扫码关注公众号           扫码咨询技术支持           扫码咨询技术服务
  
客服热线:400-901-9800  客服QQ:4009019800  技术答疑  技术支持  质量反馈  关于我们  联系我们
产品中心-北京博奥森生物技术有限公司
首页 > 产品中心 > 一抗 > 产品信息
phospho-BHMT1(Thr45) Rabbit pAb (bs-39011R)  
订购热线:400-901-9800
订购邮箱:sales@bioss.com.cn
订购QQ:  400-901-9800
技术支持:techsupport@bioss.com.cn
50ul/1180.00元
100ul/1980.00元
大包装/询价

产品编号 bs-39011R
英文名称 phospho-BHMT1(Thr45) Rabbit pAb
中文名称 磷酸化BHMT抗体
别    名 BHMT1(phospho T45); BHMT1(phospho-Thr45); p-BHMT1(Thr45); betaine homocysteine methyltransferase; betaine homocysteine S methyltransferase 1; betaine homocysteine S methyltransferase; betaine--homocysteine S-methyltransferase 1; BHMT1; BHMT1_HUMAN; EC 2.1.1.5; Epididymis secretory sperm binding protein Li 61p; HEL S 61p.  
产品类型 磷酸化抗体 
研究领域 肿瘤  信号转导  新陈代谢  
抗体来源 Rabbit
克隆类型 Polyclonal
克 隆 号
交叉反应 Human,Mouse,Rat
产品应用 IHC-P=1:100-500,IHC-F=1:100-500,IF=1:100-500
not yet tested in other applications.
optimal dilutions/concentrations should be determined by the end user.
理论分子量 45 kDa
检测分子量
细胞定位 细胞浆 
性    状 Liquid
浓    度 1mg/ml
免 疫 原 KLH conjugated Synthesised phosphopeptide derived from human BHMT1 around the phosphorylation site of Thr45 : PW(p-T)PE 
亚    型 IgG
纯化方法 affinity purified by Protein A
缓 冲 液 0.01M TBS (pH7.4) with 1% BSA, 0.02% Proclin300 and 50% Glycerol.
保存条件 Shipped at 4℃. Store at -20℃ for one year. Avoid repeated freeze/thaw cycles.
注意事项 This product as supplied is intended for research use only, not for use in human, therapeutic or diagnostic applications.
PubMed PubMed
产品介绍 This gene encodes a cytosolic enzyme that catalyzes the conversion of betaine and homocysteine to dimethylglycine and methionine, respectively. Defects in this gene could lead to hyperhomocyst(e)inemia, but such a defect has not yet been observed. [provided by RefSeq, Jul 2008]

Function:
Involved in the regulation of homocysteine metabolism. Converts betaine and homocysteine to dimethylglycine and methionine, respectively. This reaction is also required for the irreversible oxidation of choline.

Subcellular Location:
Cytoplasm.

Tissue Specificity:
Found exclusively in liver and kidney.

Similarity:
Contains 1 Hcy-binding domain.

SWISS:
Q93088

Gene ID:
635

Database links:


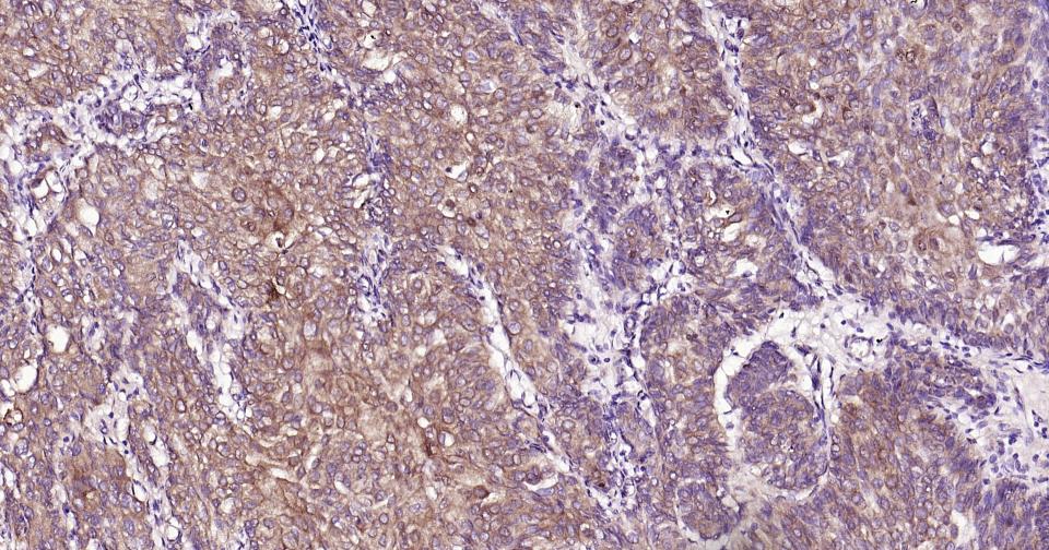
产品图片
Paraformaldehyde-fixed, paraffin embedded Human Kidney Cancer; Antigen retrieval by boiling in sodium citrate buffer (pH6.0) for 15 min; Antibody incubation with phospho-BHMT1(Thr45) Polyclonal Antibody, Unconjugated (bs-39011R) at 1:200 overnight at 4°C, followed by conjugation to the bs-0295G-HRPand DAB (C-0010) staining.
Paraformaldehyde-fixed, paraffin embedded Human Kidney; Antigen retrieval by boiling in sodium citrate buffer (pH6.0) for 15 min; Antibody incubation with phospho-BHMT1(Thr45) Polyclonal Antibody, Unconjugated (bs-39011R) at 1:200 overnight at 4°C, followed by conjugation to the bs-0295G-HRPand DAB (C-0010) staining.
Paraformaldehyde-fixed, paraffin embedded Human Liver; Antigen retrieval by boiling in sodium citrate buffer (pH6.0) for 15 min; Antibody incubation with phospho-BHMT1(Thr45) Polyclonal Antibody, Unconjugated (bs-39011R) at 1:200 overnight at 4°C, followed by conjugation to the bs-0295G-HRPand DAB (C-0010) staining.
Paraformaldehyde-fixed, paraffin embedded Rat Liver; Antigen retrieval by boiling in sodium citrate buffer (pH6.0) for 15 min; Antibody incubation with phospho-BHMT1(Thr45) Polyclonal Antibody, Unconjugated (bs-39011R) at 1:200 overnight at 4°C, followed by conjugation to the bs-0295G-HRPand DAB (C-0010) staining.
Paraformaldehyde-fixed, paraffin embedded Mouse Liver; Antigen retrieval by boiling in sodium citrate buffer (pH6.0) for 15 min; Antibody incubation with phospho-BHMT1(Thr45) Polyclonal Antibody, Unconjugated (bs-39011R) at 1:200 overnight at 4°C, followed by conjugation to the bs-0295G-HRPand DAB (C-0010) staining.
版权所有 2004-2026 www.bioss.com.cn 北京博奥森生物技术有限公司
通过国际质量管理体系ISO 9001:2015 GB/T 19001-2016    证书编号: 00124Q34771R2M/1100
通过国际医疗器械-质量管理体系ISO 13485:2016 GB/T 42061-2022     证书编号: CQC24QY20047R0M/1100
京ICP备05066980号-1         京公网安备110107000727号