扫码关注公众号           扫码咨询技术支持           扫码咨询技术服务
  
客服热线:400-901-9800  客服QQ:4009019800  技术答疑  技术支持  质量反馈  关于我们  联系我们
产品中心-北京博奥森生物技术有限公司
首页 > 产品中心 > 一抗 > 产品信息
CD59 Recombinant Rabbit mAb (bsm-60603R)  
订购热线:400-901-9800
订购邮箱:sales@bioss.com.cn
订购QQ:  400-901-9800
技术支持:techsupport@bioss.com.cn
25ul/800.00元
50ul/1400.00元
100ul/2500.00元
大包装/询价

产品编号 bsm-60603R
英文名称 CD59 Recombinant Rabbit mAb
中文名称 CD59重组兔单抗
别    名 CD59 glycoprotein; CD59 molecule(CD59 blood group); 1F5 antigen; 20 kDa homologous restriction factor; MAC-inhibitory protein; Membrane attack complex inhibition factor; Membrane inhibitor of reactive lysis; MEM43 antigen; MACIF; 1F5; EJ16; EJ30; EL32; G344; MIN1; MIN2; MIN3; MIRL; HRF20; MACIF; MEM43; MIC11; MSK21; 16.3A5; HRF-20; MAC-IP; p18-20; CD59_HUMAN.  
研究领域 心血管  免疫学  信号转导  干细胞  
抗体来源 Rabbit
克隆类型 Recombinant
克 隆 号 E10F7
交叉反应 Human
产品应用 WB=1:500-2000,IHC-P=1:50-200,IHC-F=1:50-200,IF=1:50-200
not yet tested in other applications.
optimal dilutions/concentrations should be determined by the end user.
理论分子量 9 kDa
检测分子量
细胞定位 细胞膜 
性    状 Liquid
浓    度 1mg/ml
免 疫 原 KLH conjugated synthetic peptide derived from human CD59 
亚    型 IgG
纯化方法 affinity purified by Protein A
缓 冲 液 0.01M TBS (pH7.4) with 1% BSA, 0.02% Proclin300 and 50% Glycerol.
保存条件 Shipped at 4℃. Store at -20℃ for one year. Avoid repeated freeze/thaw cycles.
注意事项 This product as supplied is intended for research use only, not for use in human, therapeutic or diagnostic applications.
PubMed PubMed
产品介绍 This gene encodes a cell surface glycoprotein that regulates complement-mediated cell lysis, and it is involved in lymphocyte signal transduction. This protein is a potent inhibitor of the complement membrane attack complex, whereby it binds complement C8 and/or C9 during the assembly of this complex, thereby inhibiting the incorporation of multiple copies of C9 into the complex, which is necessary for osmolytic pore formation. This protein also plays a role in signal transduction pathways in the activation of T cells. Mutations in this gene cause CD59 deficiency, a disease resulting in hemolytic anemia and thrombosis, and which causes cerebral infarction. Multiple alternatively spliced transcript variants, which encode the same protein, have been identified for this gene. [provided by RefSeq, Jul 2008]

Function:
Potent inhibitor of the complement membrane attack complex (MAC) action. Acts by binding to the C8 and/or C9 complements of the assembling MAC, thereby preventing incorporation of the multiple copies of C9 required for complete formation of the osmolytic pore. This inhibitor appears to be species-specific. Involved in signal transduction for T-cell activation complexed to a protein tyrosine kinase.
The soluble form from urine retains its specific complement binding activity, but exhibits greatly reduced ability to inhibit MAC assembly on cell membranes.

Subunit:
Interacts with T-cell surface antigen CD2.

Subcellular Location:
Cell membrane; Lipid-anchor, GPI-anchor. Secreted. Note=Soluble form found in a number of tissues.

Post-translational modifications:
N- and O-glycosylated. The N-glycosylation mainly consists of a family of biantennary complex-type structures with and without lactosamine extensions and outer arm fucose residues. Also significant amounts of triantennary complexes (22%). Variable sialylation also present in the Asn-43 oligosaccharide. The predominant O-glycans are mono-sialylated forms of the disaccharide, Gal-beta-1,3GalNAc, and their sites of attachment are probably on Thr-76 and Thr-77. The GPI-anchor of soluble urinary CD59 has no inositol-associated phospholipid, but is composed of seven different GPI-anchor variants of one or more monosaccharide units. Major variants contain sialic acid, mannose and glucosamine Sialic acid linked to an N-acetylhexosamine-galactose arm is present in two variants.
Glycated. Glycation is found in diabetic subjects, but only at minimal levels in nondiabetic subjects. Glycated CD59 lacks MAC-inhibitory function and confers to vascular complications of diabetes.

DISEASE:
CD59 deficiency (CD59D) [MIM:612300]: A deficiency resulting in chronic complement-mediated intravascular hemolysis, anemia, hemoglobinuria and thrombosis. Note=The disease is caused by mutations affecting the gene represented in this entry.

Similarity:
Contains 1 UPAR/Ly6 domain.

SWISS:
P13987

Gene ID:
966

Database links:

Entrez Gene: 966 Human

Entrez Gene: 12509 Mouse

Omim: 107271 Human

SwissProt: P13987 Human

SwissProt: O55186 Mouse

Unigene: 278573 Human

Unigene: 709466 Human

Unigene: 710641 Human

Unigene: 247265 Mouse



反应性溶血膜抑制蛋白(CD59)是血细胞膜上糖化磷脂酰肌醇(GPI)锚定蛋白,具有抑制补体系统激活,参与信号传递,有协助T淋巴细胞活化功能,CD59在补体调节过程中起着很主要的作用。
产品图片
Sample: Lane 1: Human Hela cell Lysates Lane 2: Human U-87 MG cell Lysates Lane 3: Human HUVEC cell Lysates Primary: Anti-CD59 (bsm-60603R) at 1/1000 dilution Secondary: IRDye800CW Goat Anti-Rabbit IgG at 1/20000 dilution Predicted band size: 9kDa Observed band size: 15kDa
25 ug total protein per lane of various lysates (see on figure) probed with CD59 monoclonal antibody, unconjugated (bsm-60603R) at 1:1000 dilution and 4°C overnight incubation. Followed by conjugated secondary antibody incubation at r.t. for 60 min.
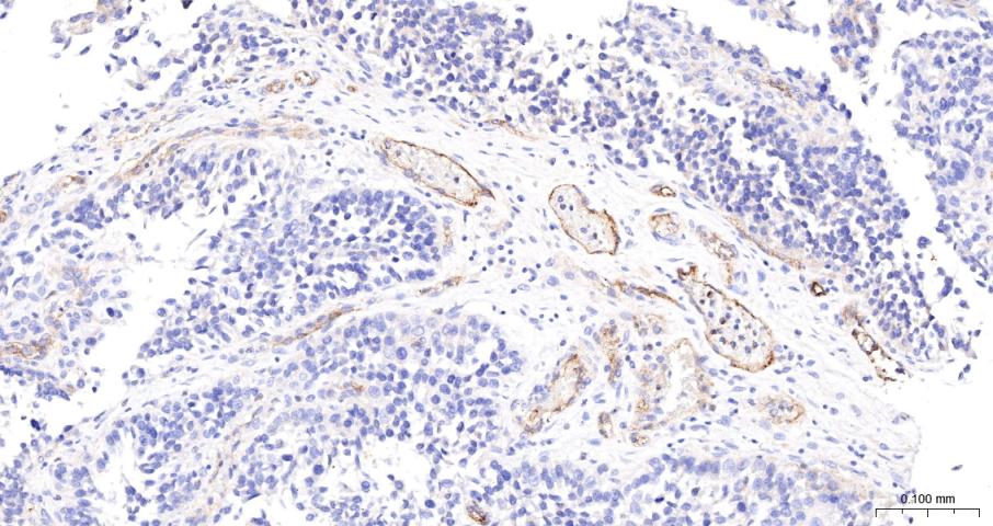
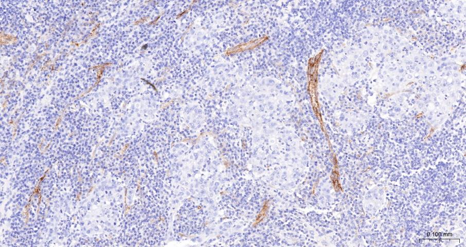
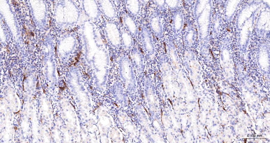
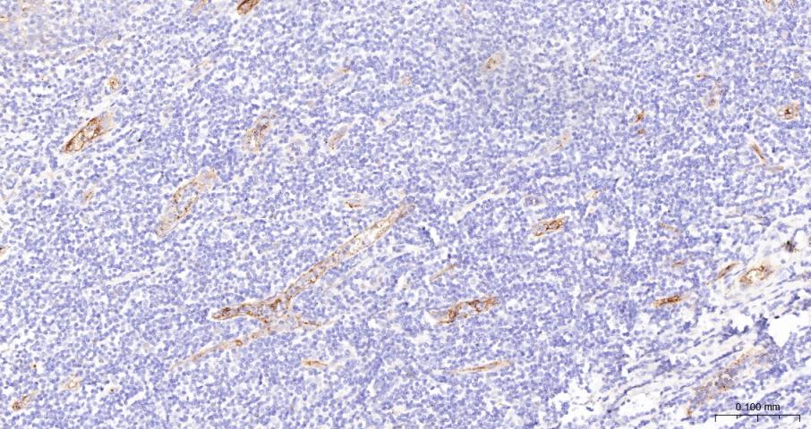
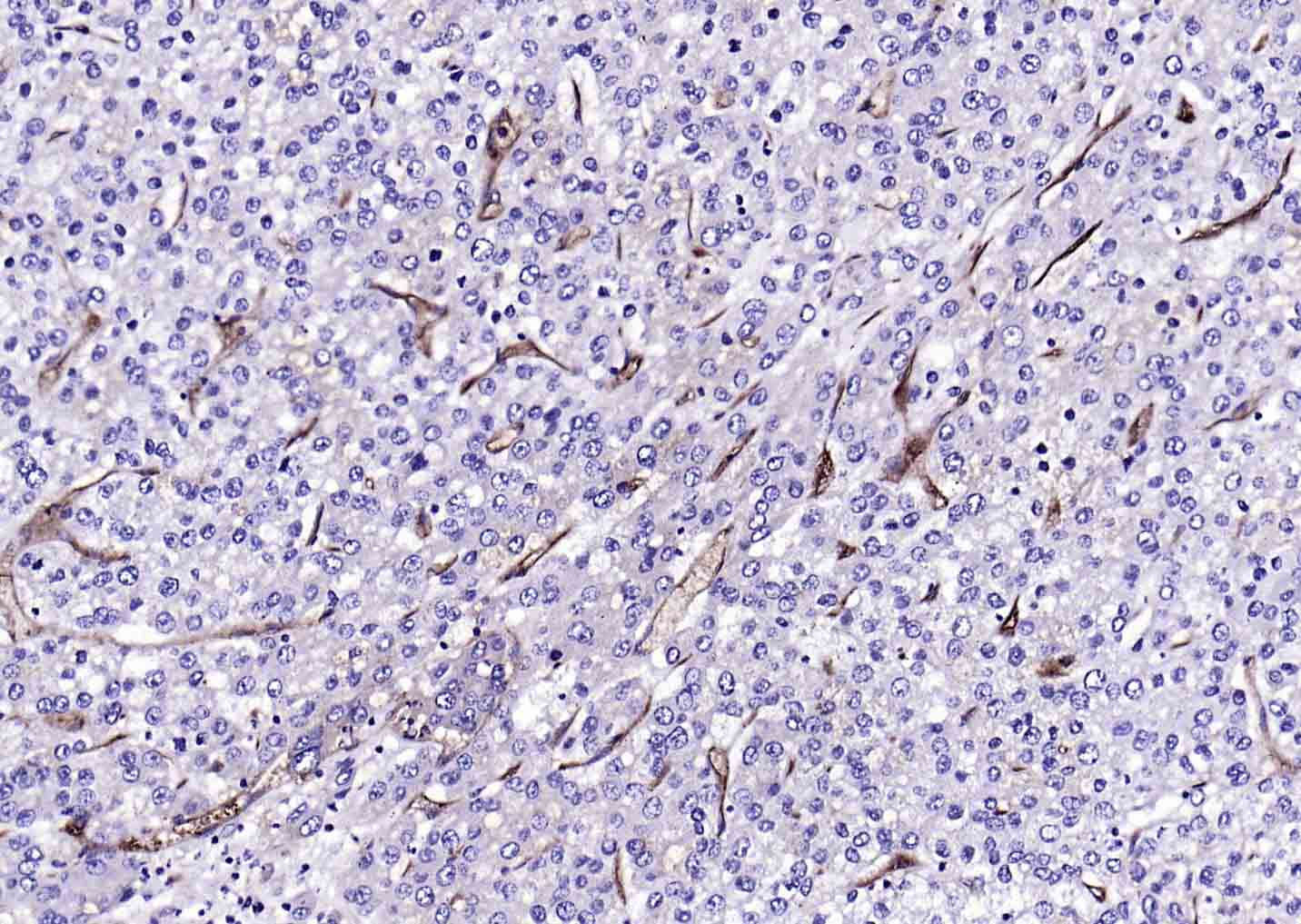
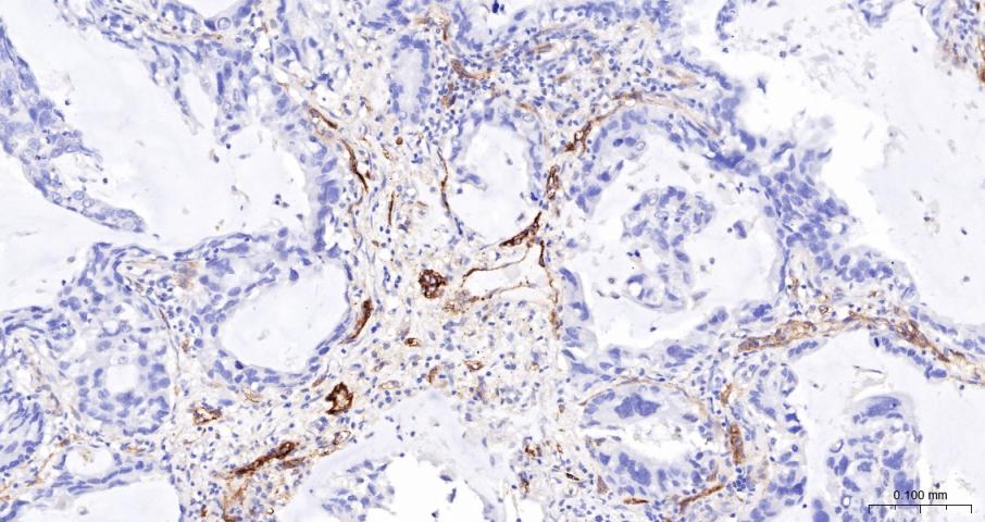
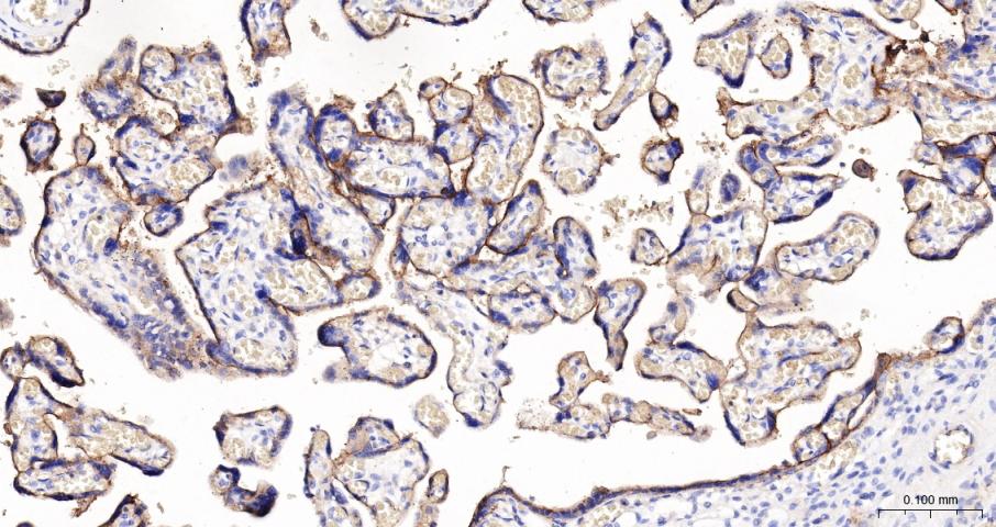
Paraformaldehyde-fixed, paraffin embedded Human Gastric Cancer; Antigen retrieval by boiling in sodium citrate buffer (pH6.0) for 15 min; The section was incubated with CD59 Monoclonal Antibody, Unconjugated (bsm-60603R) at 1:200 overnight at 4°C, followed by conjugation to the bs-0295G-HRP and DAB (C-0010) staining.
Paraformaldehyde-fixed, paraffin embedded Human Stomach; Antigen retrieval by boiling in sodium citrate buffer (pH6.0) for 15 min; The section was incubated with CD59 Monoclonal Antibody, Unconjugated (bsm-60603R) at 1:200 overnight at 4°C, followed by conjugation to the bs-0295G-HRP and DAB (C-0010) staining.
Paraformaldehyde-fixed, paraffin embedded Human Placenta; Antigen retrieval by boiling in sodium citrate buffer (pH6.0) for 15 min; The section was incubated with CD59 Monoclonal Antibody, Unconjugated (bsm-60603R) at 1:200 overnight at 4°C, followed by conjugation to the bs-0295G-HRP and DAB (C-0010) staining.
Paraformaldehyde-fixed, paraffin embedded Human Tonsil; Antigen retrieval by boiling in sodium citrate buffer (pH6.0) for 15 min; The section was incubated with CD59 Monoclonal Antibody, Unconjugated (bsm-60603R) at 1:200 overnight at 4°C, followed by conjugation to the bs-0295G-HRP and DAB (C-0010) staining.
Paraformaldehyde-fixed, paraffin embedded Human Colon Cancer; Antigen retrieval by boiling in sodium citrate buffer (pH6.0) for 15 min; The section was incubated with CD59 Monoclonal Antibody, Unconjugated (bsm-60603R) at 1:200 overnight at 4°C, followed by conjugation to the bs-0295G-HRP and DAB (C-0010) staining.
Paraformaldehyde-fixed, paraffin embedded Human Lung Cancer; Antigen retrieval by boiling in sodium citrate buffer (pH6.0) for 15 min; The section was incubated with CD59 Monoclonal Antibody, Unconjugated (bsm-60603R) at 1:200 overnight at 4°C, followed by conjugation to the bs-0295G-HRP and DAB (C-0010) staining.
Paraformaldehyde-fixed, paraffin embedded Human Invasive urothelial carcinoma of the bladder; Antigen retrieval by boiling in sodium citrate buffer (pH6.0) for 15 min; The section was incubated with CD59 Monoclonal Antibody, Unconjugated (bsm-60603R) at 1:200 overnight at 4°C, followed by conjugation to the bs-0295G-HRP and DAB (C-0010) staining.
版权所有 2004-2026 www.bioss.com.cn 北京博奥森生物技术有限公司
通过国际质量管理体系ISO 9001:2015 GB/T 19001-2016    证书编号: 00124Q34771R2M/1100
通过国际医疗器械-质量管理体系ISO 13485:2016 GB/T 42061-2022     证书编号: CQC24QY20047R0M/1100
京ICP备05066980号-1         京公网安备110107000727号