扫码关注公众号           扫码咨询技术支持           扫码咨询技术服务
  
客服热线:400-901-9800  客服QQ:4009019800  技术答疑  技术支持  质量反馈  人才招聘  关于我们  联系我们
产品中心-北京博奥森生物技术有限公司
首页 > 产品中心 > 一抗 > 产品信息
CD2 Recombinant Rabbit mAb (bsm-60313R)  
订购热线:400-901-9800
订购邮箱:sales@bioss.com.cn
订购QQ:  400-901-9800
技术支持:techsupport@bioss.com.cn
25ul/800.00元
50ul/1400.00元
100ul/2500.00元
大包装/询价

产品编号 bsm-60313R
英文名称 CD2 Recombinant Rabbit mAb
中文名称 CD2重组兔单抗
别    名 LFA-2; SRBC; T11; Ly-37; Ly37; CD2R; LFA2; OX-34; OX34; CD2_HUMAN; CD2; Erythrocyte receptor; LFA-3 receptor; Rosette receptor; T-cell surface antigen T11/Leu-5; CD2_MOUSE; Lymphocyte antigen 37 (Ly-37); CD2_RAT; OX-34 antigen;   
研究领域 细胞生物  免疫学  干细胞  细胞表面分子  糖蛋白  自然杀伤细胞  淋巴细胞  t-淋巴细胞  b-淋巴细胞  
抗体来源 Rabbit
克隆类型 Recombinant
克 隆 号 C11G5
交叉反应 Human
产品应用 IHC-P=1:100-500,IHC-F=1:100-500,IF=1:100-500
not yet tested in other applications.
optimal dilutions/concentrations should be determined by the end user.
理论分子量 37 kDa
细胞定位 细胞膜 
性    状 Liquid
浓    度 1mg/ml
免 疫 原 KLH conjugated synthetic peptide derived from human CD2 
亚    型 IgG
纯化方法 affinity purified by Protein A
缓 冲 液 0.01M TBS (pH7.4) with 1% BSA, 0.02% Proclin300 and 50% Glycerol.
保存条件 Shipped at 4℃. Store at -20℃ for one year. Avoid repeated freeze/thaw cycles.
注意事项 This product as supplied is intended for research use only, not for use in human, therapeutic or diagnostic applications.
PubMed PubMed
产品介绍 The protein encoded by this gene is a surface antigen found on all peripheral blood T-cells. The encoded protein interacts with LFA3 (CD58) on antigen presenting cells to optimize immune recognition. A locus control region (LCR) has been found in the 3' flanking sequence of this gene. [provided by RefSeq, Jun 2016]

Function:
CD2 interacts with lymphocyte function-associated antigen (LFA-3) and CD48/BCM1 to mediate adhesion between T-cells and other cell types. CD2 is implicated in the triggering of T-cells, the cytoplasmic domain is implicated in the signaling function.

Subunit:
Interacts with CD2AP. Interacts with PSTPIP1.

Subcellular Location:
Membrane; Single-pass type I membrane protein.

Similarity:
Contains 1 Ig-like C2-type (immunoglobulin-like) domain.
Contains 1 Ig-like V-type (immunoglobulin-like) domain.

SWISS:
P06729

Gene ID:
914

Database links:

Entrez Gene: 914 Human

Entrez Gene: 12481 Mouse

Entrez Gene: 497761 Rat

Omim: 186990 Human

SwissProt: P06729 Human

SwissProt: P08920 Mouse

SwissProt: P08921 Rat

Unigene: 523500 Human

Unigene: 22842 Mouse

Unigene: 10328 Rat



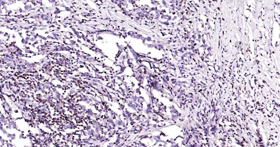
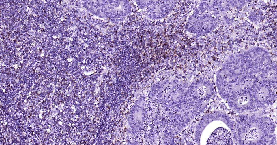
产品图片
Paraformaldehyde-fixed, paraffin embedded Human Thymus; Antigen retrieval by boiling in sodium citrate buffer (pH6.0) for 15 min; Antibody incubation with CD2 Monoclonal Antibody, Unconjugated(bsm-60313R) at 1:200 overnight at 4°C, followed by conjugation to the bs-0295G-HRP and DAB (C-0010) staining.
Paraformaldehyde-fixed, paraffin embedded Human Spleen; Antigen retrieval by boiling in sodium citrate buffer (pH6.0) for 15 min; Antibody incubation with CD2 Monoclonal Antibody, Unconjugated(bsm-60313R) at 1:200 overnight at 4°C, followed by conjugation to the bs-0295G-HRP and DAB (C-0010) staining.
Paraformaldehyde-fixed, paraffin embedded Human Lymph; Antigen retrieval by boiling in sodium citrate buffer (pH6.0) for 15 min; Antibody incubation with CD2 Monoclonal Antibody, Unconjugated(bsm-60313R) at 1:200 overnight at 4°C, followed by conjugation to the bs-0295G-HRP and DAB (C-0010) staining.
Paraformaldehyde-fixed, paraffin embedded Human Tonsil; Antigen retrieval by boiling in sodium citrate buffer (pH6.0) for 15 min; Antibody incubation with CD2 Monoclonal Antibody, Unconjugated(bsm-60313R) at 1:200 overnight at 4°C, followed by conjugation to the bs-0295G-HRP and DAB (C-0010) staining.
Paraformaldehyde-fixed, paraffin embedded Human Endometrial Cancer; Antigen retrieval by boiling in sodium citrate buffer (pH6.0) for 15 min; Antibody incubation with CD2 Monoclonal Antibody, Unconjugated(bsm-60313R) at 1:200 overnight at 4°C, followed by conjugation to the bs-0295G-HRP and DAB (C-0010) staining.
Paraformaldehyde-fixed, paraffin embedded Human Esophagus Cancer; Antigen retrieval by boiling in sodium citrate buffer (pH6.0) for 15 min; Antibody incubation with CD2 Monoclonal Antibody, Unconjugated(bsm-60313R) at 1:200 overnight at 4°C, followed by conjugation to the bs-0295G-HRP and DAB (C-0010) staining.
Paraformaldehyde-fixed, paraffin embedded Human Colon Cancer; Antigen retrieval by boiling in sodium citrate buffer (pH6.0) for 15 min; Antibody incubation with CD2 Monoclonal Antibody, Unconjugated(bsm-60313R) at 1:200 overnight at 4°C, followed by conjugation to the bs-0295G-HRP and DAB (C-0010) staining.
Paraformaldehyde-fixed, paraffin embedded Human Lung Cancer; Antigen retrieval by boiling in sodium citrate buffer (pH6.0) for 15 min; Antibody incubation with CD2 Monoclonal Antibody, Unconjugated(bsm-60313R) at 1:200 overnight at 4°C, followed by conjugation to the bs-0295G-HRP and DAB (C-0010) staining.
(Negative control) Paraformaldehyde-fixed, paraffin embedded Human Skeletal muscle; Antigen retrieval by boiling in sodium citrate buffer (pH6.0) for 15 min; Antibody incubation with CD2 Monoclonal Antibody, Unconjugated(bsm-60313R) at 1:200 overnight at 4°C, followed by conjugation to the bs-0295G-HRP and DAB (C-0010) staining.
版权所有 2004-2026 www.bioss.com.cn 北京博奥森生物技术有限公司
通过国际质量管理体系ISO 9001:2015 GB/T 19001-2016    证书编号: 00124Q34771R2M/1100
通过国际医疗器械-质量管理体系ISO 13485:2016 GB/T 42061-2022     证书编号: CQC24QY20047R0M/1100
京ICP备05066980号-1         京公网安备110107000727号