扫码关注公众号           扫码咨询技术支持           扫码咨询技术服务
  
客服热线:400-901-9800  客服QQ:4009019800  技术答疑  技术支持  质量反馈  关于我们  联系我们
产品中心-北京博奥森生物技术有限公司
首页 > 产品中心 > 一抗 > 产品信息
14-3-3 sigma Recombinant Mouse mAb (bsm-60449M)  
订购热线:400-901-9800
订购邮箱:sales@bioss.com.cn
订购QQ:  400-901-9800
技术支持:techsupport@bioss.com.cn
25ul/800.00元
50ul/1400.00元
100ul/2500.00元
大包装/询价

产品编号 bsm-60449M
英文名称 14-3-3 sigma Recombinant Mouse mAb
中文名称 14-3-3 sigma重组鼠单抗
别    名 14 3 3 protein sigma; 14-3-3 protein sigma; 1433S_HUMAN; Epithelial cell marker protein 1; Er; HME 1; HME1; MGC143283; Mkrn3; Mme1; OTTHUMP00000004242; RP23 137L22.11; SFN; SFN protein; Stratifin; YWHAS.  
研究领域 肿瘤  细胞生物  神经生物学  信号转导  干细胞  细胞凋亡  
抗体来源 Mouse
克隆类型 Recombinant
克 隆 号
交叉反应 Human
产品应用 WB=1:500-2000,IHC-P=1:50-100,IHC-F=1:400-800,IF=1:100-500
not yet tested in other applications.
optimal dilutions/concentrations should be determined by the end user.
理论分子量 28 kDa
检测分子量
细胞定位 细胞浆 分泌型蛋白 
性    状 Liquid
浓    度 1mg/ml
免 疫 原 KLH conjugated synthetic peptide derived from human 14-3-3 sigma 
亚    型 IgG1, Kappa
纯化方法 affinity purified by Protein G
缓 冲 液 0.01M TBS (pH7.4) with 1% BSA, 0.02% Proclin300 and 50% Glycerol.
保存条件 Shipped at 4℃. Store at -20℃ for one year. Avoid repeated freeze/thaw cycles.
注意事项 This product as supplied is intended for research use only, not for use in human, therapeutic or diagnostic applications.
PubMed PubMed
产品介绍 This gene encodes a cell cycle checkpoint protein. The encoded protein binds to translation and initiation factors and functions as a regulator of mitotic translation. In response to DNA damage this protein plays a role in preventing DNA errors during mitosis. [provided by RefSeq, Aug 2017]

SWISS:
P31947

Gene ID:
2810

Database links:

Entrez Gene: 2810 Human

SwissProt: P31947 Human



产品图片
Blocking buffer: 5% NFDM/TBST Primary ab dilution: 1:1000 Primary ab incubation condition: room temperature 2h Secondary ab: Goat Anti-Mouse IgG H&L (HRP) Lysate: HeLa, MCF-7 Protein loading quantity: 20 μg Exposure time: 60 s Predicted MW: 28 kDa Observed MW: 28 kDa
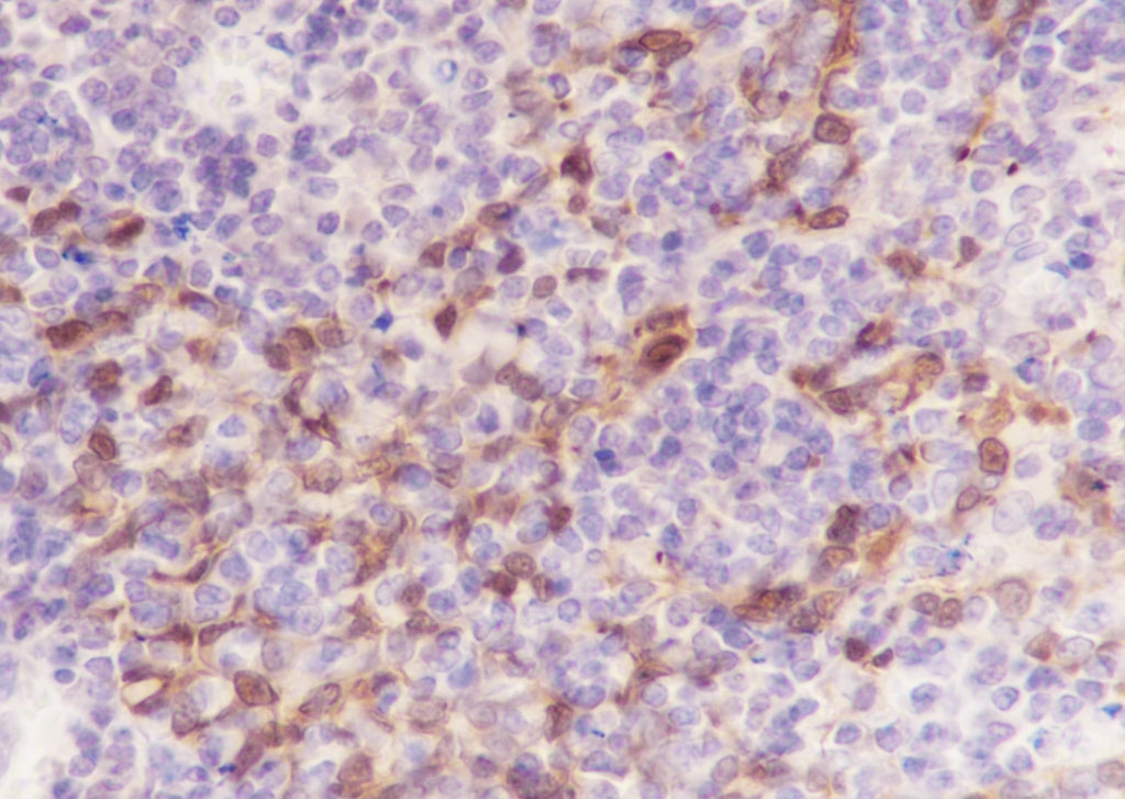
Tissue: Human tonsil Section type: Formalin fixed & Paraffin -embedded section Retrieval method: High temperature and high pressure Retrieval buffer: Tris/EDTA buffer, pH 9.0 Primary ab dilution: 1:100 Primary ab incubation condition: 1 hour at room temperature Secondary ab: SP Kit(Mouse)(sp-0024) Counter stain: Hematoxylin (Blue) Comment: Color brown is the positive signal for bsm-60449M
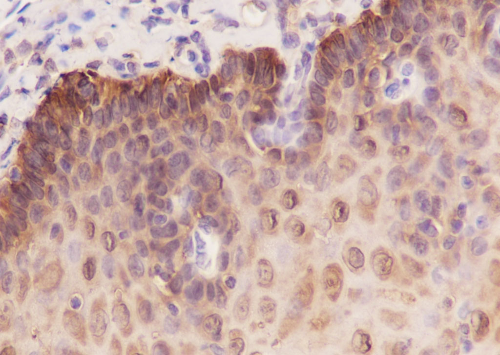
Tissue: Human esophagus Section type: Formalin fixed & Paraffin -embedded section Retrieval method: High temperature and high pressure Retrieval buffer: Tris/EDTA buffer, pH 9.0 Primary ab dilution: 1:100 Primary ab incubation condition: 1 hour at room temperature Secondary ab:SP Kit(Mouse)(sp-0024) Counter stain: Hematoxylin (Blue) Comment: Color brown is the positive signal for bsm-60449M
版权所有 2004-2026 www.bioss.com.cn 北京博奥森生物技术有限公司
通过国际质量管理体系ISO 9001:2015 GB/T 19001-2016    证书编号: 00124Q34771R2M/1100
通过国际医疗器械-质量管理体系ISO 13485:2016 GB/T 42061-2022     证书编号: CQC24QY20047R0M/1100
京ICP备05066980号-1         京公网安备110107000727号