扫码关注公众号           扫码咨询技术支持           扫码咨询技术服务
  
客服热线:400-901-9800  客服QQ:4009019800  技术答疑  技术支持  质量反馈  关于我们  联系我们
产品中心-北京博奥森生物技术有限公司
首页 > 产品中心 > 一抗 > 产品信息
LYPD3 Recombinant Rabbit mAb (bsm-60286R)  
订购热线:400-901-9800
订购邮箱:sales@bioss.com.cn
订购QQ:  400-901-9800
技术支持:techsupport@bioss.com.cn
25ul/800.00元
50ul/1400.00元
100ul/2500.00元
大包装/询价

产品编号 bsm-60286R
英文名称 LYPD3 Recombinant Rabbit mAb
中文名称 C4.4A/LYPD3重组兔单抗
别    名 C4.4A; FLJ10525; GPI-anchored metastasis-associated protein C4.4A homolog; GPI-anchored metastasis-associated protein homolog; Ly6/PLAUR domain-containing protein 3; LYPD3_HUMAN; Matrigel-induced gene C4 protein; MIG-C4; SHINC3.  
研究领域 肿瘤  细胞类型标志物  
抗体来源 Rabbit
克隆类型 Recombinant
克 隆 号 C4F10
交叉反应 Human
产品应用 WB=1:500-2000,IHC-P=1:200-1000,IHC-F=1:200-1000,IF=1:200-1000,ICC/IF=1:50-200
not yet tested in other applications.
optimal dilutions/concentrations should be determined by the end user.
理论分子量 33 kDa
检测分子量
细胞定位 细胞膜 
性    状 Liquid
浓    度 1mg/ml
免 疫 原 KLH conjugated synthetic peptide derived from human LYPD3 
亚    型 IgG
纯化方法 affinity purified by Protein A
缓 冲 液 0.01M TBS (pH7.4) with 1% BSA, 0.02% Proclin300 and 50% Glycerol.
保存条件 Shipped at 4℃. Store at -20℃ for one year. Avoid repeated freeze/thaw cycles.
注意事项 This product as supplied is intended for research use only, not for use in human, therapeutic or diagnostic applications.
PubMed PubMed
产品介绍 Predicted to enable laminin binding activity. Predicted to act upstream of or within cell-matrix adhesion. Located in extracellular space. [provided by Alliance of Genome Resources, Nov 2021]

SWISS:
O95274

Gene ID:
27076

Database links:

Entrez Gene: 27076 Human

SwissProt: O95274 Human



产品图片
Blocking buffer: 5% NFDM/TBST Primary ab dilution: 1:2000 Primary ab incubation condition: 2 hours at room temperature Lysate: A431 Protein loading quantity: 20 μg Exposure time: 30 s Predicted MW: 36 kDa Observed MW: 70 kDa
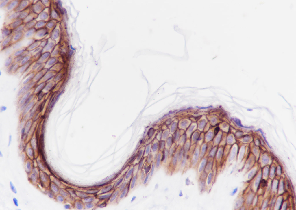
Tissue: Human skin Section type: Formalin fixed & Paraffin -embedded section Retrieval method: High temperature and high pressure Retrieval buffer: Tris/EDTA buffer, pH 9.0 Primary ab dilution: 1:1000 Primary ab incubation condition: 1 hour at room temperature Counter stain: Hematoxylin Comment: Color brown is the positive signal for bsm-60286R
Tissue: Human esophagus Section type: Formalin fixed & Paraffin -embedded section Retrieval method: High temperature and high pressure Retrieval buffer: Tris/EDTA buffer, pH 9.0 Primary ab dilution: 1:1000 Primary ab incubation condition: 1 hour at room temperature Counter stain: Hematoxylin Comment: Color brown is the positive signal for bsm-60286R
Tissue: Human tonsil Section type: Formalin fixed & Paraffin -embedded section Retrieval method: High temperature and high pressure Retrieval buffer: Tris/EDTA buffer, pH 9.0 Primary ab dilution: 1:1000 Primary ab incubation condition: 1 hour at room temperature Counter stain: Hematoxylin Comment: Color brown is the positive signal for bsm-60286R
版权所有 2004-2026 www.bioss.com.cn 北京博奥森生物技术有限公司
通过国际质量管理体系ISO 9001:2015 GB/T 19001-2016    证书编号: 00124Q34771R2M/1100
通过国际医疗器械-质量管理体系ISO 13485:2016 GB/T 42061-2022     证书编号: CQC24QY20047R0M/1100
京ICP备05066980号-1         京公网安备110107000727号