扫码关注公众号           扫码咨询技术支持           扫码咨询技术服务
  
客服热线:400-901-9800  客服QQ:4009019800  技术答疑  技术支持  质量反馈  关于我们  联系我们
产品中心-北京博奥森生物技术有限公司
首页 > 产品中心 > 一抗 > 产品信息
Nucleophosmin Recombinant Rabbit mAb (bsm-60294R)  
订购热线:400-901-9800
订购邮箱:sales@bioss.com.cn
订购QQ:  400-901-9800
技术支持:techsupport@bioss.com.cn
25ul/800.00元
50ul/1400.00元
100ul/2500.00元
大包装/询价

产品编号 bsm-60294R
英文名称 Nucleophosmin Recombinant Rabbit mAb
中文名称 核仁磷酸蛋白重组兔单抗
别    名 B23; B23; MGC104254; NMP1; NMP1; NO38; NPM 1; NPM; NPM_HUMAN; NPM1; Nucleolar phosphoprotein B23; Nucleolar phosphoprotein B23; Nucleolar protein NO38; Nucleophosmin(nucleolar phosphoprotein B23 numatrin); Nucleophosmin; Nucleophosmin/B23.2; Nucleophosmin/nucleoplasmin family member 1; Nucleoplasmin Family Member 1; Nucleoplasmin Family Member 1; Numatrin; Numatrin; OTTHUMP00000161024; OTTHUMP00000161025; OTTHUMP00000223397; OTTHUMP00000223398; TRK fused gene.  
研究领域 染色质和核信号  
抗体来源 Rabbit
克隆类型 Recombinant
克 隆 号 N2H4
交叉反应 Human,Mouse,Rat
产品应用 WB=1:500-2000,IHC-P=1:200-1000,IHC-F=1:200-1000,IF=1:200-1000,ICC/IF=1:50-200
not yet tested in other applications.
optimal dilutions/concentrations should be determined by the end user.
理论分子量 32 kDa
检测分子量
细胞定位 细胞核 
性    状 Liquid
浓    度 1mg/ml
免 疫 原 KLH conjugated synthetic peptide derived from human Nucleophosmin 
亚    型 IgG
纯化方法 affinity purified by Protein A
缓 冲 液 0.01M TBS (pH7.4) with 1% BSA, 0.02% Proclin300 and 50% Glycerol.
保存条件 Shipped at 4℃. Store at -20℃ for one year. Avoid repeated freeze/thaw cycles.
注意事项 This product as supplied is intended for research use only, not for use in human, therapeutic or diagnostic applications.
PubMed PubMed
产品介绍 This gene encodes a phosphoprotein which moves between the nucleus and the cytoplasm. The gene product is thought to be involved in several processes including regulation of the ARF/p53 pathway. A number of genes are fusion partners have been characterized, in particular the anaplastic lymphoma kinase gene on chromosome 2. Mutations in this gene are associated with acute myeloid leukemia. More than a dozen pseudogenes of this gene have been identified. Alternative splicing results in multiple transcript variants.[provided by RefSeq, Nov 2009].

SWISS:
P06748

Gene ID:
4869

产品图片
Blocking buffer: 5% NFDM/TBST Primary ab dilution: 1:2000 Primary ab incubation condition: 2 hours at room temperature Lysate: HeLa, Jurkat, HepG2, A431, 3T3, C2C12 Protein loading quantity: 20 μg Exposure time: 60 s Predicted MW: 33 kDa Observed MW: 37, 33 kDa
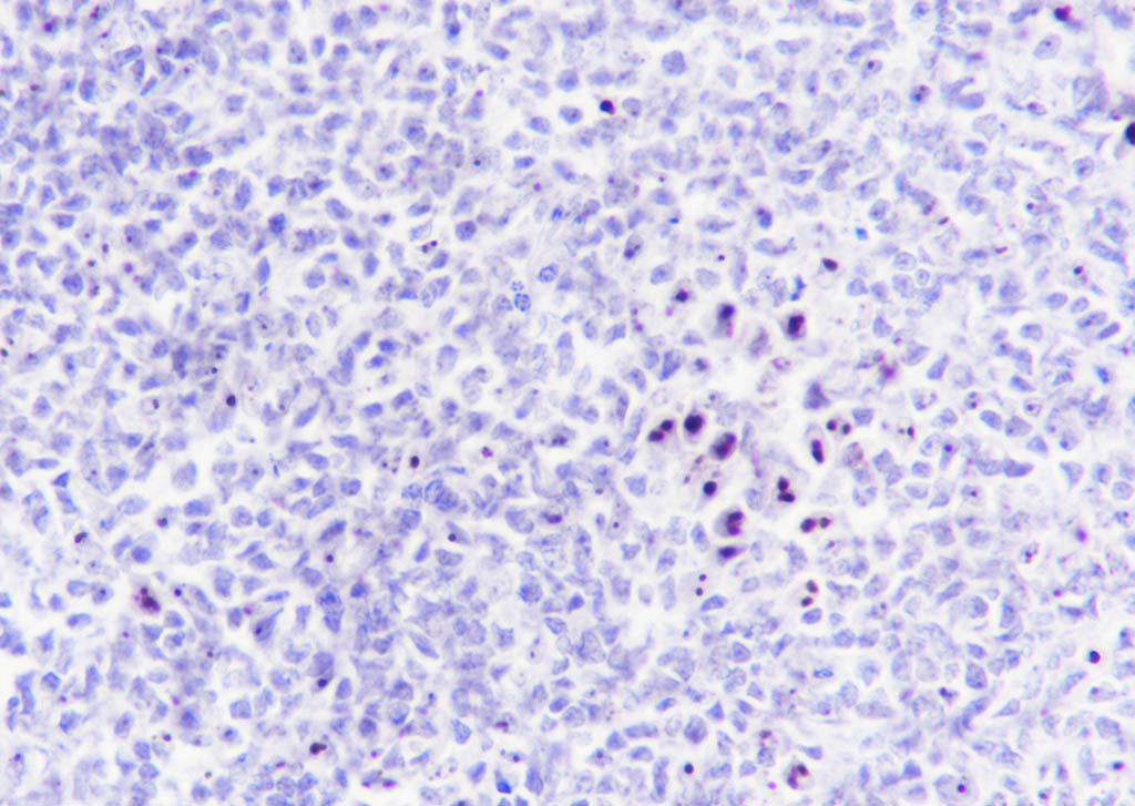
Tissue:Human liver Section type: Formalin fixed & Paraffin -embedded section Retrieval method: High temperature and high pressure Retrieval buffer: Tris/EDTA buffer, pH 9.0 Primary ab dilution: 1:1000 Primary ab incubation condition: 1 hour at room temperature Counter stain: Hematoxylin Comment: Color brown is the positive signal for bsm-60294R
Tissue:Rat kidney Section type: Formalin fixed & Paraffin -embedded section Retrieval method: High temperature and high pressure Retrieval buffer: Tris/EDTA buffer, pH 9.0 Primary ab dilution: 1:1000 Primary ab incubation condition: 1 hour at room temperature Counter stain: Hematoxylin Comment: Color brown is the positive signal for bsm-60294R
Tissue:rat spleen Section type: Formalin fixed & Paraffin -embedded section Retrieval method: High temperature and high pressure Retrieval buffer: Tris/EDTA buffer, pH 9.0 Primary ab dilution: 1:1000 Primary ab incubation condition: 1 hour at room temperature Counter stain: Hematoxylin Comment: Color brown is the positive signal for bsm-60294R
Tissue:Mouse spleen Section type: Formalin fixed & Paraffin -embedded section Retrieval method: High temperature and high pressure Retrieval buffer: Tris/EDTA buffer, pH 9.0 Primary ab dilution: 1:1000 Primary ab incubation condition: 1 hour at room temperature Counter stain: Hematoxylin Comment: Color brown is the positive signal for bsm-60294R
Tissue:Mouse pancreas Section type: Formalin fixed & Paraffin -embedded section Retrieval method: High temperature and high pressure Retrieval buffer: Tris/EDTA buffer, pH 9.0 Primary ab dilution: 1:1000 Primary ab incubation condition: 1 hour at room temperature Counter stain: Hematoxylin Comment: Color brown is the positive signal for bsm-60294R
Tissue:mouse liver Section type: Formalin fixed & Paraffin -embedded section Retrieval method: High temperature and high pressure Retrieval buffer: Tris/EDTA buffer, pH 9.0 Primary ab dilution: 1:1000 Primary ab incubation condition: 1 hour at room temperature Counter stain: Hematoxylin Comment: Color brown is the positive signal for bsm-60294R
Cell line: NIH/3T3 Fixative: 4% Paraformaldehyde Permeabilization: 0.1% TritonX-100 Primary ab dilution: 1:50 Primary incubation condition: 4°C overnight Secondary ab: Goat Anti-Rabbit IgG Nuclear counter stain: DAPI (Blue) Comment: Color green is the positive signal for bsm-60294R
版权所有 2004-2026 www.bioss.com.cn 北京博奥森生物技术有限公司
通过国际质量管理体系ISO 9001:2015 GB/T 19001-2016    证书编号: 00124Q34771R2M/1100
通过国际医疗器械-质量管理体系ISO 13485:2016 GB/T 42061-2022     证书编号: CQC24QY20047R0M/1100
京ICP备05066980号-1         京公网安备110107000727号