扫码关注公众号           扫码咨询技术支持           扫码咨询技术服务
  
客服热线:400-901-9800  客服QQ:4009019800  技术答疑  技术支持  质量反馈  人才招聘  关于我们  联系我们
产品中心-北京博奥森生物技术有限公司
首页 > 产品中心 > 一抗 > 产品信息
phospho-Girdin (Tyr1765) Recombinant Rabbit mAb (bsm-60279R)  
订购热线:400-901-9800
订购邮箱:sales@bioss.com.cn
订购QQ:  400-901-9800
技术支持:techsupport@bioss.com.cn
25ul/800.00元
50ul/1400.00元
100ul/2500.00元
大包装/询价

产品编号 bsm-60279R
英文名称 phospho-Girdin (Tyr1765) Recombinant Rabbit mAb
中文名称 磷酸化Girdin重组兔单抗
别    名 CCDC88A | Girdin (phospho-Y1765); p-Girdin; phospho-Girdin; p-CCDC88A; CCDC88A | Girdin (phospho-Tyr1765); APE; GIRDIN; GIV; GRDN; HkRP1; KIAA1212; PEHO; PEHOL; A430106J12Rik; C130096N06Rik; C330012F17Rik; D130005J21Rik; RGD1306694; GRDN_HUMAN; CCDC88A; A  肌动蛋白结合蛋白Girdin;
产品类型 磷酸化抗体 重组兔单抗 
研究领域 神经生物学  信号转导  细胞粘附分子  
抗体来源 Rabbit
克隆类型 Recombinant
克 隆 号 G5F7
交叉反应 Human,Mouse,Rat
产品应用 IHC-P=1:200-1000,IHC-F=1:200-1000,IF=1:200-1000
not yet tested in other applications.
optimal dilutions/concentrations should be determined by the end user.
理论分子量 206 kDa
细胞定位 细胞浆 细胞膜 
性    状 Liquid
浓    度 1mg/ml
免 疫 原 KLH conjugated synthesised phosphopeptide derived from human APE around the phosphorylation site of Ser1765: DT(p-Y)FI 
亚    型 IgG
纯化方法 affinity purified by Protein A
缓 冲 液 0.01M TBS (pH7.4) with 1% BSA, 0.02% Proclin300 and 50% Glycerol.
保存条件 Shipped at 4℃. Store at -20℃ for one year. Avoid repeated freeze/thaw cycles.
注意事项 This product as supplied is intended for research use only, not for use in human, therapeutic or diagnostic applications.
PubMed PubMed
产品介绍 This gene encodes a member of the Girdin family of coiled-coil domain containing proteins. The encoded protein is an actin-binding protein that is activated by the serine/threonine kinase Akt and plays a role in cytoskeleton remodeling and cell migration. The encoded protein also enhances Akt signaling by mediating phosphoinositide 3-kinase (PI3K)-dependent activation of Akt by growth factor receptor tyrosine kinases and G protein-coupled receptors. Increased expression of this gene and phosphorylation of the encoded protein may play a role in cancer metastasis. Alternatively spliced transcript variants encoding multiple isoforms have been observed for this gene. [provided by RefSeq, Dec 2011]

SWISS:
Q3V6T2

Gene ID:
55704

Database links:

Entrez Gene: 55704 Human

Entrez Gene: 108686 Mouse

Entrez Gene: 305605 Rat

SwissProt: Q3V6T2 Human

SwissProt: Q5SNZ0 Mouse



产品图片
Tissue:Rat stomach Section type: Formalin fixed & Paraffin -embedded section Retrieval method: High temperature and high pressure Retrieval buffer: Tris/EDTA buffer, pH 9.0 Primary ab dilution: 1:1000 Primary ab incubation condition: 1 hour at room temperature Counter stain: Hematoxylin Comment: Color brown is the positive signal for bsm-60279R
Tissue:Human breast cancer Section type: Formalin fixed & Paraffin -embedded section Retrieval method: High temperature and high pressure Retrieval buffer: Tris/EDTA buffer, pH 9.0 Primary ab dilution: 1:1000 Primary ab incubation condition: 1 hour at room temperature Counter stain: Hematoxylin Comment: Color brown is the positive signal for bsm-60279R
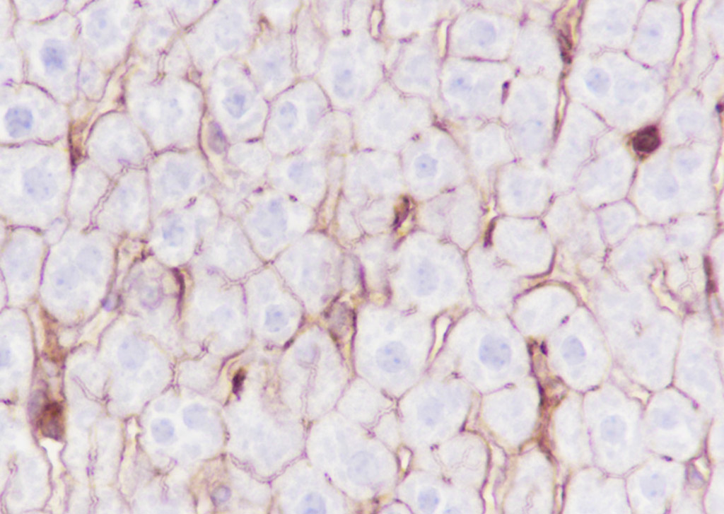
Tissue:Rat liver Section type: Formalin fixed & Paraffin -embedded section Retrieval method: High temperature and high pressure Retrieval buffer: Tris/EDTA buffer, pH 9.0 Primary ab dilution: 1:1000 Primary ab incubation condition: 1 hour at room temperature Counter stain: Hematoxylin Comment: Color brown is the positive signal for bsm-60279R
Tissue:Mouse stomach Section type: Formalin fixed & Paraffin -embedded section Retrieval method: High temperature and high pressure Retrieval buffer: Tris/EDTA buffer, pH 9.0 Primary ab dilution: 1:1000 Primary ab incubation condition: 1 hour at room temperature Counter stain: Hematoxylin Comment: Color brown is the positive signal for bsm-60279R
版权所有 2004-2026 www.bioss.com.cn 北京博奥森生物技术有限公司
通过国际质量管理体系ISO 9001:2015 GB/T 19001-2016    证书编号: 00124Q34771R2M/1100
通过国际医疗器械-质量管理体系ISO 13485:2016 GB/T 42061-2022     证书编号: CQC24QY20047R0M/1100
京ICP备05066980号-1         京公网安备110107000727号