扫码关注公众号           扫码咨询技术支持           扫码咨询技术服务
  
客服热线:400-901-9800  客服QQ:4009019800  技术答疑  技术支持  质量反馈  关于我们  联系我们
产品中心-北京博奥森生物技术有限公司
首页 > 产品中心 > 一抗 > 产品信息
phospho-ERK1/ERK2(phospho-T202/T185) Recombinant Rabbit mAb (bsm-54491R)  
订购热线:400-901-9800
订购邮箱:sales@bioss.com.cn
订购QQ:  400-901-9800
技术支持:techsupport@bioss.com.cn
50ul/1400.00元
100ul/2500.00元
大包装/询价

产品编号 bsm-54491R
英文名称 phospho-ERK1/ERK2(phospho-T202/T185) Recombinant Rabbit mAb
中文名称 磷酸化丝裂原活化蛋白激酶1/2抗体
别    名 Erk1(pT202)+Erk2(pT185); Erk1(pT202)+Erk2(pT185); ERK 1; ERK 2; ERK-2; ERK1; ERK2; ERT1; ERT2; Extracellular signal regulated kinase 1; Extracellular signal regulated kinase 1; Extracellular signal regulated kinase 2; Extracellular signal regulated kinase 2; Extracellular signal-regulated kinase 2; HS44KDAP; HUMKER1A; Insulin stimulated MAP2 kinase; MAP kinase 1; MAP kinase 2; MAP kinase isoform p42; MAP kinase isoform p44; MAPK 1; MAPK 2; MAPK1; MAPK2; MGC20180; Microtubule associated protein 2 kinase; Mitogen activated protein kinase 1; Mitogen activated protein kinase 1; Mitogen activated protein kinase 2; Mitogen-activated protein kinase 1; Mitogen-activated protein kinase 2; MK01_MOUSE; p38; p40; p41; p41mapk; p42 MAPK; p42-MAPK; p42MAPK; p42MAPK; p44 ERK1; p44 MAPK; p44ERK1; p44ERK1; p44MAPK; p44MAPK; PRKM 1; PRKM 1; PRKM 2; PRKM 2; PRKM1; PRKM2; Protein kinase mitogen activated 1; Protein kinase mitogen activated 1; Protein kinase mitogen activated 2; Protein kinase mitogen activated 2; Protein tyrosine kinas.  
产品类型 磷酸化抗体 重组兔单抗 
研究领域 神经生物学  信号转导  干细胞  激酶和磷酸酶  
抗体来源 Rabbit
克隆类型 Recombinant
克 隆 号 6H2
交叉反应 Human,Mouse,Rat
产品应用 WB=1:500-2000,IHC-P=1:50-200,IHC-F=1:50-200,IF=1:50-200,Flow-Cyt=1:50-100,ICC/IF=1:50-200
not yet tested in other applications.
optimal dilutions/concentrations should be determined by the end user.
理论分子量 41 kDa
检测分子量
细胞定位 细胞核 细胞浆 
性    状 Liquid
浓    度 1mg/ml
免 疫 原 A synthesized peptide derived from human ERK1 around the phosphorylation site of T202: FL-pT-EY 
亚    型 IgG
纯化方法 affinity purified by Protein A
缓 冲 液 0.01M TBS (pH7.4) with 1% BSA, 0.02% Proclin300 and 50% Glycerol.
保存条件 Shipped at 4℃. Store at -20℃ for one year. Avoid repeated freeze/thaw cycles.
注意事项 This product as supplied is intended for research use only, not for use in human, therapeutic or diagnostic applications.
PubMed PubMed
产品介绍 The protein encoded by this gene is a member of the MAP kinase family. MAP kinases, also known as extracellular signal-regulated kinases (ERKs), act as an integration point for multiple biochemical signals, and are involved in a wide variety of cellular processes such as proliferation, differentiation, transcription regulation and development. The activation of this kinase requires its phosphorylation by upstream kinases. Upon activation, this kinase translocates to the nucleus of the stimulated cells, where it phosphorylates nuclear targets. Two alternatively spliced transcript variants encoding the same protein, but differing in the UTRs, have been reported for this gene.

SWISS:
P28482

Gene ID:
5595

Database links:

Entrez Gene: 5594 Human

Entrez Gene: 5595 Human

Entrez Gene: 26413 Mouse

Entrez Gene: 26417 Mouse

Entrez Gene: 116590 Rat

Entrez Gene: 50689 Rat

SwissProt: P27361 Human

SwissProt: P28482 Human

SwissProt: P63085 Mouse

SwissProt: Q63844 Mouse

SwissProt: P21708 Rat

SwissProt: P63086 Rat



产品图片
25 ug total protein per lane of various lysates (see on figure) probed with phospho-ERK1 (Thr202)+ ERK2 (Thr185) monoclonal antibody, unconjugated (bsm-54491R) at 1:1000 dilution and 4°C overnight incubation. Followed by conjugated secondary antibody incubation at r.t. for 60 min.
Paraformaldehyde-fixed, paraffin embedded Human Placenta; Antigen retrieval by boiling in sodium citrate buffer (pH6.0) for 15 min; The section was incubated with phospho-ERK1 (Thr202)+ ERK2 (Thr185) Monoclonal Antibody, Unconjugated (bsm-54491R) at 1:200 overnight at 4°C, followed by conjugation to the bs-0295G-HRP and DAB (C-0010) staining.
Paraformaldehyde-fixed, paraffin embedded Rat Kidney; Antigen retrieval by boiling in sodium citrate buffer (pH6.0) for 15 min; The section was incubated with phospho-ERK1 (Thr202)+ ERK2 (Thr185) Monoclonal Antibody, Unconjugated (bsm-54491R) at 1:200 overnight at 4°C, followed by conjugation to the bs-0295G-HRP and DAB (C-0010) staining.
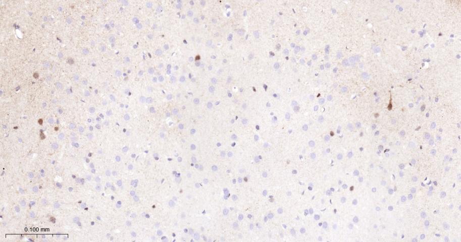
Paraformaldehyde-fixed, paraffin embedded Rat Cerebrum; Antigen retrieval by boiling in sodium citrate buffer (pH6.0) for 15 min; The section was incubated with phospho-ERK1 (Thr202)+ ERK2 (Thr185) Monoclonal Antibody, Unconjugated (bsm-54491R) at 1:200 overnight at 4°C, followed by conjugation to the bs-0295G-HRP and DAB (C-0010) staining.
Paraformaldehyde-fixed, paraffin embedded Mouse Cerebrum; Antigen retrieval by boiling in sodium citrate buffer (pH6.0) for 15 min; The section was incubated with phospho-ERK1 (Thr202)+ ERK2 (Thr185) Monoclonal Antibody, Unconjugated (bsm-54491R) at 1:200 overnight at 4°C, followed by conjugation to the bs-0295G-HRP and DAB (C-0010) staining.
Paraformaldehyde-fixed, paraffin embedded Rat Placenta; Antigen retrieval by boiling in sodium citrate buffer (pH6.0) for 15 min; Antibody incubation with phospho-ERK1 (Thr202)+ ERK2 (Thr185) Monoclonal Antibody, Unconjugated(bsm-54491R) at 1:200 overnight at 4°C, followed by conjugation to the SP Kit(Rabbit, SP-0023) and DAB (C-0010) staining.
Paraformaldehyde-fixed, paraffin embedded Mouse Placenta; Antigen retrieval by boiling in sodium citrate buffer (pH6.0) for 15 min; Antibody incubation with phospho-ERK1 (Thr202)+ ERK2 (Thr185) Monoclonal Antibody, Unconjugated(bsm-54491R) at 1:200 overnight at 4°C, followed by conjugation to the SP Kit(Rabbit, SP-0023) and DAB (C-0010) staining.
Paraformaldehyde-fixed, paraffin embedded Human Breast; Antigen retrieval by boiling in sodium citrate buffer (pH6.0) for 15 min; Antibody incubation with phospho-ERK1 (Thr202)+ ERK2 (Thr185) Monoclonal Antibody, Unconjugated(bsm-54491R) at 1:200 overnight at 4°C, followed by conjugation to the SP Kit(Rabbit, SP-0023) and DAB (C-0010) staining.
Paraformaldehyde-fixed, paraffin embedded Human Thyroid Tumor; Antigen retrieval by boiling in sodium citrate buffer (pH6.0) for 15 min; Antibody incubation with phospho-ERK1 (Thr202)+ ERK2 (Thr185) Monoclonal Antibody, Unconjugated(bsm-54491R) at 1:200 overnight at 4°C, followed by conjugation to the SP Kit(Rabbit, SP-0023) and DAB (C-0010) staining.
Paraformaldehyde-fixed, paraffin embedded Human Lung Cancer; Antigen retrieval by boiling in sodium citrate buffer (pH6.0) for 15 min; Antibody incubation with phospho-ERK1 (Thr202)+ ERK2 (Thr185) Monoclonal Antibody, Unconjugated(bsm-54491R) at 1:200 overnight at 4°C, followed by conjugation to the SP Kit(Rabbit, SP-0023) and DAB (C-0010) staining.
Paraformaldehyde-fixed, paraffin embedded Rat Breast; Antigen retrieval by boiling in sodium citrate buffer (pH6.0) for 15 min; Antibody incubation with phospho-ERK1 (Thr202)+ ERK2 (Thr185) Monoclonal Antibody, Unconjugated(bsm-54491R) at 1:200 overnight at 4°C, followed by conjugation to the SP Kit(Rabbit, SP-0023) and DAB (C-0010) staining.
Paraformaldehyde-fixed, paraffin embedded Rat Spleen; Antigen retrieval by boiling in sodium citrate buffer (pH6.0) for 15 min; Antibody incubation with phospho-ERK1 (Thr202)+ ERK2 (Thr185) Monoclonal Antibody, Unconjugated(bsm-54491R) at 1:200 overnight at 4°C, followed by conjugation to the SP Kit(Rabbit, SP-0023) and DAB (C-0010) staining.
4% Paraformaldehyde-fixed Hela (treated with 200 ng/ml PMA for 30 minutes) (H) cell; Triton X-100 at r.t. for 20 min; Antibody incubation with (phospho-ERK1 (Thr202)+ ERK2 (Thr185)) monoclonal Antibody, unconjugated (bsm-54491R) 1:100, 90 min at 37°C; followed by conjugated Goat Anti-Rabbit IgG antibody (green, bs-60295G-BF488) at 37°C for 90 min, DAPI (blue, C02-04002) was used to stain the cell nuclei. PBS instead of the primary antibody was used as the blank control.
The Hela (treated with 200 ng/ml PMA for 30 minutes) (H) cells were fixed with 4% PFA (10 min at r.t.) and then permeabilized with 90% ice-cold methanol for 20 min at -20℃,the cells then were incubated in 5%BSA to block non-specific protein-protein interactions (30 min at r.t.).Primary Antibody (green):Rabbit Anti-phospho-ERK1 (Thr202)+ ERK2 (Thr185 antibody (bsm-54491R,1:100); Secondary Antibody (white blue): Goat anti-Rabbit IgG-BF488 (bs-60295G-BF488):1μg/test.Blank control (black): PBS. Acquisition of 20,000 events was performed.
The Jurkat (treated with 200 ng/ml PMA for 30 minutes) (H) cells were fixed with 4% PFA (10 min at r.t.) and then permeabilized with 90% ice-cold methanol for 20 min at -20℃,the cells then were incubated in 5%BSA to block non-specific protein-protein interactions (30 min at r.t.).Primary Antibody (green):Rabbit Anti-phospho-ERK1 (Thr202)+ ERK2 (Thr185 antibody (bsm-54491R,1:100); Secondary Antibody (white blue): Goat anti-Rabbit IgG-BF488 (bs-60295G-BF488):1μg/test.Blank control (black): PBS. Acquisition of 20,000 events was performed.
The C6 (treated with 200 ng/ml PMA for 30 minutes) (Rat) cells were fixed with 4% PFA (10 min at r.t.) and then permeabilized with 90% ice-cold methanol for 20 min at -20℃,the cells then were incubated in 5%BSA to block non-specific protein-protein interactions (30 min at r.t.).Primary Antibody (green):Rabbit Anti-phospho-ERK1 (Thr202)+ ERK2 (Thr185 antibody (bsm-54491R,1:100); Secondary Antibody (white blue): Goat anti-Rabbit IgG-BF488 (bs-60295G-BF488):1μg/test. Blank control (black): PBS. Acquisition of 20,000 events was performed.
The NIH/3T3 (treated with 200 ng/ml PMA for 30 minutes) (M) cells were fixed with 4% PFA (10 min at r.t.) and then permeabilized with 90% ice-cold methanol for 20 min at -20℃,the cells then were incubated in 5%BSA to block non-specific protein-protein interactions (30 min at r.t.).Primary Antibody (green):Rabbit Anti-phospho-ERK1 (Thr202)+ ERK2 (Thr185 antibody (bsm-54491R,1:100); Secondary Antibody (white blue): Goat anti-Rabbit IgG-BF488 (bs-60295G-BF488):1μg/test. Blank control (black): PBS. Acquisition of 20,000 events was performed.
版权所有 2004-2026 www.bioss.com.cn 北京博奥森生物技术有限公司
通过国际质量管理体系ISO 9001:2015 GB/T 19001-2016    证书编号: 00124Q34771R2M/1100
通过国际医疗器械-质量管理体系ISO 13485:2016 GB/T 42061-2022     证书编号: CQC24QY20047R0M/1100
京ICP备05066980号-1         京公网安备110107000727号