010) staining.
The A431 (H) cells were fixed with 4% PFA (10 min at r.t.) and then permeabilized with 90% ice-cold methanol for 20 min at -20℃,the cells then were incubated in 5%BSA to block non-specific protein-protein interactions (30 min at r.t.), followed by secondary antibody incubation for 40 min at room temperature. Primary Antibody (green):Rabbit Anti-JAK1 antibody (bsm-54138R,1:100); Isotype Control (orange): Rabbit IgG (bs-0295P). Blank control (black): PBS. Acquisition of 20,000 events was performed.
版权所有 2004-2026 www.bioss.com.cn 北京博奥森生物技术有限公司
通过国际质量管理体系ISO 9001:2015 GB/T 19001-2016    证书编号: 00124Q34771R2M/1100
通过国际医疗器械-质量管理体系ISO 13485:2016 GB/T 42061-2022     证书编号: CQC24QY20047R0M/1100
京ICP备05066980号-1         京公网安备110107000727号