扫码关注公众号           扫码咨询技术支持           扫码咨询技术服务
  
客服热线:400-901-9800  客服QQ:4009019800  技术答疑  技术支持  质量反馈  关于我们  联系我们
产品中心-北京博奥森生物技术有限公司
首页 > 产品中心 > 一抗 > 产品信息
CD7 Recombinant Rabbit mAb (bsm-60231R)  
订购热线:400-901-9800
订购邮箱:sales@bioss.com.cn
订购QQ:  400-901-9800
技术支持:techsupport@bioss.com.cn
25ul/800.00元
50ul/1400.00元
100ul/2500.00元
大包装/询价

产品编号 bsm-60231R
英文名称 CD7 Recombinant Rabbit mAb
中文名称 CD7重组兔单抗
别    名 CD7 antigen(p41); CD7 molecule; CD7_HUMAN; T-cell antigen CD7; T-cell leukemia antigen; T-cell surface antigen Leu-9; CD 7; CD7 antigen; CD7 antigen p41; CD7 molecule; GP 40; GP40; LEU 9; LEU9; p41; p41 protein; T cell antigen CD7; T cell antigen CD7 precursor; T cell leukemia antigen; Tp 40; TP 41; Tp40; TP41.  
研究领域 细胞生物  免疫学  t-淋巴细胞  
抗体来源 Rabbit
克隆类型 Recombinant
克 隆 号 B2D9
交叉反应 Human
产品应用 WB=1:500-2000,IHC-P=1:50-200,IHC-F=1:50-200,IF=1:50-200
not yet tested in other applications.
optimal dilutions/concentrations should be determined by the end user.
理论分子量 24 kDa
检测分子量
细胞定位 细胞膜 
性    状 Liquid
浓    度 1mg/ml
免 疫 原 A synthesized peptide derived from human CD7: 200-240/240 
亚    型 IgG
纯化方法 affinity purified by Protein A
缓 冲 液 0.01M TBS (pH7.4) with 1% BSA, 0.02% Proclin300 and 50% Glycerol.
保存条件 Shipped at 4℃. Store at -20℃ for one year. Avoid repeated freeze/thaw cycles.
注意事项 This product as supplied is intended for research use only, not for use in human, therapeutic or diagnostic applications.
PubMed PubMed
产品介绍 This gene encodes a transmembrane protein which is a member of the immunoglobulin superfamily. This protein is found on thymocytes and mature T cells. It plays an essential role in T-cell interactions and also in T-cell/B-cell interaction during early lymphoid development. [provided by RefSeq, Jul 2008]

Subunit:
Interacts with SECTM1.

Subcellular Location:
Membrane; Single-pass type I membrane protein.

Similarity:
Contains 1 Ig-like (immunoglobulin-like) domain.

SWISS:
P09564

Gene ID:
924

Database links:

Entrez Gene: 924 Human

Entrez Gene: 12516 Mouse

Omim: 186820 Human

SwissProt: P09564 Human

SwissProt: P50283 Mouse

Unigene: 36972 Human

Unigene: 4100 Mouse



CD7是一种40kDa的糖蛋白,为Ig超级基因家族的成员,在绝大多数成熟与不成熟T细胞和T细胞白血病中表达,但也表达于NK细胞、小部分正常B细胞和恶性B细胞。如T细胞其它标记物抗体无效,可用CD7来鉴别原始T细胞肿瘤如淋巴母细胞白血病。
产品图片
25 ug total protein per lane of various lysates (see on figure) probed with CD7 monoclonal antibody, unconjugated (bsm-60231R) at 1:1000 dilution and 4°C overnight incubation. Followed by conjugated secondary antibody incubation at r.t. for 60 min.
Paraformaldehyde-fixed, paraffin embedded Human Spleen; Antigen retrieval by boiling in sodium citrate buffer (pH6.0) for 15 min; Antibody incubation with CD7 Monoclonal Antibody, Unconjugated(bsm-60231R) at 1:200 overnight at 4°C, followed by conjugation to the SP Kit (Rabbit, SP-0023) and DAB (C-0010) staining.
Paraformaldehyde-fixed, paraffin embedded Human Tonsil; Antigen retrieval by boiling in sodium citrate buffer (pH6.0) for 15 min; Antibody incubation with CD7 Monoclonal Antibody, Unconjugated(bsm-60231R) at 1:200 overnight at 4°C, followed by conjugation to the SP Kit (Rabbit, SP-0023) and DAB (C-0010) staining.
Paraformaldehyde-fixed, paraffin embedded Human Colon Cancer; Antigen retrieval by boiling in sodium citrate buffer (pH6.0) for 15 min; Antibody incubation with CD7 Monoclonal Antibody, Unconjugated(bsm-60231R) at 1:200 overnight at 4°C, followed by conjugation to the SP Kit (Rabbit, SP-0023) and DAB (C-0010) staining.
Paraformaldehyde-fixed, paraffin embedded Human Endometrium Cancer; Antigen retrieval by boiling in sodium citrate buffer (pH6.0) for 15 min; Antibody incubation with CD7 Monoclonal Antibody, Unconjugated(bsm-60231R) at 1:200 overnight at 4°C, followed by conjugation to the SP Kit (Rabbit, SP-0023) and DAB (C-0010) staining.
Paraformaldehyde-fixed, paraffin embedded Human Esophagus Cancer; Antigen retrieval by boiling in sodium citrate buffer (pH6.0) for 15 min; Antibody incubation with CD7 Monoclonal Antibody, Unconjugated(bsm-60231R) at 1:200 overnight at 4°C, followed by conjugation to the SP Kit (Rabbit, SP-0023) and DAB (C-0010) staining.
Paraformaldehyde-fixed, paraffin embedded Human Thymus; Antigen retrieval by boiling in sodium citrate buffer (pH6.0) for 15 min; Antibody incubation with CD7 Monoclonal Antibody, Unconjugated(bsm-60231R) at 1:200 overnight at 4°C, followed by conjugation to the SP Kit (Rabbit, SP-0023) and DAB (C-0010) staining.
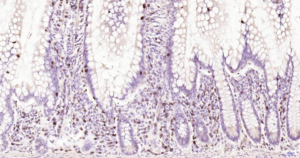
Paraformaldehyde-fixed, paraffin embedded Human Small Intestine; Antigen retrieval by boiling in sodium citrate buffer (pH6.0) for 15 min; Antibody incubation with CD7 Monoclonal Antibody, Unconjugated(bsm-60231R) at 1:200 overnight at 4°C, followed by conjugation to the SP Kit (Rabbit, SP-0023) and DAB (C-0010) staining.
Paraformaldehyde-fixed, paraffin embedded Human Lung Cancer; Antigen retrieval by boiling in sodium citrate buffer (pH6.0) for 15 min; Antibody incubation with CD7 Monoclonal Antibody, Unconjugated(bsm-60231R) at 1:200 overnight at 4°C, followed by conjugation to the SP Kit (Rabbit, SP-0023) and DAB (C-0010) staining.
Paraformaldehyde-fixed, paraffin embedded Human Tonsil; Antigen retrieval by boiling in sodium citrate buffer (pH6.0) for 15 min; The section was incubated with CD7 Monoclonal Antibody, Unconjugated (bsm-60231R) at 1:200 overnight at 4°C. Followed by conjugated Goat Anti-Rabbit IgG antibody (green, bs-0295G-BF488), DAPI (blue, C02-04002) was used to stain the cell nuclei.
版权所有 2004-2026 www.bioss.com.cn 北京博奥森生物技术有限公司
通过国际质量管理体系ISO 9001:2015 GB/T 19001-2016    证书编号: 00124Q34771R2M/1100
通过国际医疗器械-质量管理体系ISO 13485:2016 GB/T 42061-2022     证书编号: CQC24QY20047R0M/1100
京ICP备05066980号-1         京公网安备110107000727号