扫码关注公众号           扫码咨询技术支持           扫码咨询技术服务
  
客服热线:400-901-9800  客服QQ:4009019800  技术答疑  技术支持  质量反馈  关于我们  联系我们
产品中心-北京博奥森生物技术有限公司
首页 > 产品中心 > IVD原料 > 产品信息
NF-L Mouse mAb (V5505)  
订购热线:400-901-9800
订购邮箱:sales@bioss.com.cn
订购QQ:  400-901-9800
技术支持:techsupport@bioss.com.cn
定制/大包装/询价
大包装/询价

产品编号 V5505
英文名称 NF-L Mouse mAb
中文名称 低分子量神经丝蛋白单克隆抗体
别    名 Neurofilament L; Neurofilament 68; Neurofilament triplet L; 70 kD Neurofilament Light; 68kDa neurofilament protein; CMT 1F; CMT 2E; CMT1F; CMT2E; FLJ53642; Light molecular weight neurofilament protein; NEFL; Neurofilament light; Neurofilament light polypeptide 68kDa; Neurofilament light polypeptide; Neurofilament protein, light chain; Neurofilament subunit NF L; Neurofilament triplet L protein; NF 68; NF L; NF68; NFL; NFL_HUMAN.  
克 隆 号 6F2
理论分子量 68 kDa
检测分子量
细胞定位 细胞浆 
性    状 Liquid
纯    度 V5505-V5504
缓 冲 液 0.01M PBS (pH7.4).
保存条件 Shipped at 4℃. Store at -20℃ for one year. Avoid repeated freeze/thaw cycles.
注意事项 This product as supplied is intended for research use only, not for use in human, therapeutic or diagnostic applications.
产品介绍 Neurofilament light polypeptide also called NF-L; Neurofilament triplet L protein; 68 kDa neurofilament protein. Neurofilaments usually contain three intermediate filament proteins: L, M, and H which are involved in the maintenance of neuronal caliber. The extra mass and high charge density that distinguish the neurofilament proteins from all other intermediate filament proteins are due to the tailpiece extensions. This region may form a charged scaffolding structure suitable for interaction with other neuronal components or ions. NF-L is the most abundant of the three neurofilament proteins and, as the other nonepithelial intermediate filament proteins, it can form homopolymeric 10-nm filaments. Belongs to the intermediate filament family.

Function:
Neurofilaments usually contain three intermediate filament proteins: L, M, and H which are involved in the maintenance of neuronal caliber.

Subunit:
Interacts with ARHGEF28. Interacts with TRIM2.

Post-translational modifications:
O-glycosylated.
Phosphorylated in the head and rod regions by the PKC kinase PKN1, leading to the inhibition of polymerization.
Ubiquitinated in the presence of TRIM2 and UBE2D1.

DISEASE:
Defects in NEFL are the cause of Charcot-Marie-Tooth disease type 1F (CMT1F) [MIM:607734]. CMT1F is a form of Charcot-Marie-Tooth disease, the most common inherited disorder of the peripheral nervous system. Charcot-Marie-Tooth disease is classified in two main groups on the basis of electrophysiologic properties and histopathology: primary peripheral demyelinating neuropathy or CMT1, and primary peripheral axonal neuropathy or CMT2. Neuropathies of the CMT1 group are characterized by severely reduced nerve conduction velocities (less than 38 m/sec), segmental demyelination and remyelination with onion bulb formations on nerve biopsy, slowly progressive distal muscle atrophy and weakness, absent deep tendon reflexes, and hollow feet. CMT1F is characterized by onset in infancy or childhood (range 1 to 13 years).
Defects in NEFL are the cause of Charcot-Marie-Tooth disease type 2E (CMT2E) [MIM:607684]. CMT2E is an autosomal dominant form of Charcot-Marie-Tooth disease type 2. Neuropathies of the CMT2 group are characterized by signs of axonal regeneration in the absence of obvious myelin alterations, normal or slightly reduced nerve conduction velocities, and progressive distal muscle weakness and atrophy.

Similarity:
Belongs to the intermediate filament family.

SWISS:
P07196

Gene ID:
4747

Database links:

Entrez Gene: 4747 Human

Entrez Gene: 18039 Mouse

Entrez Gene: 83613 Rat

Omim: 162280 Human

SwissProt: P07196 Human

SwissProt: P08551 Mouse

SwissProt: P19527 Rat

Unigene: 521461 Human

Unigene: 1956 Mouse

Unigene: 18568 Rat



神经生物学相关蛋白(Neurobiology)
低分子量神经丝蛋白,简称NF-L,分子量为68kDa,NF-L的聚集与神经退行性疾病的发病机理相关,如运动神经元的降解等。
神经纤丝蛋白的功能是提供弹性使神经纤维易于伸展和防止断裂。
神经丝是中间纤维的一种重要类型又称神经微丝蛋白,特异地在神经细胞内表达,并在轴突内相互平行排列成束. 哺乳动物的神经丝由3种蛋白组成:
低分子量神经丝蛋白,简称NF-L;分子量为68kDa;
中分子量神经丝蛋白,简称NF-M;分子量为160kDa;
高分子量神经丝蛋白,简称NF-H,分子量为200 kDa。
产品图片
Sample: Lane 1: Recombinant Human NF-L Protein at 100ng Primary: Mouse Anti-NF-L Monoclonal Antibody at 1/1000 dilution (Cat.V5505) Secondary: IRDye800CW Goat Anti-Mouse IgG at 1/20000 dilution Predicted band size: 61.4kD Observed band size: 68/44kD
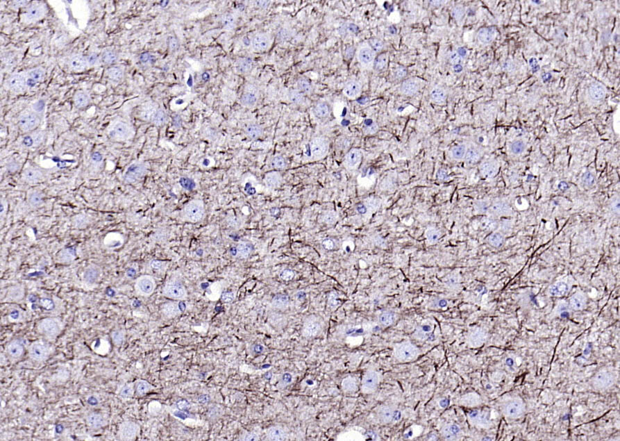
Paraformaldehyde-fixed, paraffin embedded (mouse brain); Antigen retrieval by boiling in sodium citrate buffer (pH6.0) for 15min; Block endogenous peroxidase by 3% hydrogen peroxide for 20 minutes; Blocking buffer (normal goat serum) at 37°C for 30min; Antibody incubation with (NF-L) Monoclonal Antibody, Unconjugated (V5505) at 1:200 overnight at 4°C, followed by operating according to SP Kit(Mouse)(sp-0024) instructionsand DAB staining.
Paraformaldehyde-fixed, paraffin embedded (mouse cerebellum); Antigen retrieval by boiling in sodium citrate buffer (pH6.0) for 15min; Block endogenous peroxidase by 3% hydrogen peroxide for 20 minutes; Blocking buffer (normal goat serum) at 37°C for 30min; Antibody incubation with (NF-L) Monoclonal Antibody, Unconjugated (V5505) at 1:200 overnight at 4°C, followed by operating according to SP Kit(Mouse)(sp-0024) instructionsand DAB staining.
Paraformaldehyde-fixed, paraffin embedded (rat cerebellum); Antigen retrieval by boiling in sodium citrate buffer (pH6.0) for 15min; Block endogenous peroxidase by 3% hydrogen peroxide for 20 minutes; Blocking buffer (normal goat serum) at 37°C for 30min; Antibody incubation with (NF-L) Monoclonal Antibody, Unconjugated (V5505) at 1:200 overnight at 4°C, followed by operating according to SP Kit(Mouse)(sp-0024) instructionsand DAB staining.
Paraformaldehyde-fixed, paraffin embedded (rat brain); Antigen retrieval by boiling in sodium citrate buffer (pH6.0) for 15min; Block endogenous peroxidase by 3% hydrogen peroxide for 20 minutes; Blocking buffer (normal goat serum) at 37°C for 30min; Antibody incubation with (NF-L) Monoclonal Antibody, Unconjugated (V5505) at 1:200 overnight at 4°C, followed by operating according to SP Kit(Mouse)(sp-0024) instructionsand DAB staining.
Measured by its binding ability in a indirect ELISA. Immobilized Human NF-L protein, His Tag (Cat. bs-41217P) at 2 μg/mL (100 μL/well) can bind  Mouse Anti-Human NF-L Antibody, the EC50 is 16.47 ng/mL.
版权所有 2004-2026 www.bioss.com.cn 北京博奥森生物技术有限公司
通过国际质量管理体系ISO 9001:2015 GB/T 19001-2016    证书编号: 00124Q34771R2M/1100
通过国际医疗器械-质量管理体系ISO 13485:2016 GB/T 42061-2022     证书编号: CQC24QY20047R0M/1100
京ICP备05066980号-1         京公网安备110107000727号