 
| 产品编号 | bsm-33870M | 
| 英文名称 | phospho-GSK-3 Beta (Ser9) Mouse mAb | 
| 中文名称 | 磷酸化糖原合酶激酶-3β单克隆抗体 | 
| 别 名 | GSK3 beta(phospho S9); p-GSK3 beta(phospho S9); GSK3B(phospho-Ser9); GSK3B(phospho-S9); p-GSK-3 beta(Ser9); p-GSK-3 beta(S9); Glycogen synthase kinase 3 beta; GSK 3 beta; GSK 3B; GSK3B; GSK3B protein; GSK3beta isoform; GSK3 beta; Glycogen synthase kinase-3 beta; GSK-3 beta; GSK3B_HUMAN. | 
| 产品类型 | 磷酸化抗体 | 
| 研究领域 | 细胞生物 神经生物学 信号转导 细胞凋亡 激酶和磷酸酶 | 
| 抗体来源 | Mouse | 
| 克隆类型 | Monoclonal | 
| 克 隆 号 | 7C1 | 
| 交叉反应 | Human,Mouse,Rat | 
| 产品应用 | WB=1:500-2000,IHC-P=1:400-800,IHC-F=1:400-800,IF=1:100-500 not yet tested in other applications. optimal dilutions/concentrations should be determined by the end user. | 
| 理论分子量 | 47 kDa | 
| 检测分子量 | |
| 细胞定位 | 细胞核 细胞浆 细胞膜 | 
| 性 状 | Liquid | 
| 浓 度 | 1mg/ml | 
| 免 疫 原 | KLH conjugated synthetic peptide derived from human phospho-GSK-3 Beta (Ser9) | 
| 亚 型 | IgG | 
| 纯化方法 | affinity purified by Protein A | 
| 缓 冲 液 | 0.01M TBS (pH7.4) with 1% BSA, 0.02% Proclin300 and 50% Glycerol. | 
| 保存条件 | Shipped at 4℃. Store at -20℃ for one year. Avoid repeated freeze/thaw cycles. | 
| 注意事项 | This product as supplied is intended for research use only, not for use in human, therapeutic or diagnostic applications. | 
| PubMed | PubMed | 
| 产品介绍 | The protein encoded by this gene is a serine-threonine kinase, belonging to the glycogen synthase kinase subfamily. It is involved in energy metabolism, neuronal cell development, and body pattern formation. Polymorphisms in this gene have been implicated in modifying risk of Parkinson disease, and studies in mice show that overexpression of this gene may be relevant to the pathogenesis of Alzheimer disease. Alternatively spliced transcript variants encoding different isoforms have been found for this gene.[provided by RefSeq, Sep 2009] SWISS: P49841 Gene ID: 2932 | 
| 产品图片 | 
Sample: 
Lane 1: Human Molt-4 cell lysates 
Lane 2: Human HL-60 cell lysates 
Primary: Anti-phospho-GSK-3 Beta (Ser9) (bs-33870M) at 1/1000 dilution
Secondary: IRDye800CW Goat Anti-Mouse IgG at 1/20000 dilution
Predicted band size: 47 kDa
Observed band size: 44 kDa
 
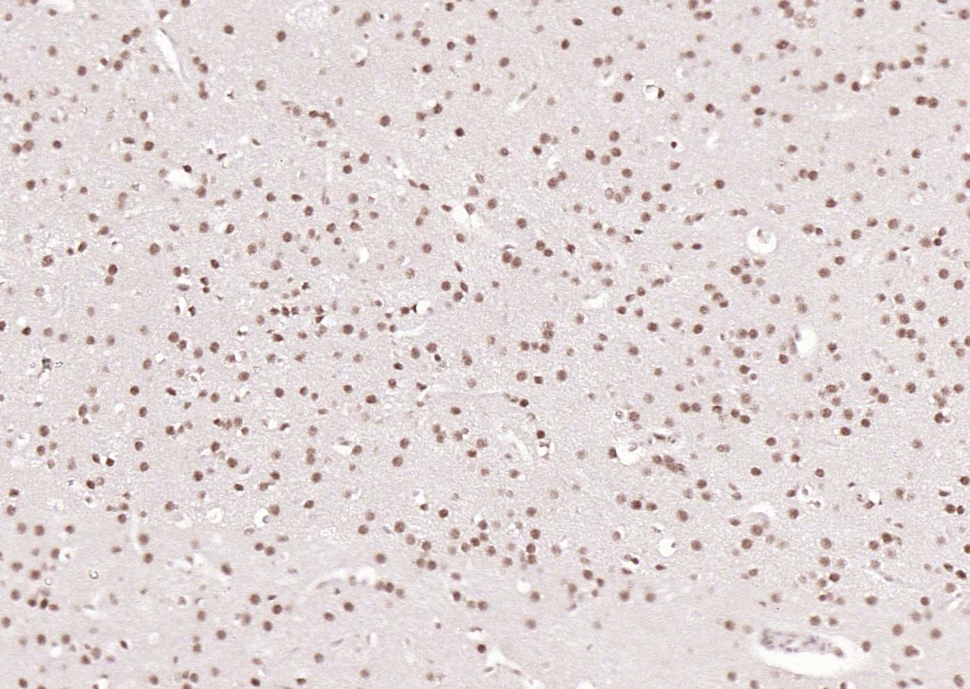
Paraformaldehyde-fixed, paraffin embedded (mouse brain); Antigen retrieval by boiling in sodium citrate buffer (pH6.0) for 15min; Block endogenous peroxidase by 3% hydrogen peroxide for 20 minutes; Blocking buffer (normal goat serum) at 37°C for 30min; Antibody incubation with (phospho-GSK-3 Beta (Ser9)) Monoclonal Antibody, Unconjugated (ascites of bsm-33870M) at 1:2000 overnight at 4°C, followed by operating according to SP Kit(Mouse) (sp-0024) instructions and DAB staining.
 
Paraformaldehyde-fixed, paraffin embedded (mouse testis); Antigen retrieval by boiling in sodium citrate buffer (pH6.0) for 15min; Block endogenous peroxidase by 3% hydrogen peroxide for 20 minutes; Blocking buffer (normal goat serum) at 37°C for 30min; Antibody incubation with (phospho-GSK-3 Beta (Ser9)) Monoclonal Antibody, Unconjugated (ascites of bsm-33870M) at 1:2000 overnight at 4°C, followed by operating according to SP Kit(Mouse) (sp-0024) instructions and DAB staining.
 
Paraformaldehyde-fixed, paraffin embedded (human colon carcinoma); Antigen retrieval by boiling in sodium citrate buffer (pH6.0) for 15min; Block endogenous peroxidase by 3% hydrogen peroxide for 20 minutes; Blocking buffer (normal goat serum) at 37°C for 30min; Antibody incubation with (phospho-GSK-3 Beta (Ser9)) Monoclonal Antibody, Unconjugated (ascites of bsm-33870M) at 1:2000 overnight at 4°C, followed by operating according to SP Kit(Mouse) (sp-0024) instructions and DAB staining.
 
Paraformaldehyde-fixed, paraffin embedded (Human glioma); Antigen retrieval by boiling in sodium citrate buffer (pH6.0) for 15min; Block endogenous peroxidase by 3% hydrogen peroxide for 20 minutes; Blocking buffer (normal goat serum) at 37°C for 30min; Antibody incubation with (phospho-GSK-3 Beta (Ser9)) Monoclonal Antibody, Unconjugated (ascites of bsm-33870M) at 1:2000 overnight at 4°C, followed by operating according to SP Kit(Mouse) (sp-0024) instructions and DAB staining.
 
Paraformaldehyde-fixed, paraffin embedded (rat mammary gland); Antigen retrieval by boiling in sodium citrate buffer (pH6.0) for 15min; Block endogenous peroxidase by 3% hydrogen peroxide for 20 minutes; Blocking buffer (normal goat serum) at 37°C for 30min; Antibody incubation with (phospho-GSK-3 Beta (Ser9)) Monoclonal Antibody, Unconjugated (ascites of bsm-33870M) at 1:2000 overnight at 4°C, followed by operating according to SP Kit(Mouse) (sp-0024) instructions and DAB staining.
 
Paraformaldehyde-fixed, paraffin embedded (rat testis); Antigen retrieval by boiling in sodium citrate buffer (pH6.0) for 15min; Block endogenous peroxidase by 3% hydrogen peroxide for 20 minutes; Blocking buffer (normal goat serum) at 37°C for 30min; Antibody incubation with (phospho-GSK-3 Beta (Ser9)) Monoclonal Antibody, Unconjugated (ascites of bsm-33870M) at 1:2000 overnight at 4°C, followed by operating according to SP Kit(Mouse) (sp-0024) instructions and DAB staining.
 
Paraformaldehyde-fixed, paraffin embedded (rat brain); Antigen retrieval by boiling in sodium citrate buffer (pH6.0) for 15min; Block endogenous peroxidase by 3% hydrogen peroxide for 20 minutes; Blocking buffer (normal goat serum) at 37°C for 30min; Antibody incubation with (phospho-GSK-3 Beta (Ser9)) Monoclonal Antibody, Unconjugated (ascites of bsm-33870M) at 1:2000 overnight at 4°C, followed by operating according to SP Kit(Mouse) (sp-0024) instructions and DAB staining
 
Paraformaldehyde-fixed, paraffin embedded (human breast carcinoma); Antigen retrieval by boiling in sodium citrate buffer (pH6.0) for 15min; Block endogenous peroxidase by 3% hydrogen peroxide for 20 minutes; Blocking buffer (normal goat serum) at 37°C for 30min; Antibody incubation with (phospho-GSK-3 Beta (Ser9)) Monoclonal Antibody, Unconjugated (bsm-33870M) at 1:200 overnight at 4°C, followed by operating according to SP Kit(Mouse)(sp-0024) instructionsand DAB staining.
 | 
| 1、抗体溶解方法 | |
| 2、抗体修复方式 | |
| 3、常用试剂的配制 | |
| 4、免疫组化操作步骤 | |
| 5、免疫组化问题解答 | |
| 6、Western Blotting 操作步骤 | |
| 7、Western Blotting 问题解答 | |
| 8、关于肽链的设计 | |
| 9、多肽的溶解与保存 | |
| 10、酶标抗体效价测定程序 | |